JavaScript is disabled in your browser. Please enable JavaScript to view this website.
AB245347

Anti-FANCD2 antibody

Be the first to review this product! Submit a review

|

(0 Publication)

Rabbit Polyclonal FANCD2 antibody. Suitable for IHC-P, IP, WB and reacts with Human samples. Immunogen corresponding to Synthetic Peptide within Human FANCD2 aa 1400 to C-terminus.

View Alternative Names

FACD, FANCD2, Fanconi anemia group D2 protein, Protein FACD2

3 Images
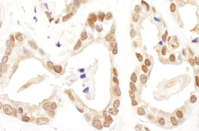
Immunohistochemistry (Formalin/PFA-fixed paraffin-embedded sections) - Anti-FANCD2 antibody (AB245347)
  • IHC-P

Supplier Data

Immunohistochemistry (Formalin/PFA-fixed paraffin-embedded sections) - Anti-FANCD2 antibody (AB245347)

Formalin-fixed, paraffin-embedded human prostate carcinoma tissue stained for FANCD2 with ab245347 at a 1/200 dilution in immunohistochemical analysis. DAB staining.

Western blot - Anti-FANCD2 antibody (AB245347)
  • WB

Supplier Data

Western blot - Anti-FANCD2 antibody (AB245347)

All lanes:

Western blot - Anti-FANCD2 antibody (ab245347) at 0.04 µg/mL

Lane 1:

HeLa (Human epithelial cell line from cervix adenocarcinoma) whole cell lysate at 50 µg

Lane 2:

HeLa whole cell lysate at 15 µg

Lane 3:

HeLa whole cell lysate at 5 µg

Lane 4:

Jurkat (Human T cell leukemia cell line from peripheral blood) whole cell lysate at 50 µg

Predicted band size: 166 kDa

false

Exposure time: 3min

Immunoprecipitation - Anti-FANCD2 antibody (AB245347)
  • IP

Supplier Data

Immunoprecipitation - Anti-FANCD2 antibody (AB245347)

FANCD2 was immunoprecipitated from HEK-293T (human epithelial cell line from embryonic kidney transformed with large T antigen) whole cell lysate (1 mg per IP reaction; 20% of IP loaded).
ab245347 used for IP at 10 μg/mg lysate. For WB 1 μg/ml.

Lane 1 : ab245347 IP in HEK-293T whole cell lysate.
Lane 2 : Control IgG IP in HEK-293T whole cell lysate.

Chemiluminescence detection : 30 seconds.

All lanes:

Immunoprecipitation - Anti-FANCD2 antibody (ab245347)

Predicted band size: 166 kDa

false

Key facts

Host species

Rabbit

Clonality

Polyclonal

Isotype

IgG

Carrier free

No

Reacts with

Human

Applications

IHC-P, IP, WB

applications

Immunogen

Synthetic Peptide within Human FANCD2 aa 1400 to C-terminus. The exact immunogen used to generate this antibody is proprietary information.

Q9BXW9

Reactivity data

{ "title": "Reactivity Data", "filters": { "stats": ["", "Species", "Dilution Info", "Notes"], "tabs": { "all-applications": {"fullname" : "All Applications", "shortname": "All Applications"}, "IHCP" : {"fullname" : "Immunohistochemistry (Formalin/PFA-fixed paraffin-embedded sections)", "shortname":"IHC-P"}, "IP" : {"fullname" : "Immunoprecipitation", "shortname":"IP"}, "WB" : {"fullname" : "Western blot", "shortname":"WB"} }, "product-promise": { "all": "all", "testedAndGuaranteed": "tested", "guaranteed": "expected", "predicted": "predicted", "notRecommended": "not-recommended" } }, "values": { "Human": { "IHCP-species-checked": "testedAndGuaranteed", "IHCP-species-dilution-info": "1/100 - 1/500", "IHCP-species-notes": "<p></p> Perform heat-mediated antigen retrieval with citrate buffer pH 6 before commencing with IHC staining protocol.", "IP-species-checked": "testedAndGuaranteed", "IP-species-dilution-info": "5-15 µg/mg of lysate", "IP-species-notes": "<p></p>", "WB-species-checked": "testedAndGuaranteed", "WB-species-dilution-info": "1/2000 - 1/10000", "WB-species-notes": "<p></p>" }, "Gorilla": { "IHCP-species-checked": "predicted", "IHCP-species-dilution-info": "", "IHCP-species-notes": "", "IP-species-checked": "predicted", "IP-species-dilution-info": "", "IP-species-notes": "", "WB-species-checked": "predicted", "WB-species-dilution-info": "", "WB-species-notes": "" }, "Monkey": { "IHCP-species-checked": "predicted", "IHCP-species-dilution-info": "", "IHCP-species-notes": "", "IP-species-checked": "predicted", "IP-species-dilution-info": "", "IP-species-notes": "", "WB-species-checked": "predicted", "WB-species-dilution-info": "", "WB-species-notes": "" } } }

