JavaScript is disabled in your browser. Please enable JavaScript to view this website.
AB205197

Anti-FACL4 antibody [EPR17587]

Be the first to review this product! Submit a review

|

(6 Publications)

Rabbit Recombinant Monoclonal FACL4 antibody. Suitable for WB, ICC/IF, IHC-P and reacts with Human samples. Cited in 6 publications.

View Alternative Names

ACS4, FACL4, LACS4, ACSL4, Long-chain-fatty-acid--CoA ligase 4, Arachidonate--CoA ligase, Long-chain acyl-CoA synthetase 4, LACS 4

6 Images
Immunohistochemistry (Formalin/PFA-fixed paraffin-embedded sections) - Anti-FACL4 antibody [EPR17587] (AB205197)
  • IHC-P

Supplier Data

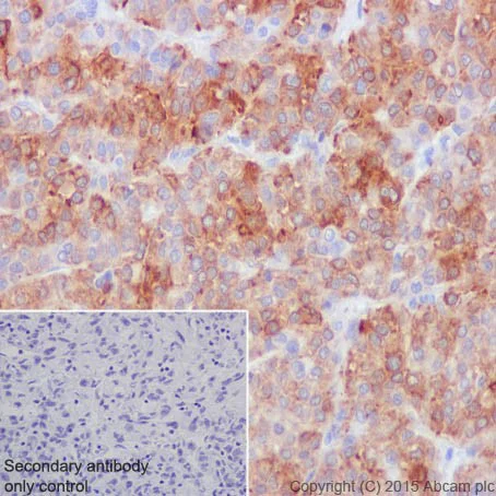
Immunohistochemistry (Formalin/PFA-fixed paraffin-embedded sections) - Anti-FACL4 antibody [EPR17587] (AB205197)

Immunohistochemical analysis of paraffin-embedded Human liver carcinoma tissue labeling FACL4 with ab205197 at 1/250 dilution followed by Goat Anti-Rabbit IgG H&L (HRP) (ab97051) at 1/500 dilution. Cytoplasmic staining on Human hepatocellular carcinoma tissue is observed. Counter stained with Hematoxylin.

Secondary antibody only control : Used PBS instead of primary antibody secondary antibody is Goat Anti-Rabbit IgG H&L (HRP) (ab97051) at 1/500 dilution.

Perform heat mediated antigen retrieval with Tris/EDTA buffer pH 9.0 before commencing with IHC staining protocol.

Immunocytochemistry/ Immunofluorescence - Anti-FACL4 antibody [EPR17587] (AB205197)
  • ICC/IF

Supplier Data

Immunocytochemistry/ Immunofluorescence - Anti-FACL4 antibody [EPR17587] (AB205197)

Immunofluorescent analysis of 4% paraformaldehyde-fixed 0.1% Triton X-100 permeabilized HepG2 (Human liver hepatocellular carcinoma) cells labeling FACL4 with ab205197 at 1/50 dilution followed by Goat anti-rabbit IgG (Alexa Fluor® 488) (ab150077) secondary antibody at 1/1000 dilution (green). Confocal image showing cytoplasmic staining on HepG2 cell line. The nuclear counter stain is DAPI (blue). Tubulin is detected with ab7291 (anti-Tubulin mouse mAb) at 1/1000 dilution and ab150120 (AlexaFluor®594 Goat anti-Mouse secondary) at 1/1000 dilution (red).
The negative controls are as follows :
-ve control 1 : ab205197 at 1/50 dilution followed by ab150120 (AlexaFluor®594 Goat anti-Mouse secondary) at 1/1000 dilution.
-ve control 2 : ab7291 (anti-Tubulin mouse mAb) at 1/1000 dilution followed by ab150077 (Alexa Fluor®488 Goat Anti-Rabbit IgG H&L) at 1/1000 dilution.

