JavaScript is disabled in your browser. Please enable JavaScript to view this website.
AB151772

Anti-FABP5 antibody

Be the first to review this product! Submit a review

|

(2 Publications)

Rabbit Polyclonal FABP5 antibody. Suitable for WB, IHC-P and reacts with Rat, Mouse samples. Cited in 2 publications. Immunogen corresponding to Synthetic Peptide within Mouse Fabp5.

View Alternative Names

Fatty acid-binding protein 5, Cutaneous fatty acid-binding protein, DA11, Epidermal-type fatty acid-binding protein, C-FABP, E-FABP, Fabp5

3 Images
Immunohistochemistry (Formalin/PFA-fixed paraffin-embedded sections) - Anti-FABP5 antibody (AB151772)
  • IHC-P

Supplier Data

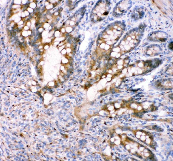
Immunohistochemistry (Formalin/PFA-fixed paraffin-embedded sections) - Anti-FABP5 antibody (AB151772)

FABP5 was detected in a paraffin-embedded section of mouse intestine tissue. Heat mediated antigen retrieval was performed in EDTA buffer (pH 8.0, epitope retrieval solution). The tissue section was blocked with 10% goat serum. The tissue section was then incubated with 2 µg/ml ab151772 overnight at 4°C. Peroxidase Conjugated Goat Anti-rabbit IgG was used as secondary antibody and incubated for 30 minutes at 37°C. The tissue section was developed using HRP Conjugated Rabbit IgG Super Vision Assay Kit with DAB as the chromogen.

Immunohistochemistry (Formalin/PFA-fixed paraffin-embedded sections) - Anti-FABP5 antibody (AB151772)
  • IHC-P

Supplier Data

Immunohistochemistry (Formalin/PFA-fixed paraffin-embedded sections) - Anti-FABP5 antibody (AB151772)

FABP5 was detected in a paraffin-embedded section of rat intestine tissue. Heat mediated antigen retrieval was performed in EDTA buffer (pH 8.0, epitope retrieval solution). The tissue section was blocked with 10% goat serum. The tissue section was then incubated with 2 µg/ml ab151772 overnight at 4°C. Peroxidase Conjugated Goat Anti-rabbit IgG was used as secondary antibody and incubated for 30 minutes at 37°C. The tissue section was developed using HRP Conjugated Rabbit IgG Super Vision Assay Kit with DAB as the chromogen.

Western blot - Anti-FABP5 antibody (AB151772)
  • WB

Supplier Data

Western blot - Anti-FABP5 antibody (AB151772)

Electrophoresis was performed on a 5-20% SDS-PAGE gel at 70V (Stacking gel) / 90V (Resolving gel) for 2-3 hours. After electrophoresis, proteins were transferred to a nitrocellulose membrane at 150 mA for 50-90 minutes. Blocked the membrane with 5% non-fat milk/TBS for 1.5 hour at RT. The membrane was incubated with ab151772 at 0.5 µg/mL overnight at 4°C, then washed with TBS-0.1% Tween 3 times with 5 minutes each and probed with a goat anti-rabbit IgG-HRP secondary antibody at a dilution of 1/5000 for 1.5 hour at RT. The signal is developed using an Enhanced Chemiluminescent detection (ECL) kit with Tanon 5200 system. A specific band was detected for FABP5 at approximately 15 kDa. The expected band size for FABP5 is at 15 kDa.

All lanes:

Western blot - Anti-FABP5 antibody (ab151772) at 0.5 µg/mL

Lane 1:

rat lung tissue lysates at 30 µg

Lane 2:

rat intestine tissue lysates at 30 µg

Lane 3:

mouse lung tissue lysates at 30 µg

Secondary

All lanes:

goat anti-rabbit IgG-HRP at 1/5000 dilution

true

Key facts

Host species

Rabbit

Clonality

Polyclonal

Isotype

IgG

Carrier free

No

Reacts with

Mouse, Rat

Applications

WB, IHC-P

applications

Immunogen

Synthetic Peptide within Mouse Fabp5. The exact immunogen used to generate this antibody is proprietary information.

Q05816

Reactivity data

{ "title": "Reactivity Data", "filters": { "stats": ["", "Species", "Dilution Info", "Notes"], "tabs": { "all-applications": {"fullname" : "All Applications", "shortname": "All Applications"}, "WB" : {"fullname" : "Western blot", "shortname":"WB"}, "IHCP" : {"fullname" : "Immunohistochemistry (Formalin/PFA-fixed paraffin-embedded sections)", "shortname":"IHC-P"} }, "product-promise": { "all": "all", "testedAndGuaranteed": "tested", "guaranteed": "expected", "predicted": "predicted", "notRecommended": "not-recommended" } }, "values": { "Mouse": { "WB-species-checked": "testedAndGuaranteed", "WB-species-dilution-info": "0.1-0.5 µg/mL", "WB-species-notes": "<p></p>", "IHCP-species-checked": "testedAndGuaranteed", "IHCP-species-dilution-info": "2-5 µg/mL", "IHCP-species-notes": "<p></p>" }, "Rat": { "WB-species-checked": "testedAndGuaranteed", "WB-species-dilution-info": "0.1-0.5 µg/mL", "WB-species-notes": "<p></p>", "IHCP-species-checked": "testedAndGuaranteed", "IHCP-species-dilution-info": "2-5 µg/mL", "IHCP-species-notes": "<p></p>" } } }

