JavaScript is disabled in your browser. Please enable JavaScript to view this website.
AB325435

Anti-FAAH1 antibody [EPR30112-48]

  • RabMAb
  • Recombinant
  • 20ul selling size
  • Advanced Validation
  • What is this?

Be the first to review this product! Submit a review

|

(0 Publication)

Rabbit Recombinant Monoclonal FAAH1 antibody. Suitable for ICC/IF, IHC-P, WB, mIHC and reacts with Mouse, Rat samples.

View Alternative Names

Faah1, Fatty-acid amide hydrolase 1, Anandamide amidohydrolase 1, Fatty acid ester hydrolase, Oleamide hydrolase 1

12 Images
Multiplex immunohistochemistry - Anti-FAAH1 antibody [EPR30112-48] (AB325435)
  • mIHC

Supplier Data

Multiplex immunohistochemistry - Anti-FAAH1 antibody [EPR30112-48] (AB325435)

Multiplex immunohistochemistry analysis of formalin/PFA-fixed paraffin-embedded mouse kidney tissue staining FAAH1 with ab325435 at a 1 : 2000 (0.256 ug/ml) dilution, ab176333 anti-KDEL used at 1 : 5000 (0.098 ug/ml) dilution.

Panel A : anti-FAAH1 (green; Opal™520), anti-KDEL (magenta; Opal™570) on mouse kidney.
Panel B : anti-FAAH1 showed granular staining in mouse kidney.
Panel C : anti-KDEL showed ER staining in mouse kidney.
Panel D : Nuclear DNA was labeled with DAPI (shown in blue).

The section was incubated in three rounds of staining : in the order of ab325435 and ab176333 for 30 mins at room temperature. Each round was followed by a separate fluorescent tyramide signal amplification system.

The immunostaining was performed on a Leica Biosystems BOND® RX instrument with an Opal™ 4-color kit. Image acquisition was performed with Leica SP8 confocal microscope.

Nuclear counter stain with DAPI.

Heat mediated antigen retrieval was performed with Tris-EDTA buffer (pH 9.0, Epitope Retrieval Solution2) for 20 mins.

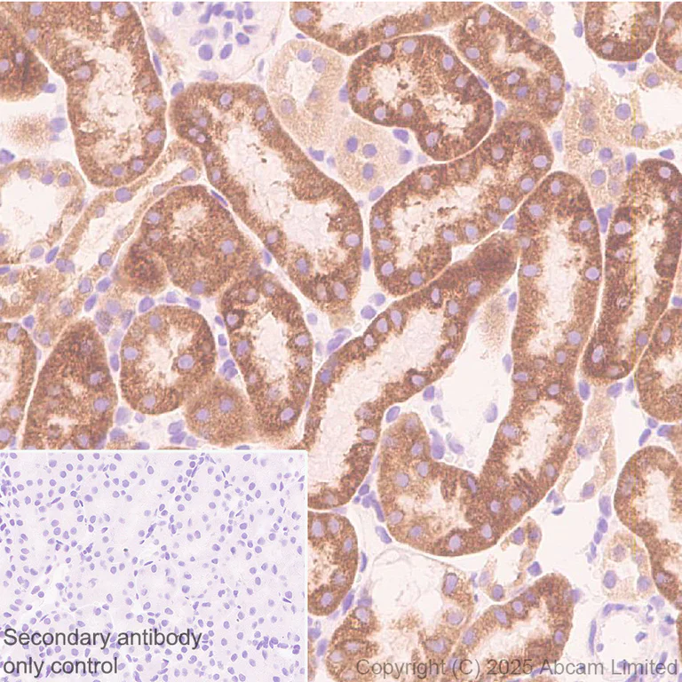
Immunohistochemistry (Formalin/PFA-fixed paraffin-embedded sections) - Anti-FAAH1 antibody [EPR30112-48] (AB325435)
  • IHC-P

Supplier Data

Immunohistochemistry (Formalin/PFA-fixed paraffin-embedded sections) - Anti-FAAH1 antibody [EPR30112-48] (AB325435)

Immunohistochemical analysis of paraffin-embedded Mouse kidney tissue labeling FAAH1 with ab325435 at 1/2000 (0.256 ug/ml) dilution, followed by a ready to use LeicaDS9800 (Bond™ Polymer Refine Detection).

