JavaScript is disabled in your browser. Please enable JavaScript to view this website.
AB178076

Anti-Fas antibody [EPR5700] - BSA and Azide free

Be the first to review this product! Submit a review

|

(1 Publication)

Rabbit Recombinant Monoclonal Fas antibody. Carrier free. Suitable for IHC-P, ICC/IF, WB and reacts with Human samples. Cited in 1 publication.

View Alternative Names

CD95, APT1, FAS1, TNFRSF6, FAS, Tumor necrosis factor receptor superfamily member 6, Apo-1 antigen, Apoptosis-mediating surface antigen FAS, FASLG receptor

6 Images
Immunocytochemistry/ Immunofluorescence - Anti-Fas antibody [EPR5700] - BSA and Azide free (AB178076)
  • ICC/IF

Unknown

Immunocytochemistry/ Immunofluorescence - Anti-Fas antibody [EPR5700] - BSA and Azide free (AB178076)

Clone EPR5700 (ab178076) has been successfully conjugated by Abcam. This image was generated using Anti-Fas antibody [EPR5700] (Alexa Fluor® 488). Please refer to ab204670 for protocol details.

ab204670 staining Fas in Raji cells. The cells were fixed with 80% methanol (5 min) and then incubated in 1%BSA/10% normal goat serum/0.3M glycine in 0.1% PBS-Tween for 1h to permeabilise the cells and block non-specific protein-protein interactions. The cells were then incubated overnight at +4°C with ab204670 at 1/100 dilution (shown in green) and ab195889, Mouse monoclonal to alpha Tubulin (Alexa Fluor® 594), at 1/250 dilution (shown in red). Nuclear DNA was labelled with DAPI (shown in blue).

Image was taken with a confocal microscope (Leica-Microsystems, TCS SP8).

This product also gave a positive signal under the same testing conditions in Raji cells fixed with 4% formaldehyde (10 min).

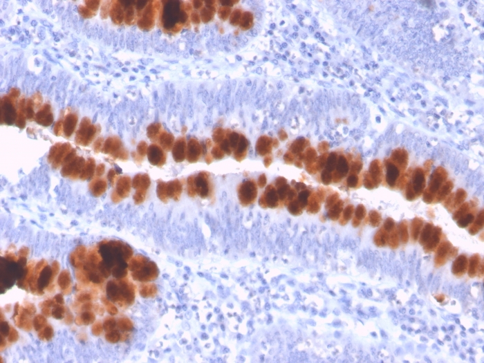
Immunohistochemistry (Formalin/PFA-fixed paraffin-embedded sections) - Anti-Fas antibody [EPR5700] - BSA and Azide free (AB178076)
  • IHC-P

Unknown

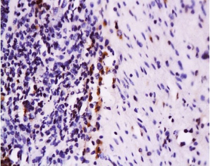
Immunohistochemistry (Formalin/PFA-fixed paraffin-embedded sections) - Anti-Fas antibody [EPR5700] - BSA and Azide free (AB178076)

Immunohistochemical analysis of paraffin embedded Human tonsil tissue labelling CD95 with ab133619 antibody at a dilution of 1/250.

This data was developed using the same antibody clone in a different buffer formulation containing PBS, BSA, glycerol, and sodium azide (ab133619).

Heat mediated antigen retrieval was performed before commencing with IHC staining protocol.

Immunohistochemistry (Formalin/PFA-fixed paraffin-embedded sections) - Anti-Fas antibody [EPR5700] - BSA and Azide free (AB178076)
  • IHC-P

Unknown

Immunohistochemistry (Formalin/PFA-fixed paraffin-embedded sections) - Anti-Fas antibody [EPR5700] - BSA and Azide free (AB178076)

Anti-Fas antibody [EPR5700] (ab133619)
Immunohistochemistry (Formalin/PFA-fixed paraffin-embedded sections) analysis of human tonsil tissue labelling Fas with ab133619 at a dilution of 1 : 500. Heat mediated antigen retrieval was performed using AR9 antigen retrieval solution, and microwave treatment for 15 min at 20% power. Anti-Rabbit/Mouse HRP polymer (PerkinElmer Opal Polymer HRP Ms Plus Rb) was used as secondary antibody. Opal tyramide amplification was performed using Opal 520 fluorophore. Counterstained with DAPI stain. Image scanned with Vectra 3.0 and analyzed via Phenochart software.
This image was courteously provided by Dr. Houssein Abdul Sater, Georgia Cancer Center.

