JavaScript is disabled in your browser. Please enable JavaScript to view this website.
AB1834

Anti-Factor XIIIa antibody [AC-1A1]

Be the first to review this product! Submit a review

|

(14 Publications)

Mouse Monoclonal Factor XIIIa antibody. Suitable for Flow Cyt, ELISA, WB, IHC-P, ICC/IF, IHC-Fr and reacts with Human, Mouse samples. Cited in 14 publications. Immunogen corresponding to Recombinant Fragment Protein within Human F13A1.

View Alternative Names

F13A, F13A1, Coagulation factor XIII A chain, Coagulation factor XIIIa, Protein-glutamine gamma-glutamyltransferase A chain, Transglutaminase A chain

5 Images
Flow Cytometry - Anti-Factor XIIIa antibody [AC-1A1] (AB1834)
  • Flow Cyt

Unknown

Flow Cytometry - Anti-Factor XIIIa antibody [AC-1A1] (AB1834)

Overlay histogram showing A549 cells stained with ab16956 (red line). The cells were fixed with 80% methanol (5 min) and then permeabilized with 0.1% PBS-Tween for 20 min. The cells were then incubated in 1x PBS / 10% normal goat serum / 0.3M glycine to block non-specific protein-protein interactions followed by the antibody (ab16956, 1μg/1x106 cells) for 30 min at 22°C. The secondary antibody used was DyLight® 488 goat anti-mouse IgG (H+L) (ab96879) at 1/500 dilution for 30 min at 22°C. Isotype control antibody (black line) was mouse IgG1 [ICIGG1] (ab91353, 2μg/1x106 cells) used under the same conditions. Acquisition of >5,000 events was performed.

Immunohistochemistry (Formalin/PFA-fixed paraffin-embedded sections) - Anti-Factor XIIIa antibody [AC-1A1] (AB1834)
  • IHC-P

Unknown

Immunohistochemistry (Formalin/PFA-fixed paraffin-embedded sections) - Anti-Factor XIIIa antibody [AC-1A1] (AB1834)

ab1834 - immunohistochemistry

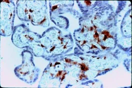
Formalin fixed paraffin embedded human placenta stained with Factor XIIIa, using ABC and AEC chromogen.

Immunohistochemistry (Formalin/PFA-fixed paraffin-embedded sections) - Anti-Factor XIIIa antibody [AC-1A1] (AB1834)
  • IHC-P

Unknown

Immunohistochemistry (Formalin/PFA-fixed paraffin-embedded sections) - Anti-Factor XIIIa antibody [AC-1A1] (AB1834)

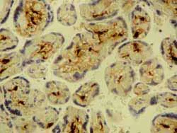
Immunohistochemical analysis of formalin-fixed, paraffin-embedded Human placenta tissue, staining Factor XIIIa with ab1834.

Immunohistochemistry (Formalin/PFA-fixed paraffin-embedded sections) - Anti-Factor XIIIa antibody [AC-1A1] (AB1834)
  • IHC-P

Unknown

Immunohistochemistry (Formalin/PFA-fixed paraffin-embedded sections) - Anti-Factor XIIIa antibody [AC-1A1] (AB1834)

ab1834 staining human placenta by IHC-P.

Western blot - Anti-Factor XIIIa antibody [AC-1A1] (AB1834)
  • WB

Unknown

Western blot - Anti-Factor XIIIa antibody [AC-1A1] (AB1834)

All lanes:

Western blot - Anti-Factor XIIIa antibody [AC-1A1] (ab1834) at 1/250 dilution

All lanes:

Human placenta tissue lysate - total protein at 10 µg

Secondary

All lanes:

Western blot - Goat Anti-Mouse IgG H&L (HRP) preadsorbed (<a href='/en-us/products/secondary-antibodies/goat-mouse-igg-h-l-hrp-preadsorbed-ab97040'>ab97040</a>) at 1/5000 dilution

Predicted band size: 83 kDa

Observed band size: 37 kDa,74 kDa,83 kDa

true

Exposure time: 2min

Key facts

Host species

Mouse

Clonality

Monoclonal

Clone number

AC-1A1

Isotype

IgG1

Light chain type

kappa

Carrier free

No

Reacts with

Human, Mouse

Applications

IHC-Fr, WB, ICC/IF, IHC-P, Flow Cyt, ELISA

applications

Immunogen

Recombinant Fragment Protein within Human F13A1. The exact immunogen used to generate this antibody is proprietary information.

