JavaScript is disabled in your browser. Please enable JavaScript to view this website.
AB322400

Anti-FAM208A antibody [EPR28577-82]

Be the first to review this product! Submit a review

|

(0 Publication)

Rabbit Recombinant Monoclonal FAM208A antibody. Suitable for WB and reacts with Human samples.

View Alternative Names

C3orf63, FAM208A, KIAA1105, TASOR, Protein TASOR, CTCL tumor antigen se89-1, Retinoblastoma-associated protein RAP140, Transgene activation suppressor protein

3 Images
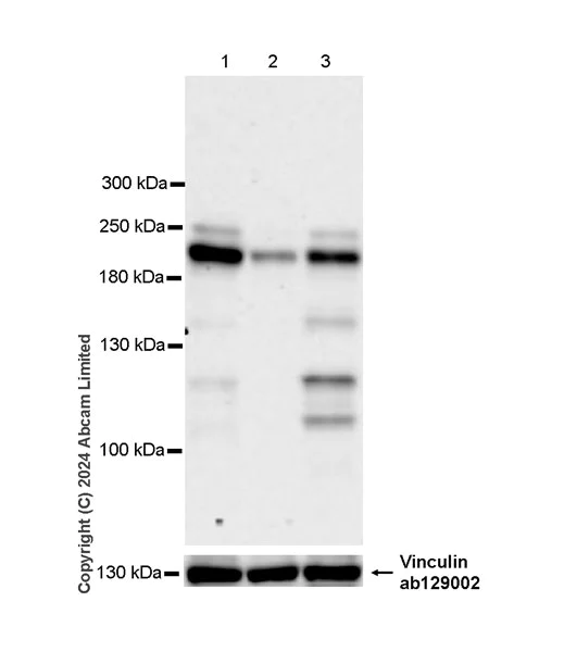
Western blot - Anti-FAM208A antibody [EPR28577-82] (AB322400)
  • WB

Supplier Data

Western blot - Anti-FAM208A antibody [EPR28577-82] (AB322400)

Blocking and diluting buffer and concentration : 5% NFDM/TBST.

Low expression : skeletal muscle

The bands beneath the target band (190 kDa) are likely to be degraded target fragments.

In Western blot, Anti-Vinculin antibody [EPR8185] (ab129002) staining at 1/10000 dilution.

All lanes:

Western blot - Anti-FAM208A antibody [EPR28577-82] (ab322400) at 1/1000 dilution

Lane 1:

Human testis tissue lysate at 20 µg

Lane 2:

Human skeletal muscle tissue lysate at 20 µg

Secondary

All lanes:

Goat Anti-Rabbit IgG (HRP) with minimal cross-reactivity with human IgG at 1/2000 dilution

Observed band size: 190 kDa,250 kDa,124 kDa

false

Exposure time: 180s

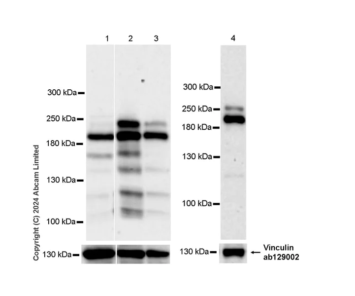
Western blot - Anti-FAM208A antibody [EPR28577-82] (AB322400)
  • WB

Supplier Data

Western blot - Anti-FAM208A antibody [EPR28577-82] (AB322400)

Blocking and diluting buffer and concentration : 5% NFDM/TBST.

In lane 1-3, the lysate was stored at -80℃ prior to Western Blotting. In lanes 4, To minimize protein degradation, cells were lysed immediately after harvest and then applied to a gel and transfer membrane for Western blotting as soon as possible.

The bands beneath the target band (190 kDa) are likely to be degraded target fragments.

In Western blot, Anti-Vinculin antibody [EPR8185] (ab129002) staining at 1/10000 dilution.

Exposure time : Lane1-3 : 92 seconds, lane4 : 180 seconds

All lanes:

Western blot - Anti-FAM208A antibody [EPR28577-82] (ab322400) at 1/1000 dilution

Lane 1:

U-87 MG (human glioblastoma-astrocytoma epithelial cell) whole lysate at 20 µg

Lane 2:

DLD-1 (human colorectal adenocarcinoma epithelial cell) whole lysate at 20 µg

Lane 3:

SW620 (human colorectal adenocarcinoma epithelial cell) whole lysate at 20 µg

Lane 4:

293T (human embryonic kidney epithelial cell) whole lysate at 20 µg

Secondary

All lanes:

Western blot - Goat Anti-Rabbit IgG H&L (HRP) (<a href='/en-us/products/secondary-antibodies/goat-rabbit-igg-h-l-hrp-ab97051'>ab97051</a>) at 1/10000 dilution

Observed band size: 192 kDa,250 kDa,124 kDa

false

Western blot - Anti-FAM208A antibody [EPR28577-82] (AB322400)
  • WB

Supplier Data

Western blot - Anti-FAM208A antibody [EPR28577-82] (AB322400)

Blocking and diluting buffer and concentration : 5% NFDM/TBST.

The bands beneath the target band (190 kDa) are likely to be degraded target fragments.

In Western blot, Anti-Vinculin antibody [EPR8185] (ab129002) staining at 1/10000 dilution.

