JavaScript is disabled in your browser. Please enable JavaScript to view this website.
AB225722

Anti-Factor XIIIa antibody [SP196]

Be the first to review this product! Submit a review

|

(1 Publication)

Rabbit Recombinant Monoclonal Factor XIIIa antibody. Suitable for IHC-P and reacts with Human samples. Cited in 1 publication.

View Alternative Names

F13A, F13A1, Coagulation factor XIII A chain, Coagulation factor XIIIa, Protein-glutamine gamma-glutamyltransferase A chain, Transglutaminase A chain

10 Images
Immunohistochemistry (Formalin/PFA-fixed paraffin-embedded sections) - Anti-Factor XIIIa antibody [SP196] (AB225722)
  • IHC-P

Supplier Data

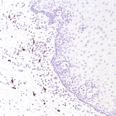
Immunohistochemistry (Formalin/PFA-fixed paraffin-embedded sections) - Anti-Factor XIIIa antibody [SP196] (AB225722)

Formalin-fixed paraffin-embedded human skin tissue stained for Factor XIIIa using ab225722 at 1/100 dilution in immunohistochemical analysis.

Immunohistochemistry (Formalin/PFA-fixed paraffin-embedded sections) - Anti-Factor XIIIa antibody [SP196] (AB225722)
  • IHC-P

Supplier Data

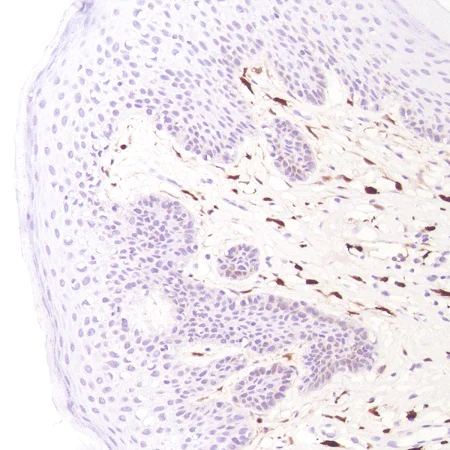
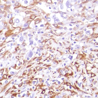
Immunohistochemistry (Formalin/PFA-fixed paraffin-embedded sections) - Anti-Factor XIIIa antibody [SP196] (AB225722)

Formalin-fixed paraffin-embedded human skin squamous cell carcinoma tissue stained for Factor XIIIa using ab225722 at 1/100 dilution in immunohistochemical analysis.

Immunohistochemistry (Formalin/PFA-fixed paraffin-embedded sections) - Anti-Factor XIIIa antibody [SP196] (AB225722)
  • IHC-P

Supplier Data

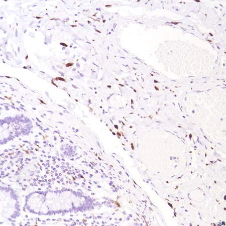
Immunohistochemistry (Formalin/PFA-fixed paraffin-embedded sections) - Anti-Factor XIIIa antibody [SP196] (AB225722)

Formalin-fixed, paraffin-embedded human colon tissue stained for Factor XIIIa using ab225722 at 1/100 dilution in immunohistochemical analysis.

Immunohistochemistry (Formalin/PFA-fixed paraffin-embedded sections) - Anti-Factor XIIIa antibody [SP196] (AB225722)
  • IHC-P

Supplier Data

Immunohistochemistry (Formalin/PFA-fixed paraffin-embedded sections) - Anti-Factor XIIIa antibody [SP196] (AB225722)

Formalin-fixed, paraffin-embedded human bladder tissue stained for Factor XIIIa using ab225722 at 1/100 dilution in immunohistochemical analysis.

