JavaScript is disabled in your browser. Please enable JavaScript to view this website.
AB221149

Anti-Fast Myosin Skeletal Heavy chain + MYH4 antibody [EPR22880-64]

  • BOND RX™ Validated
  • RabMAb
  • Recombinant
  • KO Validated
  • Lab Essentials
  • 20ul selling size
  • Advanced Validation
  • What is this?

3

(2 Reviews)

|

(2 Publications)

Rabbit Recombinant Monoclonal Fast Myosin Skeletal Heavy chain antibody. Suitable for mIHC, WB, IHC-P and reacts with Human samples. Cited in 2 publications.

View Alternative Names

Myosin-1, Myosin heavy chain 1, Myosin heavy chain 2x, Myosin heavy chain IIx/d, MyHC-2x, MyHC-IIx/d, MYH1

4 Images
Immunohistochemistry (Formalin/PFA-fixed paraffin-embedded sections) - Anti-Fast Myosin Skeletal Heavy chain + MYH4 antibody [EPR22880-64] (AB221149)
  • IHC-P

Unknown

Immunohistochemistry (Formalin/PFA-fixed paraffin-embedded sections) - Anti-Fast Myosin Skeletal Heavy chain + MYH4 antibody [EPR22880-64] (AB221149)

Immunohistochemical analysis of paraffin-embedded human skeletal muscle tissue labeling Fast Myosin Skeletal Heavy chain + MYH4 with ab221149 at 1/1000 dilution (0.505 μg/ml) followed by a ready to use Rabbit specific IHC polymer detection kit HRP/DAB (ab209101). Positive staining in human skeletal muscle (PMID : 30274168, 25217814).

The section was incubated with ab221149 for 30 mins at room temperature. The immunostaining was performed on a Leica Biosystems BOND® RX instrument. Counterstained with hematoxylin.

Heat mediated antigen retrieval with Tris-EDTA buffer (pH 9.0, epitope retrieval solution 2) for 20mins.

Secondary antibody only control : Used PBS instead of primary antibody, secondary antibody is a ready to use Rabbit specific IHC polymer detection kit HRP/DAB (ab209101) .

Multiplex immunohistochemistry - Anti-Fast Myosin Skeletal Heavy chain + MYH4 antibody [EPR22880-64] (AB221149)
  • mIHC

Supplier Data

Multiplex immunohistochemistry - Anti-Fast Myosin Skeletal Heavy chain + MYH4 antibody [EPR22880-64] (AB221149)

Fluorescence multiplex immunohistochemical analysis of the human skeletal muscle (Formalin/PFA-fixed paraffin-embedded sections). Panel A : merged staining of anti-delta Sarcoglycan (ab137101, green; Opal™690), anti-Fast Myosin Skeletal Heavy chain + MYH4 (ab221149, magenta; Opal™520) and anti-Slow Skeletal Myosin Heavy chain (ab234431, red; Opal™570) on human skeletal muscle. Panel B : anti-Fast Myosin Skeletal Heavy chain + MYH4 stained on fast type fibers. Panel C : anti-Slow Skeletal Myosin Heavy chain stained on slow type fibers. Panel D : anti-delta Sarcoglycan stained on membrane of skeletal muscle. Opal Polymer HRP Ms + Rb was used as a secondary antibody. The section was incubated in three rounds of staining : in the order of ab137101 at 1/1000 (1.043 μg/ml), ab221149 at 1/1000 (0.505 μg/ml, and ab234431 at 1/4000 (0.255 μg/ml) for 30 mins at room temperature. Each round was followed by a separate fluorescent tyramide signal amplification system. DAPI (blue) was used as a nuclear counter stain. The immunostaining was performed on a Leica Biosystems BOND® RX instrument with an Opal™ 4-color kit. Image acquisition was performed with Leica SP8 confocal microscope. Heat mediated antigen retrieval with Tris-EDTA buffer (pH 9.0, epitope retrieval solution2) for 20 mins.