All lanes:

Western blot - Anti-FAM208A antibody [EPR28577-82] (ab322400) at 1/1000 dilution

Lane 1:

HeLa (human cervical adenocarcinoma epithelial cell) transfected with scrambled siRNA control whole cell lysate at 20 µg

Lane 2:

HeLa transfected with siRNA specifically targeting FAM208A whole cell lysate at 20 µg

Lane 3:

K-562 (human chronic myelogenous leukemia lymphoblast) whole cell lysate at 20 µg

Secondary

All lanes:

Western blot - Goat Anti-Rabbit IgG H&L (HRP) (<a href='/en-us/products/secondary-antibodies/goat-rabbit-igg-h-l-hrp-ab97051'>ab97051</a>) at 1/100000 dilution

Observed band size: 190 kDa,250 kDa,124 kDa

false

Exposure time: 92s

  • Carrier free

    Anti-FAM208A antibody [EPR28577-82] - BSA and Azide free

Key facts

Host species

Rabbit

Clonality

Monoclonal

Clone number

EPR28577-82

Isotype

IgG

Carrier free

No

Reacts with

Human

Applications

WB

applications

Immunogen

The exact immunogen used to generate this antibody is proprietary information.

Reactivity data

{ "title": "Reactivity Data", "filters": { "stats": ["", "Species", "Dilution Info", "Notes"], "tabs": { "all-applications": {"fullname" : "All Applications", "shortname": "All Applications"}, "WB" : {"fullname" : "Western blot", "shortname":"WB"}, "IP" : {"fullname" : "Immunoprecipitation", "shortname":"IP"}, "ICCIF" : {"fullname" : "Immunocytochemistry/ Immunofluorescence", "shortname":"ICC/IF"} }, "product-promise": { "all": "all", "testedAndGuaranteed": "tested", "guaranteed": "expected", "predicted": "predicted", "notRecommended": "not-recommended" } }, "values": { "Human": { "WB-species-checked": "testedAndGuaranteed", "WB-species-dilution-info": "1/1000", "WB-species-notes": "<p></p>", "IP-species-checked": "notRecommended", "IP-species-dilution-info": "", "IP-species-notes": "<p></p>", "ICCIF-species-checked": "notRecommended", "ICCIF-species-dilution-info": "", "ICCIF-species-notes": "<p></p>" }, "Mouse": { "WB-species-checked": "notRecommended", "WB-species-dilution-info": "", "WB-species-notes": "<p></p>", "IP-species-checked": "notRecommended", "IP-species-dilution-info": "", "IP-species-notes": "", "ICCIF-species-checked": "notRecommended", "ICCIF-species-dilution-info": "", "ICCIF-species-notes": "" } } }

Product details

Patented technology
Our RabMAb® technology is a patented hybridoma-based technology for making rabbit monoclonal antibodies. For details on our patents, please refer to RabMAb® patents.

What are the advantages of a recombinant monoclonal antibody?
This product is a recombinant monoclonal antibody, which offers several advantages including:

  • - High batch-to-batch consistency and reproducibility
  • - Improved sensitivity and specificity
  • - Long-term security of supply
  • - Animal-free batch production

For more information, read more on recombinant antibodies.

Properties and storage information

Form
Liquid
Purification technique
Affinity purification Protein A
Storage buffer
pH: 7.2 - 7.4 Preservative: 0.01% Sodium azide Constituents: PBS, 40% Glycerol (glycerin, glycerine), 0.05% BSA
Shipped at conditions
Blue Ice
Appropriate short-term storage duration
1-2 weeks
Appropriate short-term storage conditions
+4°C
Appropriate long-term storage conditions
-20°C
Aliquoting information
Upon delivery aliquot
Storage information
Avoid freeze / thaw cycle

Product protocols

For this product, it's our understanding that no specific protocols are required. You can visit:

Target data

Component of the HUSH complex, a multiprotein complex that mediates epigenetic repression (PubMed : 26022416, PubMed : 28581500). The HUSH complex is recruited to genomic loci rich in H3K9me3 and is required to maintain transcriptional silencing by promoting recruitment of SETDB1, a histone methyltransferase that mediates further deposition of H3K9me3, as well as MORC2 (PubMed : 26022416, PubMed : 28581500). Also represses L1 retrotransposons in collaboration with MORC2 and, probably, SETDB1, the silencing is dependent of repressive epigenetic modifications, such as H3K9me3 mark. Silencing events often occur within introns of transcriptionally active genes, and lead to the down-regulation of host gene expression (PubMed : 29211708). The HUSH complex is also involved in the silencing of unintegrated retroviral DNA by being recruited by ZNF638 : some part of the retroviral DNA formed immediately after infection remains unintegrated in the host genome and is transcriptionally repressed (PubMed : 30487602). Plays a crucial role in early embryonic development (By similarity). Involved in the organization of spindle poles and spindle apparatus assembly during zygotic division (By similarity). Plays an important role in maintaining epiblast fitness or potency (By similarity).
See full target information TASOR

Product promise

We are committed to supporting your work with high-quality reagents, and we're here for you every step of the way. In the unlikely event that one of our products does not perform as expected, you're protected by our Product Promise.
For full details, please see our Terms & Conditions

Please note: All products are 'FOR RESEARCH USE ONLY. NOT FOR USE IN DIAGNOSTIC OR THERAPEUTIC PROCEDURES'.

For licensing inquiries, please contact partnerships@abcam.com