JavaScript is disabled in your browser. Please enable JavaScript to view this website.
AB76496

Anti-FAK antibody [EP1831Y]

  • 20ul selling size
  • RabMAb
  • Recombinant
  • KO Validated
  • What is this?

Be the first to review this product! Submit a review

|

(11 Publications)

Rabbit Recombinant Monoclonal FAK antibody. Suitable for IHC-P, WB and reacts with Human, Mouse, Rat samples. Cited in 11 publications.

View Alternative Names

FAK, FAK1, PTK2, Focal adhesion kinase 1, FADK 1, Focal adhesion kinase-related nonkinase, Protein phosphatase 1 regulatory subunit 71, Protein-tyrosine kinase 2, p125FAK, pp125FAK, FRNK, PPP1R71

3 Images
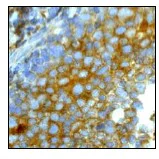
Immunohistochemistry (Formalin/PFA-fixed paraffin-embedded sections) - Anti-FAK antibody [EP1831Y] (AB76496)
  • IHC-P

Unknown

Immunohistochemistry (Formalin/PFA-fixed paraffin-embedded sections) - Anti-FAK antibody [EP1831Y] (AB76496)

Immunohistochemical staining of paraffin-embedded human tonsils using 1/100 ab76496

Perform heat mediated antigen retrieval before commencing with IHC staining protocol.

Western blot - Anti-FAK antibody [EP1831Y] (AB76496)
  • WB

Unknown

Western blot - Anti-FAK antibody [EP1831Y] (AB76496)

** Lanes 1 - 4 : ** Merged signal (red and green). Green - ab76496 observed at 119 kDa. Red - loading control, ab8245 observed at 37 kDa. ab76496 was shown to react with FAK in wild-type HEK-293T cells. Loss of signal was observed when knockout cell line ab255421 (knockout cell lysate ab263766) was used. Wild-type and FAK knockout samples were subjected to SDS-PAGE. ab76496 and Anti-GAPDH antibody [6C5] - Loading Control (ab8245) were incubated overnight at 4°C at 1 in 500 dilution and 1 in 20000 dilution respectively. Blots were developed with Goat anti-Rabbit IgG H&L (IRDye® 800CW) preadsorbed (ab216773) and Goat anti-Mouse IgG H&L (IRDye® 680RD) preadsorbed (ab216776) secondary antibodies at 1 in 20000 dilution for 1 hour at room temperature before imaging.

All lanes:

Western blot - Anti-FAK antibody [EP1831Y] (ab76496) at 1/500 dilution

Lane 1:

HeLa cell lysate at 20 µg

Lane 2:

A431 cell lysate at 20 µg

Lane 2:

Western blot - Human PTK2 (FAK) knockout HEK-293T cell line (<a href='/en-us/products/cell-lines/human-ptk2-fak-knockout-hek-293t-cell-line-ab255421'>ab255421</a>)

Lane 3:

Wild-type HEK-293T cell lysate at 20 µg

Lane 4:

PTK2 knockout HEK-293T cell lysate at 20 µg

Secondary

All lanes:

Western blot - Goat anti-Rabbit IgG H&L (IRDye® 800CW) preadsorbed (<a href='/en-us/products/secondary-antibodies/goat-rabbit-igg-h-l-irdye-800cw-preadsorbed-ab216773'>ab216773</a>) at 1/20000 dilution

Predicted band size: 119 kDa

Observed band size: 119 kDa,37 kDa

false

Western blot - Anti-FAK antibody [EP1831Y] (AB76496)
  • WB

Unknown

Western blot - Anti-FAK antibody [EP1831Y] (AB76496)

All lanes:

Western blot - Anti-FAK antibody [EP1831Y] (ab76496) at 1/500 dilution

All lanes:

HeLa cell lysate at 10 µg

Secondary

All lanes:

HRP labeled goat anti-rabbit at 1/1000 dilution

Predicted band size: 119 kDa

false

  • Carrier free

    Anti-FAK antibody [EP1831Y] - BSA and Azide free

Key facts

Host species

Rabbit

Clonality

Monoclonal

Clone number

EP1831Y

Isotype

IgG

Carrier free

No

Reacts with

Human

Applications

WB, IHC-P

applications

Immunogen

The exact immunogen used to generate this antibody is proprietary information.

