JavaScript is disabled in your browser. Please enable JavaScript to view this website.
AB245757

Anti-Factor XIIIa antibody [SP196] - BSA and Azide free

Be the first to review this product! Submit a review

|

(0 Publication)

Rabbit Recombinant Monoclonal Factor XIIIa antibody. Carrier free. Suitable for IHC-P and reacts with Human samples.

View Alternative Names

F13A, F13A1, Coagulation factor XIII A chain, Coagulation factor XIIIa, Protein-glutamine gamma-glutamyltransferase A chain, Transglutaminase A chain

10 Images
Immunohistochemistry (Formalin/PFA-fixed paraffin-embedded sections) - Anti-Factor XIIIa antibody [SP196] - BSA and Azide free (AB245757)
  • IHC-P

Supplier Data

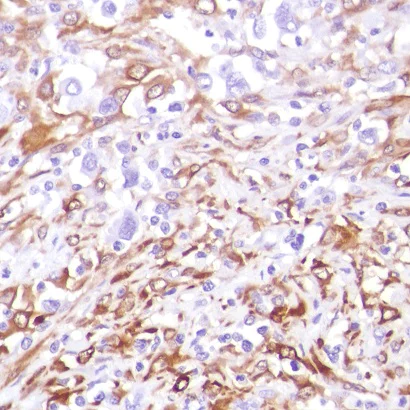
Immunohistochemistry (Formalin/PFA-fixed paraffin-embedded sections) - Anti-Factor XIIIa antibody [SP196] - BSA and Azide free (AB245757)

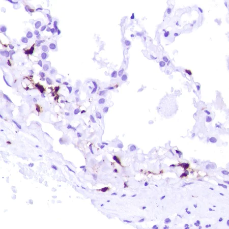
Formalin-fixed, paraffin-embedded human bladder tissue stained for Factor XIIIa using ab225722 at 1/100 dilution in immunohistochemical analysis.

This data was developed using the same antibody clone in a different buffer formulation containing PBS#44; BSA#44; and sodium azide (ab225722)

Immunohistochemistry (Formalin/PFA-fixed paraffin-embedded sections) - Anti-Factor XIIIa antibody [SP196] - BSA and Azide free (AB245757)
  • IHC-P

Unknown

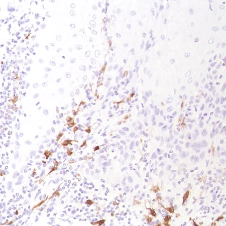
Immunohistochemistry (Formalin/PFA-fixed paraffin-embedded sections) - Anti-Factor XIIIa antibody [SP196] - BSA and Azide free (AB245757)

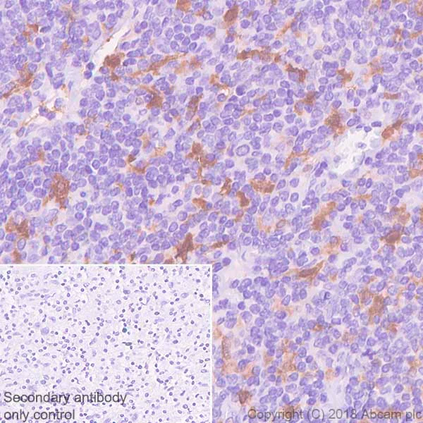
Immunohistochemistry (Formalin/PFA-fixed paraffin-embedded sections) analysis of Human Hodgkin's lymphoma tissue sections labeling Factor XIIIa with ab225722 at 1/100 dilution (1.22µg/ml). Heat mediated antigen retrieval was performed Heat mediated antigen retrieval with Tris-EDTA buffer (pH 9.0, epitope retrieval solution 2) for 20 mins. Rabbit specific IHC polymer detection kit HRP/DAB (ab209101) was used as the secondary antibody. Negative control : PBS instead of the primary antibody. Hematoxylin was used as a counterstain.
This data was developed using the same antibody clone in a different buffer formulation containing PBS, BSA, glycerol, and sodium azide (ab225722)

Immunohistochemistry (Formalin/PFA-fixed paraffin-embedded sections) - Anti-Factor XIIIa antibody [SP196] - BSA and Azide free (AB245757)
  • IHC-P

Supplier Data

Immunohistochemistry (Formalin/PFA-fixed paraffin-embedded sections) - Anti-Factor XIIIa antibody [SP196] - BSA and Azide free (AB245757)

