JavaScript is disabled in your browser. Please enable JavaScript to view this website.
AB121261

Anti-FAM20B antibody

Be the first to review this product! Submit a review

|

(2 Publications)

Rabbit Polyclonal FAM20B antibody. Suitable for IHC-P, ICC and reacts with Human samples. Cited in 2 publications. Immunogen corresponding to Recombinant Fragment Protein within Human FAM20B aa 250 to C-terminus.

View Alternative Names

KIAA0475, FAM20B, Glycosaminoglycan xylosylkinase, Xylose kinase

5 Images
Immunohistochemistry (Formalin/PFA-fixed paraffin-embedded sections) - Anti-FAM20B antibody (AB121261)
  • IHC-P

Supplier Data

Immunohistochemistry (Formalin/PFA-fixed paraffin-embedded sections) - Anti-FAM20B antibody (AB121261)

Immunohistochemistry (Formalin/PFA-fixed paraffin-embedded sections) analysis of human small intestine tissue labelling FAM20B with ab121261 at 1/200 dilution. Heat mediated antigen retrieval performed with citrate buffer pH 6 before commencing with IHC staining protocol.

Immunohistochemistry (Formalin/PFA-fixed paraffin-embedded sections) - Anti-FAM20B antibody (AB121261)
  • IHC-P

Supplier Data

Immunohistochemistry (Formalin/PFA-fixed paraffin-embedded sections) - Anti-FAM20B antibody (AB121261)

Immunohistochemistry (Formalin/PFA-fixed paraffin-embedded sections) analysis of human cerebellum tissue labelling FAM20B with ab121261 at 1/200 dilution. Heat mediated antigen retrieval performed with citrate buffer pH 6 before commencing with IHC staining protocol.

Immunohistochemistry (Formalin/PFA-fixed paraffin-embedded sections) - Anti-FAM20B antibody (AB121261)
  • IHC-P

Supplier Data

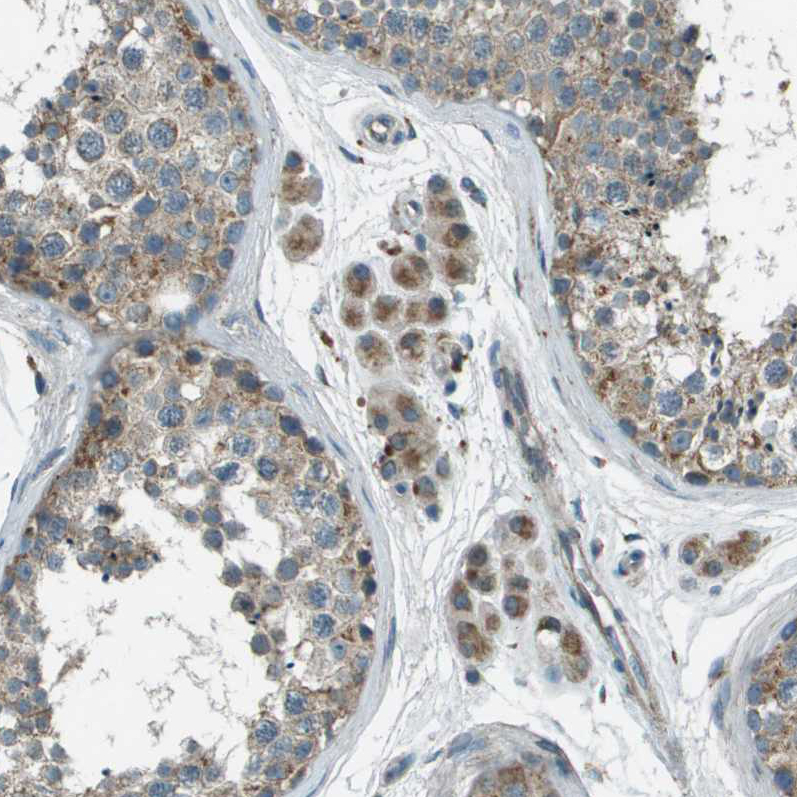
Immunohistochemistry (Formalin/PFA-fixed paraffin-embedded sections) - Anti-FAM20B antibody (AB121261)

Immunohistochemistry (Formalin/PFA-fixed paraffin-embedded sections) analysis of human testis tissue labelling FAM20B with ab121261 at 1/200 dilution. Heat mediated antigen retrieval performed with citrate buffer pH 6 before commencing with IHC staining protocol.

Immunohistochemistry (Formalin/PFA-fixed paraffin-embedded sections) - Anti-FAM20B antibody (AB121261)
  • IHC-P

Supplier Data

Immunohistochemistry (Formalin/PFA-fixed paraffin-embedded sections) - Anti-FAM20B antibody (AB121261)

Immunohistochemistry (Formalin/PFA-fixed paraffin-embedded sections) analysis of human kidney tissue labelling FAM20B with ab121261 at 1/200 dilution. Heat mediated antigen retrieval performed with citrate buffer pH 6 before commencing with IHC staining protocol.

