JavaScript is disabled in your browser. Please enable JavaScript to view this website.
AB238977

Anti-Factor X antibody [EPR16249] - BSA and Azide free

Be the first to review this product! Submit a review

|

(1 Publication)

Rabbit Recombinant Monoclonal Factor X antibody. Carrier free. Suitable for WB, IHC-P and reacts with Human samples. Cited in 1 publication.

View Alternative Names

Coagulation factor X, Stuart factor, Stuart-Prower factor, F10

1 Images
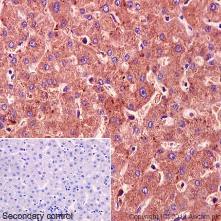
Immunohistochemistry (Formalin/PFA-fixed paraffin-embedded sections) - Anti-Factor X antibody [EPR16249] - BSA and Azide free (AB238977)
  • IHC-P

Supplier Data

Immunohistochemistry (Formalin/PFA-fixed paraffin-embedded sections) - Anti-Factor X antibody [EPR16249] - BSA and Azide free (AB238977)

Immunohistochemical analysis of paraffin-embedded Human liver tissue labeling Factor X with ab196023 at 1/1200 dilution, followed by Goat Anti-Rabbit IgG H&L (HRP) (ab97051) secondary antibody at 1/500 dilution. Cytoplasm staining on Human liver tissue is observed. Counter stained with Hematoxylin.

Secondary control : Used PBS instead of primary antibody, secondary antibody is Goat Anti-Rabbit IgG H&L (HRP) (ab97051) at 1/500 dilution.

This data was developed using the same antibody clone in a different buffer formulation containing PBS, BSA, glycerol, and sodium azide (ab196023).

Perform heat mediated antigen retrieval with Tris/EDTA buffer pH 9.0 before commencing with IHC staining protocol.

Key facts

Host species

Rabbit

Clonality

Monoclonal

Clone number

EPR16249

Isotype

IgG

Carrier free

Yes

Reacts with

Human

Applications

IHC-P, WB

applications

Immunogen

The exact immunogen used to generate this antibody is proprietary information.

Reactivity data

{ "title": "Reactivity Data", "filters": { "stats": ["", "Species", "Dilution Info", "Notes"], "tabs": { "all-applications": {"fullname" : "All Applications", "shortname": "All Applications"}, "WB" : {"fullname" : "Western blot", "shortname":"WB"}, "IHCP" : {"fullname" : "Immunohistochemistry (Formalin/PFA-fixed paraffin-embedded sections)", "shortname":"IHC-P"} }, "product-promise": { "all": "all", "testedAndGuaranteed": "tested", "guaranteed": "expected", "predicted": "predicted", "notRecommended": "not-recommended" } }, "values": { "Human": { "WB-species-checked": "guaranteed", "WB-species-dilution-info": "", "WB-species-notes": "<p></p>", "IHCP-species-checked": "testedAndGuaranteed", "IHCP-species-dilution-info": "", "IHCP-species-notes": "<p></p>" } } }

Product details

ab238977 is the carrier-free version of ab196023.

Patented technology
Our RabMAb® technology is a patented hybridoma-based technology for making rabbit monoclonal antibodies. For details on our patents, please refer to RabMAb® patents.

What are the advantages of a recombinant monoclonal antibody?
This product is a recombinant monoclonal antibody, which offers several advantages including:

  • - High batch-to-batch consistency and reproducibility
  • - Improved sensitivity and specificity
  • - Long-term security of supply
  • - Animal-free batch production

For more information, read more on recombinant antibodies.

Conjugation ready
Our carrier-free antibodies are typically supplied in a PBS-only formulation, purified and free of BSA, sodium azide and glycerol. This conjugation-ready format is designed for use with fluorochromes, metal isotopes, oligonucleotides, and enzymes, which makes them ideal for antibody labelling, functional and cell-based assays, flow-based assays (e.g. mass cytometry) and Multiplex Imaging applications.

Use our conjugation kits for antibody conjugates that are ready-to-use in as little as 20 minutes with 1 minute hands-on-time and 100% antibody recovery: available for fluorescent dyes, HRP, biotin and gold.

Compatibility
This product is compatible with the Maxpar® Antibody Labeling Kit from Fluidigm, without the need for antibody preparation. Maxpar® is a trademark of Fluidigm Canada Inc.

Properties and storage information

Form
Liquid
Purification technique
Affinity purification Protein A
Storage buffer
pH: 7.2 - 7.4 Constituents: PBS
Shipped at conditions
Blue Ice
Appropriate short-term storage conditions
+4°C
Appropriate long-term storage conditions
+4°C
Storage information
Do Not Freeze

Supplementary information

This supplementary information is collated from multiple sources and compiled automatically.

