JavaScript is disabled in your browser. Please enable JavaScript to view this website.
AB255291

Anti-FABP5 antibody [EPR22552-64] - BSA and Azide free

3

(1 Review)

|

(1 Publication)

Rabbit Recombinant Monoclonal FABP5 antibody. Carrier free. Suitable for WB, ICC/IF, IHC-P and reacts with Human samples. Cited in 1 publication.

View Alternative Names

Fatty acid-binding protein 5, Epidermal-type fatty acid-binding protein, Psoriasis-associated fatty acid-binding protein homolog, E-FABP, PA-FABP, FABP5

6 Images
Immunohistochemistry (Formalin/PFA-fixed paraffin-embedded sections) - Anti-FABP5 antibody [EPR22552-64] - BSA and Azide free (AB255291)
  • IHC-P

Supplier Data

Immunohistochemistry (Formalin/PFA-fixed paraffin-embedded sections) - Anti-FABP5 antibody [EPR22552-64] - BSA and Azide free (AB255291)

Immunohistochemical analysis of paraffin-embedded human cerebral cortex tissue labeling FABP5 with ab255276 at 1/4000 dilution, followed by Goat Anti-Rabbit IgG H&L (HRP) ready to use. Positive staining on human cerebral cortex (PMID : 24114376) is observed. Counter stained with hematoxylin.

Secondary antibody only control : Used PBS instead of primary antibody, secondary antibody is Goat Anti-Rabbit IgG H&L (HRP) ready to use.Heat mediated antigen retrieval using ab93684 (Tris/EDTA buffer, pH 9.0).This data was developed using the same antibody clone in a different buffer formulation containing PBS, BSA, glycerol, and sodium azide (ab255276).

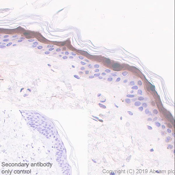
Immunohistochemistry (Formalin/PFA-fixed paraffin-embedded sections) - Anti-FABP5 antibody [EPR22552-64] - BSA and Azide free (AB255291)
  • IHC-P

Supplier Data

Immunohistochemistry (Formalin/PFA-fixed paraffin-embedded sections) - Anti-FABP5 antibody [EPR22552-64] - BSA and Azide free (AB255291)

Immunohistochemical analysis of paraffin-embedded human skin tissue labeling FABP5 with ab255276 at 1/4000 dilution, followed by Goat Anti-Rabbit IgG H&L (HRP) ready to use. Positive staining on human skin (PMID : 8092987) is observed. Counter stained with hematoxylin. Secondary antibody only control : Used PBS instead of primary antibody, secondary antibody is Goat Anti-Rabbit IgG H&L (HRP) ready to use. Heat mediated antigen retrieval using ab93684 (Tris/EDTA buffer, pH 9.0). This data was developed using the same antibody clone in a different buffer formulation containing PBS, BSA, glycerol, and sodium azide (ab255276).

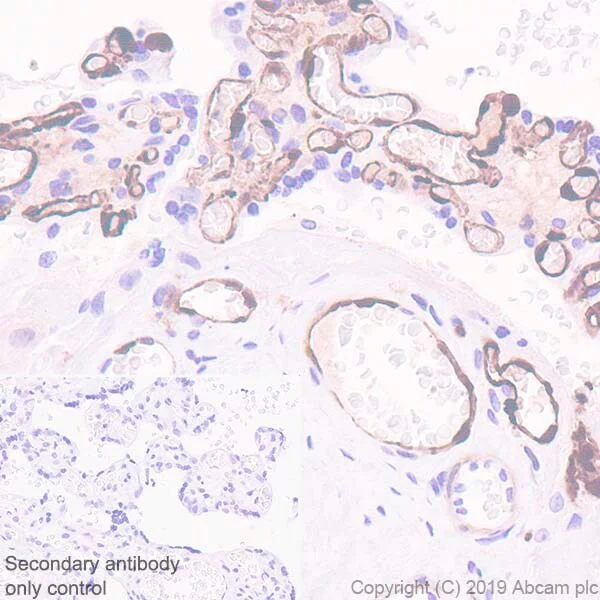
Immunohistochemistry (Formalin/PFA-fixed paraffin-embedded sections) - Anti-FABP5 antibody [EPR22552-64] - BSA and Azide free (AB255291)
  • IHC-P

Supplier Data

Immunohistochemistry (Formalin/PFA-fixed paraffin-embedded sections) - Anti-FABP5 antibody [EPR22552-64] - BSA and Azide free (AB255291)

Immunohistochemical analysis of paraffin-embedded human placenta tissue labeling FABP5 with ab255276 at 1/4000 dilution, followed by Goat Anti-Rabbit IgG H&L (HRP) ready to use. Positive staining on blood vessels of human placenta (PMID : 19625659) is observed. Counter stained with hematoxylin.