Immunohistochemistry (Formalin/PFA-fixed paraffin-embedded sections) - Anti-Factor XIIIa antibody [SP196] (AB225722)
  • IHC-P

Supplier Data

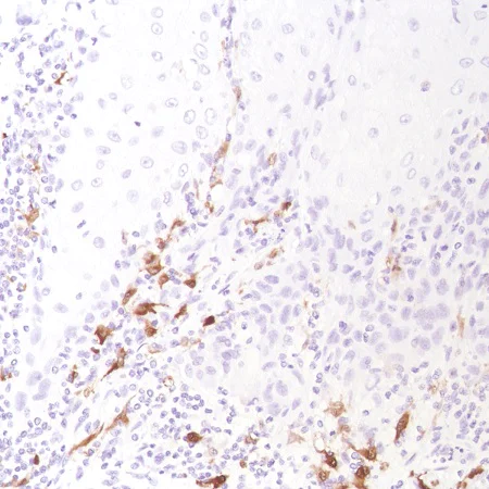
Immunohistochemistry (Formalin/PFA-fixed paraffin-embedded sections) - Anti-Factor XIIIa antibody [SP196] (AB225722)

Formalin-fixed, paraffin-embedded human HK lymphoma tissue stained for Factor XIIIa using ab225722 at 1/100 dilution in immunohistochemical analysis.

Immunohistochemistry (Formalin/PFA-fixed paraffin-embedded sections) - Anti-Factor XIIIa antibody [SP196] (AB225722)
  • IHC-P

Unknown

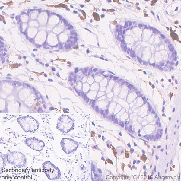
Immunohistochemistry (Formalin/PFA-fixed paraffin-embedded sections) - Anti-Factor XIIIa antibody [SP196] (AB225722)

Immunohistochemistry (Formalin/PFA-fixed paraffin-embedded sections) analysis of Human colon tissue sections labeling Factor XIIIa with ab225722 at 1/100 dilution (1.22 µg/ml). Heat mediated antigen retrieval was performed Heat mediated antigen retrieval with Tris-EDTA buffer (pH 9.0, epitope retrieval solution 2) for 20 mins. Rabbit specific IHC polymer detection kit HRP/DAB (ab209101) was used as the secondary antibody. Negative control : PBS instead of the primary antibody. Hematoxylin was used as a counterstain.

Immunohistochemistry (Formalin/PFA-fixed paraffin-embedded sections) - Anti-Factor XIIIa antibody [SP196] (AB225722)
  • IHC-P

Supplier Data

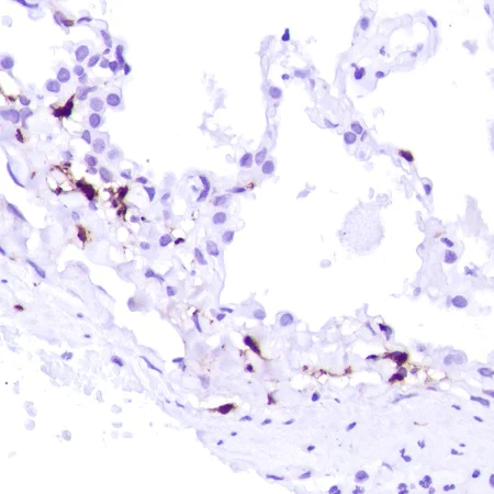
Immunohistochemistry (Formalin/PFA-fixed paraffin-embedded sections) - Anti-Factor XIIIa antibody [SP196] (AB225722)

Formalin-fixed paraffin-embedded human lung tissue stained for Factor XIIIa using ab225722 at 1/100 dilution in immunohistochemical analysis.

Immunohistochemistry (Formalin/PFA-fixed paraffin-embedded sections) - Anti-Factor XIIIa antibody [SP196] (AB225722)
  • IHC-P

