JavaScript is disabled in your browser. Please enable JavaScript to view this website.
AB196670

Anti-Factor XII antibody - C-terminal

Be the first to review this product! Submit a review

|

(3 Publications)

Rabbit Polyclonal Factor XII antibody. C-terminal. Suitable for WB, IHC-P and reacts with Human, Mouse, Rat samples. Cited in 3 publications. Immunogen corresponding to Recombinant Fragment Protein within Human F12.

View Alternative Names

Coagulation factor XII, Hageman factor, HAF, F12

2 Images
Western blot - Anti-Factor XII antibody - C-terminal (AB196670)
  • WB

Supplier Data

Western blot - Anti-Factor XII antibody - C-terminal (AB196670)

All lanes:

Western blot - Anti-Factor XII antibody - C-terminal (ab196670) at 1/500 dilution

Lane 1:

HepG2 cell extract

Lane 2:

MCF7 cell extract

Lane 3:

SW480 cell extract

Lane 4:

Mouse liver extract

Predicted band size: 67 kDa

false

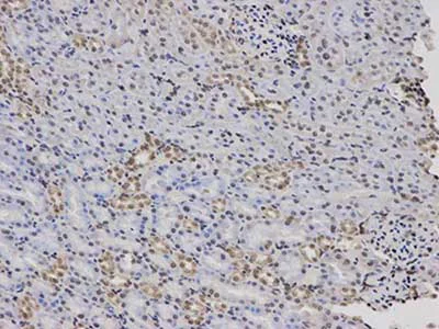
Immunohistochemistry (Formalin/PFA-fixed paraffin-embedded sections) - Anti-Factor XII antibody - C-terminal (AB196670)
  • IHC-P

Supplier Data

Immunohistochemistry (Formalin/PFA-fixed paraffin-embedded sections) - Anti-Factor XII antibody - C-terminal (AB196670)

Immunohistochemical analysis of paraffin-embedded rat kidney tissue labeling Factor XII with ab196670 at 1/50 dilution.

Key facts

Host species

Rabbit

Clonality

Polyclonal

Isotype

IgG

Carrier free

No

Reacts with

Mouse, Rat, Human

Applications

WB, IHC-P

applications

Immunogen

Recombinant Fragment Protein within Human F12. The exact immunogen used to generate this antibody is proprietary information.

P00748

Reactivity data

{ "title": "Reactivity Data", "filters": { "stats": ["", "Species", "Dilution Info", "Notes"], "tabs": { "all-applications": {"fullname" : "All Applications", "shortname": "All Applications"}, "WB" : {"fullname" : "Western blot", "shortname":"WB"}, "IHCP" : {"fullname" : "Immunohistochemistry (Formalin/PFA-fixed paraffin-embedded sections)", "shortname":"IHC-P"} }, "product-promise": { "all": "all", "testedAndGuaranteed": "tested", "guaranteed": "expected", "predicted": "predicted", "notRecommended": "not-recommended" } }, "values": { "Human": { "WB-species-checked": "testedAndGuaranteed", "WB-species-dilution-info": "1/500.00000 - 1/2000.00000", "WB-species-notes": "<p></p>", "IHCP-species-checked": "guaranteed", "IHCP-species-dilution-info": "", "IHCP-species-notes": "" }, "Mouse": { "WB-species-checked": "testedAndGuaranteed", "WB-species-dilution-info": "1/500.00000 - 1/2000.00000", "WB-species-notes": "<p></p>", "IHCP-species-checked": "guaranteed", "IHCP-species-dilution-info": "", "IHCP-species-notes": "" }, "Rat": { "WB-species-checked": "guaranteed", "WB-species-dilution-info": "", "WB-species-notes": "", "IHCP-species-checked": "testedAndGuaranteed", "IHCP-species-dilution-info": "1/50.00000 - 1/100.00000", "IHCP-species-notes": "<p></p>" } } }

You may be interested in:

AB241041

Factor XII / XIIa Assay Kit

0

0 Reviews

View product

We recommend this product because it’s often used in the same experiment or related research.

We advise that you always check the datasheet to ensure it fits your experiments, or contact ourtechnical teamfor help.

Properties and storage information

Form
Liquid
Purification technique
Affinity purification Immunogen
Storage buffer
pH: 7.4 Preservative: 0.02% Sodium azide Constituents: 50% Glycerol (glycerin, glycerine), 49% PBS, 0.87% Sodium chloride
Shipped at conditions
Blue Ice
Appropriate short-term storage duration
1-2 weeks
Appropriate short-term storage conditions
+4°C
Appropriate long-term storage conditions
-20°C
Aliquoting information
Upon delivery aliquot
Storage information
Avoid freeze / thaw cycle

Supplementary information

This supplementary information is collated from multiple sources and compiled automatically.

