JavaScript is disabled in your browser. Please enable JavaScript to view this website.
AB242123

Anti-Factor XII antibody [EPR22292-127]

Be the first to review this product! Submit a review

|

(4 Publications)

Rabbit Recombinant Monoclonal Factor XII antibody. Suitable for WB, IP and reacts with Recombinant full length protein - Human, Human samples. Cited in 4 publications.

View Alternative Names

Coagulation factor XII, Hageman factor, HAF, F12

5 Images
Immunoprecipitation - Anti-Factor XII antibody [EPR22292-127] (AB242123)
  • IP

Supplier Data

Immunoprecipitation - Anti-Factor XII antibody [EPR22292-127] (AB242123)

Factor XII was immunoprecipitated from 0.35 mg of human plasma with ab242123 at 1/30 dilution. Western blot was performed from the immunoprecipitate using ab242123 at 1/1000 dilution. VeriBlot for IP Detection Reagent (HRP) (ab131366), was used for detection at 1/5000 dilution.

Lane 1 : Human plasma 10 μg (Input).

Lane 2 : ab242123 IP in human plasma.

Lane 3 : Rabbit monoclonal IgG (ab172730) instead of ab242123 in human plasma.

Blocking and dilution buffer and concentration : 5% NFDM/TBST.

Exposure time : 5 seconds.

Factor XII is an 80kDa glycoprotein undergoes catalysis and forms the 70kDa cleavage and 50kDa heavy chain of alpha-factor XIIa. (PMID : 8049433, PMID 2473984).

All lanes:

Immunoprecipitation - Anti-Factor XII antibody [EPR22292-127] (ab242123)

Predicted band size: 67 kDa

false

Immunoprecipitation - Anti-Factor XII antibody [EPR22292-127] (AB242123)
  • IP

Supplier Data

Immunoprecipitation - Anti-Factor XII antibody [EPR22292-127] (AB242123)

Factor XII was immunoprecipitated from 0.35 mg of human serum with ab242123 at 1/30 dilution. Western blot was performed from the immunoprecipitate using ab242123 at 1/1000 dilution. VeriBlot for IP Detection Reagent (HRP) (ab131366), was used for detection at 1/5000 dilution.

Lane 1 : Human serum 10 μg (Input).

Lane 2 : ab242123 IP in human serum.

Lane 3 : Rabbit monoclonal IgG (ab172730) instead of ab242123 in human serum.

Blocking and dilution buffer and concentration : 5% NFDM/TBST.

Exposure time : 5 seconds.

Factor XII is an 80kDa glycoprotein undergoes catalysis and forms the 70kDa cleavage and 50kDa heavy chain of alpha-factor XIIa. (PMID : 8049433, PMID 2473984).

All lanes:

Immunoprecipitation - Anti-Factor XII antibody [EPR22292-127] (ab242123)

Predicted band size: 25 kDa,67 kDa

false

Western blot - Anti-Factor XII antibody [EPR22292-127] (AB242123)
  • WB

Supplier Data

Western blot - Anti-Factor XII antibody [EPR22292-127] (AB242123)

Exposure time : Lane 1 : 8 Seconds; Lane 2 : 3 minutes.

Blocking/Dilution buffer : 5% NFDM/TBST.

Factor XII is an 80-kDa polypeptide undergoes catalysis and forms the 50-kDa heavy and 30-kDa light chains of alpha-factor XIIa. The molecular weight observed is consistent with literature (PMID : 28069606; 2473984; 8049433).

All lanes:

Western blot - Anti-Factor XII antibody [EPR22292-127] (ab242123) at 1/1000 dilution

Lane 1:

Human plasma at 20 µg

Lane 2:

Human serum at 20 µg

Secondary

All lanes:

Western blot - VeriBlot for IP Detection Reagent (HRP) (<a href='/en-us/products/reagents/veriblot-for-ip-detection-reagent-hrp-ab131366'>ab131366</a>) at 1/1000 dilution