Secondary antibody only control : Used PBS instead of primary antibody, secondary antibody is Goat Anti-Rabbit IgG H&L (HRP) ready to use.Heat mediated antigen retrieval using ab93684 (Tris/EDTA buffer, pH 9.0).This data was developed using the same antibody clone in a different buffer formulation containing PBS, BSA, glycerol, and sodium azide (ab255276).

Immunocytochemistry/ Immunofluorescence - Anti-FABP5 antibody [EPR22552-64] - BSA and Azide free (AB255291)
  • ICC/IF

Supplier Data

Immunocytochemistry/ Immunofluorescence - Anti-FABP5 antibody [EPR22552-64] - BSA and Azide free (AB255291)

Immunofluorescent analysis of 4% paraformaldehyde-fixed, 0.1% Triton X-100 permeabilized MDA-MB-231 (human breast adenocarcinoma epithelial cell) labeling FABP5 with ab255276 at 1/50 dilution, followed by Goat Anti-Rabbit IgG H&L (Alexa Fluor® 488) (ab150077) secondary antibody at 1/1000 dilution (green).

Anti-alpha Tubulin antibody [DM1A] - Microtubule Marker (Alexa Fluor® 594) (ab195889) at 1/200 was used as a counterstain (red).

The nuclear counterstain is DAPI (blue).

Confocal image showing cytoplasmic and nuclear staining in MDA-MB-231 cells.

Negative Control : T-47D (PMID : 21356353).

This data was developed using the same antibody clone in a different buffer formulation containing PBS, BSA, glycerol, and sodium azide (ab255276).

Western blot - Anti-FABP5 antibody [EPR22552-64] - BSA and Azide free (AB255291)
  • WB

Supplier Data

Western blot - Anti-FABP5 antibody [EPR22552-64] - BSA and Azide free (AB255291)

This data was developed using the same antibody clone in a different buffer formulation (ab255276).

Lanes 1-3 : Merged signal (red and green). Green - ab255276 observed at 17 kDa. Red - loading control ab8245 observed at 36 kDa.

ab255276 Anti-FABP5 antibody [EPR22552-64] was shown to specifically react with FABP5 in wild-type HeLa cells. Loss of signal was observed when knockout cell line ab265905 (knockout cell lysate ab257431) was used.  Wild-type and FABP5 knockout samples were subjected to SDS-PAGE.  ab255276 and Anti-GAPDH antibody [6C5] - Loading Control (ab8245) were incubated at room temperature for 2.5 hours at 1 in 1000 dilution and 1 in 20000 dilution respectively.  Blots were developed with Goat anti-Rabbit IgG H&L (IRDye® 800CW) preadsorbed (ab216773) and Goat anti-Mouse IgG H&L (IRDye® 680RD) preadsorbed (ab216776) secondary antibodies at 1 in 20000 dilution for 1 hour at room temperature before imaging.

All lanes:

Western blot - Anti-FABP5 antibody [EPR22552-64] (<a href='/en-us/products/primary-antibodies/fabp5-antibody-epr22552-64-ab255276'>ab255276</a>) at 1/1000 dilution

Lane 1:

Wild-type HeLa cell lysate at 20 µg

Lane 2:

FABP5 knockout HeLa cell lysate at 20 µg

Lane 2:

Western blot - Human FABP5 knockout HeLa cell lysate (<a href='/en-us/products/cell-lysates/human-fabp5-knockout-hela-cell-lysate-ab257431'>ab257431</a>)

Lane 2:

Western blot - Human FABP5 knockout HeLa cell line (<a href='/en-us/products/cell-lines/human-fabp5-knockout-hela-cell-line-ab265905'>ab265905</a>)

Lane 3:

PC-3 cell lysate at 20 µg

Secondary

All lanes:

Western blot - Goat anti-Rabbit IgG H&L (IRDye® 800CW) preadsorbed (<a href='/en-us/products/secondary-antibodies/goat-rabbit-igg-h-l-irdye-800cw-preadsorbed-ab216773'>ab216773</a>) at 1/10000 dilution

Observed band size: 17 kDa

false

Western blot - Anti-FABP5 antibody [EPR22552-64] - BSA and Azide free (AB255291)
  • WB

Supplier Data

Western blot - Anti-FABP5 antibody [EPR22552-64] - BSA and Azide free (AB255291)

This data was developed using the same antibody clone in a different buffer formulation (ab255276).

