JavaScript is disabled in your browser. Please enable JavaScript to view this website.
AB245219

Anti-FANCI antibody [EPR23903-124]

Be the first to review this product! Submit a review

|

(4 Publications)

Rabbit Recombinant Monoclonal FANCI antibody. Suitable for IHC-P, WB, ICC/IF, Flow Cyt (Intra) and reacts with Human samples. Cited in 4 publications.

View Alternative Names

KIAA1794, FANCI, Fanconi anemia group I protein, Protein FACI

8 Images
Immunocytochemistry/ Immunofluorescence - Anti-FANCI antibody [EPR23903-124] (AB245219)
  • ICC/IF

Unknown

Immunocytochemistry/ Immunofluorescence - Anti-FANCI antibody [EPR23903-124] (AB245219)

Immunofluorescent analysis of 100% methanol-fixed HeLa cells labelling FANCI with ab245219 at 1/100 dilution, followed by ab150077 Goat Anti-Rabbit IgG H&L (Alexa Fluor® 488) antibody at 1/1000 dilution (Green). Confocal image showing nuclear foci staining in HeLa cell line, the signal increased a little after treatment with Mitomycin C (500ng/ml) for 6h. FANCI forms nuclear foci in cells in the absence or presence of exogenous DNA damage (PMID : 19561358). ab195889 Anti-alpha Tubulin mouse monoclonal antibody - Microtubule Marker (Alexa Fluor® 594) was used to counterstain tubulin at 1/200 dilution (Red). The Nuclear counterstain was DAPI (Blue).

Secondary antibody only control : Secondary antibody is ab150077 Goat Anti-Rabbit IgG H&L (Alexa Fluor® 488) at 1/1000 dilution.

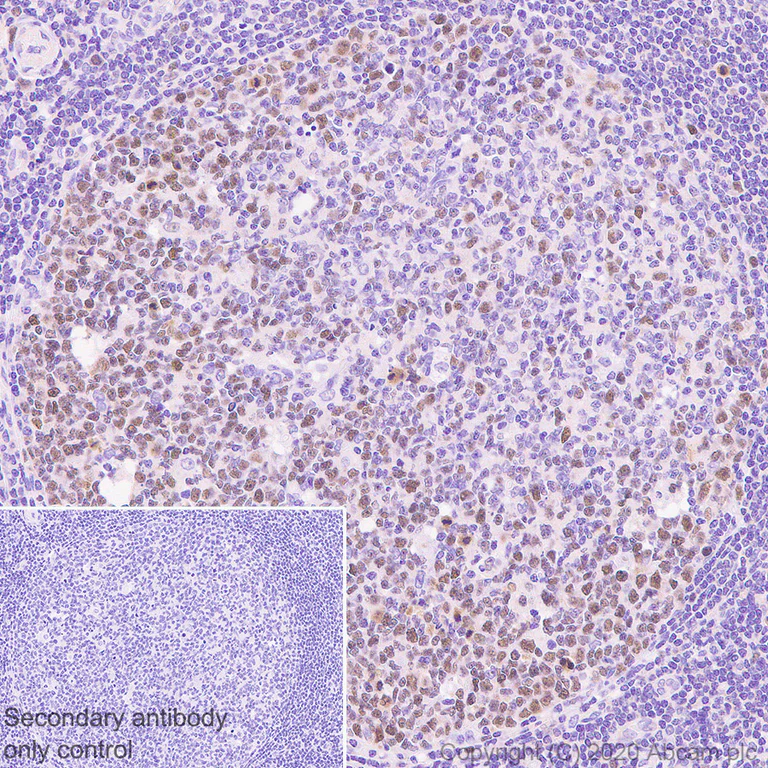
Immunohistochemistry (Formalin/PFA-fixed paraffin-embedded sections) - Anti-FANCI antibody [EPR23903-124] (AB245219)
  • IHC-P

Unknown

Immunohistochemistry (Formalin/PFA-fixed paraffin-embedded sections) - Anti-FANCI antibody [EPR23903-124] (AB245219)

Immunohistochemical analysis of paraffin-embedded Human tonsil tissue labeling FANCI with ab245219 at 1/4000 dilution followed by a ready to use Rabbit specific IHC polymer detection kit HRP/DAB (ab209101). Nuclear staining in human tonsil. The section was incubated with ab245219 for 30 mins at room temperature. The immunostaining was performed on a Leica Biosystems BOND® RX instrument. Counterstained with Hematoxylin.

Secondary antibody only control : Secondary antibody is a ready to use Rabbit specific IHC polymer detection kit HRP/DAB (ab209101).