P00488

Reactivity data

{ "title": "Reactivity Data", "filters": { "stats": ["", "Species", "Dilution Info", "Notes"], "tabs": { "all-applications": {"fullname" : "All Applications", "shortname": "All Applications"}, "FlowCyt" : {"fullname" : "Flow Cytometry", "shortname":"Flow Cyt"}, "ELISA" : {"fullname" : "ELISA", "shortname":"ELISA"}, "WB" : {"fullname" : "Western blot", "shortname":"WB"}, "IHCP" : {"fullname" : "Immunohistochemistry (Formalin/PFA-fixed paraffin-embedded sections)", "shortname":"IHC-P"}, "ICCIF" : {"fullname" : "Immunocytochemistry/ Immunofluorescence", "shortname":"ICC/IF"}, "IHCFr" : {"fullname" : "Immunohistochemistry (Frozen sections)", "shortname":"IHC-Fr"} }, "product-promise": { "all": "all", "testedAndGuaranteed": "tested", "guaranteed": "expected", "predicted": "predicted", "notRecommended": "not-recommended" } }, "values": { "Human": { "FlowCyt-species-checked": "testedAndGuaranteed", "FlowCyt-species-dilution-info": "1 µg for 10^6 Cells", "FlowCyt-species-notes": "<p><a href='/en-us/products/primary-antibodies/mouse-igg1-kappa-monoclonal-15-6e10a7-isotype-control-ab170190'>ab170190</a> - Mouse monoclonal IgG1, is suitable for use as an isotype control with this antibody.</p>", "ELISA-species-checked": "guaranteed", "ELISA-species-dilution-info": "", "ELISA-species-notes": "<p></p>", "WB-species-checked": "testedAndGuaranteed", "WB-species-dilution-info": "", "WB-species-notes": "<p></p>", "IHCP-species-checked": "testedAndGuaranteed", "IHCP-species-dilution-info": "", "IHCP-species-notes": "<p></p>", "ICCIF-species-checked": "guaranteed", "ICCIF-species-dilution-info": "", "ICCIF-species-notes": "<p></p>", "IHCFr-species-checked": "guaranteed", "IHCFr-species-dilution-info": "", "IHCFr-species-notes": "<p>This antibody may be diluted to a titer of 1/25 - 1/50 in an ABC method.</p>" }, "Mouse": { "FlowCyt-species-checked": "predicted", "FlowCyt-species-dilution-info": "", "FlowCyt-species-notes": "", "ELISA-species-checked": "guaranteed", "ELISA-species-dilution-info": "", "ELISA-species-notes": "<p></p>", "WB-species-checked": "predicted", "WB-species-dilution-info": "", "WB-species-notes": "", "IHCP-species-checked": "predicted", "IHCP-species-dilution-info": "", "IHCP-species-notes": "", "ICCIF-species-checked": "guaranteed", "ICCIF-species-dilution-info": "", "ICCIF-species-notes": "<p></p>", "IHCFr-species-checked": "guaranteed", "IHCFr-species-dilution-info": "", "IHCFr-species-notes": "<p>This antibody may be diluted to a titer of 1/25 - 1/50 in an ABC method.</p>" } } }

Product details

This antibody recognizes both the dimer and monomer forms.

