JavaScript is disabled in your browser. Please enable JavaScript to view this website.
AB153924

Anti-FABP-1 antibody

Be the first to review this product! Submit a review

|

(7 Publications)

Rabbit Polyclonal FABP-1 antibody. Suitable for WB, ICC/IF, IHC-P and reacts with Mouse, Rat, Human samples. Cited in 7 publications. Immunogen corresponding to Recombinant Fragment Protein within Human GOT2 aa 150-400.

View Alternative Names

KYAT4, GOT2, mAspAT, Fatty acid-binding protein, Glutamate oxaloacetate transaminase 2, Kynurenine aminotransferase 4, Kynurenine aminotransferase IV, Kynurenine--oxoglutarate transaminase 4, Kynurenine--oxoglutarate transaminase IV, Plasma membrane-associated fatty acid-binding protein, Transaminase A, FABP-1, FABPpm

7 Images
Immunocytochemistry/ Immunofluorescence - Anti-FABP-1 antibody (AB153924)
  • ICC/IF

Unknown

Immunocytochemistry/ Immunofluorescence - Anti-FABP-1 antibody (AB153924)

Immunofluorescence analysis of methanol-fixed HeLa cells, labeling FABP-1 with ab153924 at 1/500 dilution. Lower image shows cells co-stained with Hoechst 33342.

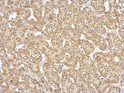
Immunohistochemistry (Formalin/PFA-fixed paraffin-embedded sections) - Anti-FABP-1 antibody (AB153924)
  • IHC-P

Unknown

Immunohistochemistry (Formalin/PFA-fixed paraffin-embedded sections) - Anti-FABP-1 antibody (AB153924)

Immunohistochemical analysis of paraffin-embedded Human SKHep1 xenograft tissue, labeling FABP-1 with ab153924 at 1/500 dilution.

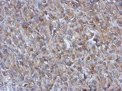
Immunohistochemistry (Formalin/PFA-fixed paraffin-embedded sections) - Anti-FABP-1 antibody (AB153924)
  • IHC-P

Unknown

Immunohistochemistry (Formalin/PFA-fixed paraffin-embedded sections) - Anti-FABP-1 antibody (AB153924)

Immunohistochemical analysis of paraffin-embedded Human hepatoma tissue, labeling FABP-1 with ab153924 at 1/500 dilution.

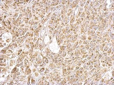
Immunohistochemistry (Formalin/PFA-fixed paraffin-embedded sections) - Anti-FABP-1 antibody (AB153924)
  • IHC-P

Unknown

Immunohistochemistry (Formalin/PFA-fixed paraffin-embedded sections) - Anti-FABP-1 antibody (AB153924)

Immunohistochemical analysis of paraffin-embedded Rat RT2 xenograft tissue, labeling FABP-1 with ab153924 at 1/500 dilution.

Western blot - Anti-FABP-1 antibody (AB153924)
  • WB

Unknown

Western blot - Anti-FABP-1 antibody (AB153924)

10% SDS PAGE

All lanes:

Western blot - Anti-FABP-1 antibody (ab153924) at 1/1000 dilution

All lanes:

HepG2 whole cell lysate at 30 µg

Predicted band size: 37 kDa,43 kDa,48 kDa

false

Western blot - Anti-FABP-1 antibody (AB153924)
  • WB

Unknown

Western blot - Anti-FABP-1 antibody (AB153924)

10 % SDS-PAGE

All lanes:

Western blot - Anti-FABP-1 antibody (ab153924) at 1/1000 dilution

All lanes:

Mouse Neuro2A whole cell lysate at 30 µg

Predicted band size: 48 kDa

false

Western blot - Anti-FABP-1 antibody (AB153924)
  • WB

Unknown

Western blot - Anti-FABP-1 antibody (AB153924)

10 % SDS-PAGE

All lanes:

Western blot - Anti-FABP-1 antibody (ab153924) at 1/1000 dilution

All lanes:

Rat lung lysate at 50 µg

Predicted band size: 39 kDa,48 kDa

false

Key facts

Host species

Rabbit

Clonality

Polyclonal

Isotype

IgG

Carrier free

No

Reacts with

Mouse, Rat, Human

Applications

IHC-P, WB, ICC/IF

applications

Immunogen

Recombinant Fragment Protein within Human GOT2 aa 150-400. The exact immunogen used to generate this antibody is proprietary information.

