JavaScript is disabled in your browser. Please enable JavaScript to view this website.
AB151147

Anti-FAM222B antibody

Be the first to review this product! Submit a review

|

(1 Publication)

Rabbit Polyclonal FAM222B antibody. Suitable for IHC-P, WB, ICC/IF and reacts with Human samples. Cited in 1 publication. Immunogen corresponding to Recombinant Fragment Protein within Human FAM222B aa 100-200.

View Alternative Names

C17orf63, FAM222B, Protein FAM222B

3 Images
Western blot - Anti-FAM222B antibody (AB151147)
  • WB

Unknown

Western blot - Anti-FAM222B antibody (AB151147)

All lanes:

Western blot - Anti-FAM222B antibody (ab151147) at 1/250 dilution

Lane 1:

RT-4 cell lysate

Lane 2:

U-251 MG cell lysate

Lane 3:

Human Plasma lysate

Lane 4:

Human liver lysate

Lane 5:

Human Tonsil lysate

Predicted band size: 60 kDa

false

Immunocytochemistry/ Immunofluorescence - Anti-FAM222B antibody (AB151147)
  • ICC/IF

Unknown

Immunocytochemistry/ Immunofluorescence - Anti-FAM222B antibody (AB151147)

Immunofluorescent staining of human cell line CACO-2 shows positivity in nucleus but excluded from the nucleoli.

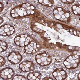
Immunohistochemistry (Formalin/PFA-fixed paraffin-embedded sections) - Anti-FAM222B antibody (AB151147)
  • IHC-P

Unknown

Immunohistochemistry (Formalin/PFA-fixed paraffin-embedded sections) - Anti-FAM222B antibody (AB151147)

Immunohistochemical analysis of paraffin embedded Human rectum tissue labelling FAM222B with ab151147 antibody at a dilution of 1/50.

Key facts

Host species

Rabbit

Clonality

Polyclonal

Isotype

IgG

Carrier free

No

Reacts with

Human

Applications

WB, IHC-P, ICC/IF

applications

Immunogen

Recombinant Fragment Protein within Human FAM222B aa 100-200. The exact immunogen used to generate this antibody is proprietary information.

Q8WU58

Reactivity data

{ "title": "Reactivity Data", "filters": { "stats": ["", "Species", "Dilution Info", "Notes"], "tabs": { "all-applications": {"fullname" : "All Applications", "shortname": "All Applications"}, "IHCP" : {"fullname" : "Immunohistochemistry (Formalin/PFA-fixed paraffin-embedded sections)", "shortname":"IHC-P"}, "WB" : {"fullname" : "Western blot", "shortname":"WB"}, "ICCIF" : {"fullname" : "Immunocytochemistry/ Immunofluorescence", "shortname":"ICC/IF"} }, "product-promise": { "all": "all", "testedAndGuaranteed": "tested", "guaranteed": "expected", "predicted": "predicted", "notRecommended": "not-recommended" } }, "values": { "Human": { "IHCP-species-checked": "testedAndGuaranteed", "IHCP-species-dilution-info": "1/50 - 1/200", "IHCP-species-notes": "<p></p> Perform heat-mediated antigen retrieval with citrate buffer pH 6 before commencing with IHC staining protocol.", "WB-species-checked": "testedAndGuaranteed", "WB-species-dilution-info": "0.04-0.4 µg/mL", "WB-species-notes": "<p></p>", "ICCIF-species-checked": "testedAndGuaranteed", "ICCIF-species-dilution-info": "0.25-2 µg/mL", "ICCIF-species-notes": "<p></p>" } } }

Product details

The antibody solution should be gently mixed before use.

Properties and storage information

Form
Liquid
Purification technique
Affinity purification Immunogen
Storage buffer
pH: 7.2 Preservative: 0.02% Sodium azide Constituents: PBS, 40% Glycerol (glycerin, glycerine)
Shipped at conditions
Blue Ice
Appropriate short-term storage conditions
+4°C
Appropriate long-term storage conditions
-20°C
Aliquoting information
Upon delivery aliquot
Storage information
Avoid freeze / thaw cycle

Product protocols

For this product, it's our understanding that no specific protocols are required. You can visit:

Publications (1)

Recent publications for all applications. Explore the full list and refine your search

Frontiers in oncology 11:681366 PubMed34136404

2021

N-Myristoylation by NMT1 Is POTEE-Dependent to Stimulate Liver Tumorigenesis Differentially Regulating Ubiquitination of Targets.

Applications

Unspecified application

Species

Unspecified reactive species

Guoqing Zhu,Feng Wang,Haojie Li,Xiao Zhang,Qi Wu,Ya Liu,Mingping Qian,Susu Guo,Yueyue Yang,Xiangfei Xue,Fenyong Sun,Yongxia Qiao,Qiuhui Pan
View all publications

Product promise

We are committed to supporting your work with high-quality reagents, and we're here for you every step of the way. In the unlikely event that one of our products does not perform as expected, you're protected by our Product Promise.
For full details, please see our Terms & Conditions

Please note: All products are 'FOR RESEARCH USE ONLY. NOT FOR USE IN DIAGNOSTIC OR THERAPEUTIC PROCEDURES'.

For licensing inquiries, please contact partnerships@abcam.com