JavaScript is disabled in your browser. Please enable JavaScript to view this website.
AB185298

Anti-FAM32A/OTAG12 antibody

Be the first to review this product! Submit a review

|

(0 Publication)

Rabbit Polyclonal FAM32A/OTAG12 antibody. Suitable for IHC-P, ICC, WB and reacts with Human samples. Immunogen corresponding to Recombinant Fragment Protein within Human FAM32A aa 50 to C-terminus.

View Alternative Names

OTAG12, CGI-144, FAM32A, Protein FAM32A, Ovarian tumor-associated gene 12, OTAG-12

5 Images
Immunocytochemistry - Anti-FAM32A/OTAG12 antibody (AB185298)
  • ICC

Supplier Data

Immunocytochemistry - Anti-FAM32A/OTAG12 antibody (AB185298)

Immunofluorescent analysis of paraformaldehyde-fixed, Triton X-100-permeabilized A431 cells labeling FAM32A/OTAG12 with ab185298 at 4 μg/ml.

Immunohistochemistry (Formalin/PFA-fixed paraffin-embedded sections) - Anti-FAM32A/OTAG12 antibody (AB185298)
  • IHC-P

Supplier Data

Immunohistochemistry (Formalin/PFA-fixed paraffin-embedded sections) - Anti-FAM32A/OTAG12 antibody (AB185298)

Immunohistochemical analysis of paraffin-embedded Human small intestine tissue labeling FAM32A/OTAG12 with ab185298 at 1/200 dilution.

Western blot - Anti-FAM32A/OTAG12 antibody (AB185298)
  • WB

Supplier Data

Western blot - Anti-FAM32A/OTAG12 antibody (AB185298)

All lanes:

Western blot - Anti-FAM32A/OTAG12 antibody (ab185298) at 0.4 µg/mL

All lanes:

PC-3 (human prostate adenocarcinoma cell line) cell lysate

Predicted band size: 13 kDa

false

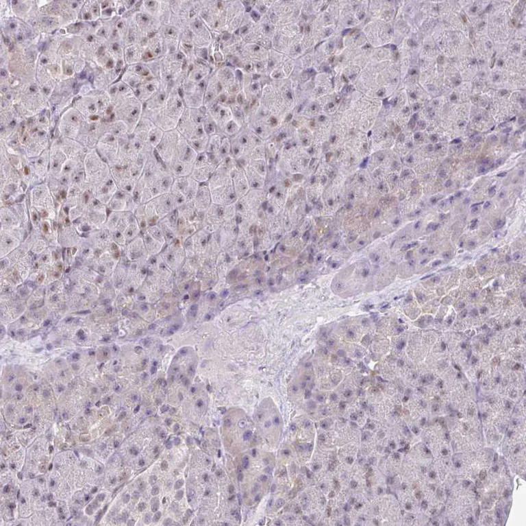
Immunohistochemistry (Formalin/PFA-fixed paraffin-embedded sections) - Anti-FAM32A/OTAG12 antibody (AB185298)
  • IHC-P

Supplier Data

Immunohistochemistry (Formalin/PFA-fixed paraffin-embedded sections) - Anti-FAM32A/OTAG12 antibody (AB185298)

Immunohistochemical analysis of paraffin-embedded human pancreas tissue labelling FAM32A/OTAG12 with ab185298 at 1/200 dilution.

Immunohistochemistry (Formalin/PFA-fixed paraffin-embedded sections) - Anti-FAM32A/OTAG12 antibody (AB185298)
  • IHC-P

Supplier Data

Immunohistochemistry (Formalin/PFA-fixed paraffin-embedded sections) - Anti-FAM32A/OTAG12 antibody (AB185298)

Immunohistochemical analysis of paraffin-embedded human skin tissue labelling FAM32A/OTAG12 with ab185298 at 1/200 dilution.

Key facts

Host species

Rabbit

Clonality

Polyclonal

Isotype

IgG

Carrier free

No

Reacts with

Human

Applications

WB, ICC, IHC-P

applications

Immunogen

Recombinant Fragment Protein within Human FAM32A aa 50 to C-terminus. The exact immunogen used to generate this antibody is proprietary information.

Q9Y421

Reactivity data

{ "title": "Reactivity Data", "filters": { "stats": ["", "Species", "Dilution Info", "Notes"], "tabs": { "all-applications": {"fullname" : "All Applications", "shortname": "All Applications"}, "IHCP" : {"fullname" : "Immunohistochemistry (Formalin/PFA-fixed paraffin-embedded sections)", "shortname":"IHC-P"}, "ICC" : {"fullname" : "Immunocytochemistry", "shortname":"ICC"}, "WB" : {"fullname" : "Western blot", "shortname":"WB"} }, "product-promise": { "all": "all", "testedAndGuaranteed": "tested", "guaranteed": "expected", "predicted": "predicted", "notRecommended": "not-recommended" } }, "values": { "Human": { "IHCP-species-checked": "testedAndGuaranteed", "IHCP-species-dilution-info": "1/200.00000 - 1/500.00000", "IHCP-species-notes": "<p></p> Perform heat-mediated antigen retrieval with citrate buffer pH 6 before commencing with IHC staining protocol.", "ICC-species-checked": "testedAndGuaranteed", "ICC-species-dilution-info": "0.25000-2.00000 µg/mL", "ICC-species-notes": "<p></p>", "WB-species-checked": "testedAndGuaranteed", "WB-species-dilution-info": "0.04000-0.40000 µg/mL", "WB-species-notes": "<p></p>" }, "Mouse": { "IHCP-species-checked": "predicted", "IHCP-species-dilution-info": "", "IHCP-species-notes": "", "ICC-species-checked": "predicted", "ICC-species-dilution-info": "", "ICC-species-notes": "", "WB-species-checked": "predicted", "WB-species-dilution-info": "", "WB-species-notes": "" }, "Rat": { "IHCP-species-checked": "predicted", "IHCP-species-dilution-info": "", "IHCP-species-notes": "", "ICC-species-checked": "predicted", "ICC-species-dilution-info": "", "ICC-species-notes": "", "WB-species-checked": "predicted", "WB-species-dilution-info": "", "WB-species-notes": "" } } }

Properties and storage information

Form
Liquid
Purification technique
Affinity purification Immunogen
Storage buffer
pH: 7.2 Preservative: 0.02% Sodium azide Constituents: 59% PBS, 40% Glycerol (glycerin, glycerine)
Shipped at conditions
Blue Ice
Appropriate short-term storage duration
1-2 weeks
Appropriate short-term storage conditions
+4°C
Appropriate long-term storage conditions
-20°C
Aliquoting information
Upon delivery aliquot
Storage information
Avoid freeze / thaw cycle

Product protocols

For this product, it's our understanding that no specific protocols are required. You can visit:

Target data

Isoform 1, but not isoform 2 or isoform 3, may induce G2 arrest and apoptosis. May also increase cell sensitivity to apoptotic stimuli.
See full target information FAM32A

Product promise

We are committed to supporting your work with high-quality reagents, and we're here for you every step of the way. In the unlikely event that one of our products does not perform as expected, you're protected by our Product Promise.
For full details, please see our Terms & Conditions

Please note: All products are 'FOR RESEARCH USE ONLY. NOT FOR USE IN DIAGNOSTIC OR THERAPEUTIC PROCEDURES'.

For licensing inquiries, please contact partnerships@abcam.com