Immunocytochemistry/ Immunofluorescence - Anti-Fas antibody [EPR5700] - BSA and Azide free (AB178076)
  • ICC/IF

Unknown

Immunocytochemistry/ Immunofluorescence - Anti-Fas antibody [EPR5700] - BSA and Azide free (AB178076)

Clone EPR5700 (ab178076) has been successfully conjugated by Abcam. This image was generated using Anti-Fas antibody [EPR5700] (Alexa Fluor® 647). Please refer to ab204671 for protocol details.

ab204671 staining Fas in Raji cells. The cells were fixed with 4% formaldehyde (10 min) and then incubated in 1%BSA/10% normal goat serum/0.3M glycine in 0.1% PBS-Tween for 1h to permeabilise the cells and block non-specific protein-protein interactions. The cells were then incubated overnight at +4°C with ab204671 at 1/50 dilution (shown in red) and ab195887, Mouse monoclonal to alpha Tubulin (Alexa Fluor® 488), at 1/250 dilution (shown in green). Nuclear DNA was labelled with DAPI (shown in blue).

Image was taken with a confocal microscope (Leica-Microsystems, TCS SP8).

Western blot - Anti-Fas antibody [EPR5700] - BSA and Azide free (AB178076)
  • WB

Lab

Western blot - Anti-Fas antibody [EPR5700] - BSA and Azide free (AB178076)

This data was developed using the same antibody clone in a different buffer formulation (ab133619).

Lanes 1-2 : Merged signal (red and green). Green - ab133619 observed at 37 kDa. Red - loading control ab8245 observed at 37 kDa.

ab133619 Anti-Fas antibody [EPR5700] was shown to specifically react with Fas in wild-type HeLa cells. Loss of signal was observed when knockout cell line ab265260 (knockout cell lysate ab256911) was used. Wild-type and Fas knockout samples were subjected to SDS-PAGE. ab133619 and Anti-GAPDH antibody [6C5] - Loading Control (ab8245) were incubated overnight at 4°C at 1 in 1000 and 1 in 20000 dilution respectively. Blots were developed with Goat anti-Rabbit IgG H&L (IRDye® 800CW) preadsorbed (ab216773) and Goat anti-Mouse IgG H&L (IRDye® 680RD) preadsorbed (ab216776) secondary antibodies at 1 in 20000 dilution for 1 hour at room temperature before imaging.

All lanes:

Western blot - Anti-Fas antibody [EPR5700] (<a href='/en-us/products/primary-antibodies/fas-antibody-epr5700-ab133619'>ab133619</a>) at 1/1000 dilution

Lane 1:

Wild-type HeLa cell lysate at 20 µg

Lane 2:

Western blot - Human FAS knockout HeLa cell line (<a href='/en-us/products/cell-lines/human-fas-knockout-hela-cell-line-ab265260'>ab265260</a>)

Lane 2:

FAS knockout HeLa cell lysate at 20 µg

Predicted band size: 37 kDa

Observed band size: 37 kDa

false

Immunocytochemistry/ Immunofluorescence - Anti-Fas antibody [EPR5700] - BSA and Azide free (AB178076)
  • ICC/IF

Unknown

Immunocytochemistry/ Immunofluorescence - Anti-Fas antibody [EPR5700] - BSA and Azide free (AB178076)

This data was developed using the same antibody clone in a different buffer formulation (ab133619).
Immunocytochemistry analysis of Raji (Human Burkitt's lymphoma B lymphocyte) labeling Fas with purified ab133619 at 1/50 dilution. Cells were fixed with 4% Paraformaldehyde and permeabilised with 0.1% tritonX-100. Goat anti rabbit IgG (Alexa Fluor® 488, ab150077) at 1/1000 (2 µg/ml) was used as the secondary antibody. ab195889 Anti-alpha Tubulin antibody [DM1A] - Microtubule Marker (Alexa Fluor® 594) 1/200 (2.31 µg/ml) was used as counterstain. Nuclei were stained blue with DAPI.
Negative control : PBS instead of the primary antibody.

Key facts

Host species

Rabbit

Clonality

Monoclonal

Clone number

EPR5700

Isotype

IgG

Carrier free

Yes

Reacts with

Human

Applications

WB, IHC-P, ICC/IF

applications

Immunogen

The exact immunogen used to generate this antibody is proprietary information.