Positive staining on mouse kidney (PMID : 24223930, PMID : 35710061 ).
The primary antibody was incubated for 30 mins at room temperature.
The immunostaining was performed on a Leica Biosystems BOND® RX instrument

Counterstained with Hematoxylin.

Secondary antibody only control : Secondary antibody is a ready to use LeicaDS9800 (Bond™ Polymer Refine Detection).

Heat mediated antigen retrieval was performed with Tris-EDTA buffer (pH 9.0, Epitope Retrieval Solution2) for 20 mins.

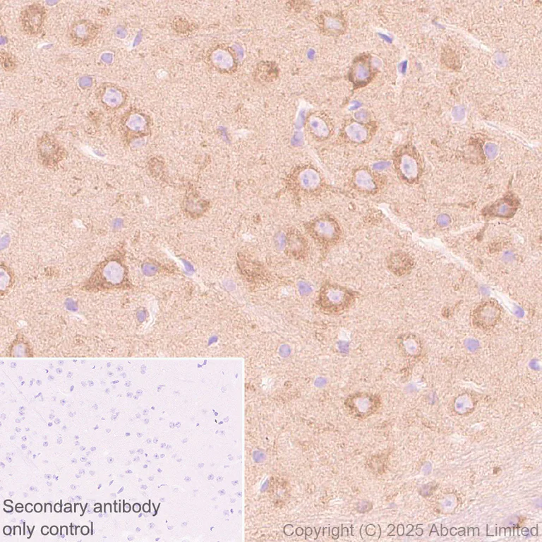
Immunohistochemistry (Formalin/PFA-fixed paraffin-embedded sections) - Anti-FAAH1 antibody [EPR30112-48] (AB325435)
  • IHC-P

Supplier Data

Immunohistochemistry (Formalin/PFA-fixed paraffin-embedded sections) - Anti-FAAH1 antibody [EPR30112-48] (AB325435)

Immunohistochemical analysis of paraffin-embedded Rat cerebrum tissue labeling FAAH1 with ab325435 at 1/2000 (0.256 ug/ml) dilution, followed by a ready to use LeicaDS9800 (Bond™ Polymer Refine Detection).

Positive staining on rat cerebrum.
The primary antibody was incubated for 30 mins at room temperature.
The immunostaining was performed on a Leica Biosystems BOND® RX instrument

Counterstained with Hematoxylin.

Secondary antibody only control : Secondary antibody is a ready to use LeicaDS9800 (Bond™ Polymer Refine Detection).

Heat mediated antigen retrieval was performed with Tris-EDTA buffer (pH 9.0, Epitope Retrieval Solution2) for 20 mins.

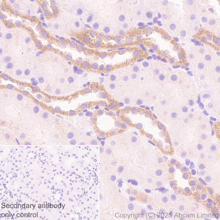
Immunohistochemistry (Formalin/PFA-fixed paraffin-embedded sections) - Anti-FAAH1 antibody [EPR30112-48] (AB325435)
  • IHC-P

Supplier Data

Immunohistochemistry (Formalin/PFA-fixed paraffin-embedded sections) - Anti-FAAH1 antibody [EPR30112-48] (AB325435)

Immunohistochemical analysis of paraffin-embedded Rat kidney tissue labeling FAAH1 with ab325435 at 1/2000 (0.256 ug/ml) dilution, followed by a ready to use LeicaDS9800 (Bond™ Polymer Refine Detection).

