JavaScript is disabled in your browser. Please enable JavaScript to view this website.
AB205199

Anti-FACL4 antibody [EPR17587-42]

Be the first to review this product! Submit a review

|

(18 Publications)

Rabbit Recombinant Monoclonal FACL4 antibody. Suitable for IP, WB, ICC/IF, Flow Cyt (Intra), IHC-P and reacts with Mouse, Human samples. Cited in 18 publications.

View Alternative Names

ACS4, FACL4, LACS4, ACSL4, Long-chain-fatty-acid--CoA ligase 4, Arachidonate--CoA ligase, Long-chain acyl-CoA synthetase 4, LACS 4

9 Images
Flow Cytometry (Intracellular) - Anti-FACL4 antibody [EPR17587-42] (AB205199)
  • Flow Cyt (Intra)

Supplier Data

Flow Cytometry (Intracellular) - Anti-FACL4 antibody [EPR17587-42] (AB205199)

Intracellular flow cytometric analysis of 4% paraformaldehyde-fixed HeLa (Human epithelial cells from cervix adenocarcinoma) cells labeling FACL4 with ab205199 at 1/120 dilution (red) compared with a rabbit monoclonal IgG isotype control (ab172730; black) and an unlabelled control (cells without incubation with primary antibody and secondary antibody; blue). Goat anti rabbit IgG (FITC) at 1/500 dilution was used as the secondary antibody.

Immunocytochemistry/ Immunofluorescence - Anti-FACL4 antibody [EPR17587-42] (AB205199)
  • ICC/IF

Supplier Data

Immunocytochemistry/ Immunofluorescence - Anti-FACL4 antibody [EPR17587-42] (AB205199)

Immunofluorescent analysis of 4% paraformaldehyde-fixed 0.1% Triton X-100 permeabilized HeLa (Human epithelial cells from cervix adenocarcinoma) cells labeling FACL4 with ab205199 at 1/50 dilution followed by Goat anti-rabbit IgG (Alexa Fluor® 488) (ab150077) secondary antibody at 1/1000 dilution (green). Confocal image showing cytoplasmic staining on HeLa cell line. The nuclear counter stain is DAPI (blue). Tubulin is detected with ab7291 (anti-Tubulin mouse mAb) at 1/1000 dilution and ab150120 (AlexaFluor®594 Goat anti-Mouse secondary) at 1/1000 dilution (red).
The negative controls are as follows;
-ve control 1 : ab205199 at 1/50 dilution followed by ab150120 (AlexaFluor®594 Goat anti-Mouse secondary) at 1/1000 dilution.
-ve control 2 : ab7291 (anti-Tubulin mouse mAb) at 1/1000 dilution followed by ab150077 (Alexa Fluor®488 Goat Anti-Rabbit IgG H&L) at 1/1000 dilution.

Immunocytochemistry/ Immunofluorescence - Anti-FACL4 antibody [EPR17587-42] (AB205199)
  • ICC/IF

Supplier Data

Immunocytochemistry/ Immunofluorescence - Anti-FACL4 antibody [EPR17587-42] (AB205199)

Immunofluorescent analysis of 4% paraformaldehyde-fixed 0.1% Triton X-100 permeabilized HepG2 (Human liver hepatocellular carcinoma) cells labeling FACL4 with ab205199 at 1/50 dilution followed by Goat anti-rabbit IgG (Alexa Fluor® 488) (ab150077) secondary antibody at 1/1000 dilution (green). Confocal image showing cytoplasmic staining on HepG2 cell line. The nuclear counter stain is DAPI (blue). Tubulin is detected with ab7291 (anti-Tubulin mouse mAb) at 1/1000 dilution and ab150120 (AlexaFluor®594 Goat anti-Mouse secondary) at 1/1000 dilution (red).
The negative controls are as follows;
-ve control 1 : ab205199 at 1/50 dilution followed by ab150120 (AlexaFluor®594 Goat anti-Mouse secondary) at 1/1000 dilution.
-ve control 2 : ab7291 (anti-Tubulin mouse mAb) at 1/1000 dilution followed by ab150077 (Alexa Fluor®488 Goat Anti-Rabbit IgG H&L) at 1/1000 dilution.