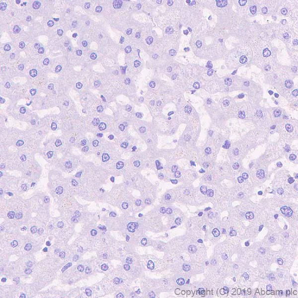
Immunohistochemistry (Formalin/PFA-fixed paraffin-embedded sections) - Anti-Fast Myosin Skeletal Heavy chain + MYH4 antibody [EPR22880-64] (AB221149)
  • IHC-P

Unknown

Immunohistochemistry (Formalin/PFA-fixed paraffin-embedded sections) - Anti-Fast Myosin Skeletal Heavy chain + MYH4 antibody [EPR22880-64] (AB221149)

Immunohistochemical analysis of paraffin-embedded human liver tissue labeling Fast Myosin Skeletal Heavy chain + MYH4 with ab221149 at 1/1000 dilution (0.505 μg/ml) followed by a ready to use Rabbit specific IHC polymer detection kit HRP/DAB (ab209101). Negative control : No staining on human liver (PMID : 30274168). The section was incubated with ab221149 for 30 mins at room temperature. The immunostaining was performed on a Leica Biosystems BOND® RX instrument. Counterstained with hematoxylin.

Heat mediated antigen retrieval with Tris-EDTA buffer (pH 9.0, epitope retrieval solution 2) for 20mins.

Secondary antibody only control : Used PBS instead of primary antibody, secondary antibody is a ready to use Rabbit specific IHC polymer detection kit HRP/DAB (ab209101) .

Western blot - Anti-Fast Myosin Skeletal Heavy chain + MYH4 antibody [EPR22880-64] (AB221149)
  • WB

Unknown

Western blot - Anti-Fast Myosin Skeletal Heavy chain + MYH4 antibody [EPR22880-64] (AB221149)

Blocking/diluting buffer and concentration : 5% NFDM/TBST.

All lanes:

Western blot - Anti-Fast Myosin Skeletal Heavy chain + MYH4 antibody [EPR22880-64] (ab221149) at 1/1000 dilution

All lanes:

Human skeletal muscle tissue lysate at 20 µg

Secondary

All lanes:

Western blot - VeriBlot for IP Detection Reagent (HRP) (<a href='/en-us/products/reagents/veriblot-for-ip-detection-reagent-hrp-ab131366'>ab131366</a>) at 1/1000 dilution

false

Exposure time: 37s

Key facts

Host species

Rabbit

Clonality

Monoclonal

Clone number

EPR22880-64

Isotype

IgG

Carrier free

No

Reacts with

Human

Applications

mIHC, IHC-P, WB

applications

Immunogen

The exact immunogen used to generate this antibody is proprietary information.