Predicted band size: 67 kDa

Observed band size: 50 kDa,80 kDa

false

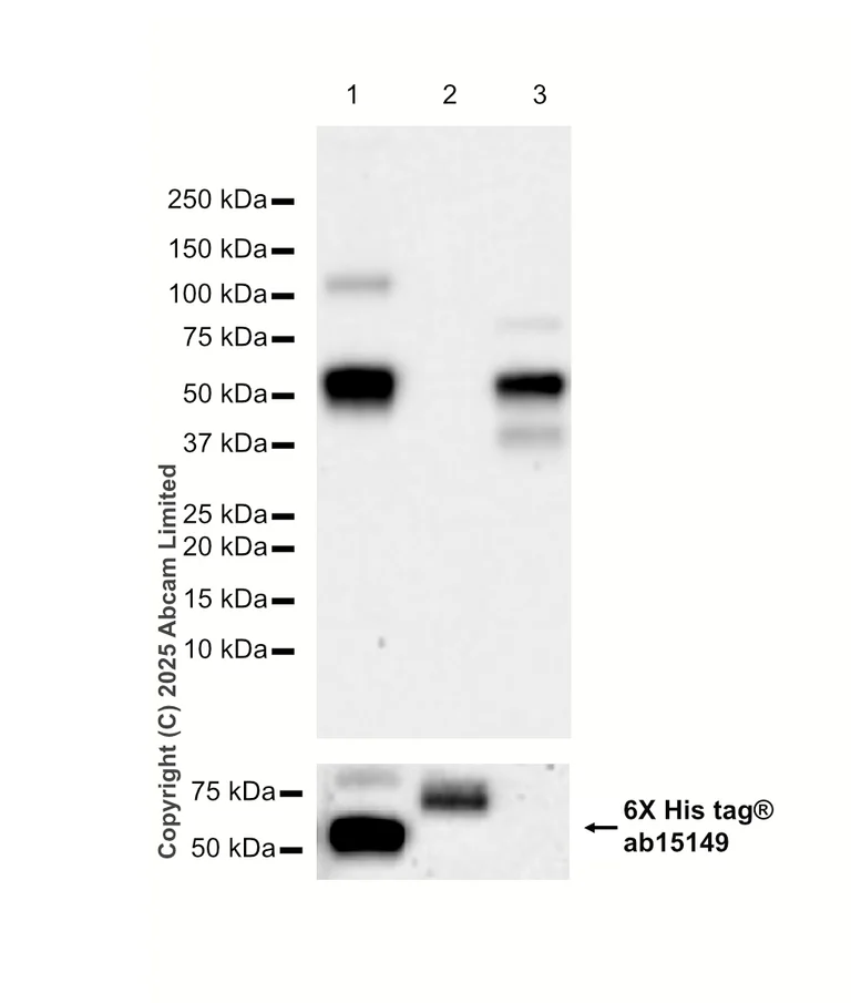
Western blot - Anti-Factor XII antibody [EPR22292-127] (AB242123)
  • WB

Lab

Western blot - Anti-Factor XII antibody [EPR22292-127] (AB242123)

In Western blot, Anti-Anti-6X His tag® antibody [AD1.1.10] loading control staining at 1/1000 dilution.

Blocking and diluting buffer and concentration : 5% NFDM/TBST.

This antibody does not cross-react with human light chain Factor XII.

All lanes:

Western blot - Anti-Factor XII antibody [EPR22292-127] (ab242123) at 1/1000 dilution

Lane 1:

His-tagged heavy chain of human Factor XII recombinant protein at 10 ng

Lane 2:

Lif/His-tagged light chain of human Factor XII recombinant protein at 10 ng

Lane 3:

No-tagged human Factor XII recombinant protein without His tag at 10 ng

Secondary

All lanes:

Western blot - Goat Anti-Rabbit IgG H&L (HRP) (<a href='/en-us/products/secondary-antibodies/goat-rabbit-igg-h-l-hrp-ab97051'>ab97051</a>) at 1/100000 dilution

Observed band size: 65 kDa,50-70 kDa

false

Exposure time: 92s

Western blot - Anti-Factor XII antibody [EPR22292-127] (AB242123)
  • WB

Supplier Data

Western blot - Anti-Factor XII antibody [EPR22292-127] (AB242123)

Blocking/Dilution buffer : 5% NFDM/TBST.

Factor XII is an 80-kDa polypeptide undergoes catalysis and forms the 50-kDa heavy and 30-kDa light chains of alpha-factor XIIa. The molecular weight observed is consistent with literature (PMID : 28069606; 2473984; 8049433).

