JavaScript is disabled in your browser. Please enable JavaScript to view this website.
AB221932

Anti-FANCD2 antibody [EPR2302] - BSA and Azide free

3

(1 Review)

|

(11 Publications)

Rabbit Recombinant Monoclonal FANCD2 antibody. Carrier free. Suitable for IHC-P, IP, WB, ICC/IF, Flow Cyt (Intra) and reacts with Human, Mouse, Rat samples. Cited in 11 publications.

View Alternative Names

FACD, FANCD2, Fanconi anemia group D2 protein, Protein FACD2

11 Images
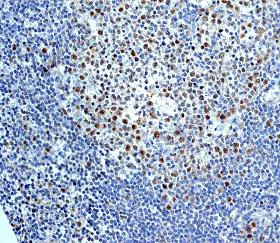
Immunohistochemistry (Formalin/PFA-fixed paraffin-embedded sections) - Anti-FANCD2 antibody [EPR2302] - BSA and Azide free (AB221932)
  • IHC-P

Unknown

Immunohistochemistry (Formalin/PFA-fixed paraffin-embedded sections) - Anti-FANCD2 antibody [EPR2302] - BSA and Azide free (AB221932)

Immunohistochemistry (Formalin/PFA-fixed paraffin-embedded sections) analysis of Human tonsil tissue sections labeling FANCD2 with purified ab108928 at 1/50 dilution (3.6 μg/ml). Perform heat mediated antigen retrieval using ab93684 (Tris/EDTA buffer, pH 9.0). ImmunoHistoProbe one step HRP Polymer (ready to use) was used as the secondary antibody. Negative control : PBS instead of the primary antibody. Hematoxylin was used as a counterstain.

This data was developed using the same antibody clone in a different buffer formulation containing PBS, BSA, glycerol, and sodium azide (ab108928).

Immunocytochemistry/ Immunofluorescence - Anti-FANCD2 antibody [EPR2302] - BSA and Azide free (AB221932)
  • ICC/IF

Lab

Immunocytochemistry/ Immunofluorescence - Anti-FANCD2 antibody [EPR2302] - BSA and Azide free (AB221932)

ab108928 staining FANCD2 in wild-type HAP1 cells (top panel) and FANCD2 knockout HAP1 cells (bottom panel). The cells were fixed with 4% formaldehyde (10 minutes), permeabilized with 0.1% Triton X-100 for 5 minutes and then blocked with 1% BSA/10% normal goat serum/0.3M glycine in 0.1% PBS-Tween for 1 hour. The cells were then incubated with ab108928 at 1/250 dilution and ab195889 at 1/250 dilution (shown in pseudo colour red) overnight at +4°C, followed by a further incubation at room temperature for 1 hour with a goat secondary antibody to Rabbit IgG (Alexa Fluor® 488) (ab150081) at 2 μg/ml (shown in green). Nuclear DNA was labelled in blue with DAPI.

This data was developed using the same antibody clone in a different buffer formulation containing PBS, BSA, glycerol, and sodium azide (ab108928).

Immunocytochemistry/ Immunofluorescence - Anti-FANCD2 antibody [EPR2302] - BSA and Azide free (AB221932)
  • ICC/IF

AbReview42329****

Immunocytochemistry/ Immunofluorescence - Anti-FANCD2 antibody [EPR2302] - BSA and Azide free (AB221932)

ab108928 staining FANCD2 in human U2OS osteosarcoma cells by ICC/IF (Immunocytochemistry/immunofluorescence). Cells were fixed with paraformaldehyde, permeabilized with 0.5% Triton X-100 and blocked with 10% goat serum for 1 hour at 20°C. Samples were incubated with primary antibody (1/300) for 18 hours at 4°C. An Alexa Fluor® 488-conjugated goat anti-rabbit IgG monoclonal (1/1000) was used as the secondary antibody.

