JavaScript is disabled in your browser. Please enable JavaScript to view this website.
AB322920

Anti-FAK (phospho S732) antibody [EPR26074-44]

  • KO Validated
  • Recombinant
  • RabMAb
  • 20ul selling size
  • What is this?

Be the first to review this product! Submit a review

|

(0 Publication)

Rabbit Recombinant Monoclonal FAK phospho S732 antibody. Suitable for Dot, WB and reacts with Synthetic peptide - Human, Human, Mouse, Rat samples.

View Alternative Names

FAK, FAK1, PTK2, Focal adhesion kinase 1, FADK 1, Focal adhesion kinase-related nonkinase, Protein phosphatase 1 regulatory subunit 71, Protein-tyrosine kinase 2, p125FAK, pp125FAK, FRNK, PPP1R71

4 Images
Western blot - Anti-FAK (phospho S732) antibody [EPR26074-44] (AB322920)
  • WB

Supplier Data

Western blot - Anti-FAK (phospho S732) antibody [EPR26074-44] (AB322920)

Blocking and diluting buffer and concentration : 5% NFDM/TBST.

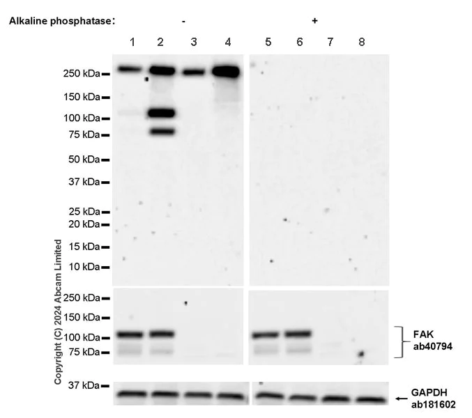
In Western blot, ab322920 was shown to bind specifically to FAK (phospho S732). Target of interest was observed at 75-120 kDa in wild-type HEK-293 cell lysates (lane 2) with no signal observed at this size in FAK knockout cell line (lanes 3-4) (lane 3, knockout cell line ab255421 / knockout cell lysate ab263766).

The expression profile/ molecular weight observed is consistent with what has been described in the literature (PMID : 35787638).

The identity of the higher MW band at approximately 250 kDa (in lanes 1-4) is unknown.

In Western blot, Anti-GAPDH antibody [EPR16891] - Loading Control (ab181602) staining at 1/200000 dilution.

In Western blot, Anti-FAK antibody - Total protein control (ab40794) staining at 1/1000 dilution.

All lanes:

Western blot - Anti-FAK (phospho S732) antibody [EPR26074-44] (ab322920) at 1/1000 dilution

Lane 1:

Untreated Wild-type HEK-293 (human embryonic kidney epithelial cell) whole cell lysate (untreated membrane) at 20 µg

Lane 2:

Wild-type HEK-293 treated with 100nM Calycin A for 30 minutes whole cell lysate (untreated membrane) at 20 µg

Lane 3:

Untreated FAK knockout HEK-293 whole cell lysate (untreated membrane) at 20 µg

Lane 4:

FAK knockout HEK-293 treated with 100nM Calycin A for 30 minutes whole cell lysate (untreated membrane) at 20 µg

Lane 5:

Untreated Wild-type HEK-293 whole cell lysate (alkaline phosphatase treated membrane) at 20 µg

Lane 6:

Wild-type HEK-293 treated with 100nM Calycin A for 30 minutes whole cell lysate (alkaline phosphatase treated membrane) at 20 µg

Lane 7:

Untreated FAK knockout HEK-293 whole cell lysate (alkaline phosphatase treated membrane) at 20 µg

Lane 8:

FAK knockout HEK-293 treated with 100nM Calycin A for 30 minutes whole cell lysate (alkaline phosphatase treated membrane) at 20 µg

Secondary

All lanes:

Western blot - Goat Anti-Rabbit IgG H&L (HRP) (<a href='/en-us/products/secondary-antibodies/goat-rabbit-igg-h-l-hrp-ab97051'>ab97051</a>) at 1/100000 dilution

Observed band size: 75-120 kDa,36 kDa

false

Exposure time: 180s

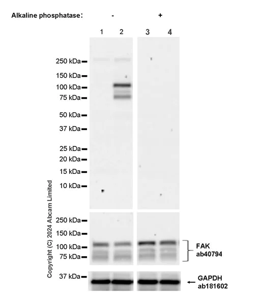
Western blot - Anti-FAK (phospho S732) antibody [EPR26074-44] (AB322920)
  • WB

Supplier Data

Western blot - Anti-FAK (phospho S732) antibody [EPR26074-44] (AB322920)

Blocking and diluting buffer and concentration : 5% NFDM/TBST.