Properties and storage information

Form
Liquid
Purification technique
Affinity purification Immunogen
Storage buffer
Preservative: 0.31% Thimerosal (merthiolate), 0.06% Sodium azide Constituents: 30.75% BSA, 5.54% Sodium chloride, 1.23% Disodium hydrogenorthophosphate
Shipped at conditions
Blue Ice
Appropriate short-term storage conditions
+4°C
Appropriate long-term storage conditions
-20°C
Aliquoting information
Upon delivery aliquot
Storage information
Avoid freeze / thaw cycle

Supplementary information

This supplementary information is collated from multiple sources and compiled automatically.

The FABP5 protein also known as Fatty Acid Binding Protein 5 or Epidermal-type Fatty Acid Binding Protein (E-FABP) serves an important role in the transport and metabolism of long-chain fatty acids. It has a molecular mass of approximately 15 kDa. FABP5 is expressed in multiple tissues with notably high expression in the epidermis brain liver and adipose tissue. This protein assists in intracellular fatty acid movement affecting cellular lipid catabolism.
Biological function summary

FABP5 interacts with specific ligands such as long-chain fatty acids which influences cellular processes like growth differentiation and energy homeostasis. It is not known to be part of a larger complex. This protein is integral in regulating lipid signaling pathways and responses due to its binding capacity which modulates the availability of fatty acids for metabolic processes. Its expression pattern hints at a possible role in the body's adaptation to dietary lipid intake.

Pathways

FABP5 holds a significant position in the peroxisome proliferator-activated receptor (PPAR) signaling pathway and the fatty acid metabolism pathway. In the PPAR signaling pathway FABP5 influences the activity of PPARβ/δ receptors which regulate gene expression involved in lipid metabolism and energy homeostasis. It is related to other fatty acid binding proteins such as FABP4 which similarly participate in lipid metabolic processes and have roles in the regulation of lipid and glucose metabolism.

Researchers have linked FABP5 to conditions like psoriasis and type 2 diabetes. In psoriasis the overexpression of FABP5 has been observed in skin lesions suggesting that it might contribute to the pathological process. FABP5 is also connected to metabolic syndrome and insulin resistance as its dysregulation can influence lipid and glucose metabolism processes. In these disorders FABP5 interacts with proteins like PPARγ indicating possible intervention points for therapeutic targeting.

Product protocols

For this product, it's our understanding that no specific protocols are required. You can visit:

Target data

Intracellular carrier for long-chain fatty acids and related active lipids, such as endocannabinoids, that regulate the metabolism and actions of the ligands they bind. In addition to the cytosolic transport, selectively delivers specific fatty acids from the cytosol to the nucleus, wherein they activate nuclear receptors (By similarity). Delivers retinoic acid to the nuclear receptor peroxisome proliferator-activated receptor delta; which promotes proliferation and survival. May also serve as a synaptic carrier of endocannabinoid at central synapses and thus controls retrograde endocannabinoid signaling. Modulates inflammation by regulating PTGES induction via NF-kappa-B activation, and prostaglandin E2 (PGE2) biosynthesis during inflammation (By similarity).
See full target information Fabp5

Publications (2)

Recent publications for all applications. Explore the full list and refine your search

Investigative ophthalmology & visual science 66:60 PubMed39992672

2025

Untargeted Tear Proteomics in a Large South-Asian Cohort Reveals Inflammatory Signaling, ECM Remodeling, and Altered Metabolism in Keratoconus.

Applications

Unspecified application

Species

Unspecified reactive species

Ramaraj Kannan,Rohit Shetty,Trailokyanath Panigrahi,Siew Kwan Koh,Pooja Khamar,Vrushali Deshpande,Rudy M M A Nuijts,Marlies Gijs,Krishnatej Nishtala,Lei Zhou,Arkasubhra Ghosh

Cellular and molecular life sciences : CMLS 82:81 PubMed39982519

2025

FOXO regulation of TXNIP induces ferroptosis in satellite cells by inhibiting glutathione metabolism, promoting Sarcopenia.

Applications

Unspecified application

Species

Unspecified reactive species

Yasenjiang Maimaiti,Mukedasi Abulitifu,Zulifeiya Ajimu,Ting Su,Zhanying Zhang,Zhichao Yu,Hong Xu
View all publications

Product promise

We are committed to supporting your work with high-quality reagents, and we're here for you every step of the way. In the unlikely event that one of our products does not perform as expected, you're protected by our Product Promise.
For full details, please see our Terms & Conditions

Please note: All products are 'FOR RESEARCH USE ONLY. NOT FOR USE IN DIAGNOSTIC OR THERAPEUTIC PROCEDURES'.

For licensing inquiries, please contact partnerships@abcam.com