JavaScript is disabled in your browser. Please enable JavaScript to view this website.
AB240034

Anti-Fascin antibody [EP5902] - BSA and Azide free

Be the first to review this product! Submit a review

|

(2 Publications)

Rabbit Recombinant Monoclonal Fascin antibody. Carrier free. Suitable for IHC-P, IP, WB, ICC/IF, Flow Cyt (Intra) and reacts with Human, Mouse samples. Cited in 2 publications.

View Alternative Names

FAN1, HSN, SNL, FSCN1, Fascin, 55 kDa actin-bundling protein, Singed-like protein, p55

9 Images
Immunocytochemistry/ Immunofluorescence - Anti-Fascin antibody [EP5902] - BSA and Azide free (AB240034)
  • ICC/IF

Lab

Immunocytochemistry/ Immunofluorescence - Anti-Fascin antibody [EP5902] - BSA and Azide free (AB240034)

Immunocytochemistry/Immunofluorescence analysis of U87-MG (human glioblastoma) labelling Fascin with purified ab126772 at 1/500. Cells were fixed with 100% methanol. An Alexa Fluor® 488-conjugated goat anti-rabbit IgG (ab150077) at dilution of 1/1000 was used as the secondary antibody. Nuclei couterstained with DAPI (blue).

Secondary Only Control : PBS was used instead of the primary antibody as the negative control.

This data was developed using the same antibody clone in a different buffer formulation containing PBS, BSA, glycerol, and sodium azide (ab126772).

Immunohistochemistry (Formalin/PFA-fixed paraffin-embedded sections) - Anti-Fascin antibody [EP5902] - BSA and Azide free (AB240034)
  • IHC-P

Unknown

Immunohistochemistry (Formalin/PFA-fixed paraffin-embedded sections) - Anti-Fascin antibody [EP5902] - BSA and Azide free (AB240034)

ab126772, at 1/250 dilution, staining Fascin in paraffin-embedded Human colon tissue by Immunohistochemistry.

This data was developed using the same antibody clone in a different buffer formulation containing PBS, BSA, glycerol, and sodium azide (ab126772).

Perform heat mediated antigen retrieval before commencing with IHC staining protocol.

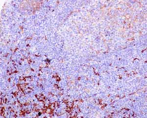
Immunohistochemistry (Formalin/PFA-fixed paraffin-embedded sections) - Anti-Fascin antibody [EP5902] - BSA and Azide free (AB240034)
  • IHC-P

Unknown

Immunohistochemistry (Formalin/PFA-fixed paraffin-embedded sections) - Anti-Fascin antibody [EP5902] - BSA and Azide free (AB240034)

ab126772 showing positive staining in Normal tonsil tissue.

This data was developed using the same antibody clone in a different buffer formulation containing PBS, BSA, glycerol, and sodium azide (ab126772).

Perform heat mediated antigen retrieval before commencing with IHC staining protocol.

Flow Cytometry (Intracellular) - Anti-Fascin antibody [EP5902] - BSA and Azide free (AB240034)
  • Flow Cyt (Intra)

Unknown

Flow Cytometry (Intracellular) - Anti-Fascin antibody [EP5902] - BSA and Azide free (AB240034)

Overlay histogram showing HeLa cells stained with ab126772 (red line). The cells were fixed with 80% methanol (5 min) and then permeabilized with 0.1% PBS-Tween for 20 min. The cells were then incubated in 1x PBS / 10% normal goat serum / 0.3M glycine to block non-specific protein-protein interactions followed by the antibody (ab126772, 1/1000 dilution) for 30 min at 22°C. The secondary antibody used was Alexa Fluor® 488 goat anti-rabbit IgG (H&L) (ab150077) at 1/2000 dilution for 30 min at 22°C. Isotype control antibody (black line) was rabbit IgG (monoclonal) (0.1μg/1x106 cells) used under the same conditions. Unlabelled sample (blue line) was also used as a control. Acquisition of >5,000 events were collected using a 20mW Argon ion laser (488nm) and 525/30 bandpass filter. This data was developed using the same antibody clone in a different buffer formulation containing PBS, BSA, glycerol, and sodium azide (ab126772).

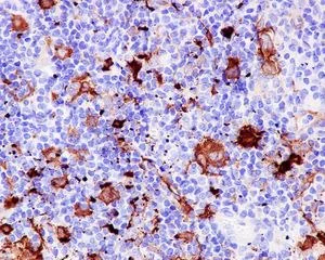
Immunohistochemistry (Formalin/PFA-fixed paraffin-embedded sections) - Anti-Fascin antibody [EP5902] - BSA and Azide free (AB240034)
  • IHC-P

Unknown

Immunohistochemistry (Formalin/PFA-fixed paraffin-embedded sections) - Anti-Fascin antibody [EP5902] - BSA and Azide free (AB240034)

ab126772, at 1/250 dilution, staining Fascin in paraffin-embedded Human Hodgkin's lymphoma tissue by Immunohistochemistry.