Positive staining on rat kidney.
The primary antibody was incubated for 30 mins at room temperature.
The immunostaining was performed on a Leica Biosystems BOND® RX instrument

Counterstained with Hematoxylin.

Secondary antibody only control : Secondary antibody is a ready to use LeicaDS9800 (Bond™ Polymer Refine Detection).

Heat mediated antigen retrieval was performed with Tris-EDTA buffer (pH 9.0, Epitope Retrieval Solution2) for 20 mins.

Immunohistochemistry (Formalin/PFA-fixed paraffin-embedded sections) - Anti-FAAH1 antibody [EPR30112-48] (AB325435)
  • IHC-P

Supplier Data

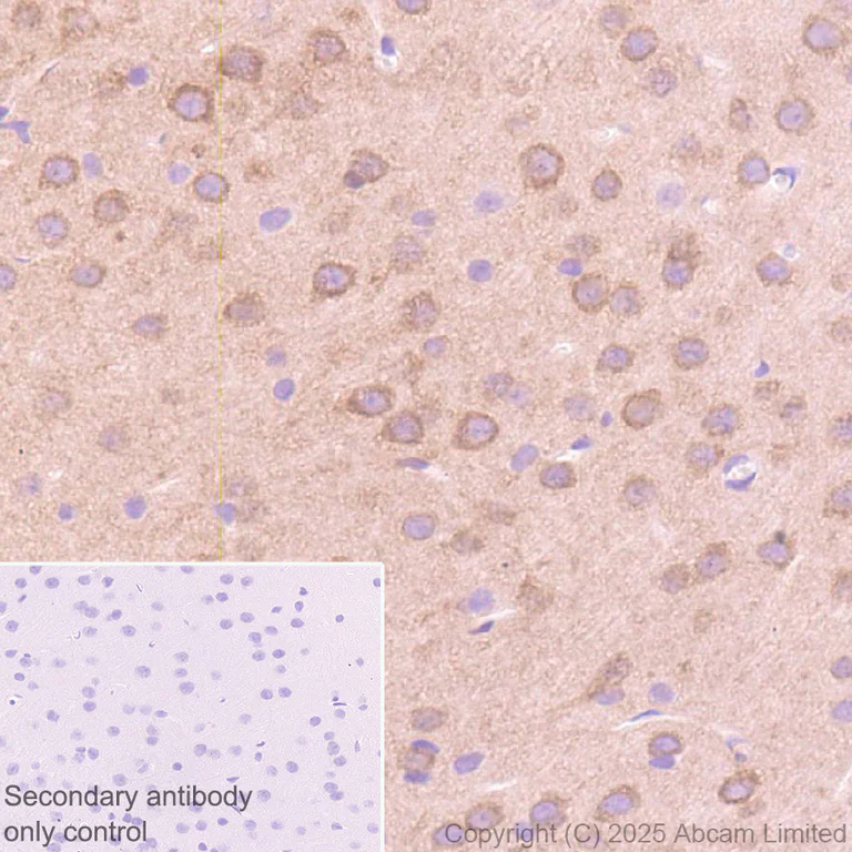
Immunohistochemistry (Formalin/PFA-fixed paraffin-embedded sections) - Anti-FAAH1 antibody [EPR30112-48] (AB325435)

Immunohistochemical analysis of paraffin-embedded Mouse cerebrum tissue labeling FAAH1 with ab325435 at 1/2000 (0.256 ug/ml) dilution, followed by a ready to use LeicaDS9800 (Bond™ Polymer Refine Detection).

Positive staining on mouse cerebrum (PMID : 26907575, PMID : 24223930).
The primary antibody was incubated for 30 mins at room temperature.
The immunostaining was performed on a Leica Biosystems BOND® RX instrument

Counterstained with Hematoxylin.

Secondary antibody only control : Secondary antibody is a ready to use LeicaDS9800 (Bond™ Polymer Refine Detection).