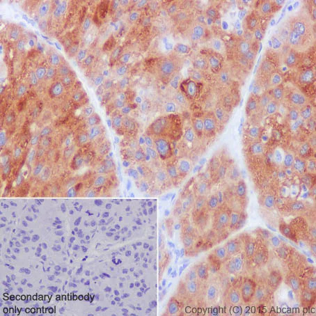
Immunohistochemistry (Formalin/PFA-fixed paraffin-embedded sections) - Anti-FACL4 antibody [EPR17587-42] (AB205199)
  • IHC-P

Supplier Data

Immunohistochemistry (Formalin/PFA-fixed paraffin-embedded sections) - Anti-FACL4 antibody [EPR17587-42] (AB205199)

Immunohistochemical analysis of paraffin-embedded Human liver carcinoma tissue labeling FACL4 with ab205199 at 1/500 dilution followed by Goat Anti-Rabbit IgG H&L (HRP) (ab97051) secondary antibody at 1/500 dilution. Cytoplasmic staining on Human hepatocellular carcinoma tissue is observed. Counter stained with Hematoxylin.

Secondary antibody only control : Used PBS instead of primary antibody secondary antibody is Goat Anti-Rabbit IgG H&L (HRP) (ab97051) at 1/500 dilution.

Perform heat mediated antigen retrieval with Tris/EDTA buffer pH 9.0 before commencing with IHC staining protocol.

Immunoprecipitation - Anti-FACL4 antibody [EPR17587-42] (AB205199)
  • IP

Unknown

Immunoprecipitation - Anti-FACL4 antibody [EPR17587-42] (AB205199)

FACL4 was immunoprecipitated from 1mg of Mouse brain whole cell lysate with ab205199 at 1/40 dilution. Western blot was performed from the immunoprecipitate using ab205199 at 1/1000 dilution. Anti-Rabbit IgG (HRP), specific to the non-reduced form of IgG, was used as secondary antibody at 1/1500 dilution.

Lane 1 : Mouse brain whole cell lysate 10 μg (Input). Lane 2 : ab205199 IP in Mouse brain whole cell lysate. Lane 3 : Rabbit monoclonal IgG (ab172730) instead of ab205199 in Mouse brain whole cell lysate
Blocking and dilution buffer and concentration : 5% NFDM/TBST.

Exposure time : 8 seconds

All lanes:

Immunoprecipitation - Anti-FACL4 antibody [EPR17587-42] (ab205199)

Predicted band size: 79 kDa

false

Western blot - Anti-FACL4 antibody [EPR17587-42] (AB205199)
  • WB

Supplier Data

Western blot - Anti-FACL4 antibody [EPR17587-42] (AB205199)

Blocking/Dilution buffer : 5% NFDM/TBST.

All lanes:

Western blot - Anti-FACL4 antibody [EPR17587-42] (ab205199) at 1/5000 dilution

Lane 1:

HeLa (Human epithelial cells from cervix adenocarcinoma) whole cell lysate at 20 µg

Lane 2:

HepG2 (Human liver hepatocellular carcinoma) whole cell lysate at 20 µg

Secondary

All lanes:

Goat Anti-Rabbit IgG, (H+L), Peroxidase conjugated at 1/1000 dilution

Predicted band size: 44 kDa,79 kDa

Observed band size: 24 kDa,44 kDa,72 kDa,79 kDa

false

Exposure time: 30s

Western blot - Anti-FACL4 antibody [EPR17587-42] (AB205199)
  • WB

Supplier Data

Western blot - Anti-FACL4 antibody [EPR17587-42] (AB205199)

Blocking/Dilution buffer : 5% NFDM/TBST.