Unknown

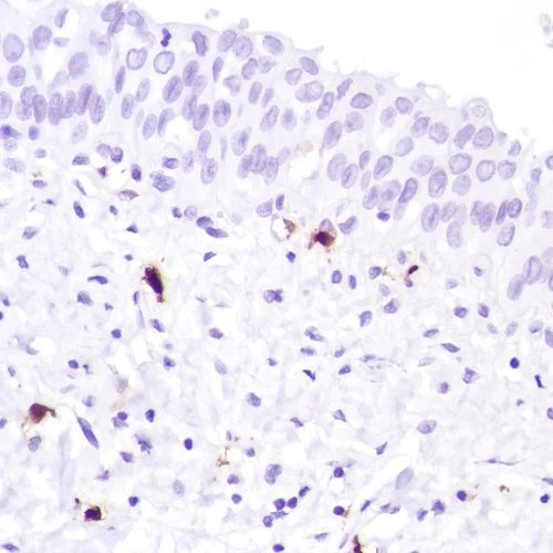
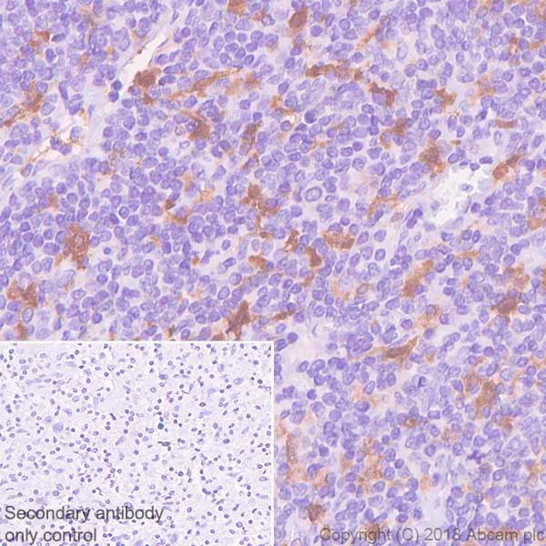
Immunohistochemistry (Formalin/PFA-fixed paraffin-embedded sections) - Anti-Factor XIIIa antibody [SP196] (AB225722)

Immunohistochemistry (Formalin/PFA-fixed paraffin-embedded sections) analysis of Human Hodgkin's lymphoma tissue sections labeling Factor XIIIa with ab225722 at 1/100 dilution (1.22µg/ml). Heat mediated antigen retrieval was performed Heat mediated antigen retrieval with Tris-EDTA buffer (pH 9.0, epitope retrieval solution 2) for 20 mins. Rabbit specific IHC polymer detection kit HRP/DAB (ab209101) was used as the secondary antibody. Negative control : PBS instead of the primary antibody. Hematoxylin was used as a counterstain.

Immunohistochemistry (Formalin/PFA-fixed paraffin-embedded sections) - Anti-Factor XIIIa antibody [SP196] (AB225722)
  • IHC-P

Supplier Data

Immunohistochemistry (Formalin/PFA-fixed paraffin-embedded sections) - Anti-Factor XIIIa antibody [SP196] (AB225722)

Formalin-fixed, paraffin-embedded human placenta tissue stained for Factor XIIIa using ab225722 at 1/100 dilution in immunohistochemical analysis.

Immunohistochemistry (Formalin/PFA-fixed paraffin-embedded sections) - Anti-Factor XIIIa antibody [SP196] (AB225722)
  • IHC-P

Supplier Data

Immunohistochemistry (Formalin/PFA-fixed paraffin-embedded sections) - Anti-Factor XIIIa antibody [SP196] (AB225722)

Formalin-fixed paraffin-embedded human esophagus tissue stained for Factor XIIIa using ab225722 at 1/100 dilution in immunohistochemical analysis.

  • Carrier free

    Anti-Factor XIIIa antibody [SP196] - BSA and Azide free

Key facts

Host species

Rabbit

Clonality

Monoclonal

Clone number

SP196

Isotype

IgG

Carrier free

No

Reacts with

Human

Applications

IHC-P

applications

Immunogen

The exact immunogen used to generate this antibody is proprietary information.

Reactivity data

{ "title": "Reactivity Data", "filters": { "stats": ["", "Species", "Dilution Info", "Notes"], "tabs": { "all-applications": {"fullname" : "All Applications", "shortname": "All Applications"}, "IHCP" : {"fullname" : "Immunohistochemistry (Formalin/PFA-fixed paraffin-embedded sections)", "shortname":"IHC-P"} }, "product-promise": { "all": "all", "testedAndGuaranteed": "tested", "guaranteed": "expected", "predicted": "predicted", "notRecommended": "not-recommended" } }, "values": { "Human": { "IHCP-species-checked": "testedAndGuaranteed", "IHCP-species-dilution-info": "1/100", "IHCP-species-notes": "<p>Perform heat mediated antigen retrieval with EDTA buffer pH 8.0 before commencing with IHC staining protocol.</p><p>Primary incubation for 20 minutes at room temperature.</p>" } } }