Factor XII also known as FXII or Hageman factor is a serine protease and a coagulation factor that plays an important role in initiating the intrinsic pathway of blood coagulation. It has a molecular mass of approximately 80 kDa. The liver primarily synthesizes this protein and it circulates in the blood plasma as an inactive precursor. When activated to Factor XIIa it cleaves and activates other coagulation factors such as Factor XI to propagate the coagulation cascade that helps in blood clot formation.
Biological function summary

This protein helps control blood coagulation processes as part of a larger network of interacting proteins that includes contact activation factors. Factor XII activates not only the coagulation cascade but also pathways involved in fibrinolysis inflammation and bradykinin formation. It triggers the kallikrein-kinin system and leads to the generation of bradykinin a peptide known to induce vascular permeability and inflammation.

Pathways

The involvement of Factor XII spans the intrinsic coagulation pathway and the kallikrein-kinin system. It interacts with several other coagulation factors such as Factor XI and prekallikrein to advance the clotting process. The protein initiates the intrinsic blood coagulation pathway by converting Factor XI to Factor XIa in the presence of negatively charged surfaces. It links to the fibrinolytic pathway and can indirectly activate plasminogen through interactions that generate plasmin.

Factor XII deficiency leads to increased risk of thrombosis even though such deficiency generally shows no major bleeding symptoms. The target links to hereditary angioedema where dysregulation in the kallikrein-kinin system involves premature bradykinin activity. Factor XII associates with C1-inhibitor a protein playing a regulatory role in preventing excessive bradykinin production which can manifest in clinical symptoms seen in hereditary angioedema patients.

Product protocols

For this product, it's our understanding that no specific protocols are required. You can visit:

Target data

Factor XII is a serum glycoprotein that participates in the initiation of blood coagulation, fibrinolysis, and the generation of bradykinin and angiotensin. Prekallikrein is cleaved by factor XII to form kallikrein, which then cleaves factor XII first to alpha-factor XIIa and then trypsin cleaves it to beta-factor XIIa. Alpha-factor XIIa activates factor XI to factor XIa (PubMed : 2019570, PubMed : 21304106, PubMed : 8427954).
See full target information F12

Publications (3)

Recent publications for all applications. Explore the full list and refine your search

Neuroscience 413:294-307 PubMed31181367

2019

A Short Isoform of Coagulation Factor XII mRNA Is Expressed by Neurons in the Human Brain.

Applications

Unspecified application

Species

Unspecified reactive species

Daria Zamolodchikov,Yu Bai,Yajun Tang,John R McWhirter,Lynn E Macdonald,Nicole Alessandri-Haber

RNA (New York, N.Y.) 25:255-263 PubMed30463937

2018

An investigational RNAi therapeutic targeting Factor XII (ALN-F12) for the treatment of hereditary angioedema.

Applications

Unspecified application

Species

Unspecified reactive species

Jingxuan Liu,June Qin,Anna Borodovsky,Timothy Racie,Adam Castoreno,Mark Schlegel,Martin A Maier,Tracy Zimmerman,Kevin Fitzgerald,James Butler,Akin Akinc

Circulation 134:141-52 PubMed27354285

2016

Elevated Angiopoietin-2 Level in Patients With Continuous-Flow Left Ventricular Assist Devices Leads to Altered Angiogenesis and Is Associated With Higher Nonsurgical Bleeding.

Applications

Unspecified application

Species

Unspecified reactive species

Corey E Tabit,Phetcharat Chen,Gene H Kim,Savitri E Fedson,Gabriel Sayer,Mitchell J Coplan,Valluvan Jeevanandam,Nir Uriel,James K Liao
View all publications

Product promise

We are committed to supporting your work with high-quality reagents, and we're here for you every step of the way. In the unlikely event that one of our products does not perform as expected, you're protected by our Product Promise.
For full details, please see our Terms & Conditions

Associated Products

Select an associated product type
Alternative Product
Primary Antibodies

AB242123

Anti-Factor XII antibody [EPR22292-127]

primary-antibodies

factor-xii-antibody-epr22292-127-ab242123

0

(0 reviews)

Alternative Product
Primary Antibodies

AB104557

Anti-Factor XII antibody

primary-antibodies

factor-xii-antibody-ab104557

0

(0 reviews)

Alternative Product
Primary Antibodies

AB242152

Anti-Factor XII antibody [EPR22292-127] - BSA and Azide free

primary-antibodies

factor-xii-antibody-epr22292-127-bsa-and-azide-free-ab242152

0

(0 reviews)

Please note: All products are 'FOR RESEARCH USE ONLY. NOT FOR USE IN DIAGNOSTIC OR THERAPEUTIC PROCEDURES'.

For licensing inquiries, please contact partnerships@abcam.com