Immunocytochemistry/ Immunofluorescence - Anti-FACL4 antibody [EPR17587] (AB205197)
  • ICC/IF

Supplier Data

Immunocytochemistry/ Immunofluorescence - Anti-FACL4 antibody [EPR17587] (AB205197)

Immunofluorescent analysis of 4% paraformaldehyde-fixed 0.1% Triton X-100 permeabilized HeLa (Human epithelial cells from cervix adenocarcinoma) cells labeling FACL4 with ab205197 at 1/50 dilution followed by Goat anti-rabbit IgG (Alexa Fluor® 488) (ab150077) secondary antibody at 1/1000 dilution (green). Confocal image showing cytoplasmic staining on HeLa cell line. The nuclear counter stain is DAPI (blue). Tubulin is detected with ab7291 (anti-Tubulin mouse mAb) at 1/1000 dilution and ab150120 (AlexaFluor®594 Goat anti-Mouse secondary) at 1/1000 dilution (red).
The negative controls are as follows :
-ve control 1 : ab205197 at 1/50 dilution followed by ab150120 (AlexaFluor®594 Goat anti-Mouse secondary) at 1/1000 dilution.
-ve control 2 : ab7291 (anti-Tubulin mouse mAb) at 1/1000 dilution followed by ab150077 (Alexa Fluor®488 Goat Anti-Rabbit IgG H&L) at 1/1000 dilution.

Western blot - Anti-FACL4 antibody [EPR17587] (AB205197)
  • WB

Supplier Data

Western blot - Anti-FACL4 antibody [EPR17587] (AB205197)

Blocking/Dilution buffer : 5% NFDM/TBST.

All lanes:

Western blot - Anti-FACL4 antibody [EPR17587] (ab205197) at 1/1000 dilution

All lanes:

Human fetal kidney tissue lysate at 10 µg

Secondary

All lanes:

Anti-Rabbit IgG (HRP), specific to the non-reduced form of IgG at 1/1000 dilution

Predicted band size: 79 kDa

Observed band size: 79 kDa

false

Exposure time: 3min

Western blot - Anti-FACL4 antibody [EPR17587] (AB205197)
  • WB

Supplier Data

Western blot - Anti-FACL4 antibody [EPR17587] (AB205197)

Blocking/Dilution buffer : 5% NFDM/TBST.

All lanes:

Western blot - Anti-FACL4 antibody [EPR17587] (ab205197) at 1/5000 dilution

Lane 1:

HeLa (Human epithelial cells from cervix adenocarcinoma) whole cell lysate at 20 µg

Lane 2:

HepG2 (Human liver hepatocellular carcinoma) whole cell lysate at 20 µg

Secondary

All lanes:

Goat Anti-Rabbit IgG, (H+L), Peroxidase conjugated at 1/1000 dilution

Predicted band size: 79 kDa

Observed band size: 79 kDa

false

Exposure time: 3min

Western blot - Anti-FACL4 antibody [EPR17587] (AB205197)
  • WB

Supplier Data

Western blot - Anti-FACL4 antibody [EPR17587] (AB205197)

Blocking/Dilution buffer : 5% NFDM/TBST.

All lanes:

Western blot - Anti-FACL4 antibody [EPR17587] (ab205197) at 1/1000 dilution

All lanes:

293 (Human epithelial cells from embryonic kidney) whole cell lysate at 20 µg

Secondary

All lanes:

Goat Anti-Rabbit IgG, (H+L), Peroxidase conjugated at 1/1000 dilution

Predicted band size: 79 kDa

Observed band size: 79 kDa

false

Exposure time: 3min

  • Carrier free

    Anti-FACL4 antibody [EPR17587] - BSA and Azide free

Key facts

Host species

Rabbit

Clonality

Monoclonal

Clone number

EPR17587

Isotype

IgG

Carrier free

No

Reacts with

Human

Applications

ICC/IF, WB, IHC-P

applications

Immunogen

The exact immunogen used to generate this antibody is proprietary information.

