JavaScript is disabled in your browser. Please enable JavaScript to view this website.
AB243941

Anti-FANCB antibody [EPR15513] - BSA and Azide free

Be the first to review this product! Submit a review

|

(1 Publication)

Rabbit Recombinant Monoclonal FANCB antibody. Carrier free. Suitable for IP, WB, Flow Cyt (Intra), IHC-P and reacts with Human samples. Cited in 1 publication.

View Alternative Names

Fanconi anemia group B protein, Protein FACB, Fanconi anemia-associated polypeptide of 95 kDa, FAAP95, FANCB

3 Images
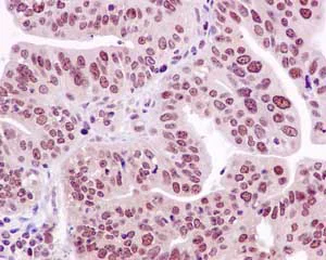
Immunohistochemistry (Formalin/PFA-fixed paraffin-embedded sections) - Anti-FANCB antibody [EPR15513] - BSA and Azide free (AB243941)
  • IHC-P

Supplier Data

Immunohistochemistry (Formalin/PFA-fixed paraffin-embedded sections) - Anti-FANCB antibody [EPR15513] - BSA and Azide free (AB243941)

Immunohistochemical analysis of paraffin-embedded Human endometrial adenocarcinoma tissue labeling FANCB with ab186729 at 1/500 dilution. A Ready to use HRP Polymer for Rabbit IgG (prediluted) was used as secondary. Counter stained with Hematoxylin.

This data was developed using the same antibody clone in a different buffer formulation containing PBS, BSA, glycerol, and sodium azide (ab186729)

Perform heat mediated antigen retrieval with EDTA buffer pH 9 before commencing with IHC staining protocol.

Flow Cytometry (Intracellular) - Anti-FANCB antibody [EPR15513] - BSA and Azide free (AB243941)
  • Flow Cyt (Intra)

Supplier Data

Flow Cytometry (Intracellular) - Anti-FANCB antibody [EPR15513] - BSA and Azide free (AB243941)

Intracellular flow cytometric analysis of 2% paraformaldehyde-fixed 293 cells labeling FANCB with ab186729 at 1/120 dilution, compared to a Rabbit monclonal IgG isotype control. A Goat anti rabbit IgG (FITC) at 1/150 dilution was used as secondary antibody.

This data was developed using the same antibody clone in a different buffer formulation containing PBS, BSA, glycerol, and sodium azide (ab186729)

Immunoprecipitation - Anti-FANCB antibody [EPR15513] - BSA and Azide free (AB243941)
  • IP

Supplier Data

Immunoprecipitation - Anti-FANCB antibody [EPR15513] - BSA and Azide free (AB243941)

Western blot analysis of FANCB in 293T cell lysate immunoprecipitated with ab186729 at 1/50 dilution

Secondary antibody : Goat Anti-Rabbit IgG, (H+L), Peroxidase conjugate at 1/1000 dilution.

This data was developed using the same antibody clone in a different buffer formulation containing PBS, BSA, glycerol, and sodium azide (ab186729)

All lanes:

Immunoprecipitation - Anti-FANCB antibody [EPR15513] (<a href='/en-us/products/primary-antibodies/fancb-antibody-epr15513-ab186729'>ab186729</a>)

Predicted band size: 98 kDa

false

Key facts

Host species

Rabbit

Clonality

Monoclonal

Clone number

EPR15513

Isotype

IgG

Carrier free

Yes

Reacts with

Human

Applications

IP, WB, Flow Cyt (Intra), IHC-P

applications

Immunogen

The exact immunogen used to generate this antibody is proprietary information.

Reactivity data

{ "title": "Reactivity Data", "filters": { "stats": ["", "Species", "Dilution Info", "Notes"], "tabs": { "all-applications": {"fullname" : "All Applications", "shortname": "All Applications"}, "IP" : {"fullname" : "Immunoprecipitation", "shortname":"IP"}, "WB" : {"fullname" : "Western blot", "shortname":"WB"}, "FlowCytIntra" : {"fullname" : "Flow Cytometry (Intracellular)", "shortname":"Flow Cyt (Intra)"}, "IHCP" : {"fullname" : "Immunohistochemistry (Formalin/PFA-fixed paraffin-embedded sections)", "shortname":"IHC-P"} }, "product-promise": { "all": "all", "testedAndGuaranteed": "tested", "guaranteed": "expected", "predicted": "predicted", "notRecommended": "not-recommended" } }, "values": { "Human": { "IP-species-checked": "testedAndGuaranteed", "IP-species-dilution-info": "", "IP-species-notes": "<p></p>", "WB-species-checked": "guaranteed", "WB-species-dilution-info": "", "WB-species-notes": "<p></p>", "FlowCytIntra-species-checked": "testedAndGuaranteed", "FlowCytIntra-species-dilution-info": "", "FlowCytIntra-species-notes": "<p><a href='/en-us/products/primary-antibodies/rabbit-igg-monoclonal-epr25a-isotype-control-ab172730'>ab172730</a> - Rabbit monoclonal IgG, is suitable for use as an isotype control with this antibody.</p>", "IHCP-species-checked": "testedAndGuaranteed", "IHCP-species-dilution-info": "", "IHCP-species-notes": "<p></p>" }, "Mouse": { "IP-species-checked": "notRecommended", "IP-species-dilution-info": "", "IP-species-notes": "", "WB-species-checked": "notRecommended", "WB-species-dilution-info": "", "WB-species-notes": "<p></p>", "FlowCytIntra-species-checked": "notRecommended", "FlowCytIntra-species-dilution-info": "", "FlowCytIntra-species-notes": "", "IHCP-species-checked": "notRecommended", "IHCP-species-dilution-info": "", "IHCP-species-notes": "" }, "Rat": { "IP-species-checked": "notRecommended", "IP-species-dilution-info": "", "IP-species-notes": "", "WB-species-checked": "notRecommended", "WB-species-dilution-info": "", "WB-species-notes": "<p></p>", "FlowCytIntra-species-checked": "notRecommended", "FlowCytIntra-species-dilution-info": "", "FlowCytIntra-species-notes": "", "IHCP-species-checked": "notRecommended", "IHCP-species-dilution-info": "", "IHCP-species-notes": "" } } }