This data was developed using the same antibody clone in a different buffer formulation containing PBS, BSA, glycerol, and sodium azide (ab108928).

This image is courtesy of an anonymous Abreview

Flow Cytometry (Intracellular) - Anti-FANCD2 antibody [EPR2302] - BSA and Azide free (AB221932)
  • Flow Cyt (Intra)

Unknown

Flow Cytometry (Intracellular) - Anti-FANCD2 antibody [EPR2302] - BSA and Azide free (AB221932)

Flow cytometry analysis of Jurkat (human acute T cell leukemia) cells labeling FANCD2 (red) with ab108928 at a 1/2000 dilution. Cells were fixed with 4% paraformaldehyde and permeabilized with 90% methanol. A goat anti-rabbit IgG (Alexa Fluor® 488) (ab150077) was used as the secondary antibody at a 1/2000 dilution. Black - Rabbit monoclonal IgG (ab172730). Blue (unlabeled control) - Cells without incubation with primary and secondary antibodies.

This data was developed using the same antibody clone in a different buffer formulation containing PBS, BSA, glycerol, and sodium azide (ab108928).

Immunocytochemistry/ Immunofluorescence - Anti-FANCD2 antibody [EPR2302] - BSA and Azide free (AB221932)
  • ICC/IF

Unknown

Immunocytochemistry/ Immunofluorescence - Anti-FANCD2 antibody [EPR2302] - BSA and Azide free (AB221932)

HeLa (human epithelial cell line from cervix adenocarcinoma) cells stained for FANCD2 (green) using ab108928 (unpurified) (1/250 dilution) in ICC/IF.

This data was developed using the same antibody clone in a different buffer formulation containing PBS, BSA, glycerol, and sodium azide (ab108928).

Immunohistochemistry (Formalin/PFA-fixed paraffin-embedded sections) - Anti-FANCD2 antibody [EPR2302] - BSA and Azide free (AB221932)
  • IHC-P

Unknown

Immunohistochemistry (Formalin/PFA-fixed paraffin-embedded sections) - Anti-FANCD2 antibody [EPR2302] - BSA and Azide free (AB221932)

Immunohistochemical staining of paraffin-embedded human tonsil tissue using ab108928 at a dilution of 1/100.

This data was developed using the same antibody clone in a different buffer formulation containing PBS, BSA, glycerol, and sodium azide (ab108928).

Immunocytochemistry/ Immunofluorescence - Anti-FANCD2 antibody [EPR2302] - BSA and Azide free (AB221932)
  • ICC/IF

Unknown

Immunocytochemistry/ Immunofluorescence - Anti-FANCD2 antibody [EPR2302] - BSA and Azide free (AB221932)

Immunocytochemistry/ Immunofluorescence analysis of HeLa (Human cervix adenocarcinoma epithelial cell) cells labeling FANCD2 with purified ab108928 at 1/500 dilution (0.4 μg/ml). Cells were fixed in 4% Paraformaldehyde and permeabilized with 0.1% tritonX-100. Cells were counterstained with ab195889 Anti-alpha Tubulin antibody [DM1A] - Microtubule Marker (Alexa Fluor® 594) at 1/200 (2.5 μg/ml) dilution. Goat anti rabbit IgG (Alexa Fluor® 488, ab150077) was used as the secondary antibody at 1/1000 (2 μg/ml) dilution. DAPI (blue) was used as nuclear counterstain. PBS instead of the primary antibody was used as the secondary antibody only control.

This data was developed using the same antibody clone in a different buffer formulation containing PBS, BSA, glycerol, and sodium azide (ab108928).