Reactivity data

{ "title": "Reactivity Data", "filters": { "stats": ["", "Species", "Dilution Info", "Notes"], "tabs": { "all-applications": {"fullname" : "All Applications", "shortname": "All Applications"}, "WB" : {"fullname" : "Western blot", "shortname":"WB"}, "ICCIF" : {"fullname" : "Immunocytochemistry/ Immunofluorescence", "shortname":"ICC/IF"}, "IHCP" : {"fullname" : "Immunohistochemistry (Formalin/PFA-fixed paraffin-embedded sections)", "shortname":"IHC-P"} }, "product-promise": { "all": "all", "testedAndGuaranteed": "tested", "guaranteed": "expected", "predicted": "predicted", "notRecommended": "not-recommended" } }, "values": { "Human": { "WB-species-checked": "testedAndGuaranteed", "WB-species-dilution-info": "1/1000", "WB-species-notes": "<p></p>", "ICCIF-species-checked": "testedAndGuaranteed", "ICCIF-species-dilution-info": "1/50", "ICCIF-species-notes": "<p></p>", "IHCP-species-checked": "testedAndGuaranteed", "IHCP-species-dilution-info": "1/250", "IHCP-species-notes": "<p></p> Perform heat-mediated antigen retrieval with Tris/EDTA buffer pH 9.0 before commencing with IHC staining protocol." } } }

Product details

Patented technology
Our RabMAb® technology is a patented hybridoma-based technology for making rabbit monoclonal antibodies. For details on our patents, please refer to RabMAb® patents.

What are the advantages of a recombinant monoclonal antibody?
This product is a recombinant monoclonal antibody, which offers several advantages including:

  • - High batch-to-batch consistency and reproducibility
  • - Improved sensitivity and specificity
  • - Long-term security of supply
  • - Animal-free batch production

For more information, read more on recombinant antibodies.

Properties and storage information

Form
Liquid
Purification technique
Affinity purification Protein A
Storage buffer
pH: 7.2 - 7.4 Preservative: 0.01% Sodium azide Constituents: PBS, 40% Glycerol (glycerin, glycerine), 0.05% BSA
Shipped at conditions
Blue Ice
Appropriate short-term storage duration
1-2 weeks
Appropriate short-term storage conditions
+4°C
Appropriate long-term storage conditions
-20°C
Aliquoting information
Upon delivery aliquot
Storage information
Avoid freeze / thaw cycle

Supplementary information

This supplementary information is collated from multiple sources and compiled automatically.

FACL4 also known as ACSL4 is a member of the long-chain acyl-CoA synthetase (ACSL) family. This enzyme catalyzes the activation of long-chain fatty acids by forming a thioester bond with coenzyme A. FACL4 plays a critical role in lipid metabolism. The molecular weight of FACL4 is approximately 80 kDa. This protein is expressed in various tissues with a higher presence in the brain and testis reflecting its important function in lipid-related processes in these areas.
Biological function summary

FACL4 contributes significantly to lipid metabolism and is involved in the synthesis of complex lipids. It facilitates the integration of long-chain fatty acids into phospholipids and triglycerides. FACL4 often functions as part of larger lipid synthesis and modification complexes working closely with other enzymes to maintain membrane integrity and signal transduction. Its activity influences cellular responses to changes in lipid availability and metabolic demands.

Pathways

FACL4 functions within the arachidonic acid metabolism and glycerophospholipid metabolic pathways. In these pathways other proteins such as COX and LOX interact with FACL4 to regulate inflammatory responses and membrane lipid composition. The enzyme’s role in these pathways highlights its contribution to managing the balance between pro-inflammatory and anti-inflammatory metabolites which are essential for cell signaling and homeostasis.

FACL4 is implicated in several neuropsychiatric conditions including X-linked adrenoleukodystrophy and breast cancer. In the context of these diseases FACL4 interacts with proteins like ALDP in adrenoleukodystrophy. Disrupted FACL4 activity can lead to abnormal lipid accumulation or impaired lipid signaling underlying the pathophysiology of these conditions. Understanding the role of FACL4 in these disorders highlights its potential as a therapeutic target for correcting lipid metabolism dysfunction.