All lanes:

Western blot - Anti-FACL4 antibody [EPR17587-42] (ab205199) at 1/1000 dilution

Lane 1:

Human fetal brain lysate at 10 µg

Lane 2:

Human fetal heart lysate at 10 µg

Lane 3:

Human fetal kidney lysate at 10 µg

Secondary

All lanes:

Anti-Rabbit IgG (HRP), specific to the non-reduced form of IgG at 1/1000 dilution

Predicted band size: 79 kDa

Observed band size: 79 kDa

false

Exposure time: 1min

Western blot - Anti-FACL4 antibody [EPR17587-42] (AB205199)
  • WB

Supplier Data

Western blot - Anti-FACL4 antibody [EPR17587-42] (AB205199)

Blocking/Dilution buffer : 5% NFDM/TBST.

All lanes:

Western blot - Anti-FACL4 antibody [EPR17587-42] (ab205199) at 1/5000 dilution

All lanes:

293 (Human epithelial cells from embryonic kidney) whole cell lysate at 20 µg

Secondary

All lanes:

Goat Anti-Rabbit IgG, (H+L), Peroxidase conjugated at 1/1000 dilution

Predicted band size: 79 kDa

Observed band size: 79 kDa

false

Exposure time: 3min

Western blot - Anti-FACL4 antibody [EPR17587-42] (AB205199)
  • WB

CiteAb

Western blot - Anti-FACL4 antibody [EPR17587-42] (AB205199)

FACL4 western blot using anti-FACL4 antibody [EPR17587-42] ab205199. Publication image and figure legend from Jiang, Y., Zhao, X., et al., 2020, Nat Commun, PubMed 32312987.

ab205199 was used in this publication in western blot. This may not be the same as the application(s) guaranteed by Abcam. For a full list of applications guaranteed by Abcam for ab205199 please see the product overview.

In vitro NIR-II photothermal ferrotherapy.a Confocal laser scanning microscopy (CLSM) images of different types of cancer cells and normal cells after incubation with HSN ([pTBCB] = 50 µg mL−1) or PBS for 24 h. ROS was indicated by green fluorescence from DCF-DA staining. Nuclei were stained with 4′,6-diamidine-2′-phenylindole dihydrochloride (DAPI) and indicated by blue fluorescence. 4T1 : murine mammary carcinoma cell line; MCF-7 : human breast adenocarcinoma cell line; HepG2 : human hepatocellular carcinoma cell line; NIH/3T3 : murine fibroblast cell line; NDF : normal human dermal fibroblast cell line. b Western immunoblot analysis of expression levels of ferroptosis-related proteins (ACSL4, FPN-1, GPX4) in a panel of cancer cell lines. MDA-MB-231 (231) : human breast adenocarcinoma cell line; PC12 : rat pheochromocytoma cell line; HeLa : human cervical adenocarcinoma cell line; SKOV3 : human ovarian adenocarcinoma cell line. Source data were provided in Source Data File. c CLSM images of 4T1 cells after incubation with PBS, HSN, HSN with apoptosis inhibitor DEVD (100 µM), HSN with ferroptosis inhibitor deferoxamine (DFO) (100 µM) for 24 h, respectively. [pTBCB] = 50 µg mL−1. Expression of Cas-3 was indicated by immunofluorescence staining (green fluorescence), and lipid peroxidation was stained with a red-fluorescent probe BODIPY 665/676. Cell viabilities (d) and relative GSH levels (e) of 4T1 cells after incubation with HSN0 or HSN at various concentrations for 24 h with or without 1064 nm photoirradiation (1 W cm−2, 6 min). [pTBCB] = 50 µg mL−1. f Western immunoblots analysis of expression levels of ferroptosis and apoptosis related proteins in 4T1 cells in d and e. Plus and minus symbol indicated with and without photoirradiation, respectively. Source data were provided in Source Data File. g Proposed molecular mechanisms of HSN-mediated NIR-II photothermal ferrotherapy. GSSG glutathione disulfide, AA arachidonic acid, AA-CoA arachidonyl-CoA, LH phospholipid. Error bars indicated standard deviations of three independent measurements.

