JavaScript is disabled in your browser. Please enable JavaScript to view this website.
AB236948

Anti-FARP1 antibody

Be the first to review this product! Submit a review

|

(1 Publication)

Rabbit Polyclonal FARP1 antibody. Suitable for WB, IHC-P, ICC/IF and reacts with Human samples. Cited in 1 publication. Immunogen corresponding to Recombinant Fragment Protein within Human FARP1 aa 1-300.

View Alternative Names

CDEP, PLEKHC2, FARP1, Chondrocyte-derived ezrin-like protein, Pleckstrin homology domain-containing family C member 2, PH domain-containing family C member 2

5 Images
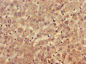
Immunohistochemistry (Formalin/PFA-fixed paraffin-embedded sections) - Anti-FARP1 antibody (AB236948)
  • IHC-P

Supplier Data

Immunohistochemistry (Formalin/PFA-fixed paraffin-embedded sections) - Anti-FARP1 antibody (AB236948)

Paraffin-embedded human liver tissue stained for FARP1 using ab236948 at 1/100 dilution in immunohistochemical analysis.

Western blot - Anti-FARP1 antibody (AB236948)
  • WB

Supplier Data

Western blot - Anti-FARP1 antibody (AB236948)

All lanes:

Western blot - Anti-FARP1 antibody (ab236948) at 1/500 dilution

Lane 1:

A-375 (human malignant melanoma cell line) cell lysate

Lane 2:

HEK-293 (human epithelial cell line from embryonic kidney) cell lysate

Lane 3:

HepG2 (human liver hepatocellular carcinoma cell line) cell lysate

Lane 4:

A549 (human lung carcinoma cell line) cell lysate

Secondary

All lanes:

Goat polyclonal to rabbit IgG at 1/50000 dilution

Predicted band size: 119 kDa

false

Immunocytochemistry/ Immunofluorescence - Anti-FARP1 antibody (AB236948)
  • ICC/IF

Supplier Data

Immunocytochemistry/ Immunofluorescence - Anti-FARP1 antibody (AB236948)

HepG2 (human liver hepatocellular carcinoma cell line) cells stained for FARP1 (green) using ab236948 at 1/100 dilution in ICC/IF, followed by Alexa Fluor 488-conjugated goat anti-rabbit IgG (H+L).

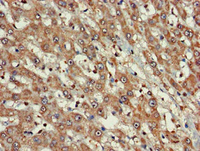
Immunohistochemistry (Formalin/PFA-fixed paraffin-embedded sections) - Anti-FARP1 antibody (AB236948)
  • IHC-P

Supplier Data

Immunohistochemistry (Formalin/PFA-fixed paraffin-embedded sections) - Anti-FARP1 antibody (AB236948)

Paraffin-embedded human liver cancer tissue stained for FARP1 using ab236948 at 1/100 dilution in immunohistochemical analysis.

Immunocytochemistry/ Immunofluorescence - Anti-FARP1 antibody (AB236948)
  • ICC/IF

Supplier Data

Immunocytochemistry/ Immunofluorescence - Anti-FARP1 antibody (AB236948)

A549 (human lung carcinoma cell line) cells stained for FARP1 using ab236948 at 1/100 dilution in ICC/IF, followed by Cy3-congugated Goat Anti-Rabbit IgG (H+L) Polyclonal Antibody.

Key facts

Host species

Rabbit

Clonality

Polyclonal

Isotype

IgG

Carrier free

No

Reacts with

Human

Applications

IHC-P, ICC/IF, WB

applications

Immunogen

Recombinant Fragment Protein within Human FARP1 aa 1-300. The exact immunogen used to generate this antibody is proprietary information.

