JavaScript is disabled in your browser. Please enable JavaScript to view this website.
AB119059

Anti-FADD antibody [OTI1C11]

5

(3 Reviews)

|

(2 Publications)

Mouse Monoclonal FADD antibody. Suitable for WB, Flow Cyt (Intra) and reacts with Human, Transfected cell line samples. Cited in 2 publications. Immunogen corresponding to Recombinant Full Length Protein corresponding to Human FADD.

View Alternative Names

MORT1, GIG3, FADD, FAS-associated death domain protein, FAS-associating death domain-containing protein, Growth-inhibiting gene 3 protein, Mediator of receptor induced toxicity

5 Images
Flow Cytometry (Intracellular) - Anti-FADD antibody [OTI1C11] (AB119059)
  • Flow Cyt (Intra)

Unknown

Flow Cytometry (Intracellular) - Anti-FADD antibody [OTI1C11] (AB119059)

HEK293T cells transfected with either a FADD overexpress plasmid (Red) or empty vector control plasmid (Blue) were immunostained using ab119059 at 1/100 dilution and then analyzed by Flow Cytometry (Intracellular).

Western blot - Anti-FADD antibody [OTI1C11] (AB119059)
  • WB

Lab

Western blot - Anti-FADD antibody [OTI1C11] (AB119059)

Lanes 1 - 4 : Merged signal (red and green). Green - ab119059 observed at 25 kDa. Red - loading control, ab181602, observed at 37 kDa.
ab119059 was shown to specifically react with FADD when FADD knockout samples were used. Wild-type and FADD knockout samples were subjected to SDS-PAGE. ab119059 and ab181602 (loading control to GAPDH) were both diluted 1/2000 and incubated overnight at 4°C. Blots were developed with Goat anti-Mouse IgG H&L (IRDye® 800CW) preadsorbed ab216772 and Goat Anti-Rabbit IgG H&L (IRDye® 680RD) preadsorbed ab216777 secondary antibodies at 1/10000 dilution for 1 h at room temperature before imaging.

All lanes:

Western blot - Anti-FADD antibody [OTI1C11] (ab119059) at 1/2000 dilution

Lane 1:

Wild-type HAP1 cell lysate at 20 µg

Lane 2:

FADD knockout HAP1 cell lysate at 20 µg

Lane 3:

A431 cell lysate at 20 µg

Lane 4:

Jurkat cell lysate at 20 µg

Predicted band size: 23 kDa

false

Western blot - Anti-FADD antibody [OTI1C11] (AB119059)
  • WB

Lab

Western blot - Anti-FADD antibody [OTI1C11] (AB119059)

Lanes 1-4 : Merged signal (red and green). Green - ab119059 observed at 25 kDa. Red - loading control ab181602 observed at 37 kDa.

ab119059 Anti-FADD antibody [OTI1C11] was shown to specifically react with FADD in wild-type HeLa cells. Loss of signal was observed when knockout cell line ab261817 (knockout cell lysate ab257261) was used. Wild-type and FADD knockout samples were subjected to SDS-PAGE. ab119059 and Anti-GAPDH antibody[EPR16891] - Loading Control (ab181602) were incubated overnight at 4°C at 1 in 2000 dilution and 1 in 20000 dilution respectively. Blots were developed with Goat anti-Mouse IgG H&L (IRDye® 800CW) preadsorbed (ab216772) and Goat Anti-Rabbit IgG H&L (IRDye® 680RD) preadsorbed (ab216777) secondary antibodies at 1 in 20000 dilution for 1 hour at room temperature before imaging.

All lanes:

Western blot - Anti-FADD antibody [OTI1C11] (ab119059) at 1/2000 dilution

Lane 1:

Wild-type HeLa cell lysate at 20 µg

Lane 2:

FADD knockout HeLa cell lysate at 20 µg

Lane 2:

Western blot - Human FADD knockout HeLa cell line (<a href='/en-us/products/cell-lines/human-fadd-knockout-hela-cell-line-ab261817'>ab261817</a>)

Lane 3:

A431 cell lysate at 20 µg

Lane 4:

Jurkat cell lysate at 20 µg

Secondary

All lanes:

