JavaScript is disabled in your browser. Please enable JavaScript to view this website.
AB271836

Anti-FAK antibody [EP695Y] - BSA and Azide free

Be the first to review this product! Submit a review

|

(0 Publication)

Rabbit Recombinant Monoclonal FAK antibody. Carrier free. Suitable for WB, IHC-P and reacts with Mouse, Rat, Human samples.

View Alternative Names

FAK, FAK1, PTK2, Focal adhesion kinase 1, FADK 1, Focal adhesion kinase-related nonkinase, Protein phosphatase 1 regulatory subunit 71, Protein-tyrosine kinase 2, p125FAK, pp125FAK, FRNK, PPP1R71

6 Images
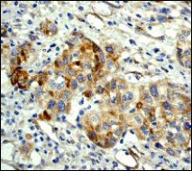
Immunohistochemistry (Formalin/PFA-fixed paraffin-embedded sections) - Anti-FAK antibody [EP695Y] - BSA and Azide free (AB271836)
  • IHC-P

Unknown

Immunohistochemistry (Formalin/PFA-fixed paraffin-embedded sections) - Anti-FAK antibody [EP695Y] - BSA and Azide free (AB271836)

Immunohistochemistry (Formalin/PFA-fixed paraffin-embedded sections) analysis of Human hepatocellular carcinoma tissue sections labeling FAK with purified ab40794 at 1 : 250 dilution (2.32 μg/ml). Heat mediated antigen retrieval was performed Perform heat mediated antigen retrieval using ab93684 (Tris/EDTA buffer, pH 9.0). ImmunoHistoProbe one step HRP Polymer (ready to use) was used as the secondary antibody.

Negative control : PBS instead of the primary antibody.

Hematoxylin was used as a counterstain.

This data was developed using the same antibody clone in a different buffer formulation containing PBS, BSA, glycerol, and sodium azide (ab40794).

Immunohistochemistry (Formalin/PFA-fixed paraffin-embedded sections) - Anti-FAK antibody [EP695Y] - BSA and Azide free (AB271836)
  • IHC-P

Unknown

Immunohistochemistry (Formalin/PFA-fixed paraffin-embedded sections) - Anti-FAK antibody [EP695Y] - BSA and Azide free (AB271836)

Immunohistochemical analysis of paraffin-embedded human hepatocellular carcinoma using ab40794.

This data was developed using the same antibody clone in a different buffer formulation containing PBS, BSA, glycerol, and sodium azide (ab40794).

Western blot - Anti-FAK antibody [EP695Y] - BSA and Azide free (AB271836)
  • WB

Unknown

Western blot - Anti-FAK antibody [EP695Y] - BSA and Azide free (AB271836)

This data was developed using ab40794, the same antibody clone in a different buffer formulation.

All lanes:

Western blot - Anti-FAK antibody [EP695Y] - BSA and Azide free (ab271836) at 1/2000 dilution

Lane 1:

HeLa (Human cervix adenocarcinoma epithelial cell) whole cell lysates at 20 µg

Lane 2:

K-562 (Human chronic myelogenous leukemia lymphoblast) whole cell lysates at 20 µg

Secondary

All lanes:

Western blot - Goat Anti-Rabbit IgG H&L (HRP) (<a href='/en-us/products/secondary-antibodies/goat-rabbit-igg-h-l-hrp-ab97051'>ab97051</a>) at 1/20000 dilution

Predicted band size: 119 kDa

false

Western blot - Anti-FAK antibody [EP695Y] - BSA and Azide free (AB271836)
  • WB

Unknown

Western blot - Anti-FAK antibody [EP695Y] - BSA and Azide free (AB271836)

This data was developed using ab40794, the same antibody clone in a different buffer formulation.

All lanes:

Western blot - Anti-FAK antibody [EP695Y] - BSA and Azide free (ab271836) at 1/1000 dilution

All lanes:

Hela cell lysate

Predicted band size: 119 kDa

Observed band size: 119 kDa

false

Western blot - Anti-FAK antibody [EP695Y] - BSA and Azide free (AB271836)
  • WB

Unknown

Western blot - Anti-FAK antibody [EP695Y] - BSA and Azide free (AB271836)

This data was developed using ab40794, the same antibody clone in a different buffer formulation

Lanes 1 - 4 : Merged signal (red and green). Green - ab40794 observed at 119 kDa. Red - loading control, ab8245 observed at 37 kDa.

ab40794 was shown to react with FAK in wild-type HEK-293T cells. Loss of signal was observed when knockout cell line ab255421 (knockout cell lysate ab263766) was used. Wild-type and FAK knockout samples were subjected to SDS-PAGE. ab40794 and Anti-GAPDH antibody [6C5] - Loading Control (ab8245) were incubated overnight at 4°C at 1 in 1000 dilution and 1 in 20000 dilution respectively. Blots were developed with Goat anti-Rabbit IgG H&L (IRDye® 800CW) preadsorbed (ab216773) and Goat anti-Mouse IgG H&L (IRDye® 680RD) preadsorbed (ab216776) secondary antibodies at 1 in 20000 dilution for 1 hour at room temperature before imaging.