Properties and storage information

Form
Liquid
Purification technique
Affinity purification Protein A/G
Purification notes
Purified from TCS by protein A/G.
Storage buffer
pH: 7.6 Preservative: 0.1% Sodium azide Constituents: PBS, 1% BSA
Shipped at conditions
Blue Ice
Appropriate short-term storage duration
1-2 weeks
Appropriate short-term storage conditions
+4°C
Appropriate long-term storage conditions
-20°C
Aliquoting information
Upon delivery aliquot
Storage information
Avoid freeze / thaw cycle

Supplementary information

This supplementary information is collated from multiple sources and compiled automatically.

Factor XIIIa also known as Factor 13a Factor XIII or Factor 13 is an enzyme that plays an important role in blood coagulation. Its mass is approximately 83 kDa. This enzyme is part of the transglutaminase family and is predominantly found in plasma and platelets. Factor XIIIa becomes active when thrombin and calcium ions cleave its A subunits converting it from an inactive zymogen known simply as Factor XIII or Factor 13 to its active form. The best assays for Factor XIIIa often measure its transglutaminase activity which facilitates the cross-linking of fibrin stabilizing blood clots.
Biological function summary

Factor XIIIa is important for hemostasis facilitating the final stages of blood clot formation by cross-linking fibrin polymers. This enzyme does not function in isolation; it forms a tetrameric complex with two A subunits and two B subunits. The active form Factor XIIIa catalyzes the formation of covalent bonds between glutamine and lysine residues in fibrin chains. This enhances the mechanical strength and resistance of the clot preventing premature degradation.

Pathways

Factor XIIIa is part of the coagulation pathway specifically involved in the stabilization of fibrin in the final steps of the cascade. It interacts closely with proteins like fibrinogen and thrombin as these proteins are essential in the conversion of Factor XIII to Factor XIIIa and in clot formation. Factor XIIIa also plays a role in the wound healing process by stabilizing the ECM (extracellular matrix) through cross-linking fibrin fibronectin and collagen.

Factor XIIIa deficiency can lead to bleeding diathesis a condition characterized by poor clot stability and prolonged bleeding. This deficiency is often congenital and involves reduced levels or activity of Factor XIII. Conversely overactivity or dysregulation of Factor XIIIa may contribute to thrombotic disorders where abnormal clot formation can lead to conditions like deep vein thrombosis. Clinically understanding Factor XIIIa interactions especially its functional relationships with fibrinogen and thrombin is critical in managing these bleeding and thrombotic disorders.

Product protocols

For this product, it's our understanding that no specific protocols are required. You can visit:

Target data

Factor XIII is activated by thrombin and calcium ion to a transglutaminase that catalyzes the formation of gamma-glutamyl-epsilon-lysine cross-links between fibrin chains, thus stabilizing the fibrin clot. Also cross-link alpha-2-plasmin inhibitor, or fibronectin, to the alpha chains of fibrin.
See full target information F13A1

Publications (1)

Recent publications for all applications. Explore the full list and refine your search

Cancer science 109:1135-1146 PubMed29444383

2018

Stemness and anti-cancer drug resistance in ATP-binding cassette subfamily G member 2 highly expressed pancreatic cancer is induced in 3D culture conditions.

Applications

Unspecified application

Species

Unspecified reactive species

Norihiko Sasaki,Toshiyuki Ishiwata,Fumio Hasegawa,Masaki Michishita,Hiroki Kawai,Yoko Matsuda,Tomio Arai,Naoshi Ishikawa,Junko Aida,Kaiyo Takubo,Masashi Toyoda
View all publications

Product promise

We are committed to supporting your work with high-quality reagents, and we're here for you every step of the way. In the unlikely event that one of our products does not perform as expected, you're protected by our Product Promise.
For full details, please see our Terms & Conditions

Please note: All products are 'FOR RESEARCH USE ONLY. NOT FOR USE IN DIAGNOSTIC OR THERAPEUTIC PROCEDURES'.

For licensing inquiries, please contact partnerships@abcam.com