JavaScript is disabled in your browser. Please enable JavaScript to view this website.
AB289892

Anti-Fas antibody [EPR24898-74] - BSA and Azide free

Be the first to review this product! Submit a review

|

(1 Publication)

Rabbit Recombinant Monoclonal Fas antibody. Carrier free. Suitable for WB, IHC-P, IHC-Fr, IP and reacts with Mouse samples. Cited in 1 publication.

View Alternative Names

CD95, Apt1, Tnfrsf6, Fas, Tumor necrosis factor receptor superfamily member 6, Apo-1 antigen, Apoptosis-mediating surface antigen FAS, FASLG receptor

10 Images
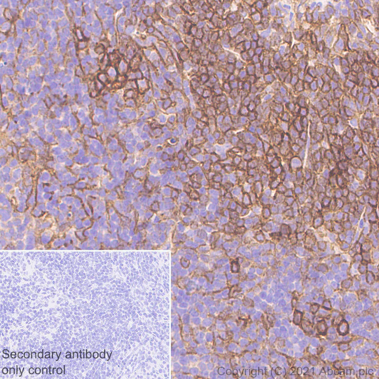
Immunohistochemistry (Formalin/PFA-fixed paraffin-embedded sections) - Anti-Fas antibody [EPR24898-74] - BSA and Azide free (AB289892)
  • IHC-P

Supplier Data

Immunohistochemistry (Formalin/PFA-fixed paraffin-embedded sections) - Anti-Fas antibody [EPR24898-74] - BSA and Azide free (AB289892)

This data was developed using ab271016, the same antibody clone in a different buffer formulation.

Immunohistochemical analysis of paraffin-embedded sections of mouse thymus labelling Fas with ab271016 at 1/100 dilution followed by ready to use secondary antibody LeicaDS9800 (Bond™ Polymer Refine Detection). Membranous staining on mouse thymus. Counterstained with Hematoxylin.

Heat mediated antigen retrieval with Tris-EDTA buffer (pH 9.0, epitope retrieval solution2) for 20 mins was used. The section was incubated with ab271016 for 30 mins at room temperature. The immunostaining was performed on a Leica Biosystems BOND® RX instrument.

Secondary antibody only control : PBS instead of primary antibody followed by LeicaDS9800 (Bond™ Polymer Refine Detection) as a secondary antibody.

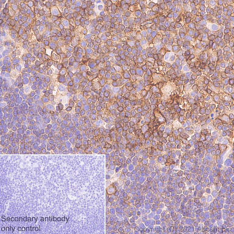
Immunohistochemistry (Formalin/PFA-fixed paraffin-embedded sections) - Anti-Fas antibody [EPR24898-74] - BSA and Azide free (AB289892)
  • IHC-P

Supplier Data

Immunohistochemistry (Formalin/PFA-fixed paraffin-embedded sections) - Anti-Fas antibody [EPR24898-74] - BSA and Azide free (AB289892)

This data was developed using ab271016, the same antibody clone in a different buffer formulation.

Immunohistochemical analysis of paraffin-embedded sections of mouse spleen labelling Fas with ab271016 at 1/100 dilution followed by ready to use secondary antibody LeicaDS9800 (Bond™ Polymer Refine Detection). Membranous staining on mouse spleen. Counterstained with Hematoxylin.

Heat mediated antigen retrieval with Tris-EDTA buffer (pH 9.0, epitope retrieval solution2) for 20 mins was used. The section was incubated with ab271016 for 30 mins at room temperature. The immunostaining was performed on a Leica Biosystems BOND® RX instrument.

Secondary antibody only control : PBS instead of primary antibody followed by LeicaDS9800 (Bond™ Polymer Refine Detection) as a secondary antibody.

Immunohistochemistry (Frozen sections) - Anti-Fas antibody [EPR24898-74] - BSA and Azide free (AB289892)
  • IHC-Fr

Supplier Data

Immunohistochemistry (Frozen sections) - Anti-Fas antibody [EPR24898-74] - BSA and Azide free (AB289892)

This data was developed using ab271016, the same antibody clone in a different buffer formulation.

Immunohistochemical analysis of 4% PFA-fixed, 0.2% Triton X-100 permeabilized frozen mouse thymus (fresh) tissue labelling Fas with ab 271016 at 1/100 dilution, followed by Goat Anti-Rabbit IgG H&L (Alexa Fluor® 488) preadsorbed (ab150081) at 1/1000 dilution (Green). Positive staining on mouse thymus. The nuclear counter stain was DAPI (Blue).