false

  • Carrier free

    Anti-FACL4 antibody [EPR17587-42] - BSA and Azide free

Key facts

Host species

Rabbit

Clonality

Monoclonal

Clone number

EPR17587-42

Isotype

IgG

Carrier free

No

Reacts with

Mouse, Human

Applications

WB, IP, IHC-P, ICC/IF, Flow Cyt (Intra)

applications

Immunogen

The exact immunogen used to generate this antibody is proprietary information.

Reactivity data

{ "title": "Reactivity Data", "filters": { "stats": ["", "Species", "Dilution Info", "Notes"], "tabs": { "all-applications": {"fullname" : "All Applications", "shortname": "All Applications"}, "IP" : {"fullname" : "Immunoprecipitation", "shortname":"IP"}, "WB" : {"fullname" : "Western blot", "shortname":"WB"}, "ICCIF" : {"fullname" : "Immunocytochemistry/ Immunofluorescence", "shortname":"ICC/IF"}, "FlowCytIntra" : {"fullname" : "Flow Cytometry (Intracellular)", "shortname":"Flow Cyt (Intra)"}, "IHCP" : {"fullname" : "Immunohistochemistry (Formalin/PFA-fixed paraffin-embedded sections)", "shortname":"IHC-P"} }, "product-promise": { "all": "all", "testedAndGuaranteed": "tested", "guaranteed": "expected", "predicted": "predicted", "notRecommended": "not-recommended" } }, "values": { "Human": { "IP-species-checked": "guaranteed", "IP-species-dilution-info": "", "IP-species-notes": "", "WB-species-checked": "testedAndGuaranteed", "WB-species-dilution-info": "1/1000", "WB-species-notes": "<p></p>", "ICCIF-species-checked": "testedAndGuaranteed", "ICCIF-species-dilution-info": "1/50", "ICCIF-species-notes": "<p></p>", "FlowCytIntra-species-checked": "testedAndGuaranteed", "FlowCytIntra-species-dilution-info": "1/120", "FlowCytIntra-species-notes": "<p></p>", "IHCP-species-checked": "testedAndGuaranteed", "IHCP-species-dilution-info": "1/500", "IHCP-species-notes": "<p></p>" }, "Mouse": { "IP-species-checked": "testedAndGuaranteed", "IP-species-dilution-info": "1/40", "IP-species-notes": "<p></p>", "WB-species-checked": "guaranteed", "WB-species-dilution-info": "", "WB-species-notes": "", "ICCIF-species-checked": "guaranteed", "ICCIF-species-dilution-info": "", "ICCIF-species-notes": "", "FlowCytIntra-species-checked": "guaranteed", "FlowCytIntra-species-dilution-info": "", "FlowCytIntra-species-notes": "", "IHCP-species-checked": "guaranteed", "IHCP-species-dilution-info": "", "IHCP-species-notes": "" } } }

Product details

Patented technology
Our RabMAb® technology is a patented hybridoma-based technology for making rabbit monoclonal antibodies. For details on our patents, please refer to RabMAb® patents.

What are the advantages of a recombinant monoclonal antibody?
This product is a recombinant monoclonal antibody, which offers several advantages including:

  • - High batch-to-batch consistency and reproducibility
  • - Improved sensitivity and specificity
  • - Long-term security of supply
  • - Animal-free batch production

For more information, read more on recombinant antibodies.

