JavaScript is disabled in your browser. Please enable JavaScript to view this website.
AB315880

Anti-Factor H antibody [EPR26491-30] - BSA and Azide free

Be the first to review this product! Submit a review

|

(0 Publication)

Rabbit Recombinant Monoclonal Factor H antibody. Carrier free. Suitable for IHC-P, ICC/IF, WB and reacts with Human, Mouse, Rat samples.

View Alternative Names

Hf1, Cfh, Complement factor H, Protein beta-1-H

12 Images
Immunohistochemistry (Formalin/PFA-fixed paraffin-embedded sections) - Anti-Factor H antibody [EPR26491-30] - BSA and Azide free (AB315880)
  • IHC-P

Supplier Data

Immunohistochemistry (Formalin/PFA-fixed paraffin-embedded sections) - Anti-Factor H antibody [EPR26491-30] - BSA and Azide free (AB315880)

This data was developed using ab315879, the same antibody clone in a different buffer formulation.

Immunohistochemical analysis of paraffin-embedded Human colorectal carcinoma tissue labeling Factor H with ab315879 at 1/200 (0.976 ug/ml) dilution, followed by a ready to use LeicaDS9800 (Bond™ Polymer Refine Detection).

Positive staining on plasma of human colorectal carcinoma.
The section was incubated with ab315879 for 30 mins at room temperature.
The immunostaining was performed on a Leica Biosystems BOND® RX instrument

Counterstained with Hematoxylin.

Secondary antibody only control : Secondary antibody is a ready to use LeicaDS9800 (Bond™ Polymer Refine Detection).

Heat mediated antigen retrieval was performed with Tris-EDTA buffer (pH 9.0, Epitope Retrieval Solution2) for 20 mins

Immunohistochemistry (Formalin/PFA-fixed paraffin-embedded sections) - Anti-Factor H antibody [EPR26491-30] - BSA and Azide free (AB315880)
  • IHC-P

Supplier Data

Immunohistochemistry (Formalin/PFA-fixed paraffin-embedded sections) - Anti-Factor H antibody [EPR26491-30] - BSA and Azide free (AB315880)

This data was developed using ab315879, the same antibody clone in a different buffer formulation.

Immunohistochemical analysis of paraffin-embedded Human lung tissue labeling Factor H with ab315879 at 1/200 (0.976 ug/ml) dilution, followed by a ready to use LeicaDS9800 (Bond™ Polymer Refine Detection).

Positive staining on plasma of human lung.
The section was incubated with ab315879 for 30 mins at room temperature.
The immunostaining was performed on a Leica Biosystems BOND® RX instrument

Counterstained with Hematoxylin.

Secondary antibody only control : Secondary antibody is a ready to use LeicaDS9800 (Bond™ Polymer Refine Detection).

Heat mediated antigen retrieval was performed with Tris-EDTA buffer (pH 9.0, Epitope Retrieval Solution2) for 20 mins

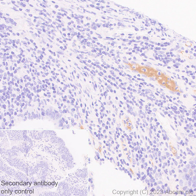
Immunohistochemistry (Formalin/PFA-fixed paraffin-embedded sections) - Anti-Factor H antibody [EPR26491-30] - BSA and Azide free (AB315880)
  • IHC-P

Supplier Data

Immunohistochemistry (Formalin/PFA-fixed paraffin-embedded sections) - Anti-Factor H antibody [EPR26491-30] - BSA and Azide free (AB315880)

This data was developed using ab315879, the same antibody clone in a different buffer formulation.

Immunohistochemical analysis of paraffin-embedded Human cerebrum tissue labeling Factor H with ab315879 at 1/200 (0.976 ug/ml) dilution, followed by a ready to use LeicaDS9800 (Bond™ Polymer Refine Detection).

Negative control : no staining on human cerebrum.
The section was incubated with ab315879 for 30 mins at room temperature.
The immunostaining was performed on a Leica Biosystems BOND® RX instrument

Counterstained with Hematoxylin.

Secondary antibody only control : Secondary antibody is a ready to use LeicaDS9800 (Bond™ Polymer Refine Detection).