All lanes:

Western blot - Anti-Factor XII antibody [EPR22292-127] (ab242123) at 1/1000 dilution

All lanes:

Western blot - Native Human Factor XII protein (<a href='/en-us/products/proteins-peptides/native-human-factor-xii-protein-ab62423'>ab62423</a>) at 20 µg/mL

Secondary

All lanes:

Western blot - Goat Anti-Rabbit IgG H&L (HRP) (<a href='/en-us/products/secondary-antibodies/goat-rabbit-igg-h-l-hrp-ab97051'>ab97051</a>) at 1/100000 dilution

Predicted band size: 67 kDa

Observed band size: 50 kDa,80 kDa

false

Exposure time: 3min

  • Carrier free

    Anti-Factor XII antibody [EPR22292-127] - BSA and Azide free

Key facts

Host species

Rabbit

Clonality

Monoclonal

Clone number

EPR22292-127

Isotype

IgG

Carrier free

No

Reacts with

Human

Applications

WB, IP

applications

Immunogen

The exact immunogen used to generate this antibody is proprietary information.

Specificity
This antibody does not cross-react with human light chain Factor XII.

Reactivity data

{ "title": "Reactivity Data", "filters": { "stats": ["", "Species", "Dilution Info", "Notes"], "tabs": { "all-applications": {"fullname" : "All Applications", "shortname": "All Applications"}, "WB" : {"fullname" : "Western blot", "shortname":"WB"}, "IP" : {"fullname" : "Immunoprecipitation", "shortname":"IP"}, "IHCP" : {"fullname" : "Immunohistochemistry (Formalin/PFA-fixed paraffin-embedded sections)", "shortname":"IHC-P"}, "ICCIF" : {"fullname" : "Immunocytochemistry/ Immunofluorescence", "shortname":"ICC/IF"} }, "product-promise": { "all": "all", "testedAndGuaranteed": "tested", "guaranteed": "expected", "predicted": "predicted", "notRecommended": "not-recommended" } }, "values": { "Human": { "WB-species-checked": "testedAndGuaranteed", "WB-species-dilution-info": "1/1000", "WB-species-notes": "<p></p>", "IP-species-checked": "testedAndGuaranteed", "IP-species-dilution-info": "1/30", "IP-species-notes": "<p></p>", "IHCP-species-checked": "notRecommended", "IHCP-species-dilution-info": "", "IHCP-species-notes": "<p></p>", "ICCIF-species-checked": "notRecommended", "ICCIF-species-dilution-info": "", "ICCIF-species-notes": "<p></p>" }, "Mouse": { "WB-species-checked": "notRecommended", "WB-species-dilution-info": "1/1000", "WB-species-notes": "<p></p>", "IP-species-checked": "notRecommended", "IP-species-dilution-info": "", "IP-species-notes": "", "IHCP-species-checked": "notRecommended", "IHCP-species-dilution-info": "", "IHCP-species-notes": "", "ICCIF-species-checked": "notRecommended", "ICCIF-species-dilution-info": "", "ICCIF-species-notes": "" }, "Recombinant full length protein - Human": { "WB-species-checked": "testedAndGuaranteed", "WB-species-dilution-info": "1/1000", "WB-species-notes": "<p></p>", "IP-species-checked": "notRecommended", "IP-species-dilution-info": "", "IP-species-notes": "", "IHCP-species-checked": "notRecommended", "IHCP-species-dilution-info": "", "IHCP-species-notes": "", "ICCIF-species-checked": "notRecommended", "ICCIF-species-dilution-info": "", "ICCIF-species-notes": "" } } }

Product details

Patented technology
Our RabMAb® technology is a patented hybridoma-based technology for making rabbit monoclonal antibodies. For details on our patents, please refer to RabMAb® patents.

What are the advantages of a recombinant monoclonal antibody?
This product is a recombinant monoclonal antibody, which offers several advantages including:

  • - High batch-to-batch consistency and reproducibility
  • - Improved sensitivity and specificity
  • - Long-term security of supply
  • - Animal-free batch production

For more information, read more on recombinant antibodies.

Properties and storage information

Form
Liquid
Purification technique
Affinity purification Protein A
Storage buffer
pH: 7.2 - 7.4 Preservative: 0.01% Sodium azide Constituents: PBS, 40% Glycerol (glycerin, glycerine), 0.05% BSA
Shipped at conditions
Blue Ice
Appropriate short-term storage duration
1-2 weeks
Appropriate short-term storage conditions
+4°C
Appropriate long-term storage conditions
-20°C
Aliquoting information
Upon delivery aliquot
Storage information
Avoid freeze / thaw cycle

Supplementary information

This supplementary information is collated from multiple sources and compiled automatically.