Secondary antibody only control : Used PBS instead of primary antibody follwed by Goat Anti-Rabbit IgG H&L (Alexa Fluor® 488) preadsorbed (ab150081) at 1/1000 dilution.

Immunohistochemistry (Frozen sections) - Anti-Fas antibody [EPR24898-74] - BSA and Azide free (AB289892)
  • IHC-Fr

Supplier Data

Immunohistochemistry (Frozen sections) - Anti-Fas antibody [EPR24898-74] - BSA and Azide free (AB289892)

This data was developed using ab271016, the same antibody clone in a different buffer formulation.

Immunohistochemical analysis of 4% PFA-fixed, 0.2% Triton X-100 permeabilized frozen mouse liver (fresh) tissue labelling Fas with ab 271016 at 1/100 dilution, followed by Goat Anti-Rabbit IgG H&L (Alexa Fluor® 488) preadsorbed (ab150081) at 1/1000 dilution (Green). Positive staining on mouse liver. The nuclear counter stain was DAPI (Blue).

Secondary antibody only control : Used PBS instead of primary antibody followed by Goat Anti-Rabbit IgG H&L (Alexa Fluor® 488) preadsorbed (ab150081) at 1/1000 dilution.

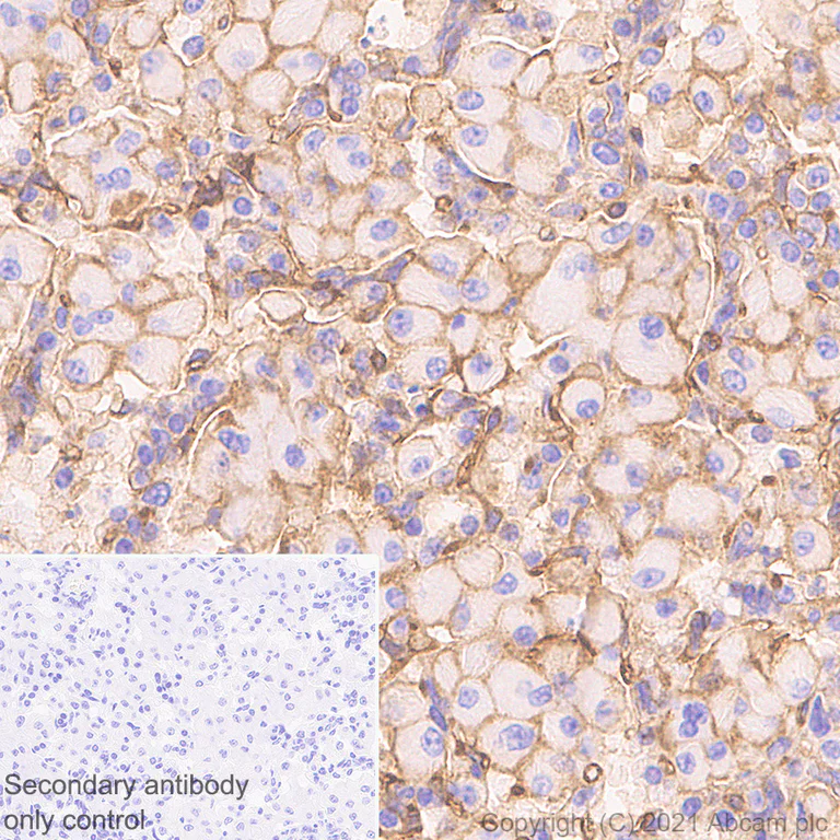
Immunohistochemistry (Formalin/PFA-fixed paraffin-embedded sections) - Anti-Fas antibody [EPR24898-74] - BSA and Azide free (AB289892)
  • IHC-P

Supplier Data

Immunohistochemistry (Formalin/PFA-fixed paraffin-embedded sections) - Anti-Fas antibody [EPR24898-74] - BSA and Azide free (AB289892)

This data was developed using ab271016, the same antibody clone in a different buffer formulation.

Immunohistochemical analysis of paraffin-embedded sections of mouse lung cancer labelling Fas with ab271016 at 1/100 dilution followed by ready to use secondary antibody LeicaDS9800 (Bond™ Polymer Refine Detection). Membranous staining on mouse lung cancer tissue. Counterstained with Hematoxylin.

