JavaScript is disabled in your browser. Please enable JavaScript to view this website.
AB278524

Anti-Factor I/CFI antibody [EPR23948-48]

Be the first to review this product! Submit a review

|

(1 Publication)

Rabbit Recombinant Monoclonal Complement Factor I antibody. Suitable for IP, WB and reacts with Human samples. Cited in 1 publication.

View Alternative Names

IF, CFI, Complement factor I, C3B/C4B inactivator

3 Images
Immunoprecipitation - Anti-Factor I/CFI antibody [EPR23948-48] (AB278524)
  • IP

Lab

Immunoprecipitation - Anti-Factor I/CFI antibody [EPR23948-48] (AB278524)

Factor I/CFI was immunoprecipitated from 0.35 mg HepG2 (human hepatocellular carcinoma epithelial cell) whole cell lysate 10 ug with ab278524 at 1/30 dilution (2ug in 0.35mg lysates). Western blot was performed on the immunoprecipitate using ab278524 at 1/1000 dilution. VeriBlot for IP Detection Reagent (HRP)(ab131366) was used at 1/5000 dilution.

Lane 1 : HepG2 (human hepatocellular carcinoma epithelial cell) whole cell lysate 10 ug

Lane 2 : ab278524 IP in HepG2 whole cell lysate

Lane 3 : Rabbit monoclonal IgG (ab172730) instead of abid in HepG2 whole cell lysate

Blocking and dilution buffer and concentration : 5% NFDM/TBST.

Exposure time : 76 seconds

All lanes:

Immunoprecipitation - Anti-Factor I/CFI antibody [EPR23948-48] (ab278524)

Predicted band size: 66 kDa

Observed band size: 50-88 kDa

false

Western blot - Anti-Factor I/CFI antibody [EPR23948-48] (AB278524)
  • WB

Lab

Western blot - Anti-Factor I/CFI antibody [EPR23948-48] (AB278524)

Blocking and diluting buffer and concentration : 5% NFDM/TBST

Factor I/CFI is a glycoprotein, and de-glycosylation resulted in a decrease of MW (lanes 2 and 4). Different band sizes of CFI heavy chain in liver and HepG2 lysates (lanes 1 and 3) observed may be caused by different glycosylation levels.

Exposure time : 26 seconds.

All lanes:

Western blot - Anti-Factor I/CFI antibody [EPR23948-48] (ab278524) at 1/1000 dilution

Lane 1:

Human liver tissue lysate at 20 µg

Lane 2:

Human liver tissue lysate treated with PNGase F at 20 µg

Lane 3:

HepG2 (human hepatocellular carcinoma epithelial cell) whole cell lysate at 20 µg

Lane 4:

HepG2 whole cell lysate treated with PNGase F at 20 µg

Secondary

All lanes:

Western blot - VeriBlot for IP Detection Reagent (HRP) (<a href='/en-us/products/reagents/veriblot-for-ip-detection-reagent-hrp-ab131366'>ab131366</a>) at 1/2000 dilution

Predicted band size: 66 kDa

Observed band size: 40 kDa,50 kDa,75 kDa,88 kDa

false

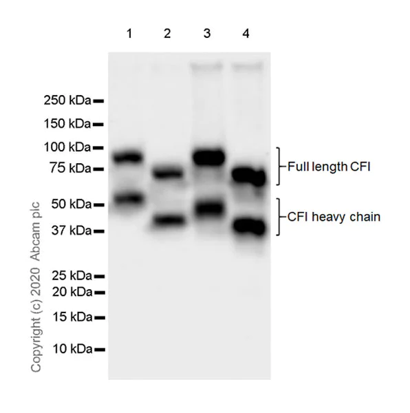
Western blot - Anti-Factor I/CFI antibody [EPR23948-48] (AB278524)
  • WB

Lab

Western blot - Anti-Factor I/CFI antibody [EPR23948-48] (AB278524)

Blocking and diluting buffer and concentration : 5% NFDM/TBST

The molecular weight observed is consistent with what has been described in the literature (PMID : 17597211).

Low expression : A549 (PMID : 17548110).

Exposure time : Lanes 1-3 : 15 seconds; Lanes 4-6 : 5.5 seconds.