All lanes:

Western blot - Anti-FAK antibody [EP695Y] - BSA and Azide free (ab271836) at 1/1000 dilution

Lane 1:

HeLa cell lysate at 20 µg

Lane 2:

A431 cell lysate at 20 µg

Lane 3:

Wild-type HEK-293T cell lysate at 20 µg

Lane 4:

PTK2 knockout HEK-293T cell lysate at 20 µg

Predicted band size: 119 kDa

false

Western blot - Anti-FAK antibody [EP695Y] - BSA and Azide free (AB271836)
  • WB

Unknown

Western blot - Anti-FAK antibody [EP695Y] - BSA and Azide free (AB271836)

This data was developed using ab40794, the same antibody clone in a different buffer formulation.

All lanes:

Western blot - Anti-FAK antibody [EP695Y] - BSA and Azide free (ab271836) at 1/2000 dilution

Lane 1:

NIH/3T3 (Mouse embryonic fibroblast) whole cell lysates at 20 µg

Lane 2:

Rat brain lysates at 20 µg

Secondary

All lanes:

Western blot - Goat Anti-Rabbit IgG H&L (HRP) (<a href='/en-us/products/secondary-antibodies/goat-rabbit-igg-h-l-hrp-ab97051'>ab97051</a>) at 1/20000 dilution

Predicted band size: 119 kDa

false

Key facts

Host species

Rabbit

Clonality

Monoclonal

Clone number

EP695Y

Isotype

IgG

Carrier free

Yes

Reacts with

Rat, Mouse, Human

Applications

WB, IHC-P

applications

Immunogen

The exact immunogen used to generate this antibody is proprietary information.

Specificity

ab271836 recognises Focal adhesion kinase (FAK).

Reactivity data

{ "title": "Reactivity Data", "filters": { "stats": ["", "Species", "Dilution Info", "Notes"], "tabs": { "all-applications": {"fullname" : "All Applications", "shortname": "All Applications"}, "WB" : {"fullname" : "Western blot", "shortname":"WB"}, "IHCP" : {"fullname" : "Immunohistochemistry (Formalin/PFA-fixed paraffin-embedded sections)", "shortname":"IHC-P"} }, "product-promise": { "all": "all", "testedAndGuaranteed": "tested", "guaranteed": "expected", "predicted": "predicted", "notRecommended": "not-recommended" } }, "values": { "Human": { "WB-species-checked": "testedAndGuaranteed", "WB-species-dilution-info": "", "WB-species-notes": "<p>For unpurified use at 1/1000</p>", "IHCP-species-checked": "testedAndGuaranteed", "IHCP-species-dilution-info": "", "IHCP-species-notes": "<p>See IHC antigen retrieval protocols.</p>" }, "Mouse": { "WB-species-checked": "testedAndGuaranteed", "WB-species-dilution-info": "", "WB-species-notes": "<p>For unpurified use at 1/1000</p>", "IHCP-species-checked": "notRecommended", "IHCP-species-dilution-info": "", "IHCP-species-notes": "<p></p>" }, "Rat": { "WB-species-checked": "testedAndGuaranteed", "WB-species-dilution-info": "", "WB-species-notes": "<p>For unpurified use at 1/1000</p>", "IHCP-species-checked": "notRecommended", "IHCP-species-dilution-info": "", "IHCP-species-notes": "<p></p>" }, "Cow": { "WB-species-checked": "predicted", "WB-species-dilution-info": "", "WB-species-notes": "", "IHCP-species-checked": "notRecommended", "IHCP-species-dilution-info": "", "IHCP-species-notes": "" } } }

Product details

ab271836 is the carrier-free version of ab40794.

Patented technology
Our RabMAb® technology is a patented hybridoma-based technology for making rabbit monoclonal antibodies. For details on our patents, please refer to RabMAb® patents.

What are the advantages of a recombinant monoclonal antibody?
This product is a recombinant monoclonal antibody, which offers several advantages including:

  • - High batch-to-batch consistency and reproducibility
  • - Improved sensitivity and specificity
  • - Long-term security of supply
  • - Animal-free batch production

For more information, read more on recombinant antibodies.

Conjugation ready
Our carrier-free antibodies are typically supplied in a PBS-only formulation, purified and free of BSA, sodium azide and glycerol. This conjugation-ready format is designed for use with fluorochromes, metal isotopes, oligonucleotides, and enzymes, which makes them ideal for antibody labelling, functional and cell-based assays, flow-based assays (e.g. mass cytometry) and Multiplex Imaging applications.

Use our conjugation kits for antibody conjugates that are ready-to-use in as little as 20 minutes with 1 minute hands-on-time and 100% antibody recovery: available for fluorescent dyes, HRP, biotin and gold.

Compatibility
This product is compatible with the Maxpar® Antibody Labeling Kit from Fluidigm, without the need for antibody preparation. Maxpar® is a trademark of Fluidigm Canada Inc.

Properties and storage information

Form
Liquid
Purification technique
Affinity purification Protein A
Storage buffer
pH: 7.2 - 7.4 Constituents: PBS
Shipped at conditions
Blue Ice
Appropriate short-term storage conditions
+4°C
Appropriate long-term storage conditions
+4°C
Storage information
Do Not Freeze

Supplementary information

This supplementary information is collated from multiple sources and compiled automatically.

