JavaScript is disabled in your browser. Please enable JavaScript to view this website.
AB322988

Anti-FACL4 antibody [EPR8640] - Mouse IgG1 (Chimeric)

Be the first to review this product! Submit a review

|

(0 Publication)

Mouse Recombinant Monoclonal FACL4 antibody. Suitable for ICC/IF, WB and reacts with Human samples.

View Alternative Names

ACS4, FACL4, LACS4, ACSL4, Long-chain-fatty-acid--CoA ligase 4, Arachidonate--CoA ligase, Long-chain acyl-CoA synthetase 4, LACS 4

2 Images
Immunocytochemistry/ Immunofluorescence - Anti-FACL4 antibody [EPR8640] - Mouse IgG1 (Chimeric) (AB322988)
  • ICC/IF

Lab

Immunocytochemistry/ Immunofluorescence - Anti-FACL4 antibody [EPR8640] - Mouse IgG1 (Chimeric) (AB322988)

ab322988 staining FACL4 in Hep G2 (positive) and MCF-7 (negative) cells. The cells were fixed with 100% methanol (5 min), permeabilized with 0.1% PBS-Triton X-100 for 5 minutes and then blocked with 1% BSA/10% normal goat serum/0.3M glycine in 0.1%PBS-Tween for 1h. The cells were then incubated overnight at 4°C with ab322988 at 1µg/ml (shown in green) and ab202272, Alexa Fluor® 594 Rabbit monoclonal [EP1332Y] to alpha Tubulin - Microtubule Marker (shown in pseudocolour magenta). Cells were then incubated with ab150117, Goat Anti-Mouse IgG H&L (Alexa Fluor® 488) preadsorbed at 1/1000 dilution. Nuclear DNA was labelled with DAPI (shown in blue). Image was acquired with a high-content analyser (Operetta CLS, Perkin Elmer) and a maximum intensity projection of confocal sections is shown.

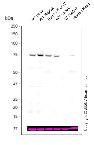
Western blot - Anti-FACL4 antibody [EPR8640] - Mouse IgG1 (Chimeric) (AB322988)
  • WB

Lab

Western blot - Anti-FACL4 antibody [EPR8640] - Mouse IgG1 (Chimeric) (AB322988)

False colour image of Western blot : Anti-FACL4 antibody [EPR8640] - Mouse IgG1 (Chimeric) (ab322988) staining at 1/1000 dilution, shown in black; Rabbit anti-GAPDH loading control staining, shown in magenta. In Western blot, ab322988 was shown to bind specifically to ACSL4. A band was observed at 79 kDa in Wild-type HeLa, HepG2 and Caco-2 cell lysates, with no signal observed at this size in Wild-type MCF7 cell lysates. A band of the same size was also observed in human kidney lysate and lower expression was observed in human heart lysate. Samples were run on an SDS-PAGE gel then transferred onto a nitrocellulose membrane. Membranes were blocked in 5 % milk in TBS-0.1 % Tween® 20 (TBS-T) before incubation with primary antibodies overnight at 4 °C. Blots were washed four times in TBS-T, incubated with secondary antibodies for 1 h at room temperature, washed again four times then imaged. Secondary antibodies used were Goat Anti-Mouse IgG Fc (HRP) preadsorbed (ab98717) at 1 : 10000 and Goat anti-Rabbit IgG H&L 680RD at 1 : 20000.

