JavaScript is disabled in your browser. Please enable JavaScript to view this website.
AB232768

Anti-Fascin 2 antibody

Be the first to review this product! Submit a review

|

(1 Publication)

Rabbit Polyclonal Fascin 2 antibody. Suitable for WB, IHC-P and reacts with Human samples. Cited in 1 publication. Immunogen corresponding to Recombinant Fragment Protein within Human FSCN2 aa 1-300.

View Alternative Names

Fascin-2, Retinal fascin, FSCN2

3 Images
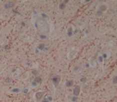
Immunohistochemistry (Formalin/PFA-fixed paraffin-embedded sections) - Anti-Fascin 2 antibody (AB232768)
  • IHC-P

Supplier Data

Immunohistochemistry (Formalin/PFA-fixed paraffin-embedded sections) - Anti-Fascin 2 antibody (AB232768)

Formalin-fixed, paraffin-embedded human brain tissue stained for Fascin 2 using ab232768 at 20 μg/ml in immunohistochemical analysis. DAB staining.

Western blot - Anti-Fascin 2 antibody (AB232768)
  • WB

Supplier Data

Western blot - Anti-Fascin 2 antibody (AB232768)

All lanes:

Western blot - Anti-Fascin 2 antibody (ab232768) at 1 µg/mL

All lanes:

Human placenta lysate

Secondary

All lanes:

Anti-Rabbit IgG Polyclonal Antibody (HRP) at 0.2 µg/mL

Predicted band size: 55 kDa

false

Western blot - Anti-Fascin 2 antibody (AB232768)
  • WB

Unknown

Western blot - Anti-Fascin 2 antibody (AB232768)

All lanes:

Western blot - Anti-Fascin 2 antibody (ab232768) at 1 µg/mL

All lanes:

Recombinant human Fascin 2 protein

Secondary

All lanes:

Anti-Rabbit IgG Polyclonal Antibody (HRP) at 0.2 µg/mL

Predicted band size: 55 kDa

false

Key facts

Host species

Rabbit

Clonality

Polyclonal

Isotype

IgG

Carrier free

No

Reacts with

Human

Applications

IHC-P, WB

applications

Immunogen

Recombinant Fragment Protein within Human FSCN2 aa 1-300. The exact immunogen used to generate this antibody is proprietary information.

O14926

Reactivity data

{ "title": "Reactivity Data", "filters": { "stats": ["", "Species", "Dilution Info", "Notes"], "tabs": { "all-applications": {"fullname" : "All Applications", "shortname": "All Applications"}, "WB" : {"fullname" : "Western blot", "shortname":"WB"}, "IHCP" : {"fullname" : "Immunohistochemistry (Formalin/PFA-fixed paraffin-embedded sections)", "shortname":"IHC-P"} }, "product-promise": { "all": "all", "testedAndGuaranteed": "tested", "guaranteed": "expected", "predicted": "predicted", "notRecommended": "not-recommended" } }, "values": { "Human": { "WB-species-checked": "testedAndGuaranteed", "WB-species-dilution-info": "0.5-2 µg/mL", "WB-species-notes": "<p></p>", "IHCP-species-checked": "testedAndGuaranteed", "IHCP-species-dilution-info": "5-20 µg/mL", "IHCP-species-notes": "<p></p>" }, "Mouse": { "WB-species-checked": "predicted", "WB-species-dilution-info": "", "WB-species-notes": "", "IHCP-species-checked": "predicted", "IHCP-species-dilution-info": "", "IHCP-species-notes": "" }, "Cow": { "WB-species-checked": "predicted", "WB-species-dilution-info": "", "WB-species-notes": "", "IHCP-species-checked": "predicted", "IHCP-species-dilution-info": "", "IHCP-species-notes": "" } } }

Properties and storage information

Form
Liquid
Purification technique
Affinity purification Immunogen
Purification notes
Antigen-specific affinity chromatography followed by Protein A affinity chromatography.
Storage buffer
pH: 7.4 Preservative: 0.011% Proclin 300 Constituents: 55.77% Glycerol (glycerin, glycerine), 44.219% PBS
Shipped at conditions
Blue Ice
Appropriate short-term storage duration
1-2 weeks
Appropriate short-term storage conditions
+4°C
Appropriate long-term storage conditions
-20°C
Aliquoting information
Upon delivery aliquot
Storage information
Avoid freeze / thaw cycle

Product protocols

For this product, it's our understanding that no specific protocols are required. You can visit:

Target data

Acts as an actin bundling protein. May play a pivotal role in photoreceptor cell-specific events, such as disk morphogenesis.
See full target information FSCN2

Publications (1)

Recent publications for all applications. Explore the full list and refine your search

Aging 11:8433-8462 PubMed31560653

2019

Brain pyrimidine nucleotide synthesis and Alzheimer disease.

Applications

Unspecified application

Species

Unspecified reactive species

Alba Pesini,Eldris Iglesias,M Pilar Bayona-Bafaluy,Nuria Garrido-Pérez,Patricia Meade,Paula Gaudó,Irene Jiménez-Salvador,Pol Andrés-Benito,Julio Montoya,Isidro Ferrer,Pedro Pesini,Eduardo Ruiz-Pesini
View all publications

Product promise

We are committed to supporting your work with high-quality reagents, and we're here for you every step of the way. In the unlikely event that one of our products does not perform as expected, you're protected by our Product Promise.
For full details, please see our Terms & Conditions

Please note: All products are 'FOR RESEARCH USE ONLY. NOT FOR USE IN DIAGNOSTIC OR THERAPEUTIC PROCEDURES'.

For licensing inquiries, please contact partnerships@abcam.com