JavaScript is disabled in your browser. Please enable JavaScript to view this website.
AB92501

Anti-FABP4 antibody [EPR3579]

  • BOND RX™ Validated
  • 20ul selling size
  • RabMAb
  • Advanced Validation
  • Recombinant
  • What is this?

4

(3 Reviews)

|

(139 Publications)

Anti-FABP4 antibody [EPR3579] (ab92501) is a rabbit monoclonal antibody detecting FABP4 in Western Blot, IHC-P, ICC/IF, mIHC. Suitable for Human, Mouse, Rat.

- Multiplex IHC validated on the Leica BOND® MAX using Opal reagents
- Biophysical QC for unrivalled batch-batch consistency
- Over 90 publications
- Trusted since 2010

View Alternative Names

Adipocyte lipid-binding protein, Adipocyte-type fatty acid-binding protein, Fatty acid-binding protein 4, ALBP, A-FABP, AFABP, FABP4

7 Images
Multiplex immunohistochemistry - Anti-FABP4 antibody [EPR3579] (AB92501)
  • mIHC

Lab

Multiplex immunohistochemistry - Anti-FABP4 antibody [EPR3579] (AB92501)

Fluorescence multiplex immunohistochemical analysis of the human breast (Formalin/PFA-fixed paraffin-embedded sections). Panel A : merged staining of anti-B7H4 (ab252438, red; Opal™690), anti-CD10 (ab255609, gray; Opal™520) and anti-FABP4 (ab92501, cyan; Opal™570) on human breast. Panel B : anti-B7H4 stained on glandular lumens. Panel C : anti-CD10 stained on myoepithelial cells. Panel D : anti-FABP4 stained on adipocytes. Opal Polymer HRP Ms + Rb was used as a secondary antibody. The section was incubated in three rounds of staining : in the order of ab252438 at 1/100 dilution (4.69 μg/ml), ab255609 at 1/1000 dilution (0.615 μg/ml) and ab92501 at 1/10000 dilution (0.047 μg/ml) for 30 mins at room temperature. Each round was followed by a separate fluorescent tyramide signal amplification system. The immunostaining was performed on a Leica Biosystems BOND® RX instrument with an Opal™ 4-color kit. Image acquisition was performed with Leica SP8 confocal microscope. Heat mediated antigen retrieval with Tris-EDTA buffer (pH 9.0, epitope retrieval solution2) for 20 mins. DAPI (blue) was used as a nuclear counter stain.

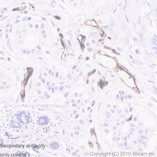
Immunohistochemistry (Formalin/PFA-fixed paraffin-embedded sections) - Anti-FABP4 antibody [EPR3579] (AB92501)
  • IHC-P

Unknown

Immunohistochemistry (Formalin/PFA-fixed paraffin-embedded sections) - Anti-FABP4 antibody [EPR3579] (AB92501)

Immunohistochemistry (Formalin/PFA-fixed paraffin-embedded sections) analysis of human breast tissue sections labeling FABP4 with Purified ab92501 at 1/16,000 dilution (0.03 µg/ml). Heat mediated antigen retrieval was performed Perform heat mediated antigen retrieval using ab93684 (Tris/EDTA buffer, pH 9.0). ImmunoHistoProbe one step HRP Polymer (ready to use) was used as the secondary antibody. Negative control : PBS instead of the primary antibody. Hematoxylin was used as a counterstain.

Multiplex immunohistochemistry - Anti-FABP4 antibody [EPR3579] (AB92501)
  • mIHC

Lab

Multiplex immunohistochemistry - Anti-FABP4 antibody [EPR3579] (AB92501)

Fluorescence multiplex immunohistochemical analysis of the Human parathyroid gland (Formalin/PFA-fixed paraffin-embedded sections). Panel A : merged staining of anti-CaSR (ab259846, magenta; Opal™690), anti-Cytochrome C (ab247438, green; Opal™520) and anti-FABP4 (ab92501, red; Opal™570) on human parathyroid gland. Panel B : anti-CaSR stained on parathyroid chief cells. Panel C : anti-Cytochrome C stained on parathyroid oxyphil cells. Panel D : anti-FABP4 stained on adipocytes. Opal Polymer HRP Ms + Rb was used as a secondary antibody. The section was incubated in three rounds of staining : in the order of ab259846 at 1/5000 dilution (0.103 μg/ml), ab247438 at 1/5000 dilution (0.195 μg/ml), and ab92501 at 1/10000 dilution (0.047 μg/ml) for 30 mins at room temperature. Each round was followed by a separate fluorescent tyramide signal amplification system. The immunostaining was performed on a Leica Biosystems BOND® RX instrument with an Opal™ 4-color kit. Image acquisition was performed with Leica SP8 confocal microscope. Heat mediated antigen retrieval with Tris-EDTA buffer (pH 9.0, epitope retrieval solution2) for 20 mins. DAPI (blue) was used as a nuclear counter stain.