Immunoprecipitation - Anti-FANCD2 antibody [EPR2302] - BSA and Azide free (AB221932)
  • IP

Unknown

Immunoprecipitation - Anti-FANCD2 antibody [EPR2302] - BSA and Azide free (AB221932)

ab108928 (purified) at 1/20 dilution (1ug) immunoprecipitating FANCD2 in HeLa whole cell lysates.
Lane 1 : HeLa (Human cervix adenocarcinoma epithelial cell) whole cell lysates 10ug
Lane 2 (+) : ab108928 & HeLa whole cell lysates
Lane 3 (-) : Rabbit monoclonal IgG (ab172730) instead of ab108928 in HeLa whole cell lysates
For western blotting, VeriBlot for IP Detection Reagent (HRP) (ab131366) was used at 1/1000 dilution.
Blocking and diluting buffer : 5% NFDM/TBST.

This data was developed using the same antibody clone in a different buffer formulation containing PBS, BSA, glycerol, and sodium azide (ab108928).

All lanes:

Immunoprecipitation - Anti-FANCD2 antibody [EPR2302] (<a href='/en-us/products/primary-antibodies/fancd2-antibody-epr2302-ab108928'>ab108928</a>)

Predicted band size: 166 kDa

false

Western blot - Anti-FANCD2 antibody [EPR2302] - BSA and Azide free (AB221932)
  • WB

Lab

Western blot - Anti-FANCD2 antibody [EPR2302] - BSA and Azide free (AB221932)

This data was developed using ab108928, the same antibody clone in a different buffer formulation.

Western blot : Anti-FANCD2 antibody [EPR2302] (ab108928) staining at 1/1000 dilution, shown in green; Mouse anti-Alpha Tubulin [DM1A] (ab7291) loading control staining at 1/20000 dilution, shown in magenta. In Western blot, ab108928 was shown to bind specifically to FANCD2. A band was observed at 160 kDa in wild-type HCT 116 cell lysates with no signal observed at this size in FANCD2 knockout cell line. To generate this image, wild-type and FANCD2 knockout HCT 116 cell lysates were analysed. First, samples were run on an SDS-PAGE gel then transferred onto a nitrocellulose membrane. Membranes were blocked in 3 % milk in TBS-0.1 % Tween® 20 (TBS-T) before incubation with primary antibodies overnight at 4 °C. Blots were washed four times in TBS-T, incubated with secondary antibodies for 1 h at room temperature, washed again four times then imaged. Secondary antibodies used were Goat anti-Rabbit IgG H&L 800CW and Goat anti-Mouse IgG H&L 680RD at 1/20000 dilution.

All lanes:

Western blot - Anti-FANCD2 antibody [EPR2302] (<a href='/en-us/products/primary-antibodies/fancd2-antibody-epr2302-ab108928'>ab108928</a>) at 1/1000 dilution

Lane 1:

Wild-type HCT 116 cell lysate at 20 µg

Lane 2:

Western blot - Human FANCD2 knockout HCT116 cell line (<a href='/en-us/products/cell-lines/human-fancd2-knockout-hct116-cell-line-ab286588'>ab286588</a>)

Lane 2:

FANCD2 knockout HCT 116 cell lysate at 20 µg

Lane 3:

Wild-type HeLa ab255448 cell lysate at 20 µg

Lane 4:

FANCD2 knockout HeLa <a href='/en-us/products/cell-lines/human-fancd2-knockout-hela-cell-line-ab261743'>ab261743</a> cell lysate at 20 µg

Secondary

Lanes 1 - 4:

Goat anti-Rabbit IgG H&L 800CW at 1/20000 dilution

Lanes 1 - 4:

Goat anti-Mouse IgG H&L 680RD at 1/20000 dilution

Observed band size: 160 kDa

false

Western blot - Anti-FANCD2 antibody [EPR2302] - BSA and Azide free (AB221932)
  • WB

Lab

Western blot - Anti-FANCD2 antibody [EPR2302] - BSA and Azide free (AB221932)