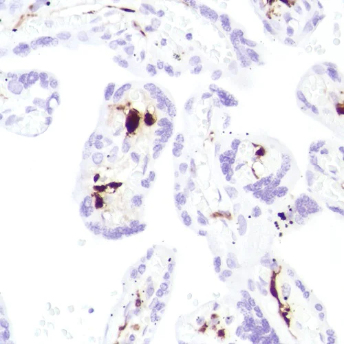
Formalin-fixed, paraffin-embedded human placenta tissue stained for Factor XIIIa using ab225722 at 1/100 dilution in immunohistochemical analysis.

This data was developed using the same antibody clone in a different buffer formulation containing PBS, BSA and sodium azide (ab225722).

Immunohistochemistry (Formalin/PFA-fixed paraffin-embedded sections) - Anti-Factor XIIIa antibody [SP196] - BSA and Azide free (AB245757)
  • IHC-P

Supplier Data

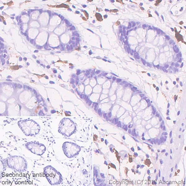
Immunohistochemistry (Formalin/PFA-fixed paraffin-embedded sections) - Anti-Factor XIIIa antibody [SP196] - BSA and Azide free (AB245757)

Formalin-fixed, paraffin-embedded human colon tissue stained for Factor XIIIa using ab225722 at 1/100 dilution in immunohistochemical analysis.

This data was developed using the same antibody clone in a different buffer formulation containing PBS, BSA and sodium azide (ab225722).

Immunohistochemistry (Formalin/PFA-fixed paraffin-embedded sections) - Anti-Factor XIIIa antibody [SP196] - BSA and Azide free (AB245757)
  • IHC-P

Supplier Data

Immunohistochemistry (Formalin/PFA-fixed paraffin-embedded sections) - Anti-Factor XIIIa antibody [SP196] - BSA and Azide free (AB245757)

Formalin-fixed, paraffin-embedded human bladder tissue stained for Factor XIIIa using ab225722 at 1/100 dilution in immunohistochemical analysis.

This data was developed using the same antibody clone in a different buffer formulation containing PBS, BSA and sodium azide (ab225722).

Immunohistochemistry (Formalin/PFA-fixed paraffin-embedded sections) - Anti-Factor XIIIa antibody [SP196] - BSA and Azide free (AB245757)
  • IHC-P

Supplier Data

Immunohistochemistry (Formalin/PFA-fixed paraffin-embedded sections) - Anti-Factor XIIIa antibody [SP196] - BSA and Azide free (AB245757)

Formalin-fixed, paraffin-embedded human HK lymphoma tissue stained for Factor XIIIa using ab225722 at 1/100 dilution in immunohistochemical analysis.

This data was developed using the same antibody clone in a different buffer formulation containing PBS, BSA and sodium azide (ab225722).

Immunohistochemistry (Formalin/PFA-fixed paraffin-embedded sections) - Anti-Factor XIIIa antibody [SP196] - BSA and Azide free (AB245757)
  • IHC-P

Unknown

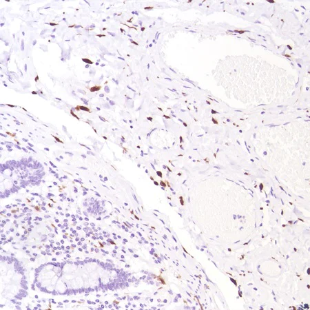
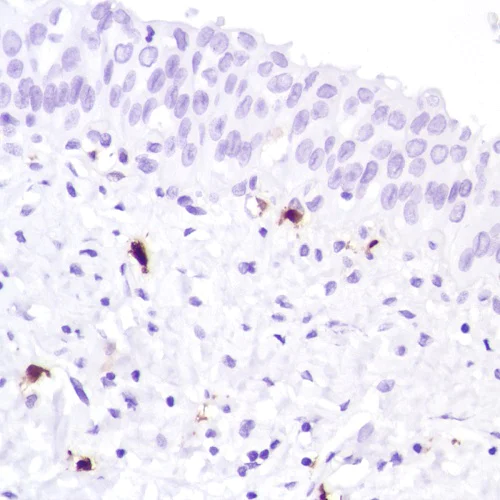
Immunohistochemistry (Formalin/PFA-fixed paraffin-embedded sections) - Anti-Factor XIIIa antibody [SP196] - BSA and Azide free (AB245757)

