JavaScript is disabled in your browser. Please enable JavaScript to view this website.
AB250873

Anti-FAM50A/XAP5 antibody [EPR12816] - BSA and Azide free

Be the first to review this product! Submit a review

|

(0 Publication)

Rabbit Recombinant Monoclonal FAM50A/XAP5 antibody. Carrier free. Suitable for ICC/IF, WB, IHC-P and reacts with Human, Rat, Mouse samples.

View Alternative Names

DXS9928E, HXC26, XAP5, FAM50A, Protein FAM50A, Protein HXC-26, Protein XAP-5

4 Images
Western blot - Anti-FAM50A/XAP5 antibody [EPR12816] - BSA and Azide free (AB250873)
  • WB

Supplier Data

Western blot - Anti-FAM50A/XAP5 antibody [EPR12816] - BSA and Azide free (AB250873)

This data was developed using ab186410, the same antibody clone in a different buffer formulation.

All lanes:

Western blot - Anti-FAM50A/XAP5 antibody [EPR12816] (<a href='/en-us/products/primary-antibodies/fam50a-xap5-antibody-epr12816-ab186410'>ab186410</a>) at 1/10000 dilution

Lane 1:

Jurkat cell lysate at 20 µg

Lane 2:

Hela cell lysate at 20 µg

Lane 3:

293 cell lysate at 20 µg

Lane 4:

HepG2 cell lysate at 20 µg

Secondary

All lanes:

Goat Anti-Rabbit IgG, (H+L), Peroxidase conjugated at 1/1000 dilution

Predicted band size: 40 kDa

false

Western blot - Anti-FAM50A/XAP5 antibody [EPR12816] - BSA and Azide free (AB250873)
  • WB

Supplier Data

Western blot - Anti-FAM50A/XAP5 antibody [EPR12816] - BSA and Azide free (AB250873)

This data was developed using ab186410, the same antibody clone in a different buffer formulation.

All lanes:

Western blot - Anti-FAM50A/XAP5 antibody [EPR12816] (<a href='/en-us/products/primary-antibodies/fam50a-xap5-antibody-epr12816-ab186410'>ab186410</a>) at 1/1000 dilution

Lane 1:

C6 cell lysate at 10 µg

Lane 2:

RAW 264.7 cell lysate at 10 µg

Lane 3:

PC-12 cell lysate at 10 µg

Lane 4:

NIH/3T3 cell lysate at 10 µg

Secondary

All lanes:

Goat Anti-Rabbit IgG, (H+L), Peroxidase conjugated at 1/1000 dilution

Predicted band size: 40 kDa

false

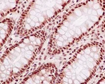
Immunohistochemistry (Formalin/PFA-fixed paraffin-embedded sections) - Anti-FAM50A/XAP5 antibody [EPR12816] - BSA and Azide free (AB250873)
  • IHC-P

Supplier Data

Immunohistochemistry (Formalin/PFA-fixed paraffin-embedded sections) - Anti-FAM50A/XAP5 antibody [EPR12816] - BSA and Azide free (AB250873)

This data was developed using ab186410, the same antibody clone in a different buffer formulation.

Immunohistochemical analysis of paraffin-embedded Human colon tissue labeling FAM50A/XAP5 with ab186410 at 1/500 and ready to use HRP Polymer for Rabbit IgG. Counterstained with Hematoxylin.

Perform heat mediated antigen retrieval with EDTA buffer pH 9 before commencing with IHC staining protocol.

Immunocytochemistry/ Immunofluorescence - Anti-FAM50A/XAP5 antibody [EPR12816] - BSA and Azide free (AB250873)
  • ICC/IF

Supplier Data

Immunocytochemistry/ Immunofluorescence - Anti-FAM50A/XAP5 antibody [EPR12816] - BSA and Azide free (AB250873)

This data was developed using ab186410, the same antibody clone in a different buffer formulation.

Immunocytochemical analysis of Hela cells fixed in 4% paraformaldehyde labling FAM50A/XAP5 with ab186410 at 1/500 dilution and Goat anti rabbit IgG(Alexa Fluor® 555) at 1/200 dilution.

Key facts

Host species

Rabbit

Clonality

Monoclonal

Clone number

EPR12816

Isotype

IgG

Carrier free

Yes

Reacts with

Mouse, Rat, Human

Applications

ICC/IF, WB, IHC-P

applications

Immunogen

The exact immunogen used to generate this antibody is proprietary information.