Lane 1 : Wild-type HAP1 cell lysate (20 μg)
Lane 2 : FANCD2 knockout HAP1 cell lysate (20 μg)
Lane 3 : HeLa cell lysate (20 μg)
Lane 4 : HEK293 cell lysate (20 μg)
Lanes 1 - 4 : Merged signal (red and green). Green - ab108928 (unpurified) observed at 165 kDa. Red - loading control, ab8245, observed at 37 kDa.

ab108928 was shown to specifically react with FANCD2 when FANCD2 knockout samples were used. Wild-type and FANCD2 knockout samples were subjected to SDS-PAGE. ab108928 and ab8245 (loading control to GAPDH) were diluted 1/1000 and 1/2000 respectively and incubated overnight at 4°C. Blots were developed with Goat anti-Rabbit IgG H&L (IRDye® 800CW) preadsorbed (ab216773) and Goat anti-Mouse IgG H&L (IRDye® 680RD) preadsorbed (ab216776) secondary antibodies at 1/10 000 dilution for 1 h at room temperature before imaging.

All lanes:

Western blot - Anti-FANCD2 antibody [EPR2302] - BSA and Azide free (ab221932)

Predicted band size: 166 kDa

false

Western blot - Anti-FANCD2 antibody [EPR2302] - BSA and Azide free (AB221932)
  • WB

Lab

Western blot - Anti-FANCD2 antibody [EPR2302] - BSA and Azide free (AB221932)

This data was developed using the same antibody clone in a different buffer formulation (ab108928).

Lanes 1- 2 : Merged signal (red and green). Green - ab108928 observed at 166 kDa. Red - Anti-alpha Tubulin antibody [DM1A] - Loading Control (ab7291) observed at 50 kDa.

ab108928 was shown to react with FANCD2 in wild-type HeLa cells in western blot. Loss of signal was observed when knockout cell line ab261743 (knockout cell lysate ab257173) was used. Wild-type HeLa and FANCD2 knockout HeLa cell lysates were subjected to SDS-PAGE. Membrane was blocked for 1 hour at room temperature in 0.1% TBST with 3% non-fat dried milk. ab108928 and Anti-alpha Tubulin antibody [DM1A] - Loading Control (ab7291) overnight at 4°C at a 1 in 1000 dilution and a 1 in 20000 dilution respectively. Blots were developed with Goat anti-Rabbit IgG H&L (IRDye®800CW) preadsorbed (ab216773) and Goat anti-Mouse IgG H&L (IRDye®680RD) preadsorbed (ab216776) secondary antibodies at 1 in 20000 dilution for 1 hour at room temperature before imaging.

All lanes:

Western blot - Anti-FANCD2 antibody [EPR2302] (<a href='/en-us/products/primary-antibodies/fancd2-antibody-epr2302-ab108928'>ab108928</a>) at 1/1000 dilution

Lane 1:

Wild-type HeLa cell lysate at 20 µg

Lane 2:

FANCD2 knockout HeLa cell lysate at 20 µg

Lane 2:

Western blot - Human FANCD2 knockout HeLa cell line (<a href='/en-us/products/cell-lines/human-fancd2-knockout-hela-cell-line-ab261743'>ab261743</a>)

Predicted band size: 166 kDa

Observed band size: 166 kDa

false

Key facts

Host species

Rabbit

Clonality

Monoclonal

Clone number

EPR2302

Isotype

IgG

Carrier free

Yes

Reacts with

Mouse, Rat, Human

Applications

ICC/IF, IHC-P, WB, Flow Cyt (Intra), IP

applications

Immunogen

The exact immunogen used to generate this antibody is proprietary information.

Specificity

The mouse and rat recommendation is based on the WB results. We do not guarantee IHC-P for mouse and rat.

