JavaScript is disabled in your browser. Please enable JavaScript to view this website.
AB229444

Anti-FADD antibody [EPR5030] - BSA and Azide free

Be the first to review this product! Submit a review

|

(1 Publication)

Rabbit Recombinant Monoclonal FADD antibody. Carrier free. Suitable for IHC-P, ICC/IF, WB, Flow Cyt (Intra), IP and reacts with Mouse samples. Cited in 1 publication.

View Alternative Names

Mort1, Fadd, FAS-associated death domain protein, FAS-associating death domain-containing protein, Mediator of receptor induced toxicity

6 Images
Flow Cytometry (Intracellular) - Anti-FADD antibody [EPR5030] - BSA and Azide free (AB229444)
  • Flow Cyt (Intra)

Lab

Flow Cytometry (Intracellular) - Anti-FADD antibody [EPR5030] - BSA and Azide free (AB229444)

This data was developed using ab124812, the same antibody clone in a different buffer formulation. Intracellular Flow Cytometry analysis of NIH/3T3 (Mouse embryonic fibroblast) cells labelling FADD with purified ab124812 at 1/40 dilution (10 �g/mL) (Red). Cells were fixed with 4% Paraformaldehyde and permeabilised with 90% Methanol. A Goat anti rabbit IgG (Alexa Fluor� 488, ab150077) secondary antibody was used at 1/2000. Isotype control - Rabbit monoclonal IgG (Black). Unlabelled control - Cell without incubation with primary antibody and secondary antibody (Blue).

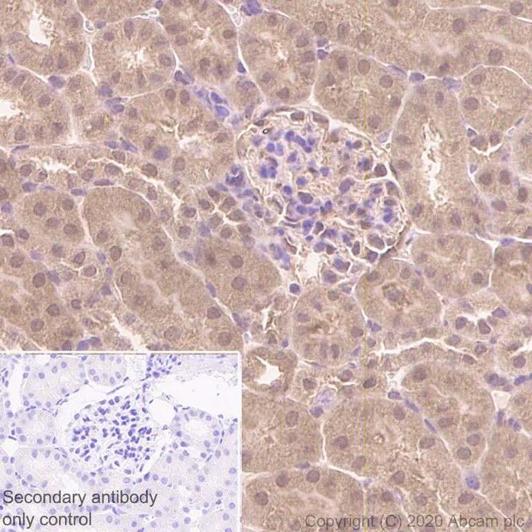
Immunohistochemistry (Formalin/PFA-fixed paraffin-embedded sections) - Anti-FADD antibody [EPR5030] - BSA and Azide free (AB229444)
  • IHC-P

Lab

Immunohistochemistry (Formalin/PFA-fixed paraffin-embedded sections) - Anti-FADD antibody [EPR5030] - BSA and Azide free (AB229444)

This data was developed using ab124812, the same antibody clone in a different buffer formulation.

Immunohistochemistry (Formalin/PFA-fixed paraffin-embedded sections) analysis of mouse kidney tissue sections labeling FADD with purified ab124812 at 1/150 dilution (2.59 μg/mL). Heat mediated antigen retrieval was performed using Perform heat mediated antigen retrieval using ab93684 (Tris/EDTA buffer, pH 9.0). Tissue was counterstained with Hematoxylin. ImmunoHistoProbe one step HRP Polymer (ready to use) secondary antibody was used at 1/0 dilution. PBS instead of the primary antibody was used as the negative control.

Immunocytochemistry/ Immunofluorescence - Anti-FADD antibody [EPR5030] - BSA and Azide free (AB229444)
  • ICC/IF

Supplier Data

Immunocytochemistry/ Immunofluorescence - Anti-FADD antibody [EPR5030] - BSA and Azide free (AB229444)

This data was developed using ab124812, the same antibody clone in a different buffer formulation.

Immunocytochemistry analysis of NIH/3T3 (Mouse embryonic fibroblast) cells labeling FADD with purified ab124812 at 1/50 dilution (7.8 μg/mL). Cells were fixed in 4% Paraformaldehyde and permeabilized with 0.1% tritonX-100. Cells were counterstained with ab195889 Anti-alpha Tubulin antibody [DM1A] - Microtubule Marker (Alexa Fluor® 594) 1/200 (2.5 μg/mL). Goat anti rabbit IgG (Alexa Fluor® 488, ab150077) was used as the secondary antibody at 1/1000 (2 μg/mL) dilution. DAPI (blue) was used as nuclear counterstain. PBS instead of the primary antibody was used as the secondary antibody only control.