Multiplex immunohistochemistry - Anti-FABP4 antibody [EPR3579] (AB92501)
  • mIHC

Lab

Multiplex immunohistochemistry - Anti-FABP4 antibody [EPR3579] (AB92501)

Fluorescence multiplex immunohistochemical analysis of the human parathyroid gland (Formalin/PFA-fixed paraffin-embedded sections). Panel A : merged staining of anti-Parathyroid Hormone (ab236229, magenta; Opal™690), anti-Cytochrome C (ab247438, green; Opal™520) and anti-FABP4 (ab92501, red; Opal™570) on human parathyroid gland. Panel B : anti-Cytochrome C stained on parathyroid oxyphil cells. Panel C : anti-Parathyroid Hormone stained on parathyroid chief cells. Panel D : anti-FABP4 stained on adipocytes. Opal Polymer HRP Ms + Rb was used as a secondary antibody. The section was incubated in three rounds of staining : in the order of ab236229 at 1/200 dilution (5.065 μg/ml) for 10 mins, then ab247438 at 1/5000 dilution (0.195 μg/ml) and ab92501 at 1/10000 dilution (0.047 μg/ml) for 30 mins at room temperature. Each round was followed by a separate fluorescent tyramide signal amplification system. The immunostaining was performed on a Leica Biosystems BOND® RX instrument with an Opal™ 4-color kit. Image acquisition was performed with Leica SP8 confocal microscope. Heat mediated antigen retrieval was performed with Citrate buffer (pH 6.0, Epitope Retrieval Solution 1) for 20 mins. DAPI (blue) was used as a nuclear counter stain.

Immunocytochemistry/ Immunofluorescence - Anti-FABP4 antibody [EPR3579] (AB92501)
  • ICC/IF

Unknown

Immunocytochemistry/ Immunofluorescence - Anti-FABP4 antibody [EPR3579] (AB92501)

Immunocytochemistry/ Immunofluorescence analysis of 3T3-L1 (Mouse embryonic fibroblast) differentiated for 6 days cells labeling FABP4 with Purifiedab92501 at 1/50 dilution (9.9 μg/ml). Cells were fixed in 4% Paraformaldehyde and permeabilized with 0.1% tritonX-100. Cells were counterstained with ab195889 Anti-alpha Tubulin antibody [DM1A] - Microtubule Marker (Alexa Fluor® 594) 1/200 (2.5 μg/ml). Goat anti rabbit IgG (Alexa Fluor® 488, ab150077) was used as the secondary antibody at 1/1000 (2 μg/ml) dilution. DAPI (blue) was used as nuclear counterstain. PBS instead of the primary antibody was used as the secondary antibody only control.

Western blot - Anti-FABP4 antibody [EPR3579] (AB92501)
  • WB

Lab

Western blot - Anti-FABP4 antibody [EPR3579] (AB92501)

FABP4 is abundantly expressed in adipose tissue and at a lower level in lung, heart, skin, kidney, liver and brain (PMID : 23143994).

All lanes:

Western blot - Anti-FABP4 antibody [EPR3579] (ab92501) at 1/1000 dilution

Lane 1:

Mouse brown adipose tissue lysates at 20 µg

Lane 2:

Mouse heart lysates at 20 µg

Lane 3:

Mouse kidney lysates at 20 µg

Lane 4:

Mouse lung lysates at 20 µg

Lane 5:

Human adipose tissue lysates at 20 µg

Lane 6:

Rat adipose tissue lysates at 20 µg

Secondary

All lanes:

Western blot - Goat Anti-Rabbit IgG H&L (HRP) (<a href='/en-us/products/secondary-antibodies/goat-rabbit-igg-h-l-hrp-ab97051'>ab97051</a>) at 1/20000 dilution

Predicted band size: 15 kDa

Observed band size: 15 kDa

false

Immunocytochemistry/ Immunofluorescence - Anti-FABP4 antibody [EPR3579] (AB92501)
  • ICC/IF

Unknown

Immunocytochemistry/ Immunofluorescence - Anti-FABP4 antibody [EPR3579] (AB92501)

FABP4 (green) was detected using FABP4 primary antibody (unpurified ab92501; diluted 1/1000). Alpha tubulin (red) was detected using our mouse monoclonal (ab7291) antibody. Cells were imaged by confocal microscopy, using z-stack for adipocyte-like cells.