This data was developed using the same antibody clone in a different buffer formulation containing PBS, BSA, glycerol, and sodium azide (ab126772).

Perform heat mediated antigen retrieval before commencing with IHC staining protocol.

Western blot - Anti-Fascin antibody [EP5902] - BSA and Azide free (AB240034)
  • WB

Lab

Western blot - Anti-Fascin antibody [EP5902] - BSA and Azide free (AB240034)

This data was developed using the same antibody clone in a different buffer formulation (ab126772).

Lanes 1-4 : Merged signal (red and green). Green - ab126772 observed at 60 kDa. Red - loading control ab8245 observed at 36 kDa.

ab126772 Anti-Fascin antibody [EP5902] was shown to specifically react with Fascin in wild-type HCT116 cells. Loss of signal was observed when knockout cell line ab266895 (knockout cell lysate ab257444) was used. Wild-type and Fascin knockout samples were subjected to SDS-PAGE. ab126772 and Anti-GAPDH antibody [6C5] - Loading Control (ab8245) were incubated overnight at 4°C at 1 in 1000 dilution and 1 in 20000 dilution respectively. Blots were developed with Goat anti-Rabbit IgG H&L (IRDye® 800CW) preadsorbed (ab216773) and Goat anti-Mouse IgG H&L (IRDye® 680RD) preadsorbed (ab216776) secondary antibodies at 1 in 20000 dilution for 1 hour at room temperature before imaging.

All lanes:

Western blot - Anti-Fascin antibody [EP5902] (<a href='/en-us/products/primary-antibodies/fascin-antibody-ep5902-ab126772'>ab126772</a>) at 1/1000 dilution

Lane 1:

Wild-type HCT116 cell lysate at 20 µg

Lane 2:

FSCN1 knockout HCT116 cell lysate at 20 µg

Lane 2:

Western blot - Human FSCN1 (Fascin) knockout HCT116 cell line (<a href='/en-us/products/cell-lines/human-fscn1-fascin-knockout-hct116-cell-line-ab266895'>ab266895</a>)

Lane 3:

SH-SY5Y cell lysate at 20 µg

Lane 4:

K-562 cell lysate at 20 µg

Secondary

All lanes:

Western blot - Goat anti-Rabbit IgG H&L (IRDye® 800CW) preadsorbed (<a href='/en-us/products/secondary-antibodies/goat-rabbit-igg-h-l-irdye-800cw-preadsorbed-ab216773'>ab216773</a>) at 1/10000 dilution

Predicted band size: 54 kDa

Observed band size: 60 kDa

false

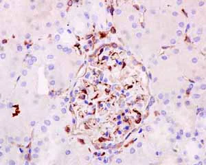
Immunohistochemistry (Formalin/PFA-fixed paraffin-embedded sections) - Anti-Fascin antibody [EP5902] - BSA and Azide free (AB240034)
  • IHC-P

Unknown

Immunohistochemistry (Formalin/PFA-fixed paraffin-embedded sections) - Anti-Fascin antibody [EP5902] - BSA and Azide free (AB240034)

ab126772 showing positive staining in Normal kidney tissue.

This data was developed using the same antibody clone in a different buffer formulation containing PBS, BSA, glycerol, and sodium azide (ab126772).

Perform heat mediated antigen retrieval before commencing with IHC staining protocol.

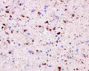
Immunohistochemistry (Formalin/PFA-fixed paraffin-embedded sections) - Anti-Fascin antibody [EP5902] - BSA and Azide free (AB240034)
  • IHC-P

Unknown

Immunohistochemistry (Formalin/PFA-fixed paraffin-embedded sections) - Anti-Fascin antibody [EP5902] - BSA and Azide free (AB240034)

ab126772 showing positive staining in Glioma tissue.

This data was developed using the same antibody clone in a different buffer formulation containing PBS, BSA, glycerol, and sodium azide (ab126772).

Perform heat mediated antigen retrieval before commencing with IHC staining protocol.