Immunohistochemistry (Formalin/PFA-fixed paraffin-embedded sections) analysis of Human colon tissue sections labeling Factor XIIIa with ab225722 at 1/100 dilution (1.22 µg/ml). Heat mediated antigen retrieval was performed Heat mediated antigen retrieval with Tris-EDTA buffer (pH 9.0, epitope retrieval solution 2) for 20 mins. Rabbit specific IHC polymer detection kit HRP/DAB (ab209101) was used as the secondary antibody. Negative control : PBS instead of the primary antibody. Hematoxylin was used as a counterstain.
This data was developed using the same antibody clone in a different buffer formulation containing PBS, BSA, glycerol, and sodium azide (ab225722)

Immunohistochemistry (Formalin/PFA-fixed paraffin-embedded sections) - Anti-Factor XIIIa antibody [SP196] - BSA and Azide free (AB245757)
  • IHC-P

Supplier Data

Immunohistochemistry (Formalin/PFA-fixed paraffin-embedded sections) - Anti-Factor XIIIa antibody [SP196] - BSA and Azide free (AB245757)

Formalin-fixed, paraffin-embedded human HK lymphoma tissue stained for Factor XIIIa using ab225722 at 1/100 dilution in immunohistochemical analysis.

This data was developed using the same antibody clone in a different buffer formulation containing PBS#44; BSA#44; and sodium azide (ab225722)

Immunohistochemistry (Formalin/PFA-fixed paraffin-embedded sections) - Anti-Factor XIIIa antibody [SP196] - BSA and Azide free (AB245757)
  • IHC-P

Supplier Data

Immunohistochemistry (Formalin/PFA-fixed paraffin-embedded sections) - Anti-Factor XIIIa antibody [SP196] - BSA and Azide free (AB245757)

Formalin-fixed, paraffin-embedded human colon tissue stained for Factor XIIIa using ab225722 at 1/100 dilution in immunohistochemical analysis.

This data was developed using the same antibody clone in a different buffer formulation containing PBS#44; BSA#44; and sodium azide (ab225722)

Immunohistochemistry (Formalin/PFA-fixed paraffin-embedded sections) - Anti-Factor XIIIa antibody [SP196] - BSA and Azide free (AB245757)
  • IHC-P

Supplier Data

Immunohistochemistry (Formalin/PFA-fixed paraffin-embedded sections) - Anti-Factor XIIIa antibody [SP196] - BSA and Azide free (AB245757)

Formalin-fixed, paraffin-embedded human placenta tissue stained for Factor XIIIa using ab225722 at 1/100 dilution in immunohistochemical analysis.

This data was developed using the same antibody clone in a different buffer formulation containing PBS#44; BSA#44; and sodium azide (ab225722)

Key facts

Host species

Rabbit

Clonality

Monoclonal

Clone number

SP196

Isotype

IgG

Carrier free

Yes

Reacts with

Human

Applications

IHC-P

applications

Immunogen

The exact immunogen used to generate this antibody is proprietary information.

Reactivity data

{ "title": "Reactivity Data", "filters": { "stats": ["", "Species", "Dilution Info", "Notes"], "tabs": { "all-applications": {"fullname" : "All Applications", "shortname": "All Applications"}, "IHCP" : {"fullname" : "Immunohistochemistry (Formalin/PFA-fixed paraffin-embedded sections)", "shortname":"IHC-P"} }, "product-promise": { "all": "all", "testedAndGuaranteed": "tested", "guaranteed": "expected", "predicted": "predicted", "notRecommended": "not-recommended" } }, "values": { "Human": { "IHCP-species-checked": "testedAndGuaranteed", "IHCP-species-dilution-info": "", "IHCP-species-notes": "<p>Perform heat mediated antigen retrieval with EDTA buffer pH 8.0 before commencing with IHC staining protocol.Primary incubation for 20 minutes at room temperature.</p>" } } }

Product details

ab245757 is the carrier-free version of ab225722.

Patented technology
Our RabMAb® technology is a patented hybridoma-based technology for making rabbit monoclonal antibodies. For details on our patents, please refer to RabMAb® patents.