Factor XII also known as FXII or Hageman factor is a serine protease and a coagulation factor that plays an important role in initiating the intrinsic pathway of blood coagulation. It has a molecular mass of approximately 80 kDa. The liver primarily synthesizes this protein and it circulates in the blood plasma as an inactive precursor. When activated to Factor XIIa it cleaves and activates other coagulation factors such as Factor XI to propagate the coagulation cascade that helps in blood clot formation.
Biological function summary

This protein helps control blood coagulation processes as part of a larger network of interacting proteins that includes contact activation factors. Factor XII activates not only the coagulation cascade but also pathways involved in fibrinolysis inflammation and bradykinin formation. It triggers the kallikrein-kinin system and leads to the generation of bradykinin a peptide known to induce vascular permeability and inflammation.

Pathways

The involvement of Factor XII spans the intrinsic coagulation pathway and the kallikrein-kinin system. It interacts with several other coagulation factors such as Factor XI and prekallikrein to advance the clotting process. The protein initiates the intrinsic blood coagulation pathway by converting Factor XI to Factor XIa in the presence of negatively charged surfaces. It links to the fibrinolytic pathway and can indirectly activate plasminogen through interactions that generate plasmin.

Factor XII deficiency leads to increased risk of thrombosis even though such deficiency generally shows no major bleeding symptoms. The target links to hereditary angioedema where dysregulation in the kallikrein-kinin system involves premature bradykinin activity. Factor XII associates with C1-inhibitor a protein playing a regulatory role in preventing excessive bradykinin production which can manifest in clinical symptoms seen in hereditary angioedema patients.

Product protocols

For this product, it's our understanding that no specific protocols are required. You can visit:

Target data

Factor XII is a serum glycoprotein that participates in the initiation of blood coagulation, fibrinolysis, and the generation of bradykinin and angiotensin. Prekallikrein is cleaved by factor XII to form kallikrein, which then cleaves factor XII first to alpha-factor XIIa and then trypsin cleaves it to beta-factor XIIa. Alpha-factor XIIa activates factor XI to factor XIa (PubMed : 2019570, PubMed : 21304106, PubMed : 8427954).
See full target information F12

Publications (4)

Recent publications for all applications. Explore the full list and refine your search

Materials today. Bio 31:101468 PubMed39906203

2025

Green biosynthetic silver nanoparticles from as multifunctional hemostatic agents: Combining hemostasis, antibacterial, and anti-inflammatory properties for effective wound healing.

Applications

Unspecified application

Species

Unspecified reactive species

Yang Li,Yinfeng Tan,Huange Zhao,Shiting Chen,Azadeh Nilghaz,Rong Cao,Songlin Zhou

CytoJournal 21:22 PubMed38989294

2024

Mitochondrial protein isoleucyl-tRNA synthetase 2 in tumor cells as a potential therapeutic target for cervical cancer.

Applications

Unspecified application

Species

Unspecified reactive species

Xiaojiao Meng,Bo Gao,Ning Li

ACS applied materials & interfaces 16:4307-4320 PubMed38240181

2024

Safe and Efficacious Near Superhydrophobic Hemostat for Reduced Blood Loss and Easy Detachment in Traumatic Wounds.

Applications

Unspecified application

Species

Unspecified reactive species

Yibing Dong,Yaoxian Xu,Chengxing Lian,Krisna Prak,Hwa Liang Leo,Teresa D Tetley,Vania Braga,Mike Emerson,Josefin Ahnström,Choon Hwai Yap

Cell research 30:119-132 PubMed31811276

2019

Transferrin plays a central role in coagulation balance by interacting with clotting factors.

Applications

Unspecified application

Species

Unspecified reactive species

Xiaopeng Tang,Zhiye Zhang,Mingqian Fang,Yajun Han,Gan Wang,Sheng Wang,Min Xue,Yaxiong Li,Li Zhang,Jian Wu,Biqing Yang,James Mwangi,Qiumin Lu,Xiaoping Du,Ren Lai
View all publications

Product promise

We are committed to supporting your work with high-quality reagents, and we're here for you every step of the way. In the unlikely event that one of our products does not perform as expected, you're protected by our Product Promise.
For full details, please see our Terms & Conditions

Please note: All products are 'FOR RESEARCH USE ONLY. NOT FOR USE IN DIAGNOSTIC OR THERAPEUTIC PROCEDURES'.

For licensing inquiries, please contact partnerships@abcam.com