Immunoprecipitation - Anti-FADD antibody [EPR5030] - BSA and Azide free (AB229444)
  • IP

Lab

Immunoprecipitation - Anti-FADD antibody [EPR5030] - BSA and Azide free (AB229444)

FADD was immunoprecipitated from 0.35 mg NIH/3T3 (mouse embryonic fibroblast) whole cell lysate 10 μg with ab124812 at 1/30 dilution (2 µg in 0.35 mg lysates). Western blot was performed on the immunoprecipitate using ab124812 at 1/1000 dilution. VeriBlot for IP secondary antibody (HRP) (ab131366) was used at 1/5000 dilution. Lane 1 : NIH/3T3 (mouse embryonic fibroblast) whole cell lysate 10 μg. Lane 2 : NIH/3T3 whole cell lysate. Lane 3 : Rabbit monoclonal IgG (ab172730) instead of ab124812 in NIH/3T3 whole cell lysate. Blocking and dilution buffer and concentration : 5% NFDM/TBST. Observed MW : 28 kDa. Exposure time : 41 secs. This data was developed using ab124812, the same antibody clone in a different buffer formulation.

Immunoprecipitation - Anti-FADD antibody [EPR5030] - BSA and Azide free (AB229444)
  • IP

Lab

Immunoprecipitation - Anti-FADD antibody [EPR5030] - BSA and Azide free (AB229444)

FADD was immunoprecipitated from 0.35 mg RAW264.7 (mouse Abelson murine leukemia virus-induced tumor macrophage) whole cell lysate 10 μg with ab124812 at 1/30 dilution (2 µg in 0.35 mg lysates). Western blot was performed on the immunoprecipitate using ab124812 at 1/1000 dilution. VeriBlot for IP secondary antibody (HRP) (ab131366) was used at 1/5000 dilution. Lane 1 : RAW264.7 (mouse Abelson murine leukemia virus-induced tumor macrophage) whole cell lysate 10 μg. Lane 2 : RAW264.7 whole cell lysate. Lane 3 : Rabbit monoclonal IgG (ab172730) instead of ab124812 in RAW264.7 whole cell lysate. Blocking and dilution buffer and concentration : 5% NFDM/TBST. Observed MW : 28 kDa. Exposure time : 3 minutes. This data was developed using ab124812, the same antibody clone in a different buffer formulation.

Western blot - Anti-FADD antibody [EPR5030] - BSA and Azide free (AB229444)
  • WB

Unknown

Western blot - Anti-FADD antibody [EPR5030] - BSA and Azide free (AB229444)

All lanes:

Western blot - Anti-FADD antibody [EPR5030] (<a href='/en-us/products/primary-antibodies/fadd-antibody-epr5030-ab124812'>ab124812</a>) at 1/1000 dilution

All lanes:

NIH/3T3 (Mouse embryonic fibroblast) whole cell lysate

Secondary

All lanes:

Western blot - Goat Anti-Rabbit IgG H&L (HRP) (<a href='/en-us/products/secondary-antibodies/goat-rabbit-igg-h-l-hrp-ab97051'>ab97051</a>) at 1/20000 dilution

Predicted band size: 23 kDa

false

Key facts

Host species

Rabbit

Clonality

Monoclonal

Clone number

EPR5030

Isotype

IgG

Carrier free

Yes

Reacts with

Mouse

Applications

ICC/IF, IHC-P, IP, WB, Flow Cyt (Intra)

applications

Immunogen

The exact immunogen used to generate this antibody is proprietary information.

Reactivity data

{ "title": "Reactivity Data", "filters": { "stats": ["", "Species", "Dilution Info", "Notes"], "tabs": { "all-applications": {"fullname" : "All Applications", "shortname": "All Applications"}, "IHCP" : {"fullname" : "Immunohistochemistry (Formalin/PFA-fixed paraffin-embedded sections)", "shortname":"IHC-P"}, "ICCIF" : {"fullname" : "Immunocytochemistry/ Immunofluorescence", "shortname":"ICC/IF"}, "WB" : {"fullname" : "Western blot", "shortname":"WB"}, "FlowCytIntra" : {"fullname" : "Flow Cytometry (Intracellular)", "shortname":"Flow Cyt (Intra)"}, "IP" : {"fullname" : "Immunoprecipitation", "shortname":"IP"} }, "product-promise": { "all": "all", "testedAndGuaranteed": "tested", "guaranteed": "expected", "predicted": "predicted", "notRecommended": "not-recommended" } }, "values": { "Mouse": { "IHCP-species-checked": "testedAndGuaranteed", "IHCP-species-dilution-info": "", "IHCP-species-notes": "<p></p>", "ICCIF-species-checked": "testedAndGuaranteed", "ICCIF-species-dilution-info": "", "ICCIF-species-notes": "<p></p>", "WB-species-checked": "testedAndGuaranteed", "WB-species-dilution-info": "", "WB-species-notes": "<p></p>", "FlowCytIntra-species-checked": "testedAndGuaranteed", "FlowCytIntra-species-dilution-info": "", "FlowCytIntra-species-notes": "<p><a href='/en-us/products/primary-antibodies/rabbit-igg-monoclonal-epr25a-isotype-control-low-endotoxin-azide-free-ab199376'>ab199376</a> - Rabbit monoclonal IgG (Low endotoxin, Azide free), is suitable for use as an isotype control with this antibody.</p>", "IP-species-checked": "testedAndGuaranteed", "IP-species-dilution-info": "", "IP-species-notes": "<p></p>" } } }

Product details

ab229444 is the carrier-free version of ab124812.