Reactivity data

{ "title": "Reactivity Data", "filters": { "stats": ["", "Species", "Dilution Info", "Notes"], "tabs": { "all-applications": {"fullname" : "All Applications", "shortname": "All Applications"}, "IHCP" : {"fullname" : "Immunohistochemistry (Formalin/PFA-fixed paraffin-embedded sections)", "shortname":"IHC-P"}, "IP" : {"fullname" : "Immunoprecipitation", "shortname":"IP"}, "WB" : {"fullname" : "Western blot", "shortname":"WB"}, "ICCIF" : {"fullname" : "Immunocytochemistry/ Immunofluorescence", "shortname":"ICC/IF"}, "FlowCytIntra" : {"fullname" : "Flow Cytometry (Intracellular)", "shortname":"Flow Cyt (Intra)"} }, "product-promise": { "all": "all", "testedAndGuaranteed": "tested", "guaranteed": "expected", "predicted": "predicted", "notRecommended": "not-recommended" } }, "values": { "Human": { "IHCP-species-checked": "testedAndGuaranteed", "IHCP-species-dilution-info": "", "IHCP-species-notes": "<p>The mouse and rat recommendation is based on the WB results. We do not guarantee IHC-P for mouse and rat.</p>", "IP-species-checked": "testedAndGuaranteed", "IP-species-dilution-info": "", "IP-species-notes": "<p></p>", "WB-species-checked": "testedAndGuaranteed", "WB-species-dilution-info": "", "WB-species-notes": "<p></p>", "ICCIF-species-checked": "testedAndGuaranteed", "ICCIF-species-dilution-info": "", "ICCIF-species-notes": "<p></p>", "FlowCytIntra-species-checked": "testedAndGuaranteed", "FlowCytIntra-species-dilution-info": "", "FlowCytIntra-species-notes": "<p></p>" }, "Mouse": { "IHCP-species-checked": "guaranteed", "IHCP-species-dilution-info": "", "IHCP-species-notes": "", "IP-species-checked": "guaranteed", "IP-species-dilution-info": "", "IP-species-notes": "", "WB-species-checked": "testedAndGuaranteed", "WB-species-dilution-info": "", "WB-species-notes": "<p></p>", "ICCIF-species-checked": "guaranteed", "ICCIF-species-dilution-info": "", "ICCIF-species-notes": "", "FlowCytIntra-species-checked": "guaranteed", "FlowCytIntra-species-dilution-info": "", "FlowCytIntra-species-notes": "" }, "Rat": { "IHCP-species-checked": "guaranteed", "IHCP-species-dilution-info": "", "IHCP-species-notes": "", "IP-species-checked": "guaranteed", "IP-species-dilution-info": "", "IP-species-notes": "", "WB-species-checked": "testedAndGuaranteed", "WB-species-dilution-info": "", "WB-species-notes": "<p></p>", "ICCIF-species-checked": "guaranteed", "ICCIF-species-dilution-info": "", "ICCIF-species-notes": "", "FlowCytIntra-species-checked": "guaranteed", "FlowCytIntra-species-dilution-info": "", "FlowCytIntra-species-notes": "" } } }

Product details

ab221932 is the carrier-free version of ab108928.

Patented technology
Our RabMAb® technology is a patented hybridoma-based technology for making rabbit monoclonal antibodies. For details on our patents, please refer to RabMAb® patents.

What are the advantages of a recombinant monoclonal antibody?
This product is a recombinant monoclonal antibody, which offers several advantages including:

  • - High batch-to-batch consistency and reproducibility
  • - Improved sensitivity and specificity
  • - Long-term security of supply
  • - Animal-free batch production

For more information, read more on recombinant antibodies.

Conjugation ready
Our carrier-free antibodies are typically supplied in a PBS-only formulation, purified and free of BSA, sodium azide and glycerol. This conjugation-ready format is designed for use with fluorochromes, metal isotopes, oligonucleotides, and enzymes, which makes them ideal for antibody labelling, functional and cell-based assays, flow-based assays (e.g. mass cytometry) and Multiplex Imaging applications.

Use our conjugation kits for antibody conjugates that are ready-to-use in as little as 20 minutes with 1 minute hands-on-time and 100% antibody recovery: available for fluorescent dyes, HRP, biotin and gold.