Properties and storage information

Form
Liquid
Purification technique
Affinity purification Protein A
Storage buffer
pH: 7.2 - 7.4 Preservative: 0.01% Sodium azide Constituents: PBS, 40% Glycerol (glycerin, glycerine), 0.05% BSA
Shipped at conditions
Blue Ice
Appropriate short-term storage duration
1-2 weeks
Appropriate short-term storage conditions
+4°C
Appropriate long-term storage conditions
-20°C
Aliquoting information
Upon delivery aliquot
Storage information
Avoid freeze / thaw cycle

Supplementary information

This supplementary information is collated from multiple sources and compiled automatically.

FACL4 also known as ACSL4 is a member of the long-chain acyl-CoA synthetase (ACSL) family. This enzyme catalyzes the activation of long-chain fatty acids by forming a thioester bond with coenzyme A. FACL4 plays a critical role in lipid metabolism. The molecular weight of FACL4 is approximately 80 kDa. This protein is expressed in various tissues with a higher presence in the brain and testis reflecting its important function in lipid-related processes in these areas.
Biological function summary

FACL4 contributes significantly to lipid metabolism and is involved in the synthesis of complex lipids. It facilitates the integration of long-chain fatty acids into phospholipids and triglycerides. FACL4 often functions as part of larger lipid synthesis and modification complexes working closely with other enzymes to maintain membrane integrity and signal transduction. Its activity influences cellular responses to changes in lipid availability and metabolic demands.

Pathways

FACL4 functions within the arachidonic acid metabolism and glycerophospholipid metabolic pathways. In these pathways other proteins such as COX and LOX interact with FACL4 to regulate inflammatory responses and membrane lipid composition. The enzyme’s role in these pathways highlights its contribution to managing the balance between pro-inflammatory and anti-inflammatory metabolites which are essential for cell signaling and homeostasis.

FACL4 is implicated in several neuropsychiatric conditions including X-linked adrenoleukodystrophy and breast cancer. In the context of these diseases FACL4 interacts with proteins like ALDP in adrenoleukodystrophy. Disrupted FACL4 activity can lead to abnormal lipid accumulation or impaired lipid signaling underlying the pathophysiology of these conditions. Understanding the role of FACL4 in these disorders highlights its potential as a therapeutic target for correcting lipid metabolism dysfunction.

Product protocols

For this product, it's our understanding that no specific protocols are required. You can visit:

Target data

Catalyzes the conversion of long-chain fatty acids to their active form acyl-CoA for both synthesis of cellular lipids, and degradation via beta-oxidation (PubMed : 21242590, PubMed : 22633490, PubMed : 24269233). Preferentially activates arachidonate and eicosapentaenoate as substrates (PubMed : 21242590). Preferentially activates 8,9-EET > 14,15-EET > 5,6-EET > 11,12-EET. Modulates glucose-stimulated insulin secretion by regulating the levels of unesterified EETs (By similarity). Modulates prostaglandin E2 secretion (PubMed : 21242590).
See full target information ACSL4

Publications (18)

Recent publications for all applications. Explore the full list and refine your search

Dose-response : a publication of International Hormesis Society 23:15593258251335814 PubMed40416644

2025

Apigenin Inhibits Cell Ferroptosis by Activating the PI3K/Akt Pathway and Alleviates Renal Injury Caused by Hypertension.

Applications

Unspecified application

Species

Unspecified reactive species

Haina Zhang,Yanhua Cao,Liting Jiao,Jianwei Wan

Brazilian journal of medical and biological research = Revista brasileira de pesquisas medicas e biologicas 58:e14445 PubMed40367014

2025

Overexpression of SERPINA3 inhibits castration-resistant prostate cancer progression by enhancing M1 macrophage recruitment via CXCL2 upregulation.

Applications

Unspecified application

Species

Unspecified reactive species

Jianbing Xie,Qiren Chen,Lixian Li,Jinyu Liu

CytoJournal 22:28 PubMed40260070

2025

A new perspective: Acyl-CoA synthetase long-chain family member 4 inhibits ubiquitin-specific protease 7-induced epithelial ovarian cancer progression by inducing ferroptosis and M1 macrophage polarization.