Heat mediated antigen retrieval was performed with Tris-EDTA buffer (pH 9.0, Epitope Retrieval Solution2) for 20 mins.

Immunocytochemistry/ Immunofluorescence - Anti-FAAH1 antibody [EPR30112-48] (AB325435)
  • ICC/IF

Supplier Data

Immunocytochemistry/ Immunofluorescence - Anti-FAAH1 antibody [EPR30112-48] (AB325435)

Immunofluorescent analysis of 4% Paraformaldehyde-fixed, 0.1% TritonX-100 permeabilized EL4 (mouse lymphoma T lymphocyte); CT26.WT (mouse colon fibroblast) cells labelling FAAH1 with ab325435 at 1/50 (9.56 ug/ml) dilution, followed by ab150081 Goat Anti-Rabbit IgG H&L (Alexa Fluor® 488) preadsorbed antibody at 1/1000 (2 ug/ml) dilution (Green).

Confocal image showing cytoplasmic staining in EL4 cell line and no staining in CT26.WT cell line (shown in green). The counterstain was observed in magenta. Nuclear DNA was labelled with DAPI (shown in blue).
Low expression : CT26.WT.
Image was taken with a confocal microscope (Leica-Microsystems, TCS SP8).

ab7291 Anti-alpha Tubulin mouse monoclonal antibody was used to counterstain tubulin at 1/1000 (1 ug/ml) dilution, followed by ab150120 Goat Anti-Mouse IgG H&L (Alexa Fluor® 594) at 1/1000 (2 ug/ml) dilution (Magenta).

-ve control 1 : ab325435 at a 1/50 dilution followed by ab150120 at a 1/1000 dilution.

-ve control 2 : ab7291 at a 1/1000 dilution followed by ab150081 at a 1/1000 dilution.

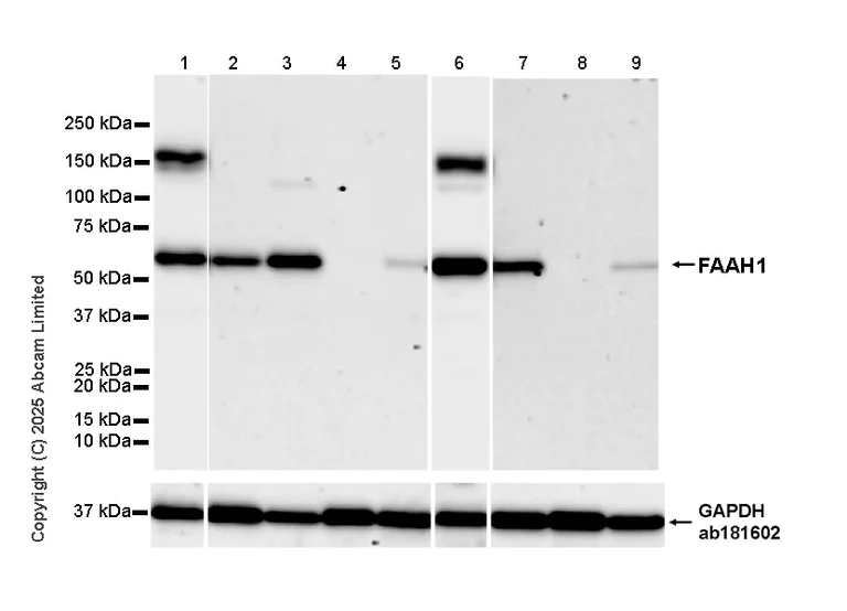
Western blot - Anti-FAAH1 antibody [EPR30112-48] (AB325435)
  • WB

Supplier Data

Western blot - Anti-FAAH1 antibody [EPR30112-48] (AB325435)

Blocking and diluting buffer and concentration : 5% NFDM/TBST.