Reactivity data

{ "title": "Reactivity Data", "filters": { "stats": ["", "Species", "Dilution Info", "Notes"], "tabs": { "all-applications": {"fullname" : "All Applications", "shortname": "All Applications"}, "IHCP" : {"fullname" : "Immunohistochemistry (Formalin/PFA-fixed paraffin-embedded sections)", "shortname":"IHC-P"}, "IP" : {"fullname" : "Immunoprecipitation", "shortname":"IP"}, "WB" : {"fullname" : "Western blot", "shortname":"WB"} }, "product-promise": { "all": "all", "testedAndGuaranteed": "tested", "guaranteed": "expected", "predicted": "predicted", "notRecommended": "not-recommended" } }, "values": { "Human": { "IHCP-species-checked": "testedAndGuaranteed", "IHCP-species-dilution-info": "1/100 - 1/250", "IHCP-species-notes": "<p></p>", "IP-species-checked": "notRecommended", "IP-species-dilution-info": "", "IP-species-notes": "<p></p>", "WB-species-checked": "testedAndGuaranteed", "WB-species-dilution-info": "1/500 - 1/2000", "WB-species-notes": "<p></p>" }, "Mouse": { "IHCP-species-checked": "predicted", "IHCP-species-dilution-info": "", "IHCP-species-notes": "", "IP-species-checked": "notRecommended", "IP-species-dilution-info": "", "IP-species-notes": "", "WB-species-checked": "guaranteed", "WB-species-dilution-info": "", "WB-species-notes": "<p></p>" }, "Rat": { "IHCP-species-checked": "predicted", "IHCP-species-dilution-info": "", "IHCP-species-notes": "", "IP-species-checked": "notRecommended", "IP-species-dilution-info": "", "IP-species-notes": "", "WB-species-checked": "guaranteed", "WB-species-dilution-info": "", "WB-species-notes": "<p></p>" } } }

Product details

Patented technology
Our RabMAb® technology is a patented hybridoma-based technology for making rabbit monoclonal antibodies. For details on our patents, please refer to RabMAb® patents.

What are the advantages of a recombinant monoclonal antibody?
This product is a recombinant monoclonal antibody, which offers several advantages including:

  • - High batch-to-batch consistency and reproducibility
  • - Improved sensitivity and specificity
  • - Long-term security of supply
  • - Animal-free batch production

For more information, read more on recombinant antibodies.

Properties and storage information

Form
Liquid
Purification technique
Affinity purification Protein A
Storage buffer
pH: 7.2 - 7.4 Preservative: 0.05% Sodium azide Constituents: 50% Tissue culture supernatant, 40% Glycerol (glycerin, glycerine), 9.85% Tris glycine, 0.1% BSA
Shipped at conditions
Blue Ice
Appropriate short-term storage duration
1-2 weeks
Appropriate short-term storage conditions
+4°C
Appropriate long-term storage conditions
-20°C
Aliquoting information
Upon delivery aliquot
Storage information
Avoid freeze / thaw cycle

Supplementary information

This supplementary information is collated from multiple sources and compiled automatically.

Focal Adhesion Kinase (FAK) also known as Protein Tyrosine Kinase 2 (PTK2) is a non-receptor tyrosine kinase. This protein has a molecular weight of approximately 125 kDa. FAK is expressed at high levels in brain muscle and liver tissues. Mechanically FAK plays a role in cellular adhesion and migration by regulating integrin signaling and cell-extracellular matrix interactions. FAK auto-phosphorylates at tyrosine residue 397 creating a binding site for Src family kinases and promoting downstream signaling pathways.
Biological function summary

Focal Adhesion Kinase participates in the formation of focal adhesions which are complexes that connect the cytoskeleton to the extracellular matrix. The FAK protein functions as an important signaling node in these structures allowing for the assembly of multiprotein signal transduction complexes. FAK also controls cellular processes such as spreading motility and survival. The interaction with proteins such as Src kinases paxillin and talin facilitates its biological roles in cell signaling.

Pathways

Focal Adhesion Kinase engages in the regulation of the MAPK/ERK signaling pathway and the PI3K/AKT pathway. These pathways are instrumental for cell proliferation survival and migration. In these pathways FAK interacts with proteins such as PI3K Grb2 and Sos linking integrin-mediated signals with downstream effects that influence cell behavior and survival.