Heat mediated antigen retrieval with Citrate buffer (pH 6.0, epitope retrieval solution 1) for 10 mins.

Flow Cytometry (Intracellular) - Anti-FANCI antibody [EPR23903-124] (AB245219)
  • Flow Cyt (Intra)

Unknown

Flow Cytometry (Intracellular) - Anti-FANCI antibody [EPR23903-124] (AB245219)

Intracellular flow cytometric analysis of 4% paraformaldehyde fixed, 90% methanol permeabilized HeLa (Human cervix adenocarcinoma epithelial cell) cells labelling FANCI with ab245219 at 1/600 dilution (0.1ug) (Red) compared with a Rabbit monoclonal IgG (ab172730) (Black) isotype control and an unlabelled control (cells without incubation with primary antibody and secondary antibody) (Blue).

A Goat anti rabbit IgG (Alexa Fluor® 488, ab150077) at 1/2000 dilution was used as the secondary antibody.

Flow Cytometry (Intracellular) - Anti-FANCI antibody [EPR23903-124] (AB245219)
  • Flow Cyt (Intra)

Unknown

Flow Cytometry (Intracellular) - Anti-FANCI antibody [EPR23903-124] (AB245219)

Intracellular flow cytometric analysis of 4% paraformaldehyde fixed, 90% methanol permeabilized Jurkat (Human T cell leukemia T lymphocyte) cells labelling FANCI with ab245219 at 1/600 dilution (0.1ug) (Red) compared with a Rabbit monoclonal IgG (ab172730) (Black) isotype control and an unlabelled control (cells without incubation with primary antibody and secondary antibody) (Blue).

A Goat anti rabbit IgG (Alexa Fluor® 488, ab150077) at 1/2000 dilution was used as the secondary antibody.

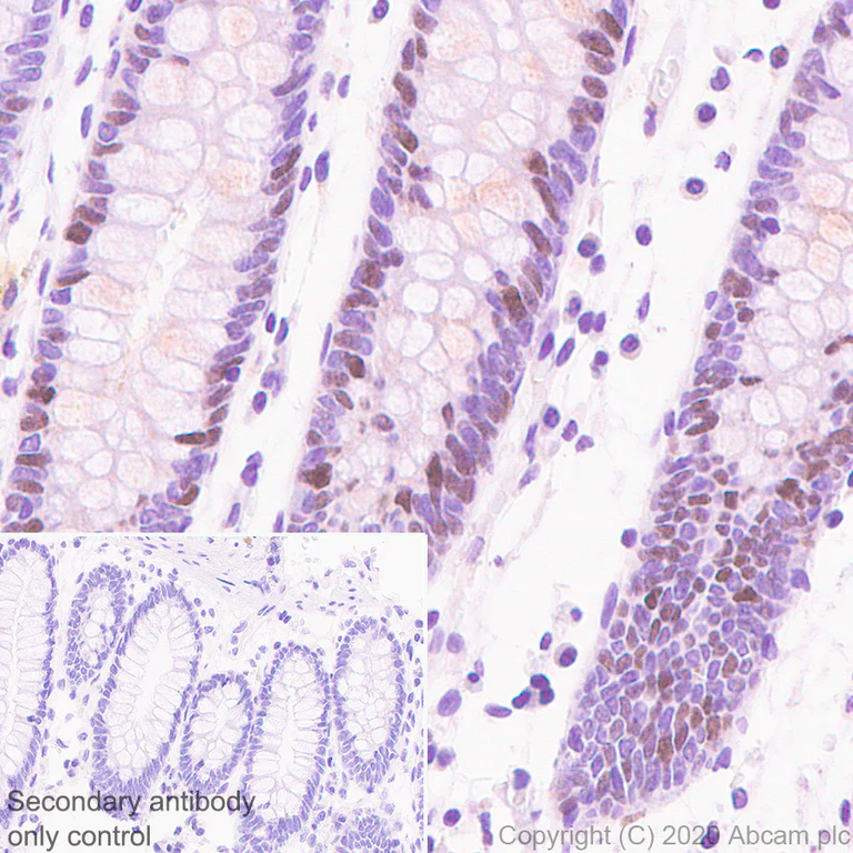
Immunohistochemistry (Formalin/PFA-fixed paraffin-embedded sections) - Anti-FANCI antibody [EPR23903-124] (AB245219)
  • IHC-P

Unknown

Immunohistochemistry (Formalin/PFA-fixed paraffin-embedded sections) - Anti-FANCI antibody [EPR23903-124] (AB245219)

Immunohistochemical analysis of paraffin-embedded Human colon tissue labeling FANCI with ab245219 at 1/4000 dilution followed by a ready to use Rabbit specific IHC polymer detection kit HRP/DAB (ab209101). Nuclear staining in human colon. The section was incubated with ab245219 for 30 mins at room temperature. The immunostaining was performed on a Leica Biosystems BOND® RX instrument. Counterstained with Hematoxylin.