Negative control : heart(PMID : 30929760; PMID : 15247426; PMID : 17015445; PMID : 21097653)

Low expression : placenta(PMID : 30929760)

The expression profile/ molecular weight observed is consistent with what has been described in the literature (PMID : 30929760; PMID : 15247426; PMID : 24223930; PMID : 17015445; PMID : 21097653).

The identity of the higher MW bands at approximately 150KDa in lane 1 and lane 6 are unknown.

In Western blot, Anti-GAPDH antibody [EPR16891] - Loading Control (ab181602) staining at 1/200000 dilution.

Exposure time : Lanes 1 and 6 : 15 seconds; Lanes 2-5 : 70 seconds; Lanes 7-9 : 180 seconds

All lanes:

Western blot - Anti-FAAH1 antibody [EPR30112-48] (ab325435) at 1/1000 dilution

Lane 1:

Mouse liver tissue lysate at 20 µg

Lane 2:

Mouse brain tissue lysate at 20 µg

Lane 3:

Mouse kidney tissue lysate at 20 µg

Lane 4:

Mouse heart tissue lysate at 20 µg

Lane 5:

Mouse placenta tissue lysate at 20 µg

Lane 6:

Rat liver tissue lysate at 20 µg

Lane 7:

Rat brain tissue lysate at 20 µg

Lane 8:

Rat heart tissue lysate at 20 µg

Lane 9:

Rat placenta tissue lysate at 20 µg

Secondary

All lanes:

Western blot - Goat Anti-Rabbit IgG H&L (HRP) (<a href='/en-us/products/secondary-antibodies/goat-rabbit-igg-h-l-hrp-ab97051'>ab97051</a>) at 1/20000 dilution

Observed band size: 63 kDa,36 kDa

false

Western blot - Anti-FAAH1 antibody [EPR30112-48] (AB325435)
  • WB

Supplier Data

Western blot - Anti-FAAH1 antibody [EPR30112-48] (AB325435)

Blocking and diluting buffer and concentration : 5% NFDM/TBST.

Low expression : CT26.WT

In Western blot, Anti-GAPDH antibody [EPR16891] - Loading Control (ab181602) staining at 1/200000 dilution.

All lanes:

Western blot - Anti-FAAH1 antibody [EPR30112-48] (ab325435) at 1/1000 dilution

Lane 1:

EL4 (mouse lymphoma T lymphocyte) whole cell lysate at 20 µg

Lane 2:

CT26.WT (mouse colon fibroblast) whole cell lysate at 20 µg

Lane 3:

RBL-2H3 (rat Peripheral blood basophil) whole cell lysate at 20 µg

Secondary

All lanes:

Western blot - Goat Anti-Rabbit IgG H&L (HRP) (<a href='/en-us/products/secondary-antibodies/goat-rabbit-igg-h-l-hrp-ab97051'>ab97051</a>) at 1/20000 dilution