Key facts

Host species

Rabbit

Clonality

Monoclonal

Clone number

EPR3579

Isotype

IgG

Carrier free

No

Reacts with

Mouse, Rat, Human

Applications

mIHC, ICC/IF, WB, IHC-P

applications

Immunogen

The exact immunogen used to generate this antibody is proprietary information.

Specificity

This antibody may cross-react with FABP, FABP3 and FABP9 based on the blast alignments.

Reactivity data

{ "title": "Reactivity Data", "filters": { "stats": ["", "Species", "Dilution Info", "Notes"], "tabs": { "all-applications": {"fullname" : "All Applications", "shortname": "All Applications"}, "mIHC" : {"fullname" : "Multiplex immunohistochemistry", "shortname":"mIHC"}, "WB" : {"fullname" : "Western blot", "shortname":"WB"}, "ICCIF" : {"fullname" : "Immunocytochemistry/ Immunofluorescence", "shortname":"ICC/IF"}, "IHCP" : {"fullname" : "Immunohistochemistry (Formalin/PFA-fixed paraffin-embedded sections)", "shortname":"IHC-P"} }, "product-promise": { "all": "all", "testedAndGuaranteed": "tested", "guaranteed": "expected", "predicted": "predicted", "notRecommended": "not-recommended" } }, "values": { "Human": { "mIHC-species-checked": "testedAndGuaranteed", "mIHC-species-dilution-info": "1/10000", "mIHC-species-notes": "<p></p>", "WB-species-checked": "testedAndGuaranteed", "WB-species-dilution-info": "1/1000 - 1/5000", "WB-species-notes": "<p></p>", "ICCIF-species-checked": "guaranteed", "ICCIF-species-dilution-info": "", "ICCIF-species-notes": "", "IHCP-species-checked": "testedAndGuaranteed", "IHCP-species-dilution-info": "1/16000", "IHCP-species-notes": "<p></p> Perform heat-mediated antigen retrieval with Tris/EDTA buffer pH 9.0 before commencing with IHC staining protocol." }, "Mouse": { "mIHC-species-checked": "notRecommended", "mIHC-species-dilution-info": "", "mIHC-species-notes": "", "WB-species-checked": "testedAndGuaranteed", "WB-species-dilution-info": "1/1000 - 1/5000", "WB-species-notes": "<p></p>", "ICCIF-species-checked": "testedAndGuaranteed", "ICCIF-species-dilution-info": "1/50", "ICCIF-species-notes": "<p><strong>For unpurified use at 1/1000.</strong></p>", "IHCP-species-checked": "notRecommended", "IHCP-species-dilution-info": "", "IHCP-species-notes": "<p></p>" }, "Rat": { "mIHC-species-checked": "notRecommended", "mIHC-species-dilution-info": "", "mIHC-species-notes": "", "WB-species-checked": "testedAndGuaranteed", "WB-species-dilution-info": "1/1000 - 1/5000", "WB-species-notes": "<p></p>", "ICCIF-species-checked": "guaranteed", "ICCIF-species-dilution-info": "", "ICCIF-species-notes": "", "IHCP-species-checked": "notRecommended", "IHCP-species-dilution-info": "", "IHCP-species-notes": "<p></p>" } } }

Product details

What is this antibody validated in?
Anti-FABP4 antibody [EPR3579] (ab92501) is a rabbit recombinant monoclonal antibody and is validated for use in Western Blot (WB), Immunohistochemistry (IHC-P), Immunocytochemistry/immunofluorescence (ICC/IF), Multiplex IHC (mIHC) in Human, Mouse, Rat samples.

What is the molecular weight of FABP4?
Anti-FABP4 [EPR3579] (ab92501) specifically detects a band for FABP4 (UniProt: P15090) at a molecular weight of 15kDa.