Secondary antibody only control : Secondary antibody is a ready to use Rabbit specific IHC polymer detection kit HRP/DAB (ab209101).

Heat mediated antigen retrieval with Citrate buffer (pH 6.0, epitope retrieval solution 1) for 10 mins.

Immunohistochemistry (Formalin/PFA-fixed paraffin-embedded sections) - Anti-FANCI antibody [EPR23903-124] (AB245219)
  • IHC-P

Unknown

Immunohistochemistry (Formalin/PFA-fixed paraffin-embedded sections) - Anti-FANCI antibody [EPR23903-124] (AB245219)

Immunohistochemical analysis of paraffin-embedded Human testis tissue labeling FANCI with ab245219 at 1/4000 dilution followed by a ready to use Rabbit specific IHC polymer detection kit HRP/DAB (ab209101). Nuclear staining in human testis (PMID : 31219578). The section was incubated with ab245219 for 30 mins at room temperature.The immunostaining was performed on a Leica Biosystems BOND® RX instrument. Counterstained with Hematoxylin.

Secondary antibody only control : Secondary antibody is a ready to use Rabbit specific IHC polymer detection kit HRP/DAB (ab209101).

Heat mediated antigen retrieval with Citrate buffer (pH 6.0, epitope retrieval solution 1) for 10 mins.

Western blot - Anti-FANCI antibody [EPR23903-124] (AB245219)
  • WB

Lab

Western blot - Anti-FANCI antibody [EPR23903-124] (AB245219)

Blocking and diluting buffer and concentration : 5% NFDM/TBST.

Exposure times : Lanes 1-3 : 26 seconds; Lane 4 : 125 seconds.

All lanes:

Western blot - Anti-FANCI antibody [EPR23903-124] (ab245219) at 1/5000 dilution

Lane 1:

HeLa (human cervix adenocarcinoma epithelial cell) whole cell lysate at 20 µg

Lane 2:

Jurkat (human t cell leukemia T lymphocyte) whole cell lysate at 20 µg

Lane 3:

Raji ( human burkitts lymphoma B lymphocyte) whole cell lysate at 20 µg

Lane 4:

Human testis tissue lysate at 20 µg

Secondary

All lanes:

Goat Anti-Rabbit IgG, (H+L), Peroxidase conjugated (<a href='/en-us/products/secondary-antibodies/goat-rabbit-igg-h-l-hrp-ab97051'>ab97051</a>) at 1/50000 dilution

Predicted band size: 149 kDa

Observed band size: 149 kDa

false

Western blot - Anti-FANCI antibody [EPR23903-124] (AB245219)
  • WB

Lab

Western blot - Anti-FANCI antibody [EPR23903-124] (AB245219)

Blocking and diluting buffer and concentration : 5% NFDM/TBST.

The more slowly migrating band is a monoubiquitinated form of FANCI, which can be induced by Mitomycin C treatment.

The expression profile observed is consistent with what has been described in the literature (PMID : 17460694).

Exposure time : 70 seconds.

All lanes:

Western blot - Anti-FANCI antibody [EPR23903-124] (ab245219) at 1/2000 dilution

Lane 1:

Untreated HeLa (human cervix adenocarcinoma epithelial cell) whole cell lysate at 20 µg

Lane 2:

HeLa treated with 500ng/ml Mitomycin C for 6h, whole cell lysate at 20 µg

Secondary

All lanes:

Goat Anti-Rabbit IgG, (H+L), Peroxidase conjugated (<a href='/en-us/products/secondary-antibodies/goat-rabbit-igg-h-l-hrp-ab97051'>ab97051</a>) at 1/100000 dilution

Predicted band size: 149 kDa

Observed band size: 149 kDa

false

  • Carrier free

    Anti-FANCI antibody [EPR23903-124] - BSA and Azide free

Key facts

Host species

Rabbit

Clonality

Monoclonal

Clone number

EPR23903-124

Isotype

IgG

Carrier free

No

Reacts with

Human

Applications

Flow Cyt (Intra), IHC-P, WB, ICC/IF

applications

Immunogen

The exact immunogen used to generate this antibody is proprietary information.