P00505

Reactivity data

{ "title": "Reactivity Data", "filters": { "stats": ["", "Species", "Dilution Info", "Notes"], "tabs": { "all-applications": {"fullname" : "All Applications", "shortname": "All Applications"}, "WB" : {"fullname" : "Western blot", "shortname":"WB"}, "ICCIF" : {"fullname" : "Immunocytochemistry/ Immunofluorescence", "shortname":"ICC/IF"}, "IHCP" : {"fullname" : "Immunohistochemistry (Formalin/PFA-fixed paraffin-embedded sections)", "shortname":"IHC-P"} }, "product-promise": { "all": "all", "testedAndGuaranteed": "tested", "guaranteed": "expected", "predicted": "predicted", "notRecommended": "not-recommended" } }, "values": { "Human": { "WB-species-checked": "testedAndGuaranteed", "WB-species-dilution-info": "1/500 - 1/3000", "WB-species-notes": "<p></p>", "ICCIF-species-checked": "testedAndGuaranteed", "ICCIF-species-dilution-info": "1/100 - 1/1000", "ICCIF-species-notes": "<p></p>", "IHCP-species-checked": "testedAndGuaranteed", "IHCP-species-dilution-info": "1/100 - 1/1000", "IHCP-species-notes": "<p></p>" }, "Mouse": { "WB-species-checked": "testedAndGuaranteed", "WB-species-dilution-info": "1/500 - 1/3000", "WB-species-notes": "<p></p>", "ICCIF-species-checked": "guaranteed", "ICCIF-species-dilution-info": "", "ICCIF-species-notes": "", "IHCP-species-checked": "guaranteed", "IHCP-species-dilution-info": "", "IHCP-species-notes": "" }, "Rat": { "WB-species-checked": "testedAndGuaranteed", "WB-species-dilution-info": "1/500 - 1/3000", "WB-species-notes": "<p></p>", "ICCIF-species-checked": "guaranteed", "ICCIF-species-dilution-info": "", "ICCIF-species-notes": "", "IHCP-species-checked": "testedAndGuaranteed", "IHCP-species-dilution-info": "1/100 - 1/1000", "IHCP-species-notes": "<p></p>" } } }

Properties and storage information

Form
Liquid
Purification technique
Affinity purification Immunogen
Storage buffer
pH: 7 Preservative: 0.01% Thimerosal (merthiolate) Constituents: PBS, 20% Glycerol (glycerin, glycerine), 1% BSA
Shipped at conditions
Blue Ice
Appropriate short-term storage conditions
+4°C
Appropriate long-term storage conditions
-20°C
Aliquoting information
Upon delivery aliquot
Storage information
Avoid freeze / thaw cycle

Supplementary information

This supplementary information is collated from multiple sources and compiled automatically.

Fatty Acid Binding Protein 1 (FABP-1) also known as Liver-type fatty acid-binding protein (L-FABP) is a small protein with a molecular weight of approximately 14 kDa. FABP-1 is abundantly expressed in the liver and also found in the intestine and kidneys. It functions by binding long-chain fatty acids and other lipophilic substances facilitating their transport within cells. The protein aids intracellular lipid trafficking assisting in the storage and metabolism of fatty acids.
Biological function summary

FABP-1 assists cells in maintaining lipid homeostasis by transporting these fatty acids to different cellular compartments for oxidation signaling or storage. It does not form part of a complex but independently interacts with lipids to buffer their concentration within the cytoplasm. Its role in lipid transport is essential for maintaining metabolic balance and energy production.

Pathways

FABP-1 participates in key metabolic pathways specifically the lipid metabolism and peroxisome proliferator-activated receptor (PPAR) signaling pathway. These pathways influence energy homeostasis and lipid modulation within cells. FABP-1 interacts with other proteins such as peroxisome proliferator-activated receptor alpha (PPARα) which regulates the expression of genes involved in lipid metabolic processes.