Blocking and dilution buffer : 5% NFDM/TBST.The molecular weight observed is consistent with what has been described in the literature (PMID : 25260874).Negative control : T47D (PMID : 21356353).

All lanes:

Western blot - Anti-FABP5 antibody [EPR22552-64] (<a href='/en-us/products/primary-antibodies/fabp5-antibody-epr22552-64-ab255276'>ab255276</a>) at 1/1000 dilution

Lane 1:

MDA-MB-231 (human breast adenocarcinoma cell line) whole cell lysate at 20 µg

Lane 2:

HeLa (human epithelial cell line from cervix adenocarcinoma) whole cell lysate at 20 µg

Lane 3:

PC-3 (human prostate adenocarcinoma epithelial cell line) whole cell lysate at 20 µg

Lane 4:

T-47D (human ductal breast epithelial tumor cell line) whole cell lysate at 20 µg

Secondary

All lanes:

Western blot - Goat Anti-Rabbit IgG H&L (HRP) (<a href='/en-us/products/secondary-antibodies/goat-rabbit-igg-h-l-hrp-ab97051'>ab97051</a>) at 1/100000 dilution

Observed band size: 15 kDa

false

Exposure time: 8s

Key facts

Host species

Rabbit

Clonality

Monoclonal

Clone number

EPR22552-64

Isotype

IgG

Carrier free

Yes

Reacts with

Human

Applications

IHC-P, WB, ICC/IF

applications

Immunogen

The exact immunogen used to generate this antibody is proprietary information.

Reactivity data

{ "title": "Reactivity Data", "filters": { "stats": ["", "Species", "Dilution Info", "Notes"], "tabs": { "all-applications": {"fullname" : "All Applications", "shortname": "All Applications"}, "IP" : {"fullname" : "Immunoprecipitation", "shortname":"IP"}, "ChIP" : {"fullname" : "ChIP", "shortname":"ChIP"}, "FlowCyt" : {"fullname" : "Flow Cytometry", "shortname":"Flow Cyt"}, "WB" : {"fullname" : "Western blot", "shortname":"WB"}, "ICCIF" : {"fullname" : "Immunocytochemistry/ Immunofluorescence", "shortname":"ICC/IF"}, "IHCP" : {"fullname" : "Immunohistochemistry (Formalin/PFA-fixed paraffin-embedded sections)", "shortname":"IHC-P"} }, "product-promise": { "all": "all", "testedAndGuaranteed": "tested", "guaranteed": "expected", "predicted": "predicted", "notRecommended": "not-recommended" } }, "values": { "Human": { "IP-species-checked": "notRecommended", "IP-species-dilution-info": "", "IP-species-notes": "<p></p>", "ChIP-species-checked": "notRecommended", "ChIP-species-dilution-info": "", "ChIP-species-notes": "<p></p>", "FlowCyt-species-checked": "notRecommended", "FlowCyt-species-dilution-info": "", "FlowCyt-species-notes": "<p></p>", "WB-species-checked": "testedAndGuaranteed", "WB-species-dilution-info": "", "WB-species-notes": "<p></p>", "ICCIF-species-checked": "testedAndGuaranteed", "ICCIF-species-dilution-info": "", "ICCIF-species-notes": "<p></p>", "IHCP-species-checked": "testedAndGuaranteed", "IHCP-species-dilution-info": "", "IHCP-species-notes": "<p></p>" } } }

Product details

ab255291 is the carrier-free version of ab255276.

Conjugation ready
Our carrier-free antibodies are typically supplied in a PBS-only formulation, purified and free of BSA, sodium azide and glycerol. This conjugation-ready format is designed for use with fluorochromes, metal isotopes, oligonucleotides, and enzymes, which makes them ideal for antibody labelling, functional and cell-based assays, flow-based assays (e.g. mass cytometry) and Multiplex Imaging applications.