Reactivity data

{ "title": "Reactivity Data", "filters": { "stats": ["", "Species", "Dilution Info", "Notes"], "tabs": { "all-applications": {"fullname" : "All Applications", "shortname": "All Applications"}, "ICCIF" : {"fullname" : "Immunocytochemistry/ Immunofluorescence", "shortname":"ICC/IF"}, "WB" : {"fullname" : "Western blot", "shortname":"WB"}, "IHCP" : {"fullname" : "Immunohistochemistry (Formalin/PFA-fixed paraffin-embedded sections)", "shortname":"IHC-P"} }, "product-promise": { "all": "all", "testedAndGuaranteed": "tested", "guaranteed": "expected", "predicted": "predicted", "notRecommended": "not-recommended" } }, "values": { "Human": { "ICCIF-species-checked": "testedAndGuaranteed", "ICCIF-species-dilution-info": "", "ICCIF-species-notes": "<p></p> Perform heat-mediated antigen retrieval with Tris/EDTA buffer pH 9.0 before commencing with IHC staining protocol.", "WB-species-checked": "testedAndGuaranteed", "WB-species-dilution-info": "", "WB-species-notes": "<p></p>", "IHCP-species-checked": "testedAndGuaranteed", "IHCP-species-dilution-info": "", "IHCP-species-notes": "<p></p> Perform heat-mediated antigen retrieval with Tris/EDTA buffer pH 9.0 before commencing with IHC staining protocol." }, "Mouse": { "ICCIF-species-checked": "guaranteed", "ICCIF-species-dilution-info": "", "ICCIF-species-notes": "", "WB-species-checked": "testedAndGuaranteed", "WB-species-dilution-info": "", "WB-species-notes": "<p></p>", "IHCP-species-checked": "guaranteed", "IHCP-species-dilution-info": "", "IHCP-species-notes": "" }, "Rat": { "ICCIF-species-checked": "guaranteed", "ICCIF-species-dilution-info": "", "ICCIF-species-notes": "", "WB-species-checked": "testedAndGuaranteed", "WB-species-dilution-info": "", "WB-species-notes": "<p></p>", "IHCP-species-checked": "guaranteed", "IHCP-species-dilution-info": "", "IHCP-species-notes": "" } } }

Product details

ab250873 is the carrier-free version of ab186410.

Patented technology
Our RabMAb® technology is a patented hybridoma-based technology for making rabbit monoclonal antibodies. For details on our patents, please refer to RabMAb® patents.

What are the advantages of a recombinant monoclonal antibody?
This product is a recombinant monoclonal antibody, which offers several advantages including:

  • - High batch-to-batch consistency and reproducibility
  • - Improved sensitivity and specificity
  • - Long-term security of supply
  • - Animal-free batch production

For more information, read more on recombinant antibodies.

Conjugation ready
Our carrier-free antibodies are typically supplied in a PBS-only formulation, purified and free of BSA, sodium azide and glycerol. This conjugation-ready format is designed for use with fluorochromes, metal isotopes, oligonucleotides, and enzymes, which makes them ideal for antibody labelling, functional and cell-based assays, flow-based assays (e.g. mass cytometry) and Multiplex Imaging applications.

Use our conjugation kits for antibody conjugates that are ready-to-use in as little as 20 minutes with 1 minute hands-on-time and 100% antibody recovery: available for fluorescent dyes, HRP, biotin and gold.

Compatibility
This product is compatible with the Maxpar® Antibody Labeling Kit from Fluidigm, without the need for antibody preparation. Maxpar® is a trademark of Fluidigm Canada Inc.

Properties and storage information

Form
Liquid
Purification technique
Affinity purification Protein A
Storage buffer
pH: 7.2 - 7.4 Constituents: PBS
Shipped at conditions
Blue Ice
Appropriate short-term storage conditions
+4°C
Appropriate long-term storage conditions
+4°C
Storage information
Do Not Freeze

Product protocols

For this product, it's our understanding that no specific protocols are required. You can visit:

Target data

Probably involved in the regulation of pre-mRNA splicing.
See full target information FAM50A

Product promise

We are committed to supporting your work with high-quality reagents, and we're here for you every step of the way. In the unlikely event that one of our products does not perform as expected, you're protected by our Product Promise.
For full details, please see our Terms & Conditions

Please note: All products are 'FOR RESEARCH USE ONLY. NOT FOR USE IN DIAGNOSTIC OR THERAPEUTIC PROCEDURES'.

For licensing inquiries, please contact partnerships@abcam.com