Heat mediated antigen retrieval with Tris-EDTA buffer (pH 9.0, epitope retrieval solution2) for 20 mins was used. The section was incubated with ab271016 for 30 mins at room temperature. The immunostaining was performed on a Leica Biosystems BOND® RX instrument.

Secondary antibody only control : PBS instead of primary antibody followed by LeicaDS9800 (Bond™ Polymer Refine Detection) as a secondary antibody.

Immunoprecipitation - Anti-Fas antibody [EPR24898-74] - BSA and Azide free (AB289892)
  • IP

Supplier Data

Immunoprecipitation - Anti-Fas antibody [EPR24898-74] - BSA and Azide free (AB289892)

This data was developed using ab271016, the same antibody clone in a different buffer formulation.

Fas was immunoprecipitated from mouse thymus tissue lysate with ab271016 at 1/30 dilution (2 μg in 0.35 mg lysates). Western blot was performed from innunoprecipitate using ab271016 at 1/1000 dilution. Secondary antibody VeriBlot for IP secondary antibody(HRP)(ab131366) at 1/5000 dilution.

Lane 1 : Mouse thymus tissue lysate (Input) 10 μg

Lane 2 : ab271016 IP in Mouse thymus tissue lysate

Lane 3 : Rabbit monoclonal IgG (ab172730) instead of ab271016 in mouse thymus tissue lysate

Exposure time : 5.5 seconds

The 20KDa band could be a degradation or cleavage product, as demonstrated by the use of fresh lysate in the WB data.

All lanes:

Immunoprecipitation - Anti-Fas antibody [EPR24898-74] (<a href='/en-us/products/primary-antibodies/fas-antibody-epr24898-74-ab271016'>ab271016</a>)

Predicted band size: 37 kDa

Observed band size: 45 kDa

false

Western blot - Anti-Fas antibody [EPR24898-74] - BSA and Azide free (AB289892)
  • WB

Supplier Data

Western blot - Anti-Fas antibody [EPR24898-74] - BSA and Azide free (AB289892)

This data was developed using ab271016, the same antibody clone in a different buffer formulation.

5% NFDM/TBST was used as a blocking and diluting buffer.

Exposure times :

Lane 1-2 : 37 seconds;
Lane 3 : 81 seconds.

Lanes 2-3 lysate was made fresh and used immediately to minimize protein degradation.

The 20 kDa band in lane 1 could be a degradation or cleavage product.

All lanes:

Western blot - Anti-Fas antibody [EPR24898-74] (<a href='/en-us/products/primary-antibodies/fas-antibody-epr24898-74-ab271016'>ab271016</a>) at 1/1000 dilution

Lane 1:

Mouse thymus tissue lysate at 20 µg

Lane 2:

Mouse thymus tissue fresh lysate at 20 µg

Lane 3:

A20 (mouse reticulum sarcoma B lymphocyte) whole cell fresh lysate at 20 µg

Secondary

All lanes:

Western blot - Goat Anti-Rabbit IgG H&L (HRP) (<a href='/en-us/products/secondary-antibodies/goat-rabbit-igg-h-l-hrp-ab97051'>ab97051</a>) at 1/100000 dilution

Predicted band size: 37 kDa

Observed band size: 45 kDa

false

Western blot - Anti-Fas antibody [EPR24898-74] - BSA and Azide free (AB289892)
  • WB

Supplier Data

Western blot - Anti-Fas antibody [EPR24898-74] - BSA and Azide free (AB289892)

This data was developed using ab271016, the same antibody clone in a different buffer formulation.

5% NFDM/TBST was used as a blocking and diluting buffer.

Exposure times :

Lane 1, 3 : 26 seconds;
Lane 2 : 136 seconds.

The observed MW are consistent with what has been described in the literature (PMID : 28883393).