All lanes:

Western blot - Anti-FACL4 antibody [EPR8640] - Mouse IgG1 (Chimeric) (ab322988) at 1/1000 dilution

Lane 1:

Wild-type HelA cell lysate

Lane 2:

Wild-type HepG2 cell lysate

Lane 3:

Human Kidney lysate

Lane 4:

WIld-type Caco-2 cell lysate

Lane 5:

Wild-type MCF7 cell lysate

Lane 6:

Human heart lysate

Secondary

Lanes 1 - 6:

Western blot - Goat Anti-Mouse IgG Fc (HRP) preadsorbed (<a href='/en-us/products/secondary-antibodies/goat-mouse-igg-fc-hrp-preadsorbed-ab98717'>ab98717</a>) at 1/10000 dilution

Lanes 1 - 6:

Goat anti-Rabbit IgG H&L 680RD at 1/20000 dilution

Observed band size: 79 kDa

false

  • Carrier free

    Anti-FACL4 antibody [EPR8640] - Mouse IgG1 (Chimeric) - BSA and Azide free

Key facts

Host species

Mouse

Clonality

Monoclonal

Clone number

EPR8640

Isotype

IgG1

Carrier free

No

Reacts with

Human

Applications

WB, ICC/IF

applications

Immunogen

The exact immunogen used to generate this antibody is proprietary information.

Reactivity data

{ "title": "Reactivity Data", "filters": { "stats": ["", "Species", "Dilution Info", "Notes"], "tabs": { "all-applications": {"fullname" : "All Applications", "shortname": "All Applications"}, "ICCIF" : {"fullname" : "Immunocytochemistry/ Immunofluorescence", "shortname":"ICC/IF"}, "WB" : {"fullname" : "Western blot", "shortname":"WB"} }, "product-promise": { "all": "all", "testedAndGuaranteed": "tested", "guaranteed": "expected", "predicted": "predicted", "notRecommended": "not-recommended" } }, "values": { "Human": { "ICCIF-species-checked": "testedAndGuaranteed", "ICCIF-species-dilution-info": "1/500", "ICCIF-species-notes": "<p></p>", "WB-species-checked": "testedAndGuaranteed", "WB-species-dilution-info": "1/1000", "WB-species-notes": "<p></p>" } } }

Product details

This mouse monoclonal chimeric antibody has been engineered from a RabMAb parent antibody (ab155282). By necessity, some rabbit sequence is retained as part of the variable domain. When multiplexing with other rabbit-derived antibodies, using cross absorbed Fc-reactive secondary antibodies are recommended.

What are the advantages of a recombinant monoclonal antibody?
This product is a recombinant monoclonal antibody, which offers several advantages including:

  • - High batch-to-batch consistency and reproducibility
  • - Improved sensitivity and specificity
  • - Long-term security of supply
  • - Animal-free batch production

For more information, read more on recombinant antibodies.

Properties and storage information

Form
Liquid
Purification technique
Affinity purification Protein A
Storage buffer
pH: 7.2 - 7.4 Preservative: 0.01% Sodium azide Constituents: PBS, 40% Glycerol (glycerin, glycerine), 0.05% BSA
Shipped at conditions
Blue Ice
Appropriate short-term storage duration
1-2 weeks
Appropriate short-term storage conditions
+4°C
Appropriate long-term storage conditions
-20°C

Product protocols

For this product, it's our understanding that no specific protocols are required. You can visit:

Target data

Catalyzes the conversion of long-chain fatty acids to their active form acyl-CoA for both synthesis of cellular lipids, and degradation via beta-oxidation (PubMed : 21242590, PubMed : 22633490, PubMed : 24269233). Preferentially activates arachidonate and eicosapentaenoate as substrates (PubMed : 21242590). Preferentially activates 8,9-EET > 14,15-EET > 5,6-EET > 11,12-EET. Modulates glucose-stimulated insulin secretion by regulating the levels of unesterified EETs (By similarity). Modulates prostaglandin E2 secretion (PubMed : 21242590).
See full target information ACSL4

Product promise

We are committed to supporting your work with high-quality reagents, and we're here for you every step of the way. In the unlikely event that one of our products does not perform as expected, you're protected by our Product Promise.
For full details, please see our Terms & Conditions

Please note: All products are 'FOR RESEARCH USE ONLY. NOT FOR USE IN DIAGNOSTIC OR THERAPEUTIC PROCEDURES'.

For licensing inquiries, please contact partnerships@abcam.com