JavaScript is disabled in your browser. Please enable JavaScript to view this website.
AB231190

Anti-FARS2 antibody

Be the first to review this product! Submit a review

|

(0 Publication)

Rabbit Polyclonal FARS2 antibody. Suitable for WB, IHC-P and reacts with Rat, Human samples. Immunogen corresponding to Recombinant Full Length Protein corresponding to Rat Fars2.

View Alternative Names

FARS1, HSPC320, FARS2, Phenylalanyl-tRNA synthetase, PheRS

6 Images
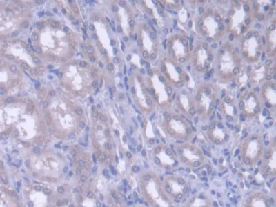
Immunohistochemistry (Formalin/PFA-fixed paraffin-embedded sections) - Anti-FARS2 antibody (AB231190)
  • IHC-P

Supplier Data

Immunohistochemistry (Formalin/PFA-fixed paraffin-embedded sections) - Anti-FARS2 antibody (AB231190)

Formalin-fixed, paraffin-embedded rat kidney tissue stained for FARS2 using ab231190 at 20 mg/ml in immunohistochemical analysis. DAB staining.

Immunohistochemistry (Formalin/PFA-fixed paraffin-embedded sections) - Anti-FARS2 antibody (AB231190)
  • IHC-P

Supplier Data

Immunohistochemistry (Formalin/PFA-fixed paraffin-embedded sections) - Anti-FARS2 antibody (AB231190)

Formalin-fixed, paraffin-embedded rat stomach tissue stained for FARS2 using ab231190 at 20 mg/ml in immunohistochemical analysis. DAB staining.

Western blot - Anti-FARS2 antibody (AB231190)
  • WB

Supplier Data

Western blot - Anti-FARS2 antibody (AB231190)

All lanes:

Western blot - Anti-FARS2 antibody (ab231190) at 2 µg/mL

All lanes:

HepG2 (human liver hepatocellular carcinoma cell line) cell lysate

Predicted band size: 52 kDa

false

Western blot - Anti-FARS2 antibody (AB231190)
  • WB

Supplier Data

Western blot - Anti-FARS2 antibody (AB231190)

All lanes:

Western blot - Anti-FARS2 antibody (ab231190) at 2 µg/mL

All lanes:

Jurkat (human T cell leukemia cell line from peripheral blood) cell lysate

Predicted band size: 52 kDa,65 kDa

false

Western blot - Anti-FARS2 antibody (AB231190)
  • WB

Supplier Data

Western blot - Anti-FARS2 antibody (AB231190)

All lanes:

Western blot - Anti-FARS2 antibody (ab231190) at 2 µg/mL

All lanes:

Recombinant rat FARS2 protein

Predicted band size: 52 kDa

false

Western blot - Anti-FARS2 antibody (AB231190)
  • WB

Supplier Data

Western blot - Anti-FARS2 antibody (AB231190)

All lanes:

Western blot - Anti-FARS2 antibody (ab231190) at 2 µg/mL

All lanes:

HeLa (human epithelial cell line from cervix adenocarcinoma) cell lysate

Predicted band size: 52 kDa

false

Key facts

Host species

Rabbit

Clonality

Polyclonal

Isotype

IgG

Carrier free

No

Reacts with

Rat, Human

Applications

WB, IHC-P

applications

Immunogen

Recombinant Full Length Protein corresponding to Rat Fars2.