Heat mediated antigen retrieval was performed with Tris-EDTA buffer (pH 9.0, Epitope Retrieval Solution2) for 20 mins

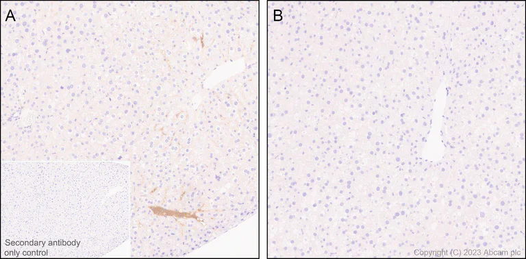
Immunohistochemistry (Formalin/PFA-fixed paraffin-embedded sections) - Anti-Factor H antibody [EPR26491-30] - BSA and Azide free (AB315880)
  • IHC-P

Supplier Data

Immunohistochemistry (Formalin/PFA-fixed paraffin-embedded sections) - Anti-Factor H antibody [EPR26491-30] - BSA and Azide free (AB315880)

This data was developed using ab315879, the same antibody clone in a different buffer formulation.

Immunohistochemical analysis of paraffin-embedded (A) Mouse non-perfused fixed liver (B) Mouse perfused fixed liver tissue labeling Factor H with ab315879 at 1/500 (0.976 ug/ml) dilution, followed by a ready to use LeicaDS9800 (Bond™ Polymer Refine Detection).

Positive staining on (A) plasma of non-perfused fixed mouse liver. No staining on (B) perfused fixed mouse liver. (PMID : 32369457).
The section was incubated with ab315879 for 30 mins at room temperature.
The immunostaining was performed on a Leica Biosystems BOND® RX instrument

Counterstained with Hematoxylin.

Secondary antibody only control : Secondary antibody is a ready to use LeicaDS9800 (Bond™ Polymer Refine Detection).

Heat mediated antigen retrieval was performed with Tris-EDTA buffer (pH 9.0, Epitope Retrieval Solution2) for 20 mins

Immunocytochemistry/ Immunofluorescence - Anti-Factor H antibody [EPR26491-30] - BSA and Azide free (AB315880)
  • ICC/IF

Supplier Data

Immunocytochemistry/ Immunofluorescence - Anti-Factor H antibody [EPR26491-30] - BSA and Azide free (AB315880)

This data was developed using ab315879, the same antibody clone in a different buffer formulation.

Immunofluorescent analysis of 4% Paraformaldehyde-fixed, 0.1% TritonX-100 permeabilized L-929 (mouse connective tissue fibroblast) cells labelling Factor H with ab315879 at 1/50 (9.76 ug/ml) dilution, followed by ab150081 Goat Anti-Rabbit IgG H&L (Alexa Fluor® 488) preadsorbed antibody at 1/1000 2 ug/ml dilution (Green).

Confocal image showing cytoplasmic staining in L-929 cells treated with IFN-gamma (500 units/ml) and dexamethasone (10 μM) for 24 hr. Image was taken with a confocal microscope(Leica-Microsystems, TCS SP8).

ab195889 Anti-alpha Tubulin mouse monoclonal antibody - Microtubule Marker (Alexa Fluor® 594) was used to counterstain tubulin at 1/200 2.5ug/ml dilution (Red). The Nuclear counterstain was DAPI (Blue).

Secondary antibody only control : Secondary antibody is ab150081 Goat Anti-Rabbit IgG H&L (Alexa Fluor® 488) preadsorbed at 1/1000 2 ug/ml dilution.

Immunohistochemistry (Formalin/PFA-fixed paraffin-embedded sections) - Anti-Factor H antibody [EPR26491-30] - BSA and Azide free (AB315880)
  • IHC-P

Supplier Data

Immunohistochemistry (Formalin/PFA-fixed paraffin-embedded sections) - Anti-Factor H antibody [EPR26491-30] - BSA and Azide free (AB315880)

This data was developed using ab315879, the same antibody clone in a different buffer formulation.

Immunohistochemical analysis of paraffin-embedded Mouse cerebrum tissue labeling Factor H with ab315879 at 1/500 (0.976 ug/ml) dilution, followed by a ready to use LeicaDS9800 (Bond™ Polymer Refine Detection).

Negative control : no staining on mouse cerebrum.
The section was incubated with ab315879 for 30 mins at room temperature.
The immunostaining was performed on a Leica Biosystems BOND® RX instrument

Counterstained with Hematoxylin.

Secondary antibody only control : Secondary antibody is a ready to use LeicaDS9800 (Bond™ Polymer Refine Detection).