Product protocols

For this product, it's our understanding that no specific protocols are required. You can visit:

Target data

Catalyzes the conversion of long-chain fatty acids to their active form acyl-CoA for both synthesis of cellular lipids, and degradation via beta-oxidation (PubMed : 21242590, PubMed : 22633490, PubMed : 24269233). Preferentially activates arachidonate and eicosapentaenoate as substrates (PubMed : 21242590). Preferentially activates 8,9-EET > 14,15-EET > 5,6-EET > 11,12-EET. Modulates glucose-stimulated insulin secretion by regulating the levels of unesterified EETs (By similarity). Modulates prostaglandin E2 secretion (PubMed : 21242590).
See full target information ACSL4

Publications (6)

Recent publications for all applications. Explore the full list and refine your search

Frontiers in pharmacology 16:1527481 PubMed40191433

2025

Crocin promotes ferroptosis in gastric cancer via the Nrf2/GGTLC2 pathway.

Applications

Unspecified application

Species

Unspecified reactive species

Nan Yan,Gaofu Li,Linglin Zhao,Qijing Guo,Jie Yang,Jianhong Liu,Wei Zhou,Yue Gao,Yushuang Luo

Journal of nanobiotechnology 23:249 PubMed40133959

2025

Radiation-induced ferroptosis via liposomal delivery of 7-Dehydrocholesterol.

Applications

Unspecified application

Species

Unspecified reactive species

Jianwen Li,Shuyue Zhan,Wei Yang,He Zhang,Xinrui Ma,Fanghui Chen,Amy Li,Pakteema Tong,Fangchao Jiang,Zhengwei Cao,Ian Delahunty,Jiayi Wang,Yufei Wu,Zhi Liu,Zibo Li,Yong Teng,Libin Xu,Jin Xie

Molecular medicine reports 30: PubMed39370816

2024

ETV4‑mediated transcriptional activation of SLC12A5 exacerbates ferroptosis resistance and glucose metabolism reprogramming in breast cancer cells.

Applications

Unspecified application

Species

Unspecified reactive species

Huan Wang,Yanyan Dai,Fengxiang Wang

Thoracic cancer 14:2665-2677 PubMed37533139

2023

Sevoflurane suppresses the malignant progression of breast cancer via the hsa_circ_0000129/miR-578/EPSTI1 axis.

Applications

Unspecified application

Species

Unspecified reactive species

Xuehui Zeng,Qingqi Zheng,Lang Wang,Tao Chen,Wenxin Lin,Quanyang Lin

ESC heart failure 8:4780-4790 PubMed34725968

2021

Circulating SERPINA3 improves prognostic stratification in patients with a de novo or worsened heart failure.

Applications

Unspecified application

Species

Unspecified reactive species

Leen Delrue,Marc Vanderheyden,Monika Beles,Pasquale Paolisso,Giuseppe Di Gioia,Riet Dierckx,Sofie Verstreken,Marc Goethals,Ward Heggermont,Jozef Bartunek

Molecular cancer research : MCR 19:124-135 PubMed33077484

2020

Long-Chain Acyl-CoA Synthetase 4-Mediated Fatty Acid Metabolism Sustains Androgen Receptor Pathway-Independent Prostate Cancer.

Applications

Unspecified application

Species

Unspecified reactive species

Yongjie Ma,Xiaohan Zhang,Omar Awad Alsaidan,Xiangkun Yang,Essilvo Sulejmani,Junyi Zha,Zanna Beharry,Hanwen Huang,Michael Bartlett,Zachary Lewis,Houjian Cai
View all publications

Product promise

We are committed to supporting your work with high-quality reagents, and we're here for you every step of the way. In the unlikely event that one of our products does not perform as expected, you're protected by our Product Promise.
For full details, please see our Terms & Conditions

Please note: All products are 'FOR RESEARCH USE ONLY. NOT FOR USE IN DIAGNOSTIC OR THERAPEUTIC PROCEDURES'.

For licensing inquiries, please contact partnerships@abcam.com