Q6AYQ3

Reactivity data

{ "title": "Reactivity Data", "filters": { "stats": ["", "Species", "Dilution Info", "Notes"], "tabs": { "all-applications": {"fullname" : "All Applications", "shortname": "All Applications"}, "WB" : {"fullname" : "Western blot", "shortname":"WB"}, "IHCP" : {"fullname" : "Immunohistochemistry (Formalin/PFA-fixed paraffin-embedded sections)", "shortname":"IHC-P"} }, "product-promise": { "all": "all", "testedAndGuaranteed": "tested", "guaranteed": "expected", "predicted": "predicted", "notRecommended": "not-recommended" } }, "values": { "Human": { "WB-species-checked": "testedAndGuaranteed", "WB-species-dilution-info": "0.2-2 µg/mL", "WB-species-notes": "<p></p>", "IHCP-species-checked": "guaranteed", "IHCP-species-dilution-info": "", "IHCP-species-notes": "" }, "Mouse": { "WB-species-checked": "predicted", "WB-species-dilution-info": "", "WB-species-notes": "", "IHCP-species-checked": "predicted", "IHCP-species-dilution-info": "", "IHCP-species-notes": "" }, "Rat": { "WB-species-checked": "testedAndGuaranteed", "WB-species-dilution-info": "0.2-2 µg/mL", "WB-species-notes": "<p></p>", "IHCP-species-checked": "testedAndGuaranteed", "IHCP-species-dilution-info": "5-20 µg/mL", "IHCP-species-notes": "<p></p>" } } }

Properties and storage information

Form
Liquid
Purification technique
Affinity purification Immunogen
Purification notes
Antigen-specific affinity chromatography followed by Protein A affinity chromatography.
Storage buffer
pH: 7.4 Preservative: 0.011% Proclin 300 Constituents: PBS, 55.77% Glycerol (glycerin, glycerine)
Shipped at conditions
Blue Ice
Appropriate short-term storage duration
1-2 weeks
Appropriate short-term storage conditions
+4°C
Appropriate long-term storage conditions
-20°C
Aliquoting information
Upon delivery aliquot
Storage information
Avoid freeze / thaw cycle

Supplementary information

This supplementary information is collated from multiple sources and compiled automatically.

The enzyme known as FARS2 or mitochondrial phenylalanyl-tRNA synthetase 2 plays an important role in mitochondrial protein synthesis. It catalyzes the attachment of phenylalanine to its corresponding tRNA a process essential for translating the genetic code into proteins within mitochondria. FARS2 has a molecular mass of approximately 53 kDa and is mainly expressed in tissues with high energy demands such as brain heart and skeletal muscle. This expression pattern highlights its importance in maintaining proper mitochondrial function.
Biological function summary

FARS2 functions primarily in the mitochondrial translation machinery where it ensures the proper incorporation of phenylalanine into mitochondrial proteins. It operates as a single monomeric enzyme rather than being part of a larger complex highlighting its unique role in mitochondrial biology. Mutations affecting FARS2 can disrupt mitochondrial translation and lead to malfunction of mitochondrial respiratory chain complexes impacting cellular energy production.

Pathways

FARS2 is integral to the mitochondrial translation pathway which plays a critical role in synthesizing proteins required for the oxidative phosphorylation system. This pathway includes various mitochondrial aminoacyl-tRNA synthetases and is closely related to the oxidative phosphorylation pathway. FARS2 interacts functionally with proteins involved in the electron transport chain such as those encoded by the mitochondrial DNA to ensure efficient energy production within cells.

Mutations in FARS2 can lead to neurodegenerative conditions such as combined oxidative phosphorylation deficiency 14 and Alpers syndrome. These disorders highlight the enzyme's role in neural development and function. The disruption in mitochondrial translation caused by faulty FARS2 impacts proteins involved in the oxidative phosphorylation system such as NDUFB8 further exacerbating energy deficiency in affected tissues.

Product protocols

For this product, it's our understanding that no specific protocols are required. You can visit:

Target data

Is responsible for the charging of tRNA(Phe) with phenylalanine in mitochondrial translation. To a lesser extent, also catalyzes direct attachment of m-Tyr (an oxidized version of Phe) to tRNA(Phe), thereby opening the way for delivery of the misacylated tRNA to the ribosome and incorporation of ROS-damaged amino acid into proteins.
See full target information FARS2

Product promise

We are committed to supporting your work with high-quality reagents, and we're here for you every step of the way. In the unlikely event that one of our products does not perform as expected, you're protected by our Product Promise.
For full details, please see our Terms & Conditions

Please note: All products are 'FOR RESEARCH USE ONLY. NOT FOR USE IN DIAGNOSTIC OR THERAPEUTIC PROCEDURES'.

For licensing inquiries, please contact partnerships@abcam.com