All lanes:

Western blot - Anti-Fas antibody [EPR24898-74] (<a href='/en-us/products/primary-antibodies/fas-antibody-epr24898-74-ab271016'>ab271016</a>) at 1/1000 dilution

Lane 1:

Mouse liver tissue lysate at 20 µg

Lane 2:

Mouse heart tissue lysate at 20 µg

Lane 3:

Mouse lung tissue lysate at 20 µg

Secondary

All lanes:

Western blot - Goat Anti-Rabbit IgG H&L (HRP) (<a href='/en-us/products/secondary-antibodies/goat-rabbit-igg-h-l-hrp-ab97051'>ab97051</a>) at 1/20000 dilution

Predicted band size: 37 kDa

Observed band size: 45 kDa

false

Western blot - Anti-Fas antibody [EPR24898-74] - BSA and Azide free (AB289892)
  • WB

Supplier Data

Western blot - Anti-Fas antibody [EPR24898-74] - BSA and Azide free (AB289892)

This data was developed using ab271016, the same antibody clone in a different buffer formulation.

5% NFDM/TBST was used as blocking and diluting buffer.

The observed MW are consistent with what has been described in the literature (PMID : 28883393).

Low expression : stomach, skin (PMID : 31582729; PMID : 11106570).

All lanes:

Western blot - Anti-Fas antibody [EPR24898-74] (<a href='/en-us/products/primary-antibodies/fas-antibody-epr24898-74-ab271016'>ab271016</a>) at 1/1000 dilution

Lane 1:

Mouse spleen tissue lysate at 20 µg

Lane 2:

Mouse stomach tissue lysate at 20 µg

Lane 3:

Mouse skin tissue lysate at 20 µg

Secondary

All lanes:

Western blot - Goat Anti-Rabbit IgG H&L (HRP) (<a href='/en-us/products/secondary-antibodies/goat-rabbit-igg-h-l-hrp-ab97051'>ab97051</a>) at 1/100000 dilution

Predicted band size: 37 kDa

Observed band size: 45 kDa

false

Exposure time: 3min

Western blot - Anti-Fas antibody [EPR24898-74] - BSA and Azide free (AB289892)
  • WB

Lab

Western blot - Anti-Fas antibody [EPR24898-74] - BSA and Azide free (AB289892)

Blocking and diluting buffer : 5% NFDM/TBST.

All lanes:

Western blot - Anti-Fas antibody [EPR24898-74] (<a href='/en-us/products/primary-antibodies/fas-antibody-epr24898-74-ab271016'>ab271016</a>) at 1/1000 dilution

Lane 1:

Mouse pancreas tissue lysate at 20 µg

Lane 2:

Mouse placenta tissue lysate at 20 µg

Lane 3:

Mouse uterus tissue lysate at 20 µg

Lane 4:

J774A.1 (mouse reticulum cell sarcoma monocyte macrophage) whole cell lysate at 20 µg

Lane 5:

L929 (mouse connective tissue fibroblast) whole cell lysate at 20 µg

Secondary

All lanes:

Western blot - Goat Anti-Rabbit IgG H&L (HRP) (<a href='/en-us/products/secondary-antibodies/goat-rabbit-igg-h-l-hrp-ab97051'>ab97051</a>) at 1/20000 dilution

Predicted band size: 37 kDa

Observed band size: 45 kDa

false

Exposure time: 180s

Key facts

Host species

Rabbit

Clonality

Monoclonal

Clone number

EPR24898-74

Isotype

IgG

Carrier free

Yes

Reacts with

Mouse

Applications

IHC-P, IHC-Fr, WB, IP

applications

Immunogen

The exact immunogen used to generate this antibody is proprietary information.