Properties and storage information

Form
Liquid
Purity
IgG fraction
Storage buffer
pH: 7.3 - 7.5 Preservative: 0.05% Sodium azide Constituents: 1% BSA
Shipped at conditions
Blue Ice
Appropriate short-term storage duration
1-2 weeks
Appropriate short-term storage conditions
+4°C
Appropriate long-term storage conditions
-20°C
Aliquoting information
Upon delivery aliquot
Storage information
Avoid freeze / thaw cycle

Supplementary information

This supplementary information is collated from multiple sources and compiled automatically.

Factor XIIIa also known as Factor 13a Factor XIII or Factor 13 is an enzyme that plays an important role in blood coagulation. Its mass is approximately 83 kDa. This enzyme is part of the transglutaminase family and is predominantly found in plasma and platelets. Factor XIIIa becomes active when thrombin and calcium ions cleave its A subunits converting it from an inactive zymogen known simply as Factor XIII or Factor 13 to its active form. The best assays for Factor XIIIa often measure its transglutaminase activity which facilitates the cross-linking of fibrin stabilizing blood clots.
Biological function summary

Factor XIIIa is important for hemostasis facilitating the final stages of blood clot formation by cross-linking fibrin polymers. This enzyme does not function in isolation; it forms a tetrameric complex with two A subunits and two B subunits. The active form Factor XIIIa catalyzes the formation of covalent bonds between glutamine and lysine residues in fibrin chains. This enhances the mechanical strength and resistance of the clot preventing premature degradation.

Pathways

Factor XIIIa is part of the coagulation pathway specifically involved in the stabilization of fibrin in the final steps of the cascade. It interacts closely with proteins like fibrinogen and thrombin as these proteins are essential in the conversion of Factor XIII to Factor XIIIa and in clot formation. Factor XIIIa also plays a role in the wound healing process by stabilizing the ECM (extracellular matrix) through cross-linking fibrin fibronectin and collagen.

Factor XIIIa deficiency can lead to bleeding diathesis a condition characterized by poor clot stability and prolonged bleeding. This deficiency is often congenital and involves reduced levels or activity of Factor XIII. Conversely overactivity or dysregulation of Factor XIIIa may contribute to thrombotic disorders where abnormal clot formation can lead to conditions like deep vein thrombosis. Clinically understanding Factor XIIIa interactions especially its functional relationships with fibrinogen and thrombin is critical in managing these bleeding and thrombotic disorders.

Product protocols

For this product, it's our understanding that no specific protocols are required. You can visit:

Target data

Factor XIII is activated by thrombin and calcium ion to a transglutaminase that catalyzes the formation of gamma-glutamyl-epsilon-lysine cross-links between fibrin chains, thus stabilizing the fibrin clot. Also cross-link alpha-2-plasmin inhibitor, or fibronectin, to the alpha chains of fibrin.
See full target information F13A1

Publications (14)

Recent publications for all applications. Explore the full list and refine your search

The Journal of clinical investigation 132: PubMed36006736

2022

Mast cell-derived factor XIIIA contributes to sexual dimorphic defense against group B streptococcal infections.

Applications

Unspecified application

Species

Unspecified reactive species

Adrian M Piliponsky,Kavita Sharma,Phoenicia Quach,Alyssa Brokaw,Shayla Nguyen,Austyn Orvis,Siddhartha S Saha,Nyssa Becker Samanas,Ravin Seepersaud,Yu Ping Tang,Emily Mackey,Gauri Bhise,Claire Gendrin,Anna Furuta,Albert J Seo,Eric Guga,Irina Miralda,Michelle Coleman,Erin L Sweeney,Charlotte A Bäuml,Diana Imhof,Jessica M Snyder,Adam J Moeser,Lakshmi Rajagopal

Nutrients 14: PubMed35684129

2022

New Mechanisms of Bromelain in Alleviating Non-Alcoholic Fatty Liver Disease-Induced Deregulation of Blood Coagulation.