Q9Y4F1

Reactivity data

{ "title": "Reactivity Data", "filters": { "stats": ["", "Species", "Dilution Info", "Notes"], "tabs": { "all-applications": {"fullname" : "All Applications", "shortname": "All Applications"}, "WB" : {"fullname" : "Western blot", "shortname":"WB"}, "IHCP" : {"fullname" : "Immunohistochemistry (Formalin/PFA-fixed paraffin-embedded sections)", "shortname":"IHC-P"}, "ICCIF" : {"fullname" : "Immunocytochemistry/ Immunofluorescence", "shortname":"ICC/IF"} }, "product-promise": { "all": "all", "testedAndGuaranteed": "tested", "guaranteed": "expected", "predicted": "predicted", "notRecommended": "not-recommended" } }, "values": { "Human": { "WB-species-checked": "testedAndGuaranteed", "WB-species-dilution-info": "1/500 - 1/5000", "WB-species-notes": "<p></p>", "IHCP-species-checked": "testedAndGuaranteed", "IHCP-species-dilution-info": "1/20 - 1/200", "IHCP-species-notes": "<p></p>", "ICCIF-species-checked": "testedAndGuaranteed", "ICCIF-species-dilution-info": "1/50 - 1/200", "ICCIF-species-notes": "<p></p>" }, "Mouse": { "WB-species-checked": "predicted", "WB-species-dilution-info": "", "WB-species-notes": "", "IHCP-species-checked": "predicted", "IHCP-species-dilution-info": "", "IHCP-species-notes": "", "ICCIF-species-checked": "predicted", "ICCIF-species-dilution-info": "", "ICCIF-species-notes": "" }, "Rat": { "WB-species-checked": "predicted", "WB-species-dilution-info": "", "WB-species-notes": "", "IHCP-species-checked": "predicted", "IHCP-species-dilution-info": "", "IHCP-species-notes": "", "ICCIF-species-checked": "predicted", "ICCIF-species-dilution-info": "", "ICCIF-species-notes": "" }, "Chicken": { "WB-species-checked": "predicted", "WB-species-dilution-info": "", "WB-species-notes": "", "IHCP-species-checked": "predicted", "IHCP-species-dilution-info": "", "IHCP-species-notes": "", "ICCIF-species-checked": "predicted", "ICCIF-species-dilution-info": "", "ICCIF-species-notes": "" }, "Orangutan": { "WB-species-checked": "predicted", "WB-species-dilution-info": "", "WB-species-notes": "", "IHCP-species-checked": "predicted", "IHCP-species-dilution-info": "", "IHCP-species-notes": "", "ICCIF-species-checked": "predicted", "ICCIF-species-dilution-info": "", "ICCIF-species-notes": "" } } }

Properties and storage information

Form
Liquid
Purification technique
Affinity purification Protein G
Purification notes
Purity >95%.
Storage buffer
pH: 7.4 Preservative: 0.03% Proclin 300 Constituents: PBS, 50% Glycerol (glycerin, glycerine)
Shipped at conditions
Blue Ice
Appropriate short-term storage duration
1-2 weeks
Appropriate short-term storage conditions
+4°C
Appropriate long-term storage conditions
-20°C
Aliquoting information
Upon delivery aliquot
Storage information
Avoid freeze / thaw cycle

Supplementary information

This supplementary information is collated from multiple sources and compiled automatically.

The FARP1 protein also known as FERM ARHGEF and pleckstrin domain protein 1 plays an important role in cell signaling. Its molecular weight is approximately 110 kDa. FARP1 localizes in the cytoplasm and is particularly expressed in neuronal tissues including the brain and spinal cord. It contains domains that facilitate interactions with other proteins and cellular membranes aiding its function as a mediator in signaling pathways.
Biological function summary

FARP1 acts as a guanine nucleotide exchange factor (GEF) which influences the activity of small GTPases such as Rac1 and Cdc42 affecting cytoskeletal reorganization. It forms part of signaling complexes that regulate axon guidance and neuronal development. Its involvement in these processes links FARP1 to critical roles in maintaining proper neuronal structure and connectivity.

Pathways

The protein engages in the semaphorin-plexin signaling pathway where it activates Rac1 to initiate cytoskeletal changes necessary for axon steering and dendrite growth. FARP1 also interacts with other GTPase regulatory proteins coordinating with proteins like Plexin-A and Rac1 to integrate external signals into specific cellular responses during neural development and cell migration.

FARP1 has connections to neurodevelopmental disorders including autism spectrum disorders through its influence on neuronal connectivity and synapse formation. Dysregulation of its activity impacts pathways that involve proteins such as Plexin-A. Moreover altered FARP1 expression or mutations might relate to Alzheimer's disease as improper neuronal signaling and cytoskeletal organization can contribute to pathogenesis through interaction with tau and other neurodegenerative markers.

Product protocols

For this product, it's our understanding that no specific protocols are required. You can visit:

Target data

Functions as a guanine nucleotide exchange factor for RAC1. May play a role in semaphorin signaling. Plays a role in the assembly and disassembly of dendritic filopodia, the formation of dendritic spines, regulation of dendrite length and ultimately the formation of synapses (By similarity).
See full target information FARP1

Publications (1)

Recent publications for all applications. Explore the full list and refine your search

iScience 28:112748 PubMed40585507

2025

CETSA-MS unveils novel targets engaged by rigosertib to promote anti-tumor activity and inflammatory responses.

Applications

Unspecified application

Species

Unspecified reactive species

Petros Kechagioglou,Hajime Yurugi,Camille Dupont,Alexey Chernobrovkin,Rossana Romero,Gregory Harms,Marie Oster,Sandra Ciesek,Rebecca Tweedell,Thirumala-Devi Kanneganti,Stefanie Zimmer,Stephen Cosenza,Steven M Fruchtman,Krishnaraj Rajalingam
View all publications

Product promise

We are committed to supporting your work with high-quality reagents, and we're here for you every step of the way. In the unlikely event that one of our products does not perform as expected, you're protected by our Product Promise.
For full details, please see our Terms & Conditions

Please note: All products are 'FOR RESEARCH USE ONLY. NOT FOR USE IN DIAGNOSTIC OR THERAPEUTIC PROCEDURES'.

For licensing inquiries, please contact partnerships@abcam.com