Compatibility
This product is compatible with the Maxpar® Antibody Labeling Kit from Fluidigm, without the need for antibody preparation. Maxpar® is a trademark of Fluidigm Canada Inc.

Properties and storage information

Form
Liquid
Purification technique
Affinity purification Protein A
Storage buffer
pH: 7.2 - 7.4 Constituents: PBS
Shipped at conditions
Blue Ice
Appropriate short-term storage conditions
+4°C
Appropriate long-term storage conditions
+4°C
Storage information
Do Not Freeze

Supplementary information

This supplementary information is collated from multiple sources and compiled automatically.

FANCD2 also known as Fanconi anemia group D2 functions mechanically in DNA repair processes. This protein plays a role in the cellular response to DNA damage specifically interstrand crosslinks. FANCD2 has a molecular weight of approximately 164 kDa. Expression of FANCD2 occurs broadly in various tissues but reaches higher levels in cells that undergo rapid division such as hematopoietic cells.
Biological function summary

FANCD2 collaborates with multiple proteins as part of the Fanconi anemia (FA) complex to ensure genomic stability. The FA complex operates by facilitating the repair of DNA interstrand crosslinks that impede replication. FANCD2 becomes activated through monoubiquitination which serves as a signal for recruitment to DNA damage sites. It essentially functions as a coordinator that brings together important components for repair.

Pathways

FANCD2 integrates into the Fanconi anemia pathway and the homologous recombination repair pathway. These pathways are critical for maintaining DNA integrity and preventing chromosomal instability. Within these pathways interactions with proteins such as BRCA1 and BRCA2 reinforce the repair processes. FANCD2's connection to these proteins exemplifies its role in complex mechanisms that preserve genomic fidelity.

FANCD2 links significantly to Fanconi anemia a genetic disorder that causes bone marrow failure and increased cancer susceptibility. Damage or malfunction of FANCD2 can disrupt DNA repair leading to cellular dysfunction seen in this condition. Additionally there is a connection to breast cancer whereby FANCD2 interacts with BRCA2 indicating a shared pathway involved in tumor suppressor functions. These associations underline the importance of FANCD2 in disease pathology and its potential as a therapeutic target.

Product protocols

For this product, it's our understanding that no specific protocols are required. You can visit:

Target data

Required for maintenance of chromosomal stability. Promotes accurate and efficient pairing of homologs during meiosis. Involved in the repair of DNA double-strand breaks, both by homologous recombination and single-strand annealing. May participate in S phase and G2 phase checkpoint activation upon DNA damage. Plays a role in preventing breakage and loss of missegregating chromatin at the end of cell division, particularly after replication stress. Required for the targeting, or stabilization, of BLM to non-centromeric abnormal structures induced by replicative stress. Promotes BRCA2/FANCD1 loading onto damaged chromatin. May also be involved in B-cell immunoglobulin isotype switching.
See full target information FANCD2

Publications (11)

Recent publications for all applications. Explore the full list and refine your search

Molecular cell 84:2634-2647.e9 PubMed38964321

2024

CCAR1 promotes DNA repair via alternative splicing.

Applications

Unspecified application

Species

Unspecified reactive species

Mehmet E Karasu,Leonard Jahnke,Brian J Joseph,Yerkezhan Amerzhanova,Aleksei Mironov,Xuan Shu,Markus S Schröder,Ana Gvozdenovic,Irene Sala,Mihaela Zavolan,Stefanie Jonas,Jacob E Corn

Nature communications 13:6900 PubMed36371486

2022

Adenine base editing efficiently restores the function of Fanconi anemia hematopoietic stem and progenitor cells.