Reactivity data

{ "title": "Reactivity Data", "filters": { "stats": ["", "Species", "Dilution Info", "Notes"], "tabs": { "all-applications": {"fullname" : "All Applications", "shortname": "All Applications"}, "WB" : {"fullname" : "Western blot", "shortname":"WB"}, "IHCP" : {"fullname" : "Immunohistochemistry (Formalin/PFA-fixed paraffin-embedded sections)", "shortname":"IHC-P"}, "FlowCytIntra" : {"fullname" : "Flow Cytometry (Intracellular)", "shortname":"Flow Cyt (Intra)"}, "IHCFr" : {"fullname" : "Immunohistochemistry (Frozen sections)", "shortname":"IHC-Fr"}, "IP" : {"fullname" : "Immunoprecipitation", "shortname":"IP"} }, "product-promise": { "all": "all", "testedAndGuaranteed": "tested", "guaranteed": "expected", "predicted": "predicted", "notRecommended": "not-recommended" } }, "values": { "Human": { "WB-species-checked": "notRecommended", "WB-species-dilution-info": "", "WB-species-notes": "<p></p>", "IHCP-species-checked": "notRecommended", "IHCP-species-dilution-info": "", "IHCP-species-notes": "<p></p>", "FlowCytIntra-species-checked": "notRecommended", "FlowCytIntra-species-dilution-info": "", "FlowCytIntra-species-notes": "", "IHCFr-species-checked": "notRecommended", "IHCFr-species-dilution-info": "", "IHCFr-species-notes": "", "IP-species-checked": "notRecommended", "IP-species-dilution-info": "", "IP-species-notes": "" }, "Mouse": { "WB-species-checked": "testedAndGuaranteed", "WB-species-dilution-info": "", "WB-species-notes": "<p></p>", "IHCP-species-checked": "testedAndGuaranteed", "IHCP-species-dilution-info": "", "IHCP-species-notes": "<p></p>", "FlowCytIntra-species-checked": "notRecommended", "FlowCytIntra-species-dilution-info": "", "FlowCytIntra-species-notes": "<p></p>", "IHCFr-species-checked": "testedAndGuaranteed", "IHCFr-species-dilution-info": "", "IHCFr-species-notes": "<p></p>", "IP-species-checked": "testedAndGuaranteed", "IP-species-dilution-info": "", "IP-species-notes": "<p></p>" } } }

Product details

ab289892 is a carrier free version of ab271016

Patented technology
Our RabMAb® technology is a patented hybridoma-based technology for making rabbit monoclonal antibodies. For details on our patents, please refer to RabMAb® patents.

What are the advantages of a recombinant monoclonal antibody?
This product is a recombinant monoclonal antibody, which offers several advantages including:

  • - High batch-to-batch consistency and reproducibility
  • - Improved sensitivity and specificity
  • - Long-term security of supply
  • - Animal-free batch production

For more information, read more on recombinant antibodies.

Conjugation ready
Our carrier-free antibodies are typically supplied in a PBS-only formulation, purified and free of BSA, sodium azide and glycerol. This conjugation-ready format is designed for use with fluorochromes, metal isotopes, oligonucleotides, and enzymes, which makes them ideal for antibody labelling, functional and cell-based assays, flow-based assays (e.g. mass cytometry) and Multiplex Imaging applications.

Use our conjugation kits for antibody conjugates that are ready-to-use in as little as 20 minutes with 1 minute hands-on-time and 100% antibody recovery: available for fluorescent dyes, HRP, biotin and gold.

Compatibility
This product is compatible with the Maxpar® Antibody Labeling Kit from Fluidigm, without the need for antibody preparation. Maxpar® is a trademark of Fluidigm Canada Inc.

Properties and storage information

Form
Liquid
Purification technique
Affinity purification Protein A
Storage buffer
pH: 7.2 - 7.4 Constituents: PBS
Shipped at conditions
Blue Ice
Appropriate short-term storage conditions
+4°C
Appropriate long-term storage conditions
+4°C

Product protocols

For this product, it's our understanding that no specific protocols are required. You can visit:

Target data

Receptor for TNFSF6/FASLG. The adapter molecule FADD recruits caspase CASP8 to the activated receptor. The resulting death-inducing signaling complex (DISC) performs CASP8 proteolytic activation which initiates the subsequent cascade of caspases (aspartate-specific cysteine proteases) mediating apoptosis. FAS-mediated apoptosis may have a role in the induction of peripheral tolerance, in the antigen-stimulated suicide of mature T-cells, or both (By similarity).
See full target information Fas

Publications (1)

Recent publications for all applications. Explore the full list and refine your search

Immunity, inflammation and disease 11:e947 PubMed37647445

2023

Asprosin contributes to nonalcoholic fatty liver disease through regulating lipid accumulation and inflammatory response via AMPK signaling.

Applications

Unspecified application

Species

Unspecified reactive species

Bo Zhang,Jinger Lu,Yuhua Jiang,Yan Feng
View all publications

Product promise

We are committed to supporting your work with high-quality reagents, and we're here for you every step of the way. In the unlikely event that one of our products does not perform as expected, you're protected by our Product Promise.
For full details, please see our Terms & Conditions

Please note: All products are 'FOR RESEARCH USE ONLY. NOT FOR USE IN DIAGNOSTIC OR THERAPEUTIC PROCEDURES'.

For licensing inquiries, please contact partnerships@abcam.com