The expression profile/ molecular weight observed is consistent with what has been described in the literature (PMID : 35787638).

The identity of the higher MW band at approximately 250 kDa (in lanes 1-2) is unknown.

In Western blot, Anti-GAPDH antibody [EPR16891] - Loading Control (ab181602) staining at 1/200000 dilution.

In Western blot, Anti-FAK antibody - Total protein control (ab40794) staining at 1/1000 dilution.

All lanes:

Western blot - Anti-FAK (phospho S732) antibody [EPR26074-44] (ab322920) at 1/1000 dilution

Lane 1:

Untreated PC-12 (rat adrenal gland pheochromocytoma cell) whole cell lysate (untreated membrane) at 20 µg

Lane 2:

PC-12 treated with 100nM Calycin A for 10 minutes whole cell lysate (untreated membrane) at 20 µg

Lane 3:

Untreated PC-12 whole cell lysate (alkaline phosphatase treated membrane) at 20 µg

Lane 4:

PC-12 treated with 100nM Calycin A for 10 minutes whole cell lysate (alkaline phosphatase treated membrane) at 20 µg

Secondary

All lanes:

Western blot - Goat Anti-Rabbit IgG H&L (HRP) (<a href='/en-us/products/secondary-antibodies/goat-rabbit-igg-h-l-hrp-ab97051'>ab97051</a>) at 1/100000 dilution

false

Exposure time: 15s

Western blot - Anti-FAK (phospho S732) antibody [EPR26074-44] (AB322920)
  • WB

Supplier Data

Western blot - Anti-FAK (phospho S732) antibody [EPR26074-44] (AB322920)

Blocking and diluting buffer and concentration : 5% NFDM/TBST.

The expression profile/ molecular weight observed is consistent with what has been described in the literature (PMID : 35787638).

The identity of the higher MW band at approximately 250 kDa (in lanes 1-2) is unknown.

In Western blot, Anti-GAPDH antibody [EPR16891] - Loading Control (ab181602) staining at 1/200000 dilution.

In Western blot, Anti-FAK antibody - Total protein control (ab40794) staining at 1/1000 dilution.

All lanes:

Western blot - Anti-FAK (phospho S732) antibody [EPR26074-44] (ab322920) at 1/1000 dilution

Lane 1:

Untreated NIH/3T3 (mouse embryonic fibroblast) whole cell lysate (untreated membrane) at 20 µg

Lane 2:

NIH/3T3 treated with 100nM Calycin A for 30 minutes whole cell lysate (untreated membrane) at 20 µg

Lane 3:

Untreated NIH/3T3 whole cell lysate (alkaline phosphatase treated membrane) at 20 µg

Lane 4:

NIH/3T3 treated with 100nM Calycin A for 30 minutes whole cell lysate (alkaline phosphatase treated membrane) at 20 µg

Secondary

All lanes:

Western blot - Goat Anti-Rabbit IgG H&L (HRP) (<a href='/en-us/products/secondary-antibodies/goat-rabbit-igg-h-l-hrp-ab97051'>ab97051</a>) at 1/100000 dilution

false

Exposure time: 59s

Dot Blot - Anti-FAK (phospho S732) antibody [EPR26074-44] (AB322920)
  • Dot

Supplier Data

Dot Blot - Anti-FAK (phospho S732) antibody [EPR26074-44] (AB322920)

Dot blot analysis of FAK (phospho S732) using ab322920 at 1000 (0.531 ug/ml) followed by a Goat Anti-Rabbit IgG, (H+L), Peroxidase conjugated (ab97051) at 1 : 100,000 dilution.