Applications

Unspecified application

Species

Unspecified reactive species

Sebastian M Siegner,Laura Ugalde,Alexandra Clemens,Laura Garcia-Garcia,Juan A Bueren,Paula Rio,Mehmet E Karasu,Jacob E Corn

Nature genetics 50:1132-1139 PubMed30054595

2018

CRISPR-Cas9 genome editing in human cells occurs via the Fanconi anemia pathway.

Applications

Unspecified application

Species

Unspecified reactive species

Chris D Richardson,Katelynn R Kazane,Sharon J Feng,Elena Zelin,Nicholas L Bray,Axel J Schäfer,Stephen N Floor,Jacob E Corn

Genes & development 29:1955-68 PubMed26338419

2015

MERIT40 cooperates with BRCA2 to resolve DNA interstrand cross-links.

Applications

Unspecified application

Species

Human

Qinqin Jiang,Manikandan Paramasivam,Bernadette Aressy,Junmin Wu,Marina Bellani,Wei Tong,Michael M Seidman,Roger A Greenberg

Molecular cancer therapeutics 14:111-9 PubMed25351918

2014

Evaluation of novel imidazotetrazine analogues designed to overcome temozolomide resistance and glioblastoma regrowth.

Applications

Unspecified application

Species

Unspecified reactive species

Yulian P Ramirez,Ann C Mladek,Roger M Phillips,Mikko Gynther,Jarkko Rautio,Alonzo H Ross,Richard T Wheelhouse,Jann N Sakaria

DNA repair 24:122-130 PubMed25262557

2014

ATMIN is required for the ATM-mediated signaling and recruitment of 53BP1 to DNA damage sites upon replication stress.

Applications

Unspecified application

Species

Unspecified reactive species

Luisa Schmidt,Marc Wiedner,Georgia Velimezi,Jana Prochazkova,Michel Owusu,Sabine Bauer,Joanna I Loizou

Nucleic acids research 42:5605-15 PubMed24589582

2014

A concomitant loss of dormant origins and FANCC exacerbates genome instability by impairing DNA replication fork progression.

Applications

IHC, ICC, WB

Species

Mouse, Mouse, Mouse

Spencer W Luebben,Tsuyoshi Kawabata,Charles S Johnson,M Gerard O'Sullivan,Naoko Shima

Cell death & disease 5:e1055 PubMed24525731

2014

TXNL1-XRCC1 pathway regulates cisplatin-induced cell death and contributes to resistance in human gastric cancer.

Applications

WB

Species

Human

W Xu,S Wang,Q Chen,Y Zhang,P Ni,X Wu,J Zhang,F Qiang,A Li,O D Røe,S Xu,M Wang,R Zhang,J Zhou

Nucleic acids research 41:10283-97 PubMed24005041

2013

Helq acts in parallel to Fancc to suppress replication-associated genome instability.

Applications

WB

Species

Mouse

Spencer W Luebben,Tsuyoshi Kawabata,Monica K Akre,Wai Long Lee,Charles S Johnson,M Gerard O'Sullivan,Naoko Shima

Nature 502:381-4 PubMed24005329

2013

HELQ promotes RAD51 paralogue-dependent repair to avert germ cell loss and tumorigenesis.

Applications

Unspecified application

Species

Unspecified reactive species

Carrie A Adelman,Rafal L Lolo,Nicolai J Birkbak,Olga Murina,Kenichiro Matsuzaki,Zuzana Horejsi,Kalindi Parmar,Valérie Borel,J Mark Skehel,Gordon Stamp,Alan D'Andrea,Alessandro A Sartori,Charles Swanton,Simon J Boulton
View all publications

Product promise

We are committed to supporting your work with high-quality reagents, and we're here for you every step of the way. In the unlikely event that one of our products does not perform as expected, you're protected by our Product Promise.
For full details, please see our Terms & Conditions

Please note: All products are 'FOR RESEARCH USE ONLY. NOT FOR USE IN DIAGNOSTIC OR THERAPEUTIC PROCEDURES'.

For licensing inquiries, please contact partnerships@abcam.com