Altered FAK signaling has ties to cancer progression and metastasis as well as cardiovascular diseases. In cancer the overexpression of FAK and its interaction with proteins like Src and VEGFR can drive tumor growth and angiogenesis. In cardiovascular diseases improper FAK activation can lead to aberrant heart tissue remodeling and associated pathologies. Abnormalities in FAK signaling pathways can therefore contribute significantly to the development and progression of these diseases.

Product protocols

For this product, it's our understanding that no specific protocols are required. You can visit:

Target data

Non-receptor protein-tyrosine kinase that plays an essential role in regulating cell migration, adhesion, spreading, reorganization of the actin cytoskeleton, formation and disassembly of focal adhesions and cell protrusions, cell cycle progression, cell proliferation and apoptosis. Required for early embryonic development and placenta development. Required for embryonic angiogenesis, normal cardiomyocyte migration and proliferation, and normal heart development. Regulates axon growth and neuronal cell migration, axon branching and synapse formation; required for normal development of the nervous system. Plays a role in osteogenesis and differentiation of osteoblasts. Functions in integrin signal transduction, but also in signaling downstream of numerous growth factor receptors, G-protein coupled receptors (GPCR), EPHA2, netrin receptors and LDL receptors. Forms multisubunit signaling complexes with SRC and SRC family members upon activation; this leads to the phosphorylation of additional tyrosine residues, creating binding sites for scaffold proteins, effectors and substrates. Regulates numerous signaling pathways. Promotes activation of phosphatidylinositol 3-kinase and the AKT1 signaling cascade. Promotes activation of MAPK1/ERK2, MAPK3/ERK1 and the MAP kinase signaling cascade. Promotes localized and transient activation of guanine nucleotide exchange factors (GEFs) and GTPase-activating proteins (GAPs), and thereby modulates the activity of Rho family GTPases. Signaling via CAS family members mediates activation of RAC1. Phosphorylates NEDD9 following integrin stimulation (PubMed : 9360983). Recruits the ubiquitin ligase MDM2 to P53/TP53 in the nucleus, and thereby regulates P53/TP53 activity, P53/TP53 ubiquitination and proteasomal degradation. Phosphorylates SRC; this increases SRC kinase activity. Phosphorylates ACTN1, ARHGEF7, GRB7, RET and WASL. Promotes phosphorylation of PXN and STAT1; most likely PXN and STAT1 are phosphorylated by a SRC family kinase that is recruited to autophosphorylated PTK2/FAK1, rather than by PTK2/FAK1 itself. Promotes phosphorylation of BCAR1; GIT2 and SHC1; this requires both SRC and PTK2/FAK1. Promotes phosphorylation of BMX and PIK3R1. Isoform 6 (FRNK) does not contain a kinase domain and inhibits PTK2/FAK1 phosphorylation and signaling. Its enhanced expression can attenuate the nuclear accumulation of LPXN and limit its ability to enhance serum response factor (SRF)-dependent gene transcription.. Isoform 6. Isoform 6 (FRNK) does not contain a kinase domain and inhibits PTK2/FAK1 phosphorylation and signaling. Its enhanced expression can attenuate the nuclear accumulation of LPXN and limit its ability to enhance serum response factor (SRF)-dependent gene transcription.
See full target information PTK2

Publications (11)

Recent publications for all applications. Explore the full list and refine your search

Discover oncology 16:1527 PubMed40788351

2025

Screening drugs of Anemoside B4 for MFAP4 expression in osteosarcoma in PDTX to increase personalized medicine.

Applications

Unspecified application

Species

Unspecified reactive species

Lei Zhang,Lijuan Zeng,Jing Zhang,Zhiwei He,Xiaozhou Liu

Cell death discovery 11:216 PubMed40319030

2025

High Tau expression correlates with reduced invasion and prolonged survival in Ewing sarcoma.

Applications

Unspecified application

Species

Unspecified reactive species

Florencia Cidre-Aranaz,Claudia Magrin,Malenka Zimmermann,Jing Li,Annalisa Baffa,Matteo Ciccaldo,Wolfgang Hartmann,Uta Dirksen,Martina Sola,Paolo Paganetti,Thomas G P Grünewald,Stéphanie Papin

Frontiers in immunology 15:1404228 PubMed38812519

2024

expansion in a clinical grade medium, containing growth factors from human platelets, enhances migration capacity of adipose stem cells.