Western blot - Goat anti-Mouse IgG H&L (IRDye® 800CW) preadsorbed (<a href='/en-us/products/secondary-antibodies/goat-mouse-igg-h-l-irdye-800cw-preadsorbed-ab216772'>ab216772</a>) at 1/20000 dilution

Predicted band size: 23 kDa

Observed band size: 25 kDa

false

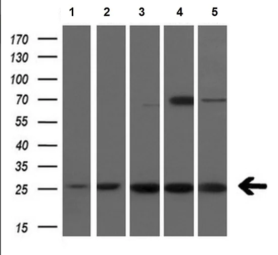
Western blot - Anti-FADD antibody [OTI1C11] (AB119059)
  • WB

Supplier Data

Western blot - Anti-FADD antibody [OTI1C11] (AB119059)

All lanes:

Western blot - Anti-FADD antibody [OTI1C11] (ab119059) at 1/200 dilution

Lane 1:

HepG2 cell lysate at 10 µg

Lane 2:

HeLa cell lysate at 10 µg

Lane 3:

A549 cell lysate at 10 µg

Lane 4:

Jurkat cell lysate at 10 µg

Lane 5:

MCF7 cell lysate at 10 µg

Predicted band size: 23 kDa

false

Western blot - Anti-FADD antibody [OTI1C11] (AB119059)
  • WB

Unknown

Western blot - Anti-FADD antibody [OTI1C11] (AB119059)

All lanes:

Western blot - Anti-FADD antibody [OTI1C11] (ab119059) at 1/2000 dilution

Lane 1:

HEK293T cell lysate transfected with pCMV6-ENTRY control at 5 µg

Lane 2:

HEK293T cell lysate transfected with pCMV6-ENTRY FADD cDNA at 5 µg

Predicted band size: 23 kDa

false

Key facts

Host species

Mouse

Clonality

Monoclonal

Clone number

OTI1C11

Isotype

IgG1

Carrier free

No

Reacts with

Human

Applications

Flow Cyt (Intra), WB

applications

Immunogen

Recombinant Full Length Protein corresponding to Human FADD.

Q13158

Reactivity data

{ "title": "Reactivity Data", "filters": { "stats": ["", "Species", "Dilution Info", "Notes"], "tabs": { "all-applications": {"fullname" : "All Applications", "shortname": "All Applications"}, "WB" : {"fullname" : "Western blot", "shortname":"WB"}, "FlowCytIntra" : {"fullname" : "Flow Cytometry (Intracellular)", "shortname":"Flow Cyt (Intra)"} }, "product-promise": { "all": "all", "testedAndGuaranteed": "tested", "guaranteed": "expected", "predicted": "predicted", "notRecommended": "not-recommended" } }, "values": { "Human": { "WB-species-checked": "testedAndGuaranteed", "WB-species-dilution-info": "1/2000", "WB-species-notes": "<p></p>", "FlowCytIntra-species-checked": "guaranteed", "FlowCytIntra-species-dilution-info": "", "FlowCytIntra-species-notes": "" }, "Transfected cell line": { "WB-species-checked": "notRecommended", "WB-species-dilution-info": "", "WB-species-notes": "", "FlowCytIntra-species-checked": "testedAndGuaranteed", "FlowCytIntra-species-dilution-info": "1/100", "FlowCytIntra-species-notes": "<p><a href='/en-us/products/primary-antibodies/mouse-igg1-kappa-monoclonal-15-6e10a7-isotype-control-ab170190'>ab170190</a> - Mouse monoclonal IgG1, is suitable for use as an isotype control with this antibody.</p>" } } }

Product details

The clone number has been updated from 1C11 to OTI1C11, both clone numbers name the same clone.

Properties and storage information

Form
Liquid
Purification technique
Affinity purification
Purification notes
Purified from cell culture supernatant by affinity chromatography
Storage buffer
pH: 7.3 Preservative: 0.02% Sodium azide Constituents: PBS, 50% Glycerol (glycerin, glycerine), 1% BSA
Shipped at conditions
Blue Ice
Appropriate short-term storage conditions
+4°C
Appropriate long-term storage conditions
-20°C
Aliquoting information
Upon delivery aliquot
Storage information
Avoid freeze / thaw cycle

Supplementary information

This supplementary information is collated from multiple sources and compiled automatically.