All lanes:

Western blot - Anti-Factor I/CFI antibody [EPR23948-48] (ab278524) at 1/1000 dilution

Lane 1:

HepG2 (human hepatocellular carcinoma epithelial cell) whole cell lysate at 20 µg

Lane 2:

A549 (human lung carcinoma epithelial cell) whole cell lysate at 20 µg

Lane 3:

Human liver tissue lysate at 40 µg

Lane 4:

Human lung tissue lysate at 40 µg

Lane 5:

Human small intestine tissue lysate at 40 µg

Lane 6:

Human plasma at 10 µL

Secondary

All lanes:

Western blot - VeriBlot for IP Detection Reagent (HRP) (<a href='/en-us/products/reagents/veriblot-for-ip-detection-reagent-hrp-ab131366'>ab131366</a>) at 1/1000 dilution

Predicted band size: 66 kDa

Observed band size: 50-88 kDa

false

  • Carrier free

    Anti-Factor I/CFI antibody [EPR23948-48] - BSA and Azide free

Key facts

Host species

Rabbit

Clonality

Monoclonal

Clone number

EPR23948-48

Isotype

IgG

Carrier free

No

Reacts with

Human

Applications

IP, WB

applications

Immunogen

The exact immunogen used to generate this antibody is proprietary information.

Reactivity data

{ "title": "Reactivity Data", "filters": { "stats": ["", "Species", "Dilution Info", "Notes"], "tabs": { "all-applications": {"fullname" : "All Applications", "shortname": "All Applications"}, "ICCIF" : {"fullname" : "Immunocytochemistry/ Immunofluorescence", "shortname":"ICC/IF"}, "IP" : {"fullname" : "Immunoprecipitation", "shortname":"IP"}, "WB" : {"fullname" : "Western blot", "shortname":"WB"}, "IHCP" : {"fullname" : "Immunohistochemistry (Formalin/PFA-fixed paraffin-embedded sections)", "shortname":"IHC-P"}, "FlowCytIntra" : {"fullname" : "Flow Cytometry (Intracellular)", "shortname":"Flow Cyt (Intra)"} }, "product-promise": { "all": "all", "testedAndGuaranteed": "tested", "guaranteed": "expected", "predicted": "predicted", "notRecommended": "not-recommended" } }, "values": { "Human": { "ICCIF-species-checked": "notRecommended", "ICCIF-species-dilution-info": "", "ICCIF-species-notes": "<p></p>", "IP-species-checked": "testedAndGuaranteed", "IP-species-dilution-info": "1/30", "IP-species-notes": "<p></p>", "WB-species-checked": "testedAndGuaranteed", "WB-species-dilution-info": "1/1000", "WB-species-notes": "<p></p>", "IHCP-species-checked": "notRecommended", "IHCP-species-dilution-info": "", "IHCP-species-notes": "<p></p>", "FlowCytIntra-species-checked": "notRecommended", "FlowCytIntra-species-dilution-info": "", "FlowCytIntra-species-notes": "<p></p>" }, "Mouse": { "ICCIF-species-checked": "notRecommended", "ICCIF-species-dilution-info": "", "ICCIF-species-notes": "", "IP-species-checked": "notRecommended", "IP-species-dilution-info": "", "IP-species-notes": "", "WB-species-checked": "notRecommended", "WB-species-dilution-info": "1/1000", "WB-species-notes": "<p></p>", "IHCP-species-checked": "notRecommended", "IHCP-species-dilution-info": "", "IHCP-species-notes": "<p></p>", "FlowCytIntra-species-checked": "notRecommended", "FlowCytIntra-species-dilution-info": "", "FlowCytIntra-species-notes": "" }, "Rat": { "ICCIF-species-checked": "notRecommended", "ICCIF-species-dilution-info": "", "ICCIF-species-notes": "", "IP-species-checked": "notRecommended", "IP-species-dilution-info": "", "IP-species-notes": "", "WB-species-checked": "notRecommended", "WB-species-dilution-info": "1/1000", "WB-species-notes": "<p></p>", "IHCP-species-checked": "notRecommended", "IHCP-species-dilution-info": "", "IHCP-species-notes": "<p></p>", "FlowCytIntra-species-checked": "notRecommended", "FlowCytIntra-species-dilution-info": "", "FlowCytIntra-species-notes": "" } } }

Product details

Patented technology
Our RabMAb® technology is a patented hybridoma-based technology for making rabbit monoclonal antibodies. For details on our patents, please refer to RabMAb® patents.