Applications

Unspecified application

Species

Unspecified reactive species

Francesco Agostini,Carla Vicinanza,Elisabetta Lombardi,Francesco Da Ros,Miriam Marangon,Samuele Massarut,Mario Mazzucato,Cristina Durante

Cell communication and signaling : CCS 22:46 PubMed38233791

2024

ZDHHC5-mediated S-palmitoylation of FAK promotes its membrane localization and epithelial-mesenchymal transition in glioma.

Applications

Unspecified application

Species

Unspecified reactive species

Yang Wang,Na Shen,Yang Yang,Yuan Xia,Wenhao Zhang,Yu Lu,Zhicheng Wang,Ze Yang,Zhangjie Wang

International journal of molecular sciences 22: PubMed34575938

2021

FAK Shutdown: Consequences on Epithelial Morphogenesis and Biomarker Expression Involving an Innovative Biomaterial for Tissue Regeneration.

Applications

Unspecified application

Species

Unspecified reactive species

Xiaoling Wang,Thorsten Steinberg,Martin P Dieterle,Imke Ramminger,Ayman Husari,Pascal Tomakidi

Immunity 54:2072-2088.e7 PubMed34320366

2021

Resident cardiac macrophages mediate adaptive myocardial remodeling.

Applications

Unspecified application

Species

Unspecified reactive species

Nicole R Wong,Jay Mohan,Benjamin J Kopecky,Shuchi Guo,Lixia Du,Jamison Leid,Guoshuai Feng,Inessa Lokshina,Oleksandr Dmytrenko,Hannah Luehmann,Geetika Bajpai,Laura Ewald,Lauren Bell,Nikhil Patel,Andrea Bredemeyer,Carla J Weinheimer,Jessica M Nigro,Attila Kovacs,Sachio Morimoto,Peter O Bayguinov,Max R Fisher,W Tom Stump,Michael Greenberg,James A J Fitzpatrick,Slava Epelman,Daniel Kreisel,Rajan Sah,Yongjian Liu,Hongzhen Hu,Kory J Lavine

ACS biomaterials science & engineering 7:2430-2443 PubMed33688723

2021

Collagen I Fibrous Substrates Modulate the Proliferation and Secretome of Estrogen Receptor-Positive Breast Tumor Cells in a Hormone-Restricted Microenvironment.

Applications

Unspecified application

Species

Unspecified reactive species

Ana M Reyes-Ramos,Yasmín R Álvarez-García,Natalia Solodin,Jorge Almodovar,Elaine T Alarid,Wandaliz Torres-Garcia,Maribella Domenech

Cellular signalling 63:109382 PubMed31376525

2019

On the relationship of YAP and FAK in hMSCs and osteosarcoma cells: Discrimination of FAK modulation by nuclear YAP depletion or YAP silencing.

Applications

Unspecified application

Species

Unspecified reactive species

Ayman Husari,Thorsten Steinberg,Martin Philipp Dieterle,Oswald Prucker,Jürgen Rühe,Britta Jung,Pascal Tomakidi

Molecular medicine reports 18:349-357 PubMed29749523

2018

Overexpression of Annexin A1 protects against benzo[a]pyrene‑induced bronchial epithelium injury.

Applications

Unspecified application

Species

Unspecified reactive species

Yanfei Cui,Shengya Yang

Oncotarget 8:22674-22684 PubMed28186967

2017

MicroRNA-146a promote cell migration and invasion in human colorectal cancer via carboxypeptidase M/src-FAK pathway.

Applications

WB

Species

Human

Di Lu,Qunyan Yao,Cheng Zhan,Zhang Le-Meng,Hongchun Liu,Yu Cai,Chuantao Tu,Xi Li,Yanting Zou,Shuncai Zhang
View all publications

Product promise

We are committed to supporting your work with high-quality reagents, and we're here for you every step of the way. In the unlikely event that one of our products does not perform as expected, you're protected by our Product Promise.
For full details, please see our Terms & Conditions

Please note: All products are 'FOR RESEARCH USE ONLY. NOT FOR USE IN DIAGNOSTIC OR THERAPEUTIC PROCEDURES'.

For licensing inquiries, please contact partnerships@abcam.com