Observed band size: 63 kDa,36 kDa

false

Exposure time: 180s

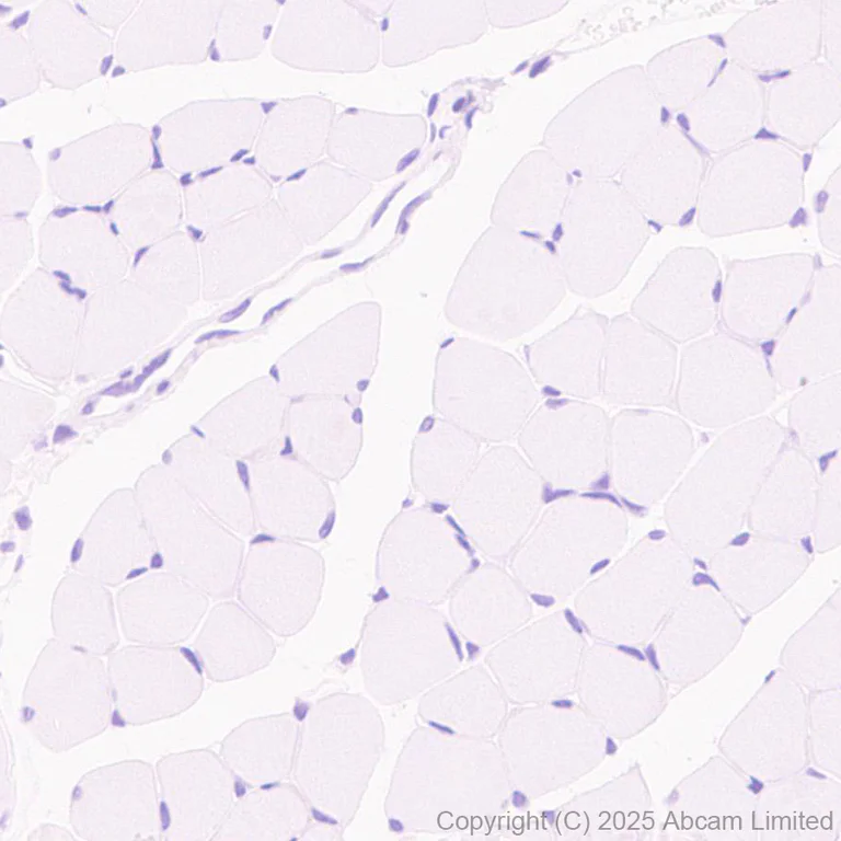
Immunohistochemistry (Formalin/PFA-fixed paraffin-embedded sections) - Anti-FAAH1 antibody [EPR30112-48] (AB325435)
  • IHC-P

Supplier Data

Immunohistochemistry (Formalin/PFA-fixed paraffin-embedded sections) - Anti-FAAH1 antibody [EPR30112-48] (AB325435)

Immunohistochemical analysis of paraffin-embedded Mouse skeletal muscle tissue labeling FAAH1 with ab325435 at 1/2000 (0.256 ug/ml) dilution, followed by a ready to use LeicaDS9800 (Bond™ Polymer Refine Detection).

Negative control : No staining on mouse skeletal muscle (PMID : 30929760, PMID : 17015445).
The primary antibody was incubated for 30 mins at room temperature.
The immunostaining was performed on a Leica Biosystems BOND® RX instrument

Counterstained with Hematoxylin.

Secondary antibody only control : Secondary antibody is a ready to use LeicaDS9800 (Bond™ Polymer Refine Detection).

Heat mediated antigen retrieval was performed with Tris-EDTA buffer (pH 9.0, Epitope Retrieval Solution2) for 20 mins.

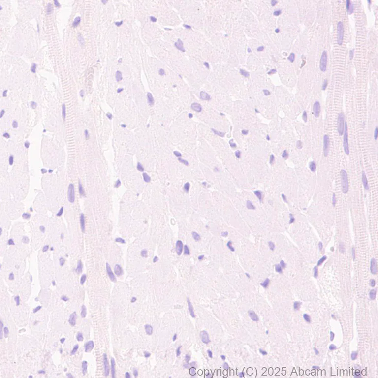
Immunohistochemistry (Formalin/PFA-fixed paraffin-embedded sections) - Anti-FAAH1 antibody [EPR30112-48] (AB325435)
  • IHC-P

Supplier Data

Immunohistochemistry (Formalin/PFA-fixed paraffin-embedded sections) - Anti-FAAH1 antibody [EPR30112-48] (AB325435)

Immunohistochemical analysis of paraffin-embedded Rat cardiac muscle tissue labeling FAAH1 with ab325435 at 1/2000 (0.256 ug/ml) dilution, followed by a ready to use LeicaDS9800 (Bond™ Polymer Refine Detection).

Negative control : No staining on rat cardiac muscle.
The primary antibody was incubated for 30 mins at room temperature.
The immunostaining was performed on a Leica Biosystems BOND® RX instrument

Counterstained with Hematoxylin.