Lane1 : FAK (phospho S732) peptide a
Lane2 : FAK (phospho S732) peptide b
Lane3 : FAK non-phospho peptide c

Blocking and diluting buffer and concentration : 5% NFDM/TBST.

All lanes:

Dot Blot - Anti-FAK (phospho S732) antibody [EPR26074-44] (ab322920) at 1/1000 dilution

Lane 1:

FAK (phospho S732) peptide a

Lane 2:

FAK (phospho S732) peptide b

Lane 3:

FAK non-phospho peptide c

Secondary

All lanes:

Dot Blot - Goat Anti-Rabbit IgG H&L (HRP) (<a href='/en-us/products/secondary-antibodies/goat-rabbit-igg-h-l-hrp-ab97051'>ab97051</a>) at 1/100000 dilution

false

Exposure time: 180s

Key facts

Host species

Rabbit

Clonality

Monoclonal

Clone number

EPR26074-44

Isotype

IgG

Carrier free

No

Reacts with

Human, Mouse, Rat

Applications

WB, Dot

applications

Immunogen

The exact immunogen used to generate this antibody is proprietary information.

Reactivity data

{ "title": "Reactivity Data", "filters": { "stats": ["", "Species", "Dilution Info", "Notes"], "tabs": { "all-applications": {"fullname" : "All Applications", "shortname": "All Applications"}, "Dot" : {"fullname" : "Dot Blot", "shortname":"Dot"}, "WB" : {"fullname" : "Western blot", "shortname":"WB"}, "ICCIF" : {"fullname" : "Immunocytochemistry/ Immunofluorescence", "shortname":"ICC/IF"}, "IHCP" : {"fullname" : "Immunohistochemistry (Formalin/PFA-fixed paraffin-embedded sections)", "shortname":"IHC-P"} }, "product-promise": { "all": "all", "testedAndGuaranteed": "tested", "guaranteed": "expected", "predicted": "predicted", "notRecommended": "not-recommended" } }, "values": { "Human": { "Dot-species-checked": "guaranteed", "Dot-species-dilution-info": "", "Dot-species-notes": "", "WB-species-checked": "testedAndGuaranteed", "WB-species-dilution-info": "1/1000", "WB-species-notes": "<p></p>", "ICCIF-species-checked": "notRecommended", "ICCIF-species-dilution-info": "", "ICCIF-species-notes": "<p></p>", "IHCP-species-checked": "notRecommended", "IHCP-species-dilution-info": "", "IHCP-species-notes": "<p></p>" }, "Mouse": { "Dot-species-checked": "guaranteed", "Dot-species-dilution-info": "", "Dot-species-notes": "", "WB-species-checked": "testedAndGuaranteed", "WB-species-dilution-info": "1/1000", "WB-species-notes": "<p></p>", "ICCIF-species-checked": "notRecommended", "ICCIF-species-dilution-info": "", "ICCIF-species-notes": "<p></p>", "IHCP-species-checked": "notRecommended", "IHCP-species-dilution-info": "", "IHCP-species-notes": "<p></p>" }, "Rat": { "Dot-species-checked": "guaranteed", "Dot-species-dilution-info": "", "Dot-species-notes": "", "WB-species-checked": "testedAndGuaranteed", "WB-species-dilution-info": "1/1000", "WB-species-notes": "<p></p>", "ICCIF-species-checked": "notRecommended", "ICCIF-species-dilution-info": "", "ICCIF-species-notes": "<p></p>", "IHCP-species-checked": "notRecommended", "IHCP-species-dilution-info": "", "IHCP-species-notes": "<p></p>" }, "Synthetic peptide - Human": { "Dot-species-checked": "testedAndGuaranteed", "Dot-species-dilution-info": "1/1000", "Dot-species-notes": "<p></p>", "WB-species-checked": "notRecommended", "WB-species-dilution-info": "", "WB-species-notes": "", "ICCIF-species-checked": "notRecommended", "ICCIF-species-dilution-info": "", "ICCIF-species-notes": "", "IHCP-species-checked": "notRecommended", "IHCP-species-dilution-info": "", "IHCP-species-notes": "" } } }

Product details

Patented technology
Our RabMAb® technology is a patented hybridoma-based technology for making rabbit monoclonal antibodies. For details on our patents, please refer to RabMAb® patents.