Applications

Unspecified application

Species

Unspecified reactive species

Po-An Hu,Sz-Han Wang,Chia-Hui Chen,Bei-Chia Guo,Jenq-Wen Huang,Tzong-Shyuan Lee

Frontiers in cardiovascular medicine 8:779073 PubMed34859078

2021

Platelet Phenotype Analysis of COVID-19 Patients Reveals Progressive Changes in the Activation of Integrin αIIbβ3, F13A1, the SARS-CoV-2 Target EIF4A1 and Annexin A5.

Applications

Unspecified application

Species

Unspecified reactive species

Huriye Ercan,Waltraud Cornelia Schrottmaier,Anita Pirabe,Anna Schmuckenschlager,David Pereyra,Jonas Santol,Erich Pawelka,Marianna T Traugott,Christian Schörgenhofer,Tamara Seitz,Mario Karolyi,Jae-Won Yang,Bernd Jilma,Alexander Zoufaly,Alice Assinger,Maria Zellner

Cancers 13: PubMed34066760

2021

Alterations of the Platelet Proteome in Lung Cancer: Accelerated F13A1 and ER Processing as New Actors in Hypercoagulability.

Applications

Unspecified application

Species

Unspecified reactive species

Huriye Ercan,Lisa-Marie Mauracher,Ella Grilz,Lena Hell,Roland Hellinger,Johannes A Schmid,Florian Moik,Cihan Ay,Ingrid Pabinger,Maria Zellner

Cancer epidemiology, biomarkers & prevention : a p 28:1668-1681 PubMed31350263

2019

Potential Markers from Serum-Purified Exosomes for Detecting Oral Squamous Cell Carcinoma Metastasis.

Applications

Unspecified application

Species

Unspecified reactive species

Cuiping Li,Yang Zhou,Junjun Liu,Xiaoping Su,Hao Qin,Suhua Huang,Xuanping Huang,Nuo Zhou

Thrombosis and haemostasis 118:2037-2045 PubMed30419598

2018

Proline 36 of the Factor XIII Activation Peptide Plays a Crucial Role in Substrate Recognition and Zymogen Activation.

Applications

Unspecified application

Species

Unspecified reactive species

Bojun Li,Ramya Billur,Muriel C Maurer,Hans P Kohler,Pascale Raddatz Müller,Lorenzo Alberio,Verena Schroeder

Journal of the European Academy of Dermatology and Venereology : JEADV 32:2208-2216 PubMed29888507

2018

CD34 stromal expression is inversely proportional to smooth muscle actin expression and extent of morphea.

Applications

Unspecified application

Species

Unspecified reactive species

J S Lee,H S Park,H S Yoon,J H Chung,S Cho

Journal of thrombosis and haemostasis : JTH 13:1449-58 PubMed26083359

2015

The activation peptide of coagulation factor XIII is vital for its expression and stability.

Applications

SDS-PAGE, WB

Species

Unspecified reactive species, Unspecified reactive species

H Handrkova,V Schroeder,H P Kohler

Blood 124:3982-90 PubMed25331118

2014

Functional factor XIII-A is exposed on the stimulated platelet surface.

Applications

WB

Species

Human

Joanne L Mitchell,Ausra S Lionikiene,Steven R Fraser,Claire S Whyte,Nuala A Booth,Nicola J Mutch

PloS one 5:e8866 PubMed20111593

2010

Regulation of gene expression by PI3K in mouse growth plate chondrocytes.

Applications

IHC-P, WB

Species

Mouse, Mouse

Veronica Ulici,Claudine G James,Katie D Hoenselaar,Frank Beier
View all publications

Product promise

We are committed to supporting your work with high-quality reagents, and we're here for you every step of the way. In the unlikely event that one of our products does not perform as expected, you're protected by our Product Promise.
For full details, please see our Terms & Conditions

Please note: All products are 'FOR RESEARCH USE ONLY. NOT FOR USE IN DIAGNOSTIC OR THERAPEUTIC PROCEDURES'.

For licensing inquiries, please contact partnerships@abcam.com