Trusted by the scientific community
Anti-FABP4 [EPR3579] (ab92501) was first used in a scientific publication in 2010 and has been cited over 90 times in peer-reviewed journals.

Trial sizes available!
Test your antibody or perform pre-screening before committing to a larger quantity. Sold in 10µl. Discover our selection of trial-size antibodies.

Other related products
We have a range of other formats of antibody clone [EPR3579] also available for your convenience: ab92501, Alexa Fluor® 488 - ab216366, HRP - ab216528, Alexa Fluor® 647 - ab216529, Alexa Fluor® 594 - ab216708, Carrier free - ab219595

Patented technology
Our RabMAb® technology is a patented hybridoma-based technology for making rabbit monoclonal antibodies. For details on our patents, please refer to RabMAb® patents.

What are the advantages of a recombinant monoclonal antibody?
This product is a recombinant monoclonal antibody, which offers several advantages including:

  • - High batch-to-batch consistency and reproducibility
  • - Improved sensitivity and specificity
  • - Long-term security of supply
  • - Animal-free batch production

For more information, read more on recombinant antibodies.

Properties and storage information

Form
Liquid
Purification technique
Affinity purification Protein A
Storage buffer
pH: 7.2 - 7.4 Preservative: 0.01% Sodium azide Constituents: PBS, 40% Glycerol (glycerin, glycerine), 0.05% BSA
Shipped at conditions
Blue Ice
Appropriate short-term storage duration
1-2 weeks
Appropriate short-term storage conditions
+4°C
Appropriate long-term storage conditions
-20°C
Aliquoting information
Upon delivery aliquot
Storage information
Avoid freeze / thaw cycle

Supplementary information

This supplementary information is collated from multiple sources and compiled automatically.

Fatty acid-binding protein 4 (FABP4) also known as aP2 is a member of the fatty acid-binding protein family. It predominantly exists in adipocytes and macrophages serving an important role in lipid metabolism and transport. FABP4 facilitates the binding and transport of long-chain fatty acids and other hydrophobic molecules within cells. The molecular weight of FABP4 is approximately 14-15 kDa. It exhibits high expression levels in adipose tissue and is inducible in macrophages under certain conditions.
Biological function summary

This protein participates in the regulation of lipid homeostasis and energy metabolism. FABP4 is part of the lipid-binding protein family that helps maintain fatty acid equilibrium within cells. By controlling the transport and signaling of lipids FABP4 impacts lipid storage insulin sensitivity and inflammation processes. Its activity is not confined to a specific multimeric complex yet it interacts with other proteins to exert its functions contributing to significant metabolic pathways in the body.

Pathways

FABP4 plays essential roles in the regulation of metabolic and inflammatory signaling pathways. It is intricately involved in the peroxisome proliferator-activated receptor gamma (PPARγ) pathway where it modulates adipose tissue development and glucose metabolism. In addition FABP4 has connections with the c-Jun N-terminal kinase (JNK) signaling pathway influencing stress and inflammatory responses. Interactions with these pathways place FABP4 at a link with proteins like PPARγ and JNK essential for cellular metabolic balance and responses to metabolic stress.

Researchers connect FABP4 to conditions such as obesity and type 2 diabetes. Its expression levels correlate with insulin resistance and metabolic syndrome making it a target of interest in these metabolic disorders. FABP4 interacts with other proteins like adiponectin which is important in modulating glucose levels and fatty acid breakdown. Understanding FABP4's role in these pathways can facilitate the development of therapeutic strategies aimed at targeting metabolic dysfunctions associated with obesity and diabetes.

Product protocols

For this product, it's our understanding that no specific protocols are required. You can visit:

Target data

Lipid transport protein in adipocytes. Binds both long chain fatty acids and retinoic acid. Delivers long-chain fatty acids and retinoic acid to their cognate receptors in the nucleus.
See full target information FABP4

Publications (139)

Recent publications for all applications. Explore the full list and refine your search

Small science 5:2400468 PubMed40657193

2025

Magnetoactive Nanotopography on Hydrogels for Stimulated Cell Adhesion and Differentiation.

Applications

Unspecified application

Species

Unspecified reactive species

Md Shariful Islam,Thomas G Molley,Gagan K Jalandhra,Jason Fang,Jamie J Kruzic,Kristopher A Kilian

Journal of cellular and molecular medicine 29:e70662 PubMed40600806

2025

The Mechanism Exploration of Traditional Chinese Medicine's "Different Treatments for Same Disease" Concept in Osteoporosis Therapy: A Serum Metabolomics Study.