Reactivity data

{ "title": "Reactivity Data", "filters": { "stats": ["", "Species", "Dilution Info", "Notes"], "tabs": { "all-applications": {"fullname" : "All Applications", "shortname": "All Applications"}, "IHCP" : {"fullname" : "Immunohistochemistry (Formalin/PFA-fixed paraffin-embedded sections)", "shortname":"IHC-P"}, "IP" : {"fullname" : "Immunoprecipitation", "shortname":"IP"}, "WB" : {"fullname" : "Western blot", "shortname":"WB"}, "ICCIF" : {"fullname" : "Immunocytochemistry/ Immunofluorescence", "shortname":"ICC/IF"}, "FlowCytIntra" : {"fullname" : "Flow Cytometry (Intracellular)", "shortname":"Flow Cyt (Intra)"} }, "product-promise": { "all": "all", "testedAndGuaranteed": "tested", "guaranteed": "expected", "predicted": "predicted", "notRecommended": "not-recommended" } }, "values": { "Human": { "IHCP-species-checked": "testedAndGuaranteed", "IHCP-species-dilution-info": "1/4000", "IHCP-species-notes": "<p></p>", "IP-species-checked": "notRecommended", "IP-species-dilution-info": "", "IP-species-notes": "<p></p>", "WB-species-checked": "testedAndGuaranteed", "WB-species-dilution-info": "1/2000", "WB-species-notes": "<p></p>", "ICCIF-species-checked": "testedAndGuaranteed", "ICCIF-species-dilution-info": "1/100", "ICCIF-species-notes": "<p></p>", "FlowCytIntra-species-checked": "testedAndGuaranteed", "FlowCytIntra-species-dilution-info": "1/600", "FlowCytIntra-species-notes": "<p></p>" }, "Mouse": { "IHCP-species-checked": "notRecommended", "IHCP-species-dilution-info": "1/4000", "IHCP-species-notes": "<p></p>", "IP-species-checked": "notRecommended", "IP-species-dilution-info": "", "IP-species-notes": "", "WB-species-checked": "notRecommended", "WB-species-dilution-info": "1/2000", "WB-species-notes": "<p></p>", "ICCIF-species-checked": "notRecommended", "ICCIF-species-dilution-info": "", "ICCIF-species-notes": "", "FlowCytIntra-species-checked": "notRecommended", "FlowCytIntra-species-dilution-info": "", "FlowCytIntra-species-notes": "" }, "Rat": { "IHCP-species-checked": "notRecommended", "IHCP-species-dilution-info": "1/4000", "IHCP-species-notes": "<p></p>", "IP-species-checked": "notRecommended", "IP-species-dilution-info": "", "IP-species-notes": "", "WB-species-checked": "notRecommended", "WB-species-dilution-info": "1/2000", "WB-species-notes": "<p></p>", "ICCIF-species-checked": "notRecommended", "ICCIF-species-dilution-info": "", "ICCIF-species-notes": "", "FlowCytIntra-species-checked": "notRecommended", "FlowCytIntra-species-dilution-info": "", "FlowCytIntra-species-notes": "" } } }

Product details

Patented technology
Our RabMAb® technology is a patented hybridoma-based technology for making rabbit monoclonal antibodies. For details on our patents, please refer to RabMAb® patents.

What are the advantages of a recombinant monoclonal antibody?
This product is a recombinant monoclonal antibody, which offers several advantages including:

  • - High batch-to-batch consistency and reproducibility
  • - Improved sensitivity and specificity
  • - Long-term security of supply
  • - Animal-free batch production

For more information, read more on recombinant antibodies.

Properties and storage information

Form
Liquid
Purification technique
Affinity purification Protein A
Storage buffer
pH: 7.2 - 7.4 Preservative: 0.01% Sodium azide Constituents: PBS, 40% Glycerol (glycerin, glycerine), 0.05% BSA
Shipped at conditions
Blue Ice
Appropriate short-term storage duration
1-2 weeks
Appropriate short-term storage conditions
+4°C
Appropriate long-term storage conditions
-20°C
Aliquoting information
Upon delivery aliquot
Storage information
Avoid freeze / thaw cycle

Supplementary information

This supplementary information is collated from multiple sources and compiled automatically.