Immunocytochemistry - Anti-FAM20B antibody (AB121261)
  • ICC

Supplier Data

Immunocytochemistry - Anti-FAM20B antibody (AB121261)

Immunocytochemistry analysis of SH-SY5Y cells labelling FAM20B with ab121261 shows positivity in the Golgi apparatus & nucleus but excluded from the nucleoli.

Key facts

Host species

Rabbit

Clonality

Polyclonal

Isotype

IgG

Carrier free

No

Reacts with

Human

Applications

ICC, IHC-P

applications

Immunogen

Recombinant Fragment Protein within Human FAM20B aa 250 to C-terminus. The exact immunogen used to generate this antibody is proprietary information.

O75063

Reactivity data

{ "title": "Reactivity Data", "filters": { "stats": ["", "Species", "Dilution Info", "Notes"], "tabs": { "all-applications": {"fullname" : "All Applications", "shortname": "All Applications"}, "IHCP" : {"fullname" : "Immunohistochemistry (Formalin/PFA-fixed paraffin-embedded sections)", "shortname":"IHC-P"}, "ICC" : {"fullname" : "Immunocytochemistry", "shortname":"ICC"} }, "product-promise": { "all": "all", "testedAndGuaranteed": "tested", "guaranteed": "expected", "predicted": "predicted", "notRecommended": "not-recommended" } }, "values": { "Human": { "IHCP-species-checked": "testedAndGuaranteed", "IHCP-species-dilution-info": "1/200 - 1/500", "IHCP-species-notes": "<p>Perform Heat Induced Epitope Retrieval (HIER) at pH 6 using a pressure boiler as heat source.</p> Perform heat-mediated antigen retrieval with citrate buffer pH 6 before commencing with IHC staining protocol.", "ICC-species-checked": "testedAndGuaranteed", "ICC-species-dilution-info": "", "ICC-species-notes": "<p>Fixation/Permeabilization: PFA/Triton X-100</p>" } } }

Properties and storage information

Form
Liquid
Purification technique
Affinity purification Immunogen
Storage buffer
pH: 7.2 Preservative: 0.02% Sodium azide Constituents: PBS, 40% Glycerol (glycerin, glycerine)
Shipped at conditions
Blue Ice
Appropriate short-term storage conditions
+4°C
Appropriate long-term storage conditions
-20°C
Aliquoting information
Upon delivery aliquot
Storage information
Avoid freeze / thaw cycle

Product protocols

For this product, it's our understanding that no specific protocols are required. You can visit:

Target data

Responsible for the 2-O-phosphorylation of xylose in the glycosaminoglycan-protein linkage region of proteoglycans thereby regulating the amount of mature GAG chains. Sulfated glycosaminoglycans (GAGs), including heparan sulfate and chondroitin sulfate, are synthesized on the so-called common GAG-protein linkage region (GlcUAbeta1-3Galbeta1-3Galbeta1-4Xylbeta1-O-Ser) of core proteins, which is formed by the stepwise addition of monosaccharide residues by the respective specific glycosyltransferases. Xylose 2-O-phosphorylation may influence the catalytic activity of B3GAT3 (GlcAT-I) which completes the precursor tetrasaccharide of GAG-protein linkage regions on which the repeating disaccharide region is synthesized.
See full target information FAM20B

Publications (2)

Recent publications for all applications. Explore the full list and refine your search

Communications biology 6:85 PubMed36690709

2023

Single-cell profiling reveals differences between human classical adenocarcinoma and mucinous adenocarcinoma.

Applications

Unspecified application

Species

Unspecified reactive species

Fang-Jie Hu,Ying-Jie Li,Li Zhang,Deng-Bo Ji,Xin-Zhi Liu,Yong-Jiu Chen,Lin Wang,Ai-Wen Wu

Cartilage 13:818S-828S PubMed32517548

2020

Altered Expression of Aggrecan, FAM20B, B3GALT6, and EXTL2 in Patients with Osteoarthritis and Kashin-Beck Disease.

Applications

Unspecified application

Species

Unspecified reactive species

Jian Lei,Huan Deng,Yan Ran,Yizhen Lv,Abebe Feyissa Amhare,Liyun Wang,Xiong Guo,Jing Han,Mikko J Lammi
View all publications

Product promise

We are committed to supporting your work with high-quality reagents, and we're here for you every step of the way. In the unlikely event that one of our products does not perform as expected, you're protected by our Product Promise.
For full details, please see our Terms & Conditions

Please note: All products are 'FOR RESEARCH USE ONLY. NOT FOR USE IN DIAGNOSTIC OR THERAPEUTIC PROCEDURES'.

For licensing inquiries, please contact partnerships@abcam.com