Immunoprecipitation - Anti-Fascin antibody [EP5902] - BSA and Azide free (AB240034)
  • IP

Unknown

Immunoprecipitation - Anti-Fascin antibody [EP5902] - BSA and Azide free (AB240034)

Purified ab126772 at 1/20 dilution (0.5μg) immunoprecipitating Fascin in HepG2 whole cell lysate.
Lane 1 (input) : HepG2 (Human hepatocellular carcinoma epithelial cell) whole cell lysate 10μg
Lane 2 (+) : ab126772 + HepG2 whole cell lysate.
Lane 3 (-) : Rabbit monoclonal IgG (ab172730) instead of ab126772 in HepG2 whole cell lysate.
VeriBlot for IP Detection Reagent (HRP) (ab131366) (1/5000 dilution) was used for Western blotting.
Blocking Buffer and concentration : 5% NFDM/TBST.
Diluting buffer and concentration : 5% NFDM/TBST.
Observed band size : 54 kDa
This data was developed using the same antibody clone in a different buffer formulation containing PBS, BSA, glycerol, and sodium azide (ab126772).

All lanes:

Immunoprecipitation - Anti-Fascin antibody [EP5902] (<a href='/en-us/products/primary-antibodies/fascin-antibody-ep5902-ab126772'>ab126772</a>)

Predicted band size: 54 kDa

false

Key facts

Host species

Rabbit

Clonality

Monoclonal

Clone number

EP5902

Isotype

IgG

Carrier free

Yes

Reacts with

Mouse, Human

Applications

WB, IP, ICC/IF, IHC-P, Flow Cyt (Intra)

applications

Immunogen

The exact immunogen used to generate this antibody is proprietary information.

Reactivity data

{ "title": "Reactivity Data", "filters": { "stats": ["", "Species", "Dilution Info", "Notes"], "tabs": { "all-applications": {"fullname" : "All Applications", "shortname": "All Applications"}, "IHCP" : {"fullname" : "Immunohistochemistry (Formalin/PFA-fixed paraffin-embedded sections)", "shortname":"IHC-P"}, "IP" : {"fullname" : "Immunoprecipitation", "shortname":"IP"}, "WB" : {"fullname" : "Western blot", "shortname":"WB"}, "ICCIF" : {"fullname" : "Immunocytochemistry/ Immunofluorescence", "shortname":"ICC/IF"}, "FlowCytIntra" : {"fullname" : "Flow Cytometry (Intracellular)", "shortname":"Flow Cyt (Intra)"} }, "product-promise": { "all": "all", "testedAndGuaranteed": "tested", "guaranteed": "expected", "predicted": "predicted", "notRecommended": "not-recommended" } }, "values": { "Human": { "IHCP-species-checked": "testedAndGuaranteed", "IHCP-species-dilution-info": "", "IHCP-species-notes": "<p>(heat to 98 degrees C, allow to cool for 10-20 minutes)</p>", "IP-species-checked": "testedAndGuaranteed", "IP-species-dilution-info": "", "IP-species-notes": "<p></p>", "WB-species-checked": "testedAndGuaranteed", "WB-species-dilution-info": "", "WB-species-notes": "<p></p>", "ICCIF-species-checked": "testedAndGuaranteed", "ICCIF-species-dilution-info": "", "ICCIF-species-notes": "<p></p>", "FlowCytIntra-species-checked": "testedAndGuaranteed", "FlowCytIntra-species-dilution-info": "", "FlowCytIntra-species-notes": "<p><a href='/en-us/products/primary-antibodies/rabbit-igg-monoclonal-epr25a-isotype-control-low-endotoxin-azide-free-ab199376'>ab199376</a> - Rabbit monoclonal IgG, is suitable for use as an isotype control with this antibody.</p>" }, "Mouse": { "IHCP-species-checked": "guaranteed", "IHCP-species-dilution-info": "", "IHCP-species-notes": "<p>(heat to 98 degrees C, allow to cool for 10-20 minutes)</p>", "IP-species-checked": "guaranteed", "IP-species-dilution-info": "", "IP-species-notes": "<p></p>", "WB-species-checked": "guaranteed", "WB-species-dilution-info": "", "WB-species-notes": "<p></p>", "ICCIF-species-checked": "guaranteed", "ICCIF-species-dilution-info": "", "ICCIF-species-notes": "<p></p>", "FlowCytIntra-species-checked": "guaranteed", "FlowCytIntra-species-dilution-info": "", "FlowCytIntra-species-notes": "<p><a href='/en-us/products/primary-antibodies/rabbit-igg-monoclonal-epr25a-isotype-control-low-endotoxin-azide-free-ab199376'>ab199376</a> - Rabbit monoclonal IgG, is suitable for use as an isotype control with this antibody.</p>" }, "Rat": { "IHCP-species-checked": "predicted", "IHCP-species-dilution-info": "", "IHCP-species-notes": "", "IP-species-checked": "predicted", "IP-species-dilution-info": "", "IP-species-notes": "", "WB-species-checked": "predicted", "WB-species-dilution-info": "", "WB-species-notes": "", "ICCIF-species-checked": "predicted", "ICCIF-species-dilution-info": "", "ICCIF-species-notes": "", "FlowCytIntra-species-checked": "predicted", "FlowCytIntra-species-dilution-info": "", "FlowCytIntra-species-notes": "" } } }

Product details

ab240034 is the carrier-free version of ab126772.