Reactivity data

{ "title": "Reactivity Data", "filters": { "stats": ["", "Species", "Dilution Info", "Notes"], "tabs": { "all-applications": {"fullname" : "All Applications", "shortname": "All Applications"}, "IHCP" : {"fullname" : "Immunohistochemistry (Formalin/PFA-fixed paraffin-embedded sections)", "shortname":"IHC-P"}, "ICCIF" : {"fullname" : "Immunocytochemistry/ Immunofluorescence", "shortname":"ICC/IF"}, "IP" : {"fullname" : "Immunoprecipitation", "shortname":"IP"}, "FlowCytIntra" : {"fullname" : "Flow Cytometry (Intracellular)", "shortname":"Flow Cyt (Intra)"}, "WB" : {"fullname" : "Western blot", "shortname":"WB"} }, "product-promise": { "all": "all", "testedAndGuaranteed": "tested", "guaranteed": "expected", "predicted": "predicted", "notRecommended": "not-recommended" } }, "values": { "Human": { "IHCP-species-checked": "testedAndGuaranteed", "IHCP-species-dilution-info": "", "IHCP-species-notes": "<p></p>", "ICCIF-species-checked": "testedAndGuaranteed", "ICCIF-species-dilution-info": "", "ICCIF-species-notes": "<p></p>", "IP-species-checked": "notRecommended", "IP-species-dilution-info": "", "IP-species-notes": "<p></p>", "FlowCytIntra-species-checked": "notRecommended", "FlowCytIntra-species-dilution-info": "", "FlowCytIntra-species-notes": "<p></p>", "WB-species-checked": "testedAndGuaranteed", "WB-species-dilution-info": "", "WB-species-notes": "<p></p>" } } }

Product details

ab178076 is the carrier-free version of ab133619.

Patented technology
Our RabMAb® technology is a patented hybridoma-based technology for making rabbit monoclonal antibodies. For details on our patents, please refer to RabMAb® patents.

Conjugation ready
Our carrier-free antibodies are typically supplied in a PBS-only formulation, purified and free of BSA, sodium azide and glycerol. This conjugation-ready format is designed for use with fluorochromes, metal isotopes, oligonucleotides, and enzymes, which makes them ideal for antibody labelling, functional and cell-based assays, flow-based assays (e.g. mass cytometry) and Multiplex Imaging applications.

Use our conjugation kits for antibody conjugates that are ready-to-use in as little as 20 minutes with 1 minute hands-on-time and 100% antibody recovery: available for fluorescent dyes, HRP, biotin and gold.

Compatibility
This product is compatible with the Maxpar® Antibody Labeling Kit from Fluidigm, without the need for antibody preparation. Maxpar® is a trademark of Fluidigm Canada Inc.

Properties and storage information

Form
Liquid
Purification technique
Affinity purification Protein A
Storage buffer
Constituents: PBS
Shipped at conditions
Blue Ice
Appropriate short-term storage conditions
+4°C
Appropriate long-term storage conditions
+4°C
Storage information
Do Not Freeze

Product protocols

For this product, it's our understanding that no specific protocols are required. You can visit:

Target data

Receptor for TNFSF6/FASLG. The adapter molecule FADD recruits caspase CASP8 to the activated receptor. The resulting death-inducing signaling complex (DISC) performs CASP8 proteolytic activation which initiates the subsequent cascade of caspases (aspartate-specific cysteine proteases) mediating apoptosis. FAS-mediated apoptosis may have a role in the induction of peripheral tolerance, in the antigen-stimulated suicide of mature T-cells, or both. The secreted isoforms 2 to 6 block apoptosis (in vitro).
See full target information FAS

Publications (1)

Recent publications for all applications. Explore the full list and refine your search

Nature immunology 20:747-755 PubMed31061531

2019

Integrative proteomics reveals an increase in non-degradative ubiquitylation in activated CD4 T cells.

Applications

Unspecified application

Species

Unspecified reactive species

Joseph M Dybas,Claire E O'Leary,Hua Ding,Lynn A Spruce,Steven H Seeholzer,Paula M Oliver
View all publications

Product promise

We are committed to supporting your work with high-quality reagents, and we're here for you every step of the way. In the unlikely event that one of our products does not perform as expected, you're protected by our Product Promise.
For full details, please see our Terms & Conditions

Please note: All products are 'FOR RESEARCH USE ONLY. NOT FOR USE IN DIAGNOSTIC OR THERAPEUTIC PROCEDURES'.

For licensing inquiries, please contact partnerships@abcam.com