Secondary antibody only control : Secondary antibody is a ready to use LeicaDS9800 (Bond™ Polymer Refine Detection).

Heat mediated antigen retrieval was performed with Tris-EDTA buffer (pH 9.0, Epitope Retrieval Solution2) for 20 mins.

Immunohistochemistry (Formalin/PFA-fixed paraffin-embedded sections) - Anti-FAAH1 antibody [EPR30112-48] (AB325435)
  • IHC-P

Supplier Data

Immunohistochemistry (Formalin/PFA-fixed paraffin-embedded sections) - Anti-FAAH1 antibody [EPR30112-48] (AB325435)

Immunohistochemical analysis of paraffin-embedded Mouse cardiac muscle tissue labeling FAAH1 with ab325435 at 1/2000 (0.256 ug/ml) dilution, followed by a ready to use LeicaDS9800 (Bond™ Polymer Refine Detection).

Negative control : No staining on mouse cardiac muscle (PMID : 30929760, PMID : 17015445).
The primary antibody was incubated for 30 mins at room temperature.
The immunostaining was performed on a Leica Biosystems BOND® RX instrument

Counterstained with Hematoxylin.

Secondary antibody only control : Secondary antibody is a ready to use LeicaDS9800 (Bond™ Polymer Refine Detection).

Heat mediated antigen retrieval was performed with Tris-EDTA buffer (pH 9.0, Epitope Retrieval Solution2) for 20 mins.

Immunohistochemistry (Formalin/PFA-fixed paraffin-embedded sections) - Anti-FAAH1 antibody [EPR30112-48] (AB325435)
  • IHC-P

Supplier Data

Immunohistochemistry (Formalin/PFA-fixed paraffin-embedded sections) - Anti-FAAH1 antibody [EPR30112-48] (AB325435)

Immunohistochemical analysis of paraffin-embedded Rat skeletal muscle tissue labeling FAAH1 with ab325435 at 1/2000 (0.256 ug/ml) dilution, followed by a ready to use LeicaDS9800 (Bond™ Polymer Refine Detection).

Negative control : No staining on rat skeletal muscle.
The primary antibody was incubated for 30 mins at room temperature.
The immunostaining was performed on a Leica Biosystems BOND® RX instrument

Counterstained with Hematoxylin.

Secondary antibody only control : Secondary antibody is a ready to use LeicaDS9800 (Bond™ Polymer Refine Detection).

Heat mediated antigen retrieval was performed with Tris-EDTA buffer (pH 9.0, Epitope Retrieval Solution2) for 20 mins.

Key facts

Host species

Rabbit

Clonality

Monoclonal

Clone number

EPR30112-48

Isotype

IgG

Carrier free

No

Reacts with

Rat, Mouse

Applications

WB, ICC/IF, IHC-P, mIHC

applications

Immunogen

The exact immunogen used to generate this antibody is proprietary information.