Properties and storage information

Form
Liquid
Purification technique
Affinity purification Immunogen
Purification notes
ab245347 was affinity purified using an epitope specific to FANCD2 immobilized on solid support.
Storage buffer
pH: 6.8 - 7.4 Preservative: 0.09% Sodium azide Constituents: Tris buffered saline, 0.1% BSA
Shipped at conditions
Blue Ice
Appropriate short-term storage duration
1-2 weeks
Appropriate short-term storage conditions
+4°C
Appropriate long-term storage conditions
-20°C
Aliquoting information
Upon delivery aliquot
Storage information
Avoid freeze / thaw cycle

Supplementary information

This supplementary information is collated from multiple sources and compiled automatically.

FANCD2 also known as Fanconi anemia group D2 functions mechanically in DNA repair processes. This protein plays a role in the cellular response to DNA damage specifically interstrand crosslinks. FANCD2 has a molecular weight of approximately 164 kDa. Expression of FANCD2 occurs broadly in various tissues but reaches higher levels in cells that undergo rapid division such as hematopoietic cells.
Biological function summary

FANCD2 collaborates with multiple proteins as part of the Fanconi anemia (FA) complex to ensure genomic stability. The FA complex operates by facilitating the repair of DNA interstrand crosslinks that impede replication. FANCD2 becomes activated through monoubiquitination which serves as a signal for recruitment to DNA damage sites. It essentially functions as a coordinator that brings together important components for repair.

Pathways

FANCD2 integrates into the Fanconi anemia pathway and the homologous recombination repair pathway. These pathways are critical for maintaining DNA integrity and preventing chromosomal instability. Within these pathways interactions with proteins such as BRCA1 and BRCA2 reinforce the repair processes. FANCD2's connection to these proteins exemplifies its role in complex mechanisms that preserve genomic fidelity.

FANCD2 links significantly to Fanconi anemia a genetic disorder that causes bone marrow failure and increased cancer susceptibility. Damage or malfunction of FANCD2 can disrupt DNA repair leading to cellular dysfunction seen in this condition. Additionally there is a connection to breast cancer whereby FANCD2 interacts with BRCA2 indicating a shared pathway involved in tumor suppressor functions. These associations underline the importance of FANCD2 in disease pathology and its potential as a therapeutic target.

Product protocols

For this product, it's our understanding that no specific protocols are required. You can visit:

Target data

Required for maintenance of chromosomal stability. Promotes accurate and efficient pairing of homologs during meiosis. Involved in the repair of DNA double-strand breaks, both by homologous recombination and single-strand annealing. May participate in S phase and G2 phase checkpoint activation upon DNA damage. Plays a role in preventing breakage and loss of missegregating chromatin at the end of cell division, particularly after replication stress. Required for the targeting, or stabilization, of BLM to non-centromeric abnormal structures induced by replicative stress. Promotes BRCA2/FANCD1 loading onto damaged chromatin. May also be involved in B-cell immunoglobulin isotype switching.
See full target information FANCD2

Product promise

We are committed to supporting your work with high-quality reagents, and we're here for you every step of the way. In the unlikely event that one of our products does not perform as expected, you're protected by our Product Promise.
For full details, please see our Terms & Conditions

Associated Products

Select an associated product type
Alternative Product
Primary Antibodies

AB200763

Alexa Fluor® 647 Anti-FANCD2 antibody [EPR2302]

primary-antibodies

alexa-fluor-647-fancd2-antibody-epr2302-ab200763

0

(0 reviews)

Alternative Product
Primary Antibodies

AB109542

Anti-FANCD2 (phospho S1404) antibody [EPR2278(2)]

primary-antibodies

fancd2-phospho-s1404-antibody-epr22782-ab109542

4

(1 reviews)

Alternative Product
Primary Antibodies

AB108928

Anti-FANCD2 antibody [EPR2302]

primary-antibodies

fancd2-antibody-epr2302-ab108928

5

(4 reviews)

Alternative Product
Primary Antibodies

AB178705

Anti-FANCD2 antibody [EPR2279(3)]

primary-antibodies

fancd2-antibody-epr22793-ab178705

5

(1 reviews)

Alternative Product
Primary Antibodies

AB200759

Alexa Fluor® 488 Anti-FANCD2 antibody [EPR2302]

primary-antibodies

alexa-fluor-488-fancd2-antibody-epr2302-ab200759

0

(0 reviews)

Alternative Product
Primary Antibodies

AB221932

Anti-FANCD2 antibody [EPR2302] - BSA and Azide free

primary-antibodies

fancd2-antibody-epr2302-bsa-and-azide-free-ab221932

3

(1 reviews)

Please note: All products are 'FOR RESEARCH USE ONLY. NOT FOR USE IN DIAGNOSTIC OR THERAPEUTIC PROCEDURES'.

For licensing inquiries, please contact partnerships@abcam.com