Product details

ab243941 is the carrier-free version of ab186729.

Patented technology
Our RabMAb® technology is a patented hybridoma-based technology for making rabbit monoclonal antibodies. For details on our patents, please refer to RabMAb® patents.

What are the advantages of a recombinant monoclonal antibody?
This product is a recombinant monoclonal antibody, which offers several advantages including:

  • - High batch-to-batch consistency and reproducibility
  • - Improved sensitivity and specificity
  • - Long-term security of supply
  • - Animal-free batch production

For more information, read more on recombinant antibodies.

Conjugation ready
Our carrier-free antibodies are typically supplied in a PBS-only formulation, purified and free of BSA, sodium azide and glycerol. This conjugation-ready format is designed for use with fluorochromes, metal isotopes, oligonucleotides, and enzymes, which makes them ideal for antibody labelling, functional and cell-based assays, flow-based assays (e.g. mass cytometry) and Multiplex Imaging applications.

Use our conjugation kits for antibody conjugates that are ready-to-use in as little as 20 minutes with 1 minute hands-on-time and 100% antibody recovery: available for fluorescent dyes, HRP, biotin and gold.

Compatibility
This product is compatible with the Maxpar® Antibody Labeling Kit from Fluidigm, without the need for antibody preparation. Maxpar® is a trademark of Fluidigm Canada Inc.

Properties and storage information

Form
Liquid
Purification technique
Affinity purification Protein A
Storage buffer
pH: 7.2 - 7.4 Constituents: PBS
Shipped at conditions
Blue Ice
Appropriate short-term storage conditions
+4°C
Appropriate long-term storage conditions
+4°C
Storage information
Do Not Freeze

Supplementary information

This supplementary information is collated from multiple sources and compiled automatically.

FANCB also known as Fanconi anemia group B protein plays an important role in the DNA repair mechanism. This target is part of the Fanconi anemia (FA) protein family and is approximately 101 kDa in mass. FANCB is expressed in various tissues but has a higher presence in those with rapidly dividing cells such as bone marrow and fetal liver. This protein maintains structural stability during DNA replication and repair by performing its mechanical function.
Biological function summary

FANCB interacts with other proteins as part of the FA core complex which includes eight other FA proteins. It facilitates the repair of interstrand DNA crosslinks a critical aspect of maintaining genomic integrity. FANCB contributes to the activation and monoubiquitination of FANCD2 and FANCI forming DNA repair foci necessary for correcting DNA damage. These actions highlight its integral role in genomic stability and stress response.

Pathways

The FANCB protein is part of the Fanconi anemia pathway which coordinates cellular responses to DNA damage. This pathway involves other proteins such as FANCA and FANCC which work together to initiate repair processes. Additionally FANCB contributes to the homologous recombination repair pathway by interacting with proteins like BRCA1 and RAD51 essential for repairing double-strand breaks in DNA providing a backup mechanism when routine repair mechanisms are stressed.

FANCB mutations can lead to Fanconi anemia a rare genetic disorder characterized by bone marrow failure and increased cancer risk. This protein along with FANCA and FANCJ influences the progression and severity of this condition. Moreover FANCB mutations have connections to certain cancers as they may contribute to genetic instability driving uncontrolled cell growth. These associations highlight the importance of understanding FANCB function to develop therapies targeting related diseases.

Product protocols

For this product, it's our understanding that no specific protocols are required. You can visit:

Target data

DNA repair protein required for FANCD2 ubiquitination.
See full target information Fanconi anemia group B protein

Publications (1)

Recent publications for all applications. Explore the full list and refine your search

Journal of hematology & oncology 12:106 PubMed31640756

2019

MAGE-A1 in lung adenocarcinoma as a promising target of chimeric antigen receptor T cells.

Applications

Unspecified application

Species

Unspecified reactive species

Yuan Mao,Weifei Fan,Hao Hu,Louqian Zhang,Jerod Michel,Yaqin Wu,Jun Wang,Lizhou Jia,Xiaojun Tang,Li Xu,Yan Chen,Jin Zhu,Zhenqing Feng,Lin Xu,Rong Yin,Qi Tang
View all publications

Product promise

We are committed to supporting your work with high-quality reagents, and we're here for you every step of the way. In the unlikely event that one of our products does not perform as expected, you're protected by our Product Promise.
For full details, please see our Terms & Conditions

Please note: All products are 'FOR RESEARCH USE ONLY. NOT FOR USE IN DIAGNOSTIC OR THERAPEUTIC PROCEDURES'.

For licensing inquiries, please contact partnerships@abcam.com