Factor X also known as Stuart-Prower Factor is a critical component in the coagulation cascade. It has a molecular weight of approximately 59 kDa and is expressed mainly in the liver. This serine protease plays an important role in the conversion of prothrombin to thrombin an essential step in blood clot formation. Factor X circulates in the plasma as an inactive zymogen and becomes activated to its enzyme form factor Xa in response to specific physiological signals.
Biological function summary

Factor X contributes significantly to the coagulation process by activating prothrombin into thrombin. It is not part of a larger complex but functions closely with other components of the coagulation cascade to maintain hemostasis. Factor X interacts with calcium ions and phospholipids on the surface of platelets enhancing its enzymatic activity. This activation ensures proper regulation of blood clotting preventing excessive bleeding or uncontrolled clot formation.

Pathways

Factor X is central to both the intrinsic and extrinsic coagulation pathways. It interacts with proteins such as factor VIIa in the extrinsic pathway and factor IXa in the intrinsic pathway both pathways leading to the activation of factor Xa. In turn factor Xa is key in the common pathway which combines inputs from the intrinsic and extrinsic pathways to produce thrombin essential for fibrin clot formation.

Factor X is associated with bleeding disorders such as hemophilia and liver disease. Deficiencies or dysfunctions in factor X result in inadequate clot formation leading to prolonged bleeding episodes. Furthermore increased factor X activity as in cases of thrombophilia can raise the risk of abnormal blood clots. Factor X works alongside proteins like factor V with both deficiencies playing roles in hemophilia. Monitoring factor X activity is important in diagnosing and managing these coagulation-related conditions.

Product protocols

For this product, it's our understanding that no specific protocols are required. You can visit:

Target data

Factor Xa is a vitamin K-dependent glycoprotein that converts prothrombin to thrombin in the presence of factor Va, calcium and phospholipid during blood clotting (PubMed : 22409427). Factor Xa activates pro-inflammatory signaling pathways in a protease-activated receptor (PAR)-dependent manner (PubMed : 24041930, PubMed : 30568593, PubMed : 34831181, PubMed : 18202198). Up-regulates expression of protease-activated receptors (PARs) F2R, F2RL1 and F2RL2 in dermal microvascular endothelial cells (PubMed : 35738824). Triggers the production of pro-inflammatory cytokines, such as MCP-1/CCL2 and IL6, in cardiac fibroblasts and umbilical vein endothelial cells in PAR-1/F2R-dependent manner (PubMed : 30568593, PubMed : 34831181). Triggers the production of pro-inflammatory cytokines, such as MCP-1/CCL2, IL6, TNF-alpha/TNF, IL-1beta/IL1B, IL8/CXCL8 and IL18, in endothelial cells and atrial tissues (PubMed : 24041930, PubMed : 35738824, PubMed : 9780208). Induces expression of adhesion molecules, such as ICAM1, VCAM1 and SELE, in endothelial cells and atrial tissues (PubMed : 24041930, PubMed : 35738824, PubMed : 9780208). Increases expression of phosphorylated ERK1/2 in dermal microvascular endothelial cells and atrial tissues (PubMed : 24041930, PubMed : 35738824). Triggers activation of the transcription factor NF-kappa-B in dermal microvascular endothelial cells and atrial tissues (PubMed : 24041930, PubMed : 35738824). Activates pro-inflammatory and pro-fibrotic responses in dermal fibroblasts and enhances wound healing probably via PAR-2/F2RL1-dependent mechanism (PubMed : 18202198). Activates barrier protective signaling responses in endothelial cells in PAR-2/F2RL1-dependent manner; the activity depends on the cleavage of PAR-2/F2RL1 by factor Xa (PubMed : 22409427). Up-regulates expression of plasminogen activator inhibitor 1 (SERPINE1) in atrial tissues (PubMed : 24041930).
See full target information F10

Publications (1)

Recent publications for all applications. Explore the full list and refine your search

Frontiers in oncology 15:1579843 PubMed40661777

2025

Analysis of the molecular subtypes and prognostic models of anoikis-related genes in colorectal cancer.

Applications

Unspecified application

Species

Unspecified reactive species

Lei Shen,Kang Hou,Jifeng Zhang,Xiaodong Li
View all publications

Product promise

We are committed to supporting your work with high-quality reagents, and we're here for you every step of the way. In the unlikely event that one of our products does not perform as expected, you're protected by our Product Promise.
For full details, please see our Terms & Conditions

Please note: All products are 'FOR RESEARCH USE ONLY. NOT FOR USE IN DIAGNOSTIC OR THERAPEUTIC PROCEDURES'.

For licensing inquiries, please contact partnerships@abcam.com