Applications

Unspecified application

Species

Unspecified reactive species

Jingyuan Wen,Xuefeng Li,Zhen Wu,Liu Jiangyuan,Guanyin Wang,Xu Wang,Zhengsheng Bao,Yang Yu,Pinger Wang,Zhenyu Shi,Bing Xu,Yunhuo Cai,Hongting Jin,Jiali Chen

Molecular medicine (Cambridge, Mass.) 31:206 PubMed40414869

2025

METTL9 mediated N1-Histidine methylation of SLC39A7 confers ferroptosis resistance and inhibits adipogenic differentiation in mesenchymal stem cells.

Applications

Unspecified application

Species

Unspecified reactive species

Jiahao Jin,Quanfeng Li,Yunhui Zhang,Pengfei Ji,Xinlang Wang,Yibin Zhang,Zihao Yuan,Jianan Jiang,Guangqi Tian,Mingxi Cai,Pei Feng,Yanfeng Wu,Peng Wang,Wenjie Liu

Nature communications 16:4437 PubMed40360512

2025

FABP4 inhibition suppresses bone resorption and protects against postmenopausal osteoporosis in ovariectomized mice.

Applications

Unspecified application

Species

Unspecified reactive species

Qian Xie,Xiangfu Du,Jianhui Liang,Yanni Shen,Yufan Ling,Zhengji Huang,Zekai Ke,Tai Li,Bing Song,Tailin Wu,Yan Wang,Huiren Tao

Cellular and molecular life sciences : CMLS 82:149 PubMed40192802

2025

Circular RNA circSTX12 regulates osteo-adipogenic balance and proliferation of BMSCs in senile osteoporosis.

Applications

Unspecified application

Species

Unspecified reactive species

Huimin Gu,Wenhui Yu,Pei Feng,Chenying Zeng,Qian Cao,Fenglei Chen,Ziming Wang,Huiyong Shen,Yanfeng Wu,Shan Wang

Communications biology 8:514 PubMed40155473

2025

Defining gastric cancer ecology: the crucial roles of TREM2 macrophages and fibroblasts in tumor microenvironments.

Applications

Unspecified application

Species

Unspecified reactive species

Qianqian Cao,Dianshui Sun,Can Tu,Jihua Wang,Runjia Fu,Rumei Gong,Yueying Xiao,Qin Liu,Xiaomei Li

Cell death discovery 11:88 PubMed40044676

2025

Targeting Caveolin-1 for enhanced rotator cuff repair: findings from single-cell RNA sequencing.

Applications

Unspecified application

Species

Unspecified reactive species

Shanhong Fang,Songye Wu,Peng Chen

Animal nutrition (Zhongguo xu mu shou yi xue hui) 19:180-191 PubMed39635421

2024

Dietary inositol supplementation improves meat quality by modulating amino acid metabolism and gut microbiota composition of finishing pigs.

Applications

Unspecified application

Species

Unspecified reactive species

Enfa Yan,Haijun Sun,Linjuan He,Boyang Wan,Ming Shen,Qiyuan Miao,Jingdong Yin,Xin Zhang

Oncology letters 29:67 PubMed39619421

2024

Olaparib promotes FABP4 expression and reduces antitumor effect in ovarian cancer cells with a mutation.

Applications

Unspecified application

Species

Unspecified reactive species

Wei Huang,Hongxue Meng,Ye Xu,Lan Huang,Ge Lou

Scientific reports 14:26860 PubMed39500936

2024

Preparation and characterization of Tobacco polysaccharides and its modulation on hyperlipidemia in high-fat-diet-induced mice.

Applications

Unspecified application

Species

Unspecified reactive species

Shuaishuai Chang,Xuanhao Lei,Weijia Xu,Feng Guan,Jian Ge,Fuzhao Nian
View all publications

Product promise

We are committed to supporting your work with high-quality reagents, and we're here for you every step of the way. In the unlikely event that one of our products does not perform as expected, you're protected by our Product Promise.
For full details, please see our Terms & Conditions

Please note: All products are 'FOR RESEARCH USE ONLY. NOT FOR USE IN DIAGNOSTIC OR THERAPEUTIC PROCEDURES'.

For licensing inquiries, please contact partnerships@abcam.com