JavaScript is disabled in your browser. Please enable JavaScript to view this website.
AB235300

Anti-FAPP2 antibody

Be the first to review this product! Submit a review

|

(1 Publication)

Rabbit Polyclonal FAPP2 antibody. Suitable for WB, IHC-P and reacts with Mouse, Human samples. Cited in 1 publication. Immunogen corresponding to Recombinant Fragment Protein within Human PLEKHA8 aa 1-300.

View Alternative Names

FAPP2, PLEKHA8, Pleckstrin homology domain-containing family A member 8, PH domain-containing family A member 8, Phosphatidylinositol-four-phosphate adapter protein 2, Serologically defined breast cancer antigen NY-BR-86, FAPP-2, Phosphoinositol 4-phosphate adapter protein 2, hFAPP2

3 Images
Western blot - Anti-FAPP2 antibody (AB235300)
  • WB

Supplier Data

Western blot - Anti-FAPP2 antibody (AB235300)

All lanes:

Western blot - Anti-FAPP2 antibody (ab235300) at 1/500 dilution

All lanes:

Mouse brain lysate

Secondary

All lanes:

Goat polyclonal to rabbit at 1/10000 dilution

Predicted band size: 58 kDa

false

Immunohistochemistry (Formalin/PFA-fixed paraffin-embedded sections) - Anti-FAPP2 antibody (AB235300)
  • IHC-P

Supplier Data

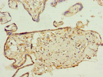
Immunohistochemistry (Formalin/PFA-fixed paraffin-embedded sections) - Anti-FAPP2 antibody (AB235300)

Paraffin-embedded human placenta tissue stained for FAPP2 using ab235300 at 1/100 dilution in immunohistochemical analysis.

Immunohistochemistry (Formalin/PFA-fixed paraffin-embedded sections) - Anti-FAPP2 antibody (AB235300)
  • IHC-P

Supplier Data

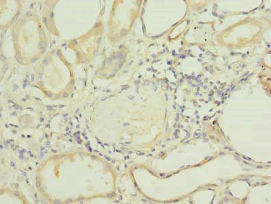
Immunohistochemistry (Formalin/PFA-fixed paraffin-embedded sections) - Anti-FAPP2 antibody (AB235300)

Paraffin-embedded human kidney tissue stained for FAPP2 using ab235300 at 1/100 dilution in immunohistochemical analysis.

Key facts

Host species

Rabbit

Clonality

Polyclonal

Isotype

IgG

Carrier free

No

Reacts with

Mouse, Human

Applications

IHC-P, WB

applications

Immunogen

Recombinant Fragment Protein within Human PLEKHA8 aa 1-300. The exact immunogen used to generate this antibody is proprietary information.

Q96JA3

Reactivity data

{ "title": "Reactivity Data", "filters": { "stats": ["", "Species", "Dilution Info", "Notes"], "tabs": { "all-applications": {"fullname" : "All Applications", "shortname": "All Applications"}, "WB" : {"fullname" : "Western blot", "shortname":"WB"}, "IHCP" : {"fullname" : "Immunohistochemistry (Formalin/PFA-fixed paraffin-embedded sections)", "shortname":"IHC-P"} }, "product-promise": { "all": "all", "testedAndGuaranteed": "tested", "guaranteed": "expected", "predicted": "predicted", "notRecommended": "not-recommended" } }, "values": { "Human": { "WB-species-checked": "guaranteed", "WB-species-dilution-info": "", "WB-species-notes": "", "IHCP-species-checked": "testedAndGuaranteed", "IHCP-species-dilution-info": "1/20 - 1/200", "IHCP-species-notes": "<p></p>" }, "Mouse": { "WB-species-checked": "testedAndGuaranteed", "WB-species-dilution-info": "1/500 - 1/2000", "WB-species-notes": "<p></p>", "IHCP-species-checked": "guaranteed", "IHCP-species-dilution-info": "", "IHCP-species-notes": "" } } }

Properties and storage information

Form
Liquid
Purification technique
Affinity purification Protein G
Storage buffer
pH: 7.4 Preservative: 0.03% Proclin 300 Constituents: PBS, 50% Glycerol (glycerin, glycerine)
Shipped at conditions
Blue Ice
Appropriate short-term storage duration
1-2 weeks
Appropriate short-term storage conditions
+4°C
Appropriate long-term storage conditions
-20°C
Aliquoting information
Upon delivery aliquot
Storage information
Avoid freeze / thaw cycle

Supplementary information

This supplementary information is collated from multiple sources and compiled automatically.