Reactivity data

{ "title": "Reactivity Data", "filters": { "stats": ["", "Species", "Dilution Info", "Notes"], "tabs": { "all-applications": {"fullname" : "All Applications", "shortname": "All Applications"}, "ICCIF" : {"fullname" : "Immunocytochemistry/ Immunofluorescence", "shortname":"ICC/IF"}, "IHCP" : {"fullname" : "Immunohistochemistry (Formalin/PFA-fixed paraffin-embedded sections)", "shortname":"IHC-P"}, "WB" : {"fullname" : "Western blot", "shortname":"WB"}, "mIHC" : {"fullname" : "Multiplex immunohistochemistry", "shortname":"mIHC"} }, "product-promise": { "all": "all", "testedAndGuaranteed": "tested", "guaranteed": "expected", "predicted": "predicted", "notRecommended": "not-recommended" } }, "values": { "Mouse": { "ICCIF-species-checked": "testedAndGuaranteed", "ICCIF-species-dilution-info": "1/50", "ICCIF-species-notes": "<p></p>", "IHCP-species-checked": "testedAndGuaranteed", "IHCP-species-dilution-info": "1/2000", "IHCP-species-notes": "<p></p> Perform heat-mediated antigen retrieval with Tris/EDTA buffer pH 9.0 before commencing with IHC staining protocol.", "WB-species-checked": "testedAndGuaranteed", "WB-species-dilution-info": "1/1000", "WB-species-notes": "<p></p>", "mIHC-species-checked": "testedAndGuaranteed", "mIHC-species-dilution-info": "1/2000", "mIHC-species-notes": "<p></p>" }, "Rat": { "ICCIF-species-checked": "guaranteed", "ICCIF-species-dilution-info": "", "ICCIF-species-notes": "", "IHCP-species-checked": "testedAndGuaranteed", "IHCP-species-dilution-info": "1/2000", "IHCP-species-notes": "<p></p> Perform heat-mediated antigen retrieval with Tris/EDTA buffer pH 9.0 before commencing with IHC staining protocol.", "WB-species-checked": "testedAndGuaranteed", "WB-species-dilution-info": "1/1000", "WB-species-notes": "<p></p>", "mIHC-species-checked": "guaranteed", "mIHC-species-dilution-info": "", "mIHC-species-notes": "" } } }

Product details

What are the advantages of a recombinant monoclonal antibody?
This product is a recombinant monoclonal antibody, which offers several advantages including:

  • - High batch-to-batch consistency and reproducibility
  • - Improved sensitivity and specificity
  • - Long-term security of supply
  • - Animal-free batch production

For more information, read more on recombinant antibodies.

Patented technology
Our RabMAb® technology is a patented hybridoma-based technology for making rabbit monoclonal antibodies. For details on our patents, please refer to RabMAb® patents.

Properties and storage information

Form
Liquid
Purification technique
Affinity purification Protein A
Storage buffer
pH: 7.2 - 7.4 Preservative: 0.01% Sodium azide Constituents: PBS, 40% Glycerol (glycerin, glycerine), 0.05% BSA
Shipped at conditions
Blue Ice
Appropriate short-term storage duration
1-2 weeks
Appropriate short-term storage conditions
+4°C
Appropriate long-term storage conditions
-20°C
Aliquoting information
Upon delivery aliquot
Storage information
Avoid freeze / thaw cycle

Product protocols

For this product, it's our understanding that no specific protocols are required. You can visit:

Target data

Catalyzes the hydrolysis of endogenous amidated lipids like the endocannabinoid anandamide (N-(5Z,8Z,11Z,14Z-eicosatetraenoyl)-ethanolamine), as well as other fatty amides such as the taurine-conjugated fatty acids (a structural class of central nervous system (CNS) metabolites), to their corresponding fatty acids, thereby regulating the signaling functions of these molecules (PubMed : 15533037, PubMed : 32271712). FAAH cooperates with PM20D1 in the hydrolysis of amino acid-conjugated fatty acids such as N-fatty acyl glycine and N-fatty acyl-L-serine, thereby acting as a physiological regulator of specific subsets of intracellular, but not of extracellular, N-fatty acyl amino acids (PubMed : 32271712). It can also catalyze the hydrolysis of the endocannabinoid 2-arachidonoylglycerol (2-(5Z,8Z,11Z,14Z-eicosatetraenoyl)-glycerol) (By similarity).
See full target information Faah

Product promise

We are committed to supporting your work with high-quality reagents, and we're here for you every step of the way. In the unlikely event that one of our products does not perform as expected, you're protected by our Product Promise.
For full details, please see our Terms & Conditions

Please note: All products are 'FOR RESEARCH USE ONLY. NOT FOR USE IN DIAGNOSTIC OR THERAPEUTIC PROCEDURES'.

For licensing inquiries, please contact partnerships@abcam.com