FADD also known as Fas-Associated protein with Death Domain is an adaptor molecule with a molecular weight of approximately 23 kDa. It plays a critical role in the transmission of apoptotic signals. FADD is widely expressed in various tissues particularly in the thymus and immune system cells. This protein serves as a bridge linking death receptors like Fas and TNFR-1 with caspase activation pathways.
Biological function summary

FADD is essential in apoptosis where it assists in the assembly of the death-inducing signaling complex (DISC). Upon receptor activation FADD recruits procaspase-8 or -10 to DISC promoting their autocatalytic cleavage and activation. This leads to the subsequent cascade that results in cell apoptosis. FADD also plays a role in necroptosis and is involved in the immune response regulation highlighting its multifunctional nature in cellular processes.

Pathways

FADD integrates into the apoptotic and necroptotic pathways. In the apoptotic pathway it interacts closely with Fas a death receptor to promote caspase-8 activation. Additionally in the necroptotic pathway FADD associates with RIP1 and RIP3 contributing to an alternative form of programmed cell death. These interactions underline its significant role in controlling cell fate decisions.

Aberrations in FADD function are associated with cancer and autoimmune diseases. Overexpression or mutation of FADD can lead to unchecked cell proliferation or defective apoptosis contributing to cancer development. In autoimmune disorders improper regulation of FADD may disrupt immune tolerance and lead to systemic inflammation. Key proteins involved in these disease processes include caspase-8 and RIPK1 which interact with FADD in regulating cell death and survival mechanisms.

Product protocols

For this product, it's our understanding that no specific protocols are required. You can visit:

Target data

Apoptotic adapter molecule that recruits caspases CASP8 or CASP10 to the activated FAS/CD95 or TNFRSF1A/TNFR-1 receptors (PubMed : 16762833, PubMed : 19118384, PubMed : 20935634, PubMed : 23955153, PubMed : 24025841, PubMed : 7538907, PubMed : 9184224). The resulting aggregate called the death-inducing signaling complex (DISC) performs CASP8 proteolytic activation (PubMed : 16762833, PubMed : 19118384, PubMed : 20935634, PubMed : 7538907, PubMed : 9184224). Active CASP8 initiates the subsequent cascade of caspases mediating apoptosis (PubMed : 16762833). Involved in interferon-mediated antiviral immune response, playing a role in the positive regulation of interferon signaling (PubMed : 21109225).
See full target information FADD

Publications (2)

Recent publications for all applications. Explore the full list and refine your search

Cells 11: PubMed35011685

2022

Aspirin Inhibition of Group VI Phospholipase A2 Induces Synthetic Lethality in AAM Pathway Down-Regulated Gingivobuccal Squamous Carcinoma.

Applications

Unspecified application

Species

Unspecified reactive species

Kshama Pansare,Bhabani Mohanty,Ranjeeta Dhotre,Aafrin M Pettiwala,Saili Parab,Neha Gupta,Poonam Gera,Nilesh Gardi,Rucha Dugge,Priyanka Sahu,Ruby Alhans,Pradnya Kowtal,Pradip Chaudhari,Rajiv Sarin

Cell death and differentiation 27:3037-3052 PubMed32433558

2020

Stress-induced TRAILR2 expression overcomes TRAIL resistance in cancer cell spheroids.

Applications

Unspecified application

Species

Unspecified reactive species

Daniela Stöhr,Jens O Schmid,Tobias B Beigl,Alexandra Mack,Daniela S Maichl,Kai Cao,Beate Budai,Gavin Fullstone,Roland E Kontermann,Thomas E Mürdter,Stephen W G Tait,Cathrin Hagenlocher,Nadine Pollak,Peter Scheurich,Markus Rehm
View all publications

Product promise

We are committed to supporting your work with high-quality reagents, and we're here for you every step of the way. In the unlikely event that one of our products does not perform as expected, you're protected by our Product Promise.
For full details, please see our Terms & Conditions

Please note: All products are 'FOR RESEARCH USE ONLY. NOT FOR USE IN DIAGNOSTIC OR THERAPEUTIC PROCEDURES'.

For licensing inquiries, please contact partnerships@abcam.com