FAPP2 also known as Four-phosphate adaptor protein 2 is an important protein involved in lipid binding and transport. It has a molecular mass of approximately 56 kDa. This protein predominantly localizes in the Golgi apparatus within cells. Its presence is especially prominent in tissues with high levels of secretory activity. FAPP2 functions through its PtdIns(4)P binding capability which facilitates its role in the secretory pathway allowing the transport of glucosylceramide.
Biological function summary

The actions of FAPP2 include the facilitation of lipid transfer and membrane trafficking. It interacts with specific membrane lipids aiding in the formation of transport carriers essential for lipid delivery and glycosphingolipid synthesis. FAPP2 operates within a complex network involving other proteins to ensure accurate lipid sorting and delivery. Its precise role in orchestrating these cellular activities highlights its significance in maintaining membrane composition and signaling.

Pathways

FAPP2 integrates within critical lipid-related processes including the glycosphingolipid biosynthesis and Golgi membrane trafficking pathways. In the glycosphingolipid biosynthesis FAPP2 connects with glucosylceramide and other lipids orchestrating their transport to appropriate cellular destinations. Additionally FAPP2 shares interactions with proteins like CERT and OSBP which are involved in lipid homeostasis and intracellular transport cementing its place as a mediator of critical lipid dynamics.

FAPP2 has associations with disorders related to lipid metabolism such as Gaucher's disease and other lysosomal storage disorders. In these disorders anomalies in lipid transport and metabolism can exacerbate symptoms due to dysfunctional glycosphingolipid synthesis pathways. FAPP2's interactions with proteins like glucosylceramide synthase further illustrate its involvement in disease mechanisms providing a potential target for therapeutic interventions.

Product protocols

For this product, it's our understanding that no specific protocols are required. You can visit:

Target data

Cargo transport protein that is required for apical transport from the Golgi complex. Transports AQP2 from the trans-Golgi network (TGN) to sites of AQP2 phosphorylation. Mediates the non-vesicular transport of glucosylceramide (GlcCer) from the trans-Golgi network (TGN) to the plasma membrane and plays a pivotal role in the synthesis of complex glycosphingolipids. Binding of both phosphatidylinositol 4-phosphate (PIP) and ARF1 are essential for the GlcCer transfer ability. Also required for primary cilium formation, possibly by being involved in the transport of raft lipids to the apical membrane, and for membrane tubulation.
See full target information PLEKHA8

Publications (1)

Recent publications for all applications. Explore the full list and refine your search

Molecular biology of the cell 30:1523-1535 PubMed30943106

2019

Promiscuity of the catalytic Sec7 domain within the guanine nucleotide exchange factor GBF1 in ARF activation, Golgi homeostasis, and effector recruitment.

Applications

Unspecified application

Species

Unspecified reactive species

Jay M Bhatt,William Hancock,Justyna M Meissner,Aneta Kaczmarczyk,Eunjoo Lee,Ekaterina Viktorova,Sasanka Ramanadham,George A Belov,Elizabeth Sztul
View all publications

Product promise

We are committed to supporting your work with high-quality reagents, and we're here for you every step of the way. In the unlikely event that one of our products does not perform as expected, you're protected by our Product Promise.
For full details, please see our Terms & Conditions

Please note: All products are 'FOR RESEARCH USE ONLY. NOT FOR USE IN DIAGNOSTIC OR THERAPEUTIC PROCEDURES'.

For licensing inquiries, please contact partnerships@abcam.com