Reactivity data

{ "title": "Reactivity Data", "filters": { "stats": ["", "Species", "Dilution Info", "Notes"], "tabs": { "all-applications": {"fullname" : "All Applications", "shortname": "All Applications"}, "mIHC" : {"fullname" : "Multiplex immunohistochemistry", "shortname":"mIHC"}, "IHCFr" : {"fullname" : "Immunohistochemistry (Frozen sections)", "shortname":"IHC-Fr"}, "ICCIF" : {"fullname" : "Immunocytochemistry/ Immunofluorescence", "shortname":"ICC/IF"}, "FlowCyt" : {"fullname" : "Flow Cytometry", "shortname":"Flow Cyt"}, "IP" : {"fullname" : "Immunoprecipitation", "shortname":"IP"}, "WB" : {"fullname" : "Western blot", "shortname":"WB"}, "IHCP" : {"fullname" : "Immunohistochemistry (Formalin/PFA-fixed paraffin-embedded sections)", "shortname":"IHC-P"} }, "product-promise": { "all": "all", "testedAndGuaranteed": "tested", "guaranteed": "expected", "predicted": "predicted", "notRecommended": "not-recommended" } }, "values": { "Human": { "mIHC-species-checked": "testedAndGuaranteed", "mIHC-species-dilution-info": "0.505 µg/mL", "mIHC-species-notes": "<p></p> Perform heat-mediated antigen retrieval with Tris/EDTA buffer pH 9.0 before commencing with IHC staining protocol.", "IHCFr-species-checked": "notRecommended", "IHCFr-species-dilution-info": "", "IHCFr-species-notes": "<p></p>", "ICCIF-species-checked": "notRecommended", "ICCIF-species-dilution-info": "", "ICCIF-species-notes": "<p></p>", "FlowCyt-species-checked": "notRecommended", "FlowCyt-species-dilution-info": "", "FlowCyt-species-notes": "<p></p>", "IP-species-checked": "notRecommended", "IP-species-dilution-info": "", "IP-species-notes": "<p></p>", "WB-species-checked": "testedAndGuaranteed", "WB-species-dilution-info": "1/1000", "WB-species-notes": "<p></p>", "IHCP-species-checked": "testedAndGuaranteed", "IHCP-species-dilution-info": "1/1000", "IHCP-species-notes": "<p>Heat mediated antigen retrieval with Tris-EDTA buffer (pH 9.0, epitope retrieval solution 2) for 20mins.</p> Perform heat-mediated antigen retrieval with Tris/EDTA buffer pH 9.0 before commencing with IHC staining protocol." } } }

Product details

Patented technology
Our RabMAb® technology is a patented hybridoma-based technology for making rabbit monoclonal antibodies. For details on our patents, please refer to RabMAb® patents.

What are the advantages of a recombinant monoclonal antibody?
This product is a recombinant monoclonal antibody, which offers several advantages including:

  • - High batch-to-batch consistency and reproducibility
  • - Improved sensitivity and specificity
  • - Long-term security of supply
  • - Animal-free batch production

For more information, read more on recombinant antibodies.

Properties and storage information

Form
Liquid
Purification technique
Affinity purification Protein A
Storage buffer
pH: 7.2 - 7.4 Preservative: 0.01% Sodium azide Constituents: PBS, 40% Glycerol (glycerin, glycerine), 0.05% BSA
Shipped at conditions
Blue Ice
Appropriate short-term storage duration
1-2 weeks
Appropriate short-term storage conditions
+4°C
Appropriate long-term storage conditions
-20°C
Aliquoting information
Upon delivery aliquot
Storage information
Avoid freeze / thaw cycle

Product protocols

For this product, it's our understanding that no specific protocols are required. You can visit:

Target data

Muscle contraction.
See full target information MYH1

Additional targets

MYH4

Publications (2)

Recent publications for all applications. Explore the full list and refine your search

Equine veterinary journal 56:178-192 PubMed37345447

2023

Muscle fibre transition and transcriptional changes of horse skeletal muscles during traditional Mongolian endurance training.

Applications

Unspecified application

Species

Unspecified reactive species

Tugeqin Bou,Wenqi Ding,Xiujuan Ren,Huiying Liu,Wendian Gong,Zijie Jia,Xinzhuang Zhang,Manglai Dugarjaviin,Dongyi Bai

Cellular & molecular biology letters 27:66 PubMed35945510

2022

SESN2 prevents the slow-to-fast myofiber shift in denervated atrophy via AMPK/PGC-1α pathway.

Applications

Unspecified application

Species

Unspecified reactive species

Xiaofan Yang,Pingping Xue,Zhenyu Liu,Wenqing Li,Chuyan Li,Zhenbing Chen
View all publications

Product promise

We are committed to supporting your work with high-quality reagents, and we're here for you every step of the way. In the unlikely event that one of our products does not perform as expected, you're protected by our Product Promise.
For full details, please see our Terms & Conditions

Please note: All products are 'FOR RESEARCH USE ONLY. NOT FOR USE IN DIAGNOSTIC OR THERAPEUTIC PROCEDURES'.

For licensing inquiries, please contact partnerships@abcam.com