What are the advantages of a recombinant monoclonal antibody?
This product is a recombinant monoclonal antibody, which offers several advantages including:

  • - High batch-to-batch consistency and reproducibility
  • - Improved sensitivity and specificity
  • - Long-term security of supply
  • - Animal-free batch production

For more information, read more on recombinant antibodies.

Conjugation ready
Our carrier-free antibodies are typically supplied in a PBS-only formulation, purified and free of BSA, sodium azide and glycerol. This conjugation-ready format is designed for use with fluorochromes, metal isotopes, oligonucleotides, and enzymes, which makes them ideal for antibody labelling, functional and cell-based assays, flow-based assays (e.g. mass cytometry) and Multiplex Imaging applications.

Use our conjugation kits for antibody conjugates that are ready-to-use in as little as 20 minutes with 1 minute hands-on-time and 100% antibody recovery: available for fluorescent dyes, HRP, biotin and gold.

Compatibility
This product is compatible with the Maxpar® Antibody Labeling Kit from Fluidigm, without the need for antibody preparation. Maxpar® is a trademark of Fluidigm Canada Inc.

Properties and storage information

Form
Liquid
Purification technique
Affinity purification Protein A/G
Purification notes
Purified from TCS by protein A/G.
Storage buffer
pH: 7.2 - 7.4 Constituents: PBS
Shipped at conditions
Blue Ice
Appropriate short-term storage conditions
+4°C
Appropriate long-term storage conditions
+4°C
Storage information
Do Not Freeze

Supplementary information

This supplementary information is collated from multiple sources and compiled automatically.

Factor XIIIa also known as Factor 13a Factor XIII or Factor 13 is an enzyme that plays an important role in blood coagulation. Its mass is approximately 83 kDa. This enzyme is part of the transglutaminase family and is predominantly found in plasma and platelets. Factor XIIIa becomes active when thrombin and calcium ions cleave its A subunits converting it from an inactive zymogen known simply as Factor XIII or Factor 13 to its active form. The best assays for Factor XIIIa often measure its transglutaminase activity which facilitates the cross-linking of fibrin stabilizing blood clots.
Biological function summary

Factor XIIIa is important for hemostasis facilitating the final stages of blood clot formation by cross-linking fibrin polymers. This enzyme does not function in isolation; it forms a tetrameric complex with two A subunits and two B subunits. The active form Factor XIIIa catalyzes the formation of covalent bonds between glutamine and lysine residues in fibrin chains. This enhances the mechanical strength and resistance of the clot preventing premature degradation.

Pathways

Factor XIIIa is part of the coagulation pathway specifically involved in the stabilization of fibrin in the final steps of the cascade. It interacts closely with proteins like fibrinogen and thrombin as these proteins are essential in the conversion of Factor XIII to Factor XIIIa and in clot formation. Factor XIIIa also plays a role in the wound healing process by stabilizing the ECM (extracellular matrix) through cross-linking fibrin fibronectin and collagen.

Factor XIIIa deficiency can lead to bleeding diathesis a condition characterized by poor clot stability and prolonged bleeding. This deficiency is often congenital and involves reduced levels or activity of Factor XIII. Conversely overactivity or dysregulation of Factor XIIIa may contribute to thrombotic disorders where abnormal clot formation can lead to conditions like deep vein thrombosis. Clinically understanding Factor XIIIa interactions especially its functional relationships with fibrinogen and thrombin is critical in managing these bleeding and thrombotic disorders.

Product protocols

For this product, it's our understanding that no specific protocols are required. You can visit:

Target data

Factor XIII is activated by thrombin and calcium ion to a transglutaminase that catalyzes the formation of gamma-glutamyl-epsilon-lysine cross-links between fibrin chains, thus stabilizing the fibrin clot. Also cross-link alpha-2-plasmin inhibitor, or fibronectin, to the alpha chains of fibrin.
See full target information F13A1

Product promise

We are committed to supporting your work with high-quality reagents, and we're here for you every step of the way. In the unlikely event that one of our products does not perform as expected, you're protected by our Product Promise.
For full details, please see our Terms & Conditions

Please note: All products are 'FOR RESEARCH USE ONLY. NOT FOR USE IN DIAGNOSTIC OR THERAPEUTIC PROCEDURES'.

For licensing inquiries, please contact partnerships@abcam.com