Species reactivity
Human, Rat: We have preliminary internal testing data to indicate this antibody may not react with these species.
Please contact us for more information.

Patented technology
Our RabMAb® technology is a patented hybridoma-based technology for making rabbit monoclonal antibodies. For details on our patents, please refer to RabMAb® patents.

What are the advantages of a recombinant monoclonal antibody?
This product is a recombinant monoclonal antibody, which offers several advantages including:

  • - High batch-to-batch consistency and reproducibility
  • - Improved sensitivity and specificity
  • - Long-term security of supply
  • - Animal-free batch production

For more information, read more on recombinant antibodies.

Conjugation ready
Our carrier-free antibodies are typically supplied in a PBS-only formulation, purified and free of BSA, sodium azide and glycerol. This conjugation-ready format is designed for use with fluorochromes, metal isotopes, oligonucleotides, and enzymes, which makes them ideal for antibody labelling, functional and cell-based assays, flow-based assays (e.g. mass cytometry) and Multiplex Imaging applications.

Use our conjugation kits for antibody conjugates that are ready-to-use in as little as 20 minutes with 1 minute hands-on-time and 100% antibody recovery: available for fluorescent dyes, HRP, biotin and gold.

Compatibility
This product is compatible with the Maxpar® Antibody Labeling Kit from Fluidigm, without the need for antibody preparation. Maxpar® is a trademark of Fluidigm Canada Inc.

Properties and storage information

Form
Liquid
Purification technique
Affinity purification Protein A
Storage buffer
pH: 7.2 - 7.4 Constituents: PBS
Shipped at conditions
Blue Ice
Appropriate short-term storage conditions
+4°C
Appropriate long-term storage conditions
+4°C
Storage information
Do Not Freeze

Supplementary information

This supplementary information is collated from multiple sources and compiled automatically.

FADD also known as Fas-Associated protein with Death Domain is an adaptor molecule with a molecular weight of approximately 23 kDa. It plays a critical role in the transmission of apoptotic signals. FADD is widely expressed in various tissues particularly in the thymus and immune system cells. This protein serves as a bridge linking death receptors like Fas and TNFR-1 with caspase activation pathways.
Biological function summary

FADD is essential in apoptosis where it assists in the assembly of the death-inducing signaling complex (DISC). Upon receptor activation FADD recruits procaspase-8 or -10 to DISC promoting their autocatalytic cleavage and activation. This leads to the subsequent cascade that results in cell apoptosis. FADD also plays a role in necroptosis and is involved in the immune response regulation highlighting its multifunctional nature in cellular processes.

Pathways

FADD integrates into the apoptotic and necroptotic pathways. In the apoptotic pathway it interacts closely with Fas a death receptor to promote caspase-8 activation. Additionally in the necroptotic pathway FADD associates with RIP1 and RIP3 contributing to an alternative form of programmed cell death. These interactions underline its significant role in controlling cell fate decisions.

Aberrations in FADD function are associated with cancer and autoimmune diseases. Overexpression or mutation of FADD can lead to unchecked cell proliferation or defective apoptosis contributing to cancer development. In autoimmune disorders improper regulation of FADD may disrupt immune tolerance and lead to systemic inflammation. Key proteins involved in these disease processes include caspase-8 and RIPK1 which interact with FADD in regulating cell death and survival mechanisms.

Product protocols

For this product, it's our understanding that no specific protocols are required. You can visit:

Target data

Apoptotic adapter molecule that recruits caspases CASP8 or CASP10 to the activated FAS/CD95 or TNFRSF1A/TNFR-1 receptors. The resulting aggregate called the death-inducing signaling complex (DISC) performs CASP8 proteolytic activation. Active CASP8 initiates the subsequent cascade of caspases mediating apoptosis. Involved in interferon-mediated antiviral immune response, playing a role in the positive regulation of interferon signaling.
See full target information Fadd

Publications (1)

Recent publications for all applications. Explore the full list and refine your search

Immunity 55:2369-2385.e10 PubMed36370712

2022

The transcription factor IRF2 drives interferon-mediated CD8 T cell exhaustion to restrict anti-tumor immunity.

Applications

Unspecified application

Species

Unspecified reactive species

Sabelo Lukhele,Diala Abd Rabbo,Mengdi Guo,Jian Shen,Heidi J Elsaesser,Rene Quevedo,Madeleine Carew,Ramy Gadalla,Laura M Snell,Lawanya Mahesh,M Teresa Ciudad,Bryan E Snow,Annick You-Ten,Jillian Haight,Andrew Wakeham,Pamela S Ohashi,Tak W Mak,Weiguo Cui,Tracy L McGaha,David G Brooks
View all publications

Product promise

We are committed to supporting your work with high-quality reagents, and we're here for you every step of the way. In the unlikely event that one of our products does not perform as expected, you're protected by our Product Promise.
For full details, please see our Terms & Conditions

Please note: All products are 'FOR RESEARCH USE ONLY. NOT FOR USE IN DIAGNOSTIC OR THERAPEUTIC PROCEDURES'.

For licensing inquiries, please contact partnerships@abcam.com