Applications

Unspecified application

Species

Unspecified reactive species

Yazhou Qi,Qianwen Li,Limin Chen,Shuimiao Zhao,Jiaoran Nie,Gaoyuan Liu

Hereditas 162:47 PubMed40158112

2025

Activation of TRIM37 by ATF6 and degradation of ACSL4: inhibiting ferroptosis and propelling cervical cancer progression.

Applications

Unspecified application

Species

Unspecified reactive species

Yang Wang,Li Xie,Shiying Jin,YouXiang Hou,Yina Wang

Molecular cancer 24:29 PubMed39856701

2025

Circular RNA circBNC2 inhibits tumorigenesis by modulating ferroptosis and acts as a nanotherapeutic target in prostate cancer.

Applications

Unspecified application

Species

Unspecified reactive species

Xiang Pan,Kailai Chen,Wei Gao,Meiqi Xu,Fanlong Meng,Mengyuan Wu,Zi Qi Wang,Yun Qi Li,Wanhai Xu,Manjie Zhang,Yakun Luo

Heliyon 10:e37087 PubMed39286078

2024

Silencing miR-155-5p expression improves intestinal damage through inhibiting inflammation and ferroptosis in necrotizing enterocolitis.

Applications

Unspecified application

Species

Unspecified reactive species

Le Zhang,Weilai Jin,Mengyuan Hu,Yinglin Su,Yiting Zhang,Fuqiang Yuan,Yuanyuan Fang,Zhengying Li,Yawen Li,Chaozhi Bu,Wenhao Zhou

The Journal of biological chemistry 300:107680 PubMed39159808

2024

LncRNA FAM83H-AS1 inhibits ferroptosis of endometrial cancer by promoting DNMT1-mediated CDO1 promoter hypermethylation.

Applications

Unspecified application

Species

Unspecified reactive species

Ruiyu Wang,Xiuzhang Yu,Hui Ye,Mengyin Ao,Mingrong Xi,Minmin Hou

International journal of nanomedicine 19:7567-7583 PubMed39081897

2024

The New Nano-Resuscitation Solution (TPP-MR) Attenuated Myocardial Injury in Hemorrhagic Shock Rats by Inhibiting Ferroptosis.

Applications

Unspecified application

Species

Unspecified reactive species

Lei Tan,Han She,Yi Wang,Yuanlin Du,Jun Zhang,Yunxia Du,Yinyu Wu,Wei Chen,Bingqiang Huang,Duanyang Long,Xiaoyong Peng,Qinghui Li,Qingxiang Mao,Tao Li,Yi Hu

Cell & bioscience 14:71 PubMed38840194

2024

Chemical screen in zebrafish lateral line identified compounds that ameliorate neomycin-induced ototoxicity by inhibiting ferroptosis pathway.

Applications

Unspecified application

Species

Unspecified reactive species

Yipu Fan,Yihan Zhang,Dajiang Qin,Xiaodong Shu

Cell death & disease 15:79 PubMed38246916

2024

CYLD regulates cell ferroptosis through Hippo/YAP signaling in prostate cancer progression.

Applications

Unspecified application

Species

Unspecified reactive species

Yanan Gu,Shiqi Wu,Junjie Fan,Zeji Meng,Guoqiang Gao,Tianjie Liu,Qi Wang,Huayu Xia,Xinyang Wang,Kaijie Wu
View all publications

Product promise

We are committed to supporting your work with high-quality reagents, and we're here for you every step of the way. In the unlikely event that one of our products does not perform as expected, you're protected by our Product Promise.
For full details, please see our Terms & Conditions

Please note: All products are 'FOR RESEARCH USE ONLY. NOT FOR USE IN DIAGNOSTIC OR THERAPEUTIC PROCEDURES'.

For licensing inquiries, please contact partnerships@abcam.com