Use our conjugation kits for antibody conjugates that are ready-to-use in as little as 20 minutes with 1 minute hands-on-time and 100% antibody recovery: available for fluorescent dyes, HRP, biotin and gold.

Compatibility
This product is compatible with the Maxpar® Antibody Labeling Kit from Fluidigm, without the need for antibody preparation. Maxpar® is a trademark of Fluidigm Canada Inc.

Properties and storage information

Form
Liquid
Purification technique
Affinity purification Protein A
Storage buffer
pH: 7.2 - 7.4 Constituents: PBS
Shipped at conditions
Blue Ice
Appropriate short-term storage conditions
+4°C
Appropriate long-term storage conditions
+4°C
Storage information
Do Not Freeze

Supplementary information

This supplementary information is collated from multiple sources and compiled automatically.

The FABP5 protein also known as Fatty Acid Binding Protein 5 or Epidermal-type Fatty Acid Binding Protein (E-FABP) serves an important role in the transport and metabolism of long-chain fatty acids. It has a molecular mass of approximately 15 kDa. FABP5 is expressed in multiple tissues with notably high expression in the epidermis brain liver and adipose tissue. This protein assists in intracellular fatty acid movement affecting cellular lipid catabolism.
Biological function summary

FABP5 interacts with specific ligands such as long-chain fatty acids which influences cellular processes like growth differentiation and energy homeostasis. It is not known to be part of a larger complex. This protein is integral in regulating lipid signaling pathways and responses due to its binding capacity which modulates the availability of fatty acids for metabolic processes. Its expression pattern hints at a possible role in the body's adaptation to dietary lipid intake.

Pathways

FABP5 holds a significant position in the peroxisome proliferator-activated receptor (PPAR) signaling pathway and the fatty acid metabolism pathway. In the PPAR signaling pathway FABP5 influences the activity of PPARβ/δ receptors which regulate gene expression involved in lipid metabolism and energy homeostasis. It is related to other fatty acid binding proteins such as FABP4 which similarly participate in lipid metabolic processes and have roles in the regulation of lipid and glucose metabolism.

Researchers have linked FABP5 to conditions like psoriasis and type 2 diabetes. In psoriasis the overexpression of FABP5 has been observed in skin lesions suggesting that it might contribute to the pathological process. FABP5 is also connected to metabolic syndrome and insulin resistance as its dysregulation can influence lipid and glucose metabolism processes. In these disorders FABP5 interacts with proteins like PPARγ indicating possible intervention points for therapeutic targeting.

Product protocols

For this product, it's our understanding that no specific protocols are required. You can visit:

Target data

Intracellular carrier for long-chain fatty acids and related active lipids, such as endocannabinoids, that regulate the metabolism and actions of the ligands they bind. In addition to the cytosolic transport, selectively delivers specific fatty acids from the cytosol to the nucleus, wherein they activate nuclear receptors (PubMed : 21395585, PubMed : 22170058). Delivers retinoic acid to the nuclear receptor peroxisome proliferator-activated receptor delta; which promotes proliferation and survival. May also serve as a synaptic carrier of endocannabinoid at central synapses and thus controls retrograde endocannabinoid signaling. Modulates inflammation by regulating PTGES induction via NF-kappa-B activation, and prostaglandin E2 (PGE2) biosynthesis during inflammation (By similarity). May be involved in keratinocyte differentiation (PubMed : 8092987).
See full target information FABP5

Publications (1)

Recent publications for all applications. Explore the full list and refine your search

Communications biology 8:514 PubMed40155473

2025

Defining gastric cancer ecology: the crucial roles of TREM2 macrophages and fibroblasts in tumor microenvironments.

Applications

Unspecified application

Species

Unspecified reactive species

Qianqian Cao,Dianshui Sun,Can Tu,Jihua Wang,Runjia Fu,Rumei Gong,Yueying Xiao,Qin Liu,Xiaomei Li
View all publications

Product promise

We are committed to supporting your work with high-quality reagents, and we're here for you every step of the way. In the unlikely event that one of our products does not perform as expected, you're protected by our Product Promise.
For full details, please see our Terms & Conditions

Please note: All products are 'FOR RESEARCH USE ONLY. NOT FOR USE IN DIAGNOSTIC OR THERAPEUTIC PROCEDURES'.

For licensing inquiries, please contact partnerships@abcam.com