What are the advantages of a recombinant monoclonal antibody?
This product is a recombinant monoclonal antibody, which offers several advantages including:

  • - High batch-to-batch consistency and reproducibility
  • - Improved sensitivity and specificity
  • - Long-term security of supply
  • - Animal-free batch production

For more information, read more on recombinant antibodies.

Properties and storage information

Form
Liquid
Purification technique
Affinity purification Protein A
Storage buffer
pH: 7.2 - 7.4 Preservative: 0.01% Sodium azide Constituents: PBS, 40% Glycerol (glycerin, glycerine), 0.05% BSA
Shipped at conditions
Blue Ice
Appropriate short-term storage duration
1-2 weeks
Appropriate short-term storage conditions
+4°C
Appropriate long-term storage conditions
-20°C
Aliquoting information
Upon delivery aliquot
Storage information
Avoid freeze / thaw cycle

Product protocols

For this product, it's our understanding that no specific protocols are required. You can visit:

Target data

Non-receptor protein-tyrosine kinase that plays an essential role in regulating cell migration, adhesion, spreading, reorganization of the actin cytoskeleton, formation and disassembly of focal adhesions and cell protrusions, cell cycle progression, cell proliferation and apoptosis. Required for early embryonic development and placenta development. Required for embryonic angiogenesis, normal cardiomyocyte migration and proliferation, and normal heart development. Regulates axon growth and neuronal cell migration, axon branching and synapse formation; required for normal development of the nervous system. Plays a role in osteogenesis and differentiation of osteoblasts. Functions in integrin signal transduction, but also in signaling downstream of numerous growth factor receptors, G-protein coupled receptors (GPCR), EPHA2, netrin receptors and LDL receptors. Forms multisubunit signaling complexes with SRC and SRC family members upon activation; this leads to the phosphorylation of additional tyrosine residues, creating binding sites for scaffold proteins, effectors and substrates. Regulates numerous signaling pathways. Promotes activation of phosphatidylinositol 3-kinase and the AKT1 signaling cascade. Promotes activation of MAPK1/ERK2, MAPK3/ERK1 and the MAP kinase signaling cascade. Promotes localized and transient activation of guanine nucleotide exchange factors (GEFs) and GTPase-activating proteins (GAPs), and thereby modulates the activity of Rho family GTPases. Signaling via CAS family members mediates activation of RAC1. Phosphorylates NEDD9 following integrin stimulation (PubMed : 9360983). Recruits the ubiquitin ligase MDM2 to P53/TP53 in the nucleus, and thereby regulates P53/TP53 activity, P53/TP53 ubiquitination and proteasomal degradation. Phosphorylates SRC; this increases SRC kinase activity. Phosphorylates ACTN1, ARHGEF7, GRB7, RET and WASL. Promotes phosphorylation of PXN and STAT1; most likely PXN and STAT1 are phosphorylated by a SRC family kinase that is recruited to autophosphorylated PTK2/FAK1, rather than by PTK2/FAK1 itself. Promotes phosphorylation of BCAR1; GIT2 and SHC1; this requires both SRC and PTK2/FAK1. Promotes phosphorylation of BMX and PIK3R1. Isoform 6 (FRNK) does not contain a kinase domain and inhibits PTK2/FAK1 phosphorylation and signaling. Its enhanced expression can attenuate the nuclear accumulation of LPXN and limit its ability to enhance serum response factor (SRF)-dependent gene transcription.. Isoform 6. Isoform 6 (FRNK) does not contain a kinase domain and inhibits PTK2/FAK1 phosphorylation and signaling. Its enhanced expression can attenuate the nuclear accumulation of LPXN and limit its ability to enhance serum response factor (SRF)-dependent gene transcription.
See full target information PTK2 phospho S732

Product promise

We are committed to supporting your work with high-quality reagents, and we're here for you every step of the way. In the unlikely event that one of our products does not perform as expected, you're protected by our Product Promise.
For full details, please see our Terms & Conditions

Please note: All products are 'FOR RESEARCH USE ONLY. NOT FOR USE IN DIAGNOSTIC OR THERAPEUTIC PROCEDURES'.

For licensing inquiries, please contact partnerships@abcam.com