Heat mediated antigen retrieval was performed with Tris-EDTA buffer (pH 9.0, Epitope Retrieval Solution2) for 20 mins

Immunohistochemistry (Formalin/PFA-fixed paraffin-embedded sections) - Anti-Factor H antibody [EPR26491-30] - BSA and Azide free (AB315880)
  • IHC-P

Supplier Data

Immunohistochemistry (Formalin/PFA-fixed paraffin-embedded sections) - Anti-Factor H antibody [EPR26491-30] - BSA and Azide free (AB315880)

This data was developed using ab315879, the same antibody clone in a different buffer formulation.

Immunohistochemical analysis of paraffin-embedded Rat cerebrum tissue labeling Factor H with ab315879 at 1/500 (0.976 ug/ml) dilution, followed by a ready to use LeicaDS9800 (Bond™ Polymer Refine Detection).

Negative control : no staining on rat cerebrum.
The section was incubated with ab315879 for 30 mins at room temperature.
The immunostaining was performed on a Leica Biosystems BOND® RX instrument

Counterstained with Hematoxylin.

Secondary antibody only control : Secondary antibody is a ready to use LeicaDS9800 (Bond™ Polymer Refine Detection).

Heat mediated antigen retrieval was performed with Tris-EDTA buffer (pH 9.0, Epitope Retrieval Solution2) for 20 mins

Immunohistochemistry (Formalin/PFA-fixed paraffin-embedded sections) - Anti-Factor H antibody [EPR26491-30] - BSA and Azide free (AB315880)
  • IHC-P

Supplier Data

Immunohistochemistry (Formalin/PFA-fixed paraffin-embedded sections) - Anti-Factor H antibody [EPR26491-30] - BSA and Azide free (AB315880)

This data was developed using ab315879, the same antibody clone in a different buffer formulation.

Immunohistochemical analysis of paraffin-embedded (A) Rat non-perfused fixed liver (B) Rat perfused fixed liver tissue labeling Factor H with ab315879 at 1/500 (0.976 ug/ml) dilution, followed by a ready to use LeicaDS9800 (Bond™ Polymer Refine Detection).

Positive staining on (A) plasma of non-perfused fixed rat liver. No staining on (B) perfused fixed rat liver.
The section was incubated with ab315879 for 30 mins at room temperature.
The immunostaining was performed on a Leica Biosystems BOND® RX instrument

Counterstained with Hematoxylin.

Secondary antibody only control : Secondary antibody is a ready to use LeicaDS9800 (Bond™ Polymer Refine Detection).

Heat mediated antigen retrieval was performed with Tris-EDTA buffer (pH 9.0, Epitope Retrieval Solution2) for 20 mins

Western blot - Anti-Factor H antibody [EPR26491-30] - BSA and Azide free (AB315880)
  • WB

Supplier Data

Western blot - Anti-Factor H antibody [EPR26491-30] - BSA and Azide free (AB315880)

This data was developed using ab315879, the same antibody clone in a different buffer formulation.

Blocking and diluting buffer and concentration : 5% NFDM/TBST.

Samples are non-boiled as boiling may cause protein aggregation.

Lanes 1 and 3 are applied with Goat Anti-Rabbit IgG, (H+L), Peroxidase conjugated (ab97051) at 1/100000 and lane 2 is applied with Goat Anti-Rabbit IgG (HRP) with minimal cross-reactivity with human IgG at 1/2000.

Exposure time : Lane 1 : 6 seconds, lanes 2-3 : 15 seconds.

All lanes:

Western blot - Anti-Factor H antibody [EPR26491-30] (<a href='/en-us/products/primary-antibodies/factor-h-antibody-epr26491-30-ab315879'>ab315879</a>) at 1/1000 dilution

Lane 1:

Rat plasma lysate at 20 µg

Lane 2:

Human plasma lysate at 20 µg

Lane 3:

Mouse plasma lysate at 20 µg

Secondary

Lanes 1 and 3:

Western blot - Goat Anti-Rabbit IgG H&L (HRP) (<a href='/en-us/products/secondary-antibodies/goat-rabbit-igg-h-l-hrp-ab97051'>ab97051</a>) at 1/100000 dilution

Lane 2:

Goat Anti-Rabbit IgG (HRP) with minimal cross-reactivity with human IgG at 1/2000 dilution

Observed band size: 160 kDa

false

Western blot - Anti-Factor H antibody [EPR26491-30] - BSA and Azide free (AB315880)
  • WB

Supplier Data

Western blot - Anti-Factor H antibody [EPR26491-30] - BSA and Azide free (AB315880)

This data was developed using ab315879, the same antibody clone in a different buffer formulation.