Focal Adhesion Kinase (FAK) also known as Protein Tyrosine Kinase 2 (PTK2) is a non-receptor tyrosine kinase. This protein has a molecular weight of approximately 125 kDa. FAK is expressed at high levels in brain muscle and liver tissues. Mechanically FAK plays a role in cellular adhesion and migration by regulating integrin signaling and cell-extracellular matrix interactions. FAK auto-phosphorylates at tyrosine residue 397 creating a binding site for Src family kinases and promoting downstream signaling pathways.
Biological function summary

Focal Adhesion Kinase participates in the formation of focal adhesions which are complexes that connect the cytoskeleton to the extracellular matrix. The FAK protein functions as an important signaling node in these structures allowing for the assembly of multiprotein signal transduction complexes. FAK also controls cellular processes such as spreading motility and survival. The interaction with proteins such as Src kinases paxillin and talin facilitates its biological roles in cell signaling.

Pathways

Focal Adhesion Kinase engages in the regulation of the MAPK/ERK signaling pathway and the PI3K/AKT pathway. These pathways are instrumental for cell proliferation survival and migration. In these pathways FAK interacts with proteins such as PI3K Grb2 and Sos linking integrin-mediated signals with downstream effects that influence cell behavior and survival.

Altered FAK signaling has ties to cancer progression and metastasis as well as cardiovascular diseases. In cancer the overexpression of FAK and its interaction with proteins like Src and VEGFR can drive tumor growth and angiogenesis. In cardiovascular diseases improper FAK activation can lead to aberrant heart tissue remodeling and associated pathologies. Abnormalities in FAK signaling pathways can therefore contribute significantly to the development and progression of these diseases.

Product protocols

For this product, it's our understanding that no specific protocols are required. You can visit:

Target data

Non-receptor protein-tyrosine kinase that plays an essential role in regulating cell migration, adhesion, spreading, reorganization of the actin cytoskeleton, formation and disassembly of focal adhesions and cell protrusions, cell cycle progression, cell proliferation and apoptosis. Required for early embryonic development and placenta development. Required for embryonic angiogenesis, normal cardiomyocyte migration and proliferation, and normal heart development. Regulates axon growth and neuronal cell migration, axon branching and synapse formation; required for normal development of the nervous system. Plays a role in osteogenesis and differentiation of osteoblasts. Functions in integrin signal transduction, but also in signaling downstream of numerous growth factor receptors, G-protein coupled receptors (GPCR), EPHA2, netrin receptors and LDL receptors. Forms multisubunit signaling complexes with SRC and SRC family members upon activation; this leads to the phosphorylation of additional tyrosine residues, creating binding sites for scaffold proteins, effectors and substrates. Regulates numerous signaling pathways. Promotes activation of phosphatidylinositol 3-kinase and the AKT1 signaling cascade. Promotes activation of MAPK1/ERK2, MAPK3/ERK1 and the MAP kinase signaling cascade. Promotes localized and transient activation of guanine nucleotide exchange factors (GEFs) and GTPase-activating proteins (GAPs), and thereby modulates the activity of Rho family GTPases. Signaling via CAS family members mediates activation of RAC1. Phosphorylates NEDD9 following integrin stimulation (PubMed : 9360983). Recruits the ubiquitin ligase MDM2 to P53/TP53 in the nucleus, and thereby regulates P53/TP53 activity, P53/TP53 ubiquitination and proteasomal degradation. Phosphorylates SRC; this increases SRC kinase activity. Phosphorylates ACTN1, ARHGEF7, GRB7, RET and WASL. Promotes phosphorylation of PXN and STAT1; most likely PXN and STAT1 are phosphorylated by a SRC family kinase that is recruited to autophosphorylated PTK2/FAK1, rather than by PTK2/FAK1 itself. Promotes phosphorylation of BCAR1; GIT2 and SHC1; this requires both SRC and PTK2/FAK1. Promotes phosphorylation of BMX and PIK3R1. Isoform 6 (FRNK) does not contain a kinase domain and inhibits PTK2/FAK1 phosphorylation and signaling. Its enhanced expression can attenuate the nuclear accumulation of LPXN and limit its ability to enhance serum response factor (SRF)-dependent gene transcription.. Isoform 6. Isoform 6 (FRNK) does not contain a kinase domain and inhibits PTK2/FAK1 phosphorylation and signaling. Its enhanced expression can attenuate the nuclear accumulation of LPXN and limit its ability to enhance serum response factor (SRF)-dependent gene transcription.
See full target information PTK2

Product promise

We are committed to supporting your work with high-quality reagents, and we're here for you every step of the way. In the unlikely event that one of our products does not perform as expected, you're protected by our Product Promise.
For full details, please see our Terms & Conditions

Please note: All products are 'FOR RESEARCH USE ONLY. NOT FOR USE IN DIAGNOSTIC OR THERAPEUTIC PROCEDURES'.

For licensing inquiries, please contact partnerships@abcam.com