What are the advantages of a recombinant monoclonal antibody?
This product is a recombinant monoclonal antibody, which offers several advantages including:

  • - High batch-to-batch consistency and reproducibility
  • - Improved sensitivity and specificity
  • - Long-term security of supply
  • - Animal-free batch production

For more information, read more on recombinant antibodies.

Properties and storage information

Form
Liquid
Purification technique
Affinity purification Protein A
Storage buffer
Preservative: 0.01% Sodium azide Constituents: PBS, 40% Glycerol (glycerin, glycerine), 0.05% BSA
Shipped at conditions
Blue Ice
Appropriate short-term storage duration
1-2 weeks
Appropriate short-term storage conditions
+4°C
Appropriate long-term storage conditions
-20°C
Aliquoting information
Upon delivery aliquot
Storage information
Avoid freeze / thaw cycle

Supplementary information

This supplementary information is collated from multiple sources and compiled automatically.

Factor I also known as Complement Factor I (CFI) is a serine protease involved in the complement system. Its molecular mass is approximately 88 kDa consisting of a heavy and a light chain linked by a disulfide bond. This protein is mainly expressed in the liver and circulates in the plasma. Factor I inhibits the complement pathways by cleaving complement components C3b and C4b preventing the formation of C3 and C5 convertases.
Biological function summary

Factor I plays a role in maintaining immune homeostasis by preventing excessive complement activation. It acts within a complex that includes cofactors such as Factor H Complement Factor 4 binding protein (C4BP) and Membrane Cofactor Protein (MCP). These interactions allow Factor I to selectively degrade activated complement components ensuring that complement activity is kept in check to avoid host cell damage.

Pathways

Factor I operates in both the classical and alternative complement pathways. In the classical pathway it regulates C3b and C4b breakdown to control the formation of the C3 convertase. In the alternative pathway Factor I works in conjunction with Factor H to degrade C3b. This regulation is important to prevent runaway activation protecting healthy tissue from complement-mediated damage.

Factor I deficiencies can lead to conditions like atypical hemolytic uremic syndrome (aHUS) and age-related macular degeneration (AMD). In aHUS insufficient Factor I activity permits unregulated complement activation leading to thrombotic microangiopathy. In AMD aberrant complement activation contributes to retinal damage and degeneration. These conditions illustrate the need for balanced Factor I activity to prevent disease.

Product protocols

For this product, it's our understanding that no specific protocols are required. You can visit:

Target data

Trypsin-like serine protease that plays an essential role in regulating the immune response by controlling all complement pathways. Inhibits these pathways by cleaving three peptide bonds in the alpha-chain of C3b and two bonds in the alpha-chain of C4b thereby inactivating these proteins (PubMed : 17320177, PubMed : 7360115). Essential cofactors for these reactions include factor H and C4BP in the fluid phase and membrane cofactor protein/CD46 and CR1 on cell surfaces (PubMed : 12055245, PubMed : 2141838, PubMed : 9605165). The presence of these cofactors on healthy cells allows degradation of deposited C3b by CFI in order to prevent undesired complement activation, while in apoptotic cells or microbes, the absence of such cofactors leads to C3b-mediated complement activation and subsequent opsonization (PubMed : 28671664).
See full target information CFI

Publications (1)

Recent publications for all applications. Explore the full list and refine your search

Frontiers in immunology 13:866330 PubMed35619721

2022

Complement Factor I Variants in Complement-Mediated Renal Diseases.

Applications

Unspecified application

Species

Unspecified reactive species

Yuzhou Zhang,Renee X Goodfellow,Nicolo Ghiringhelli Borsa,Hannah C Dunlop,Stephen A Presti,Nicole C Meyer,Dingwu Shao,Sarah M Roberts,Michael B Jones,Gabriella R Pitcher,Amanda O Taylor,Carla M Nester,Richard J H Smith
View all publications

Product promise

We are committed to supporting your work with high-quality reagents, and we're here for you every step of the way. In the unlikely event that one of our products does not perform as expected, you're protected by our Product Promise.
For full details, please see our Terms & Conditions

Please note: All products are 'FOR RESEARCH USE ONLY. NOT FOR USE IN DIAGNOSTIC OR THERAPEUTIC PROCEDURES'.

For licensing inquiries, please contact partnerships@abcam.com