Blocking and diluting buffer and concentration : 5% NFDM/TBST.

Low expression : cerebellum.

Samples are non-boiled as boiling may cause protein aggregation.

Lanes 4-5 are applied with Goat Anti-Rabbit IgG, (H+L), Peroxidase conjugated (ab97051) at 1/100000 and lanes 1-3 are applied with Goat Anti-Rabbit IgG (HRP) with minimal cross-reactivity with human IgG at 1/2000.

In Western blot, Anti-GAPDH antibody [EPR16891] - Loading Control (ab181602) staining at 1/200000 dilution.

Exposure time : Lanes 1-3 : 203 seconds, lanes 4-5 : 37 seconds.

All lanes:

Western blot - Anti-Factor H antibody [EPR26491-30] (<a href='/en-us/products/primary-antibodies/factor-h-antibody-epr26491-30-ab315879'>ab315879</a>) at 1/1000 dilution

Lane 1:

Human kidney tissue lysate at 20 µg

Lane 2:

Human lung tissue lysate at 20 µg

Lane 3:

Human cerebellum tissue lysate at 20 µg

Lane 4:

Rat kidney tissue lysate at 20 µg

Lane 5:

Rat cerebellum tissue lysate at 20 µg

Secondary

Lanes 1 - 3:

Goat Anti-Rabbit IgG (HRP) with minimal cross-reactivity with human IgG at 1/2000 dilution

Lanes 4 - 5:

Western blot - Goat Anti-Rabbit IgG H&L (HRP) (<a href='/en-us/products/secondary-antibodies/goat-rabbit-igg-h-l-hrp-ab97051'>ab97051</a>) at 1/100000 dilution

Observed band size: 160 kDa,36 kDa

false

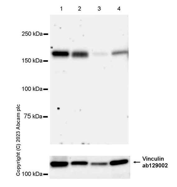
Western blot - Anti-Factor H antibody [EPR26491-30] - BSA and Azide free (AB315880)
  • WB

Supplier Data

Western blot - Anti-Factor H antibody [EPR26491-30] - BSA and Azide free (AB315880)

This data was developed using ab315879, the same antibody clone in a different buffer formulation.

Blocking and diluting buffer and concentration : 5% NFDM/TBST.

Low expression : brain, spleen (PMID : 2533512).

Samples are non-boiled as boiling may cause protein aggregation.

In Western blot, Anti-Vinculin antibody [EPR8185] (ab129002) staining at 1/10000 dilution.

All lanes:

Western blot - Anti-Factor H antibody [EPR26491-30] (<a href='/en-us/products/primary-antibodies/factor-h-antibody-epr26491-30-ab315879'>ab315879</a>) at 1/1000 dilution

Lane 1:

Mouse kidney tissue lysate at 20 µg

Lane 2:

Mouse liver tissue lysate at 20 µg

Lane 3:

Mouse brain tissue lysate at 20 µg

Lane 4:

Mouse spleen tissue lysate at 20 µg

Secondary

All lanes:

Western blot - Goat Anti-Rabbit IgG H&L (HRP) (<a href='/en-us/products/secondary-antibodies/goat-rabbit-igg-h-l-hrp-ab97051'>ab97051</a>) at 1/100000 dilution

Observed band size: 160 kDa,124 kDa

false

Exposure time: 180s

Western blot - Anti-Factor H antibody [EPR26491-30] - BSA and Azide free (AB315880)
  • WB

Supplier Data

Western blot - Anti-Factor H antibody [EPR26491-30] - BSA and Azide free (AB315880)

This data was developed using ab315879, the same antibody clone in a different buffer formulation.

Factor H is a glycoprotein of approximately 160 kDa and detected as a 140-kDa band after treated with Peptide : N-glycosidase F (PNGase F).

Samples are non-boiled as boiling may cause protein aggregation.

In Western blot, Anti-Vinculin antibody [EPR8185] (ab129002) staining at 1/10000 dilution.

This blot was developed using a high sensitivity ECL substrate. The high-sensitivity ECL substrate used allows for the detection of proteins in the mid-femtogram range.