FANCI also known as Fanconi anemia group I protein is an important player in DNA repair processes. This protein has a molecular mass of approximately 150 kDa. It is ubiquitously expressed with notable levels found in tissues that undergo high rates of cell division. FANCI participates mechanically within the DNA repair mechanism by interacting directly with DNA alongside its partner protein FANCD2 to form a tight complex that recognizes and binds to sites of DNA damage.
Biological function summary

The FANCI protein acts as part of the multiprotein Fanconi anemia (FA) core complex. This complex Functions in the repair of DNA interstrand crosslinks which are severe forms of DNA damage. Successful function of FANCI is important for maintaining genomic stability and subsequently proper cell cycle progression. It partners with proteins including FANCD2 to coordinate the homologous recombination repair process. Defective FANCI leads to disrupted DNA repair resulting in cellular damage and apoptosis.

Pathways

FANCI plays a major role in the Fanconi anemia pathway and the broader DNA damage response system. The FA pathway which involves over 20 proteins forms a network integral in repairing DNA crosslinks. FANCI tightly interacts with proteins like FANCD2 to initiate DNA repair in response to damage. The successful coordination of these proteins ensures the stability of genetic material throughout the cell cycle affecting cell fate decisions such as survival or apoptosis.

FANCI mutations are directly linked to Fanconi anemia a genetic disorder characterized by bone marrow failure and increased cancer risk. Mutations can impair the protein’s function causing defective DNA repair capability. Additionally FANCI's involvement in DNA repair associates it with breast cancer where malfunction or reduced expression of FANCI is observed. The protein interacts with tumor suppressors like BRCA1 and BRCA2 linking it to pathways involved in hereditary breast cancer predisposition.

Product protocols

For this product, it's our understanding that no specific protocols are required. You can visit:

Target data

Plays an essential role in the repair of DNA double-strand breaks by homologous recombination and in the repair of interstrand DNA cross-links (ICLs) by promoting FANCD2 monoubiquitination by FANCL and participating in recruitment to DNA repair sites. Required for maintenance of chromosomal stability. Specifically binds branched DNA : binds both single-stranded DNA (ssDNA) and double-stranded DNA (dsDNA). Participates in S phase and G2 phase checkpoint activation upon DNA damage.
See full target information FANCI

Publications (4)

Recent publications for all applications. Explore the full list and refine your search

Cell death discovery 11:106 PubMed40091075

2025

Investigating synthetic lethality and PARP inhibitor resistance in pancreatic cancer through enantiomer differential activity.

Applications

Unspecified application

Species

Unspecified reactive species

Mirco Masi,Laura Poppi,Viola Previtali,Shannon R Nelson,Kieran Wynne,Giulia Varignani,Federico Falchi,Marina Veronesi,Ennio Albanesi,Daniele Tedesco,Francesca De Franco,Andrea Ciamarone,Samuel H Myers,Jose Antonio Ortega,Greta Bagnolini,Giovanni Ferrandi,Fulvia Farabegoli,Nicola Tirelli,Giuseppina Di Stefano,Giorgio Oliviero,Naomi Walsh,Marinella Roberti,Stefania Girotto,Andrea Cavalli

Heliyon 11:e42731 PubMed40040987

2025

Knockdown of FANCI suppresses hepatocellular carcinoma development via the PI3K/Akt/GSK-3β pathway.

Applications

Unspecified application

Species

Unspecified reactive species

Ziwei Yin,Minqiang Lu,Rongdang Fu

Cell biology international 49:188-200 PubMed39533770

2024

SSX2IP promotes cell proliferation and migration in breast cancer by regulating FANCI.

Applications

Unspecified application

Species

Unspecified reactive species

Xianfu Liu,Xiaojing Zhang,Yansong Chen,Jingwei Tang,Hao Zhang,Gongsheng Jin

Nature communications 15:6755 PubMed39117659

2024

Histone-methyltransferase KMT2D deficiency impairs the Fanconi anemia/BRCA pathway upon glycolytic inhibition in squamous cell carcinoma.

Applications

Unspecified application

Species

Unspecified reactive species

Wei Liu,Hongchao Cao,Jing Wang,Areeg Elmusrati,Bing Han,Wei Chen,Ping Zhou,Xiyao Li,Stephen Keysar,Antonio Jimeno,Cun-Yu Wang
View all publications

Product promise

We are committed to supporting your work with high-quality reagents, and we're here for you every step of the way. In the unlikely event that one of our products does not perform as expected, you're protected by our Product Promise.
For full details, please see our Terms & Conditions

Please note: All products are 'FOR RESEARCH USE ONLY. NOT FOR USE IN DIAGNOSTIC OR THERAPEUTIC PROCEDURES'.

For licensing inquiries, please contact partnerships@abcam.com