Patented technology
Our RabMAb® technology is a patented hybridoma-based technology for making rabbit monoclonal antibodies. For details on our patents, please refer to RabMAb® patents.

What are the advantages of a recombinant monoclonal antibody?
This product is a recombinant monoclonal antibody, which offers several advantages including:

  • - High batch-to-batch consistency and reproducibility
  • - Improved sensitivity and specificity
  • - Long-term security of supply
  • - Animal-free batch production

For more information, read more on recombinant antibodies.

Conjugation ready
Our carrier-free antibodies are typically supplied in a PBS-only formulation, purified and free of BSA, sodium azide and glycerol. This conjugation-ready format is designed for use with fluorochromes, metal isotopes, oligonucleotides, and enzymes, which makes them ideal for antibody labelling, functional and cell-based assays, flow-based assays (e.g. mass cytometry) and Multiplex Imaging applications.

Use our conjugation kits for antibody conjugates that are ready-to-use in as little as 20 minutes with 1 minute hands-on-time and 100% antibody recovery: available for fluorescent dyes, HRP, biotin and gold.

Compatibility
This product is compatible with the Maxpar® Antibody Labeling Kit from Fluidigm, without the need for antibody preparation. Maxpar® is a trademark of Fluidigm Canada Inc.

Properties and storage information

Form
Liquid
Purification technique
Affinity purification Protein A
Storage buffer
pH: 7.2 - 7.4 Constituents: PBS
Shipped at conditions
Blue Ice
Appropriate short-term storage conditions
+4°C
Appropriate long-term storage conditions
+4°C
Storage information
Do Not Freeze

Product protocols

For this product, it's our understanding that no specific protocols are required. You can visit:

Target data

Actin-binding protein that contains 2 major actin binding sites (PubMed : 21685497, PubMed : 23184945). Organizes filamentous actin into parallel bundles (PubMed : 20393565, PubMed : 21685497, PubMed : 23184945). Plays a role in the organization of actin filament bundles and the formation of microspikes, membrane ruffles, and stress fibers (PubMed : 22155786). Important for the formation of a diverse set of cell protrusions, such as filopodia, and for cell motility and migration (PubMed : 20393565, PubMed : 21685497, PubMed : 23184945). Mediates reorganization of the actin cytoskeleton and axon growth cone collapse in response to NGF (PubMed : 22155786).
See full target information FSCN1

Publications (2)

Recent publications for all applications. Explore the full list and refine your search

Evidence-based complementary and alternative medicine : eCAM 2022:6245647 PubMed35815268

2022

FSCN1 Promotes Glycolysis and Epithelial-Mesenchymal Transition in Prostate Cancer through a YAP/TAZ Signaling Pathway.

Applications

Unspecified application

Species

Unspecified reactive species

Minghui Li,Zhiming Gao,Honglin Ding,Zhanhua Wang,Hada Mu,Lei Zhang,Jiufu Wei,Zhanshu Ma

Brain sciences 12: PubMed35625066

2022

Distribution of Adiponectin Receptors in the Brain of Adult Mouse: Effect of a Single Dose of the Adiponectin Receptor Agonist, AdipoRON, on Ischemic Stroke.

Applications

Unspecified application

Species

Unspecified reactive species

Julien Clain,David Couret,Cynthia Planesse,Pascale Krejbich-Trotot,Olivier Meilhac,Christian Lefebvre d'Hellencourt,Wildriss Viranaicken,Nicolas Diotel
View all publications

Product promise

We are committed to supporting your work with high-quality reagents, and we're here for you every step of the way. In the unlikely event that one of our products does not perform as expected, you're protected by our Product Promise.
For full details, please see our Terms & Conditions

Please note: All products are 'FOR RESEARCH USE ONLY. NOT FOR USE IN DIAGNOSTIC OR THERAPEUTIC PROCEDURES'.

For licensing inquiries, please contact partnerships@abcam.com