All lanes:

Western blot - Anti-Factor H antibody [EPR26491-30] (<a href='/en-us/products/primary-antibodies/factor-h-antibody-epr26491-30-ab315879'>ab315879</a>) at 1/1000 dilution

Lane 1:

Untreated Mouse liver tissue lysate at 20 µg

Lane 2:

Mouse liver tissue lysate treated with Peptide: N-glycosidase F (PNGase F) at 20 µg

Secondary

All lanes:

Western blot - Goat Anti-Rabbit IgG H&L (HRP) (<a href='/en-us/products/secondary-antibodies/goat-rabbit-igg-h-l-hrp-ab97051'>ab97051</a>) at 1/100000 dilution

Observed band size: 160 kDa,140 kDa,124 kDa

true

Exposure time: 180s

Key facts

Host species

Rabbit

Clonality

Monoclonal

Clone number

EPR26491-30

Isotype

IgG

Carrier free

Yes

Reacts with

Human, Mouse, Rat

Applications

ICC/IF, WB, IHC-P

applications

Immunogen

The exact immunogen used to generate this antibody is proprietary information.

Specificity

Unsuitable for rat ICC.

Reactivity data

{ "title": "Reactivity Data", "filters": { "stats": ["", "Species", "Dilution Info", "Notes"], "tabs": { "all-applications": {"fullname" : "All Applications", "shortname": "All Applications"}, "IHCP" : {"fullname" : "Immunohistochemistry (Formalin/PFA-fixed paraffin-embedded sections)", "shortname":"IHC-P"}, "ICCIF" : {"fullname" : "Immunocytochemistry/ Immunofluorescence", "shortname":"ICC/IF"}, "WB" : {"fullname" : "Western blot", "shortname":"WB"}, "IHCFr" : {"fullname" : "Immunohistochemistry (Frozen sections)", "shortname":"IHC-Fr"}, "IP" : {"fullname" : "Immunoprecipitation", "shortname":"IP"}, "FlowCyt" : {"fullname" : "Flow Cytometry", "shortname":"Flow Cyt"} }, "product-promise": { "all": "all", "testedAndGuaranteed": "tested", "guaranteed": "expected", "predicted": "predicted", "notRecommended": "not-recommended" } }, "values": { "Human": { "IHCP-species-checked": "testedAndGuaranteed", "IHCP-species-dilution-info": "", "IHCP-species-notes": "<p></p>", "ICCIF-species-checked": "guaranteed", "ICCIF-species-dilution-info": "", "ICCIF-species-notes": "", "WB-species-checked": "testedAndGuaranteed", "WB-species-dilution-info": "", "WB-species-notes": "<p></p>", "IHCFr-species-checked": "notRecommended", "IHCFr-species-dilution-info": "", "IHCFr-species-notes": "", "IP-species-checked": "notRecommended", "IP-species-dilution-info": "", "IP-species-notes": "", "FlowCyt-species-checked": "notRecommended", "FlowCyt-species-dilution-info": "", "FlowCyt-species-notes": "" }, "Mouse": { "IHCP-species-checked": "testedAndGuaranteed", "IHCP-species-dilution-info": "", "IHCP-species-notes": "<p></p>", "ICCIF-species-checked": "testedAndGuaranteed", "ICCIF-species-dilution-info": "", "ICCIF-species-notes": "<p></p>", "WB-species-checked": "testedAndGuaranteed", "WB-species-dilution-info": "", "WB-species-notes": "<p></p>", "IHCFr-species-checked": "notRecommended", "IHCFr-species-dilution-info": "", "IHCFr-species-notes": "<p></p>", "IP-species-checked": "notRecommended", "IP-species-dilution-info": "", "IP-species-notes": "<p></p>", "FlowCyt-species-checked": "notRecommended", "FlowCyt-species-dilution-info": "", "FlowCyt-species-notes": "<p></p>" }, "Rat": { "IHCP-species-checked": "testedAndGuaranteed", "IHCP-species-dilution-info": "", "IHCP-species-notes": "<p></p>", "ICCIF-species-checked": "notRecommended", "ICCIF-species-dilution-info": "", "ICCIF-species-notes": "<p></p>", "WB-species-checked": "testedAndGuaranteed", "WB-species-dilution-info": "", "WB-species-notes": "<p></p>", "IHCFr-species-checked": "notRecommended", "IHCFr-species-dilution-info": "", "IHCFr-species-notes": "<p></p>", "IP-species-checked": "notRecommended", "IP-species-dilution-info": "", "IP-species-notes": "", "FlowCyt-species-checked": "notRecommended", "FlowCyt-species-dilution-info": "", "FlowCyt-species-notes": "" } } }

Product details

ab315880 is the carrier-free version of ab315879.