FABP-1 shows connections to liver conditions and metabolic syndrome. Altered levels of FABP-1 can indicate liver injury and could be used as a biomarker for non-alcoholic fatty liver disease (NAFLD). FABP-1 also connects to apolipoprotein E (ApoE) a protein involved in lipid metabolism in relation to the development and progression of atherosclerosis impacting cardiovascular health.

Product protocols

For this product, it's our understanding that no specific protocols are required. You can visit:

Target data

Catalyzes the irreversible transamination of the L-tryptophan metabolite L-kynurenine to form kynurenic acid (KA). As a member of the malate-aspartate shuttle, it has a key role in the intracellular NAD(H) redox balance. Is important for metabolite exchange between mitochondria and cytosol, and for amino acid metabolism. Facilitates cellular uptake of long-chain free fatty acids.
See full target information GOT2

Publications (7)

Recent publications for all applications. Explore the full list and refine your search

eLife 12: PubMed38739438

2024

Retinal metabolism displays evidence for uncoupling of glycolysis and oxidative phosphorylation via Cori-, Cahill-, and mini-Krebs-cycle.

Applications

Unspecified application

Species

Unspecified reactive species

Yiyi Chen,Laimdota Zizmare,Victor Calbiague,Lan Wang,Shirley Yu,Fritz W Herberg,Oliver Schmachtenberg,Francois Paquet-Durand,Christoph Trautwein

The Kaohsiung journal of medical sciences 39:801-810 PubMed37265208

2023

Plantamajoside modulates immune dysregulation and hepatic lipid metabolism in rats with nonalcoholic fatty liver disease via AMPK/Nrf2 elevation.

Applications

Unspecified application

Species

Unspecified reactive species

Ji-Mu Wu,Getu Zhaori,Li Mei,Xiao-Man Ren,Arong Tong Laga,Batu Deligen

Frontiers in endocrinology 14:1138078 PubMed37033263

2023

Vitamin D improves hepatic steatosis in NAFLD regulation of fatty acid uptake and β-oxidation.

Applications

Unspecified application

Species

Unspecified reactive species

Tingwan Du,Lian Xiang,Jingjing Zhang,Chunmei Yang,Wenxin Zhao,Jialu Li,Yong Zhou,Ling Ma

Cells 11: PubMed35053322

2022

CerS1 but Not CerS5 Gene Silencing, Improves Insulin Sensitivity and Glucose Uptake in Skeletal Muscle.

Applications

Unspecified application

Species

Unspecified reactive species

Agnieszka U Błachnio-Zabielska,Kamila Roszczyc-Owsiejczuk,Monika Imierska,Karolina Pogodzińska,Paweł Rogalski,Jarosław Daniluk,Piotr Zabielski

International journal of molecular sciences 21: PubMed33171690

2020

Pyrroloquinoline Quinone Modifies Lipid Profile, but Not Insulin Sensitivity, of Palmitic Acid-Treated L6 Myotubes.

Applications

Unspecified application

Species

Unspecified reactive species

Elżbieta Supruniuk,Agnieszka Mikłosz,Adrian Chabowski

Cell death & disease 10:239 PubMed30858360

2019

SOX12 promotes colorectal cancer cell proliferation and metastasis by regulating asparagine synthesis.

Applications

Unspecified application

Species

Unspecified reactive species

Feng Du,Jie Chen,Hao Liu,Yanhui Cai,Tianyu Cao,Weili Han,Xiaofang Yi,Meirui Qian,Dean Tian,Yongzhan Nie,Kaichun Wu,Daiming Fan,Limin Xia

Journal of neurochemistry 142:118-131 PubMed28407315

2017

Drugs with antidepressant properties affect tryptophan metabolites differently in rodent models with depression-like behavior.

Applications

Unspecified application

Species

Unspecified reactive species

Amanda Eskelund,Yan Li,David P Budac,Heidi K Müller,Maria Gulinello,Connie Sanchez,Gregers Wegener
View all publications

Product promise

We are committed to supporting your work with high-quality reagents, and we're here for you every step of the way. In the unlikely event that one of our products does not perform as expected, you're protected by our Product Promise.
For full details, please see our Terms & Conditions

Please note: All products are 'FOR RESEARCH USE ONLY. NOT FOR USE IN DIAGNOSTIC OR THERAPEUTIC PROCEDURES'.

For licensing inquiries, please contact partnerships@abcam.com