Patented technology
Our RabMAb® technology is a patented hybridoma-based technology for making rabbit monoclonal antibodies. For details on our patents, please refer to RabMAb® patents.

What are the advantages of a recombinant monoclonal antibody?
This product is a recombinant monoclonal antibody, which offers several advantages including:

  • - High batch-to-batch consistency and reproducibility
  • - Improved sensitivity and specificity
  • - Long-term security of supply
  • - Animal-free batch production

For more information, read more on recombinant antibodies.

Conjugation ready
Our carrier-free antibodies are typically supplied in a PBS-only formulation, purified and free of BSA, sodium azide and glycerol. This conjugation-ready format is designed for use with fluorochromes, metal isotopes, oligonucleotides, and enzymes, which makes them ideal for antibody labelling, functional and cell-based assays, flow-based assays (e.g. mass cytometry) and Multiplex Imaging applications.

Use our conjugation kits for antibody conjugates that are ready-to-use in as little as 20 minutes with 1 minute hands-on-time and 100% antibody recovery: available for fluorescent dyes, HRP, biotin and gold.

Compatibility
This product is compatible with the Maxpar® Antibody Labeling Kit from Fluidigm, without the need for antibody preparation. Maxpar® is a trademark of Fluidigm Canada Inc.

Properties and storage information

Form
Liquid
Purification technique
Affinity purification Protein A
Storage buffer
pH: 7.2 - 7.4 Constituents: PBS
Shipped at conditions
Blue Ice
Appropriate short-term storage conditions
+4°C
Appropriate long-term storage conditions
+4°C

Supplementary information

This supplementary information is collated from multiple sources and compiled automatically.

Factor H also known as complement factor H is an important regulatory protein in the complement system. It has a molecular mass of approximately 155 kDa. This protein is mainly expressed in the liver but it can also be found in low levels in other tissues. Factor H serves as a control element for complement activation particularly affecting the alternative pathway. It binds to C3b a central component of the complement system and accelerates the decay of C3 convertase as well as promotes the proteolytic inactivation of C3b by factor I.
Biological function summary

Factor H limits the activity of the complement system to prevent damage to host tissues. The protein exists in the plasma in a soluble form. It functions by recognizing host cell surfaces via specific markers avoiding inappropriate activation. Factor H belongs to a group of proteins which include other regulators of complement activation. These proteins maintain the balance between effective immune defense and protection of host tissue from excessive immune responses.

Pathways

Factor H is a part of the alternative complement pathway. This pathway is important for innate immune response involving proteins like factor P (properdin) which stabilizes C3 convertase. Factor H modulates these interactions to prevent unwarranted complement activity on host cells. Another related pathway is the classic complement pathway although factor H's involvement here is less direct since it primarily regulates the alternative pathway.

Factor H associations include atypical hemolytic uremic syndrome and age-related macular degeneration. Factor H deficiency or dysfunction can lead to uncontrolled complement activation resulting in kidney damage in atypical hemolytic uremic syndrome where it is also related to factor I. Additionally in age-related macular degeneration variants in the factor H gene are linked to increased susceptibility further highlighting the protein's importance in regulating immune responses.

Product protocols

For this product, it's our understanding that no specific protocols are required. You can visit:

Target data

Glycoprotein that plays an essential role in maintaining a well-balanced immune response by modulating complement activation. Acts as a soluble inhibitor of complement, where its binding to self markers such as glycan structures prevents complement activation and amplification on cell surfaces. Accelerates the decay of the complement alternative pathway (AP) C3 convertase C3bBb, thus preventing local formation of more C3b, the central player of the complement amplification loop. As a cofactor of the serine protease factor I, CFH also regulates proteolytic degradation of already-deposited C3b. In addition, mediates several cellular responses through interaction with specific receptors. For example, interacts with CR3/ITGAM receptor and thereby mediates the adhesion of human neutrophils to different pathogens. In turn, these pathogens are phagocytosed and destroyed.
See full target information Cfh

Product promise

We are committed to supporting your work with high-quality reagents, and we're here for you every step of the way. In the unlikely event that one of our products does not perform as expected, you're protected by our Product Promise.
For full details, please see our Terms & Conditions

Please note: All products are 'FOR RESEARCH USE ONLY. NOT FOR USE IN DIAGNOSTIC OR THERAPEUTIC PROCEDURES'.

For licensing inquiries, please contact partnerships@abcam.com