JavaScript is disabled in your browser. Please enable JavaScript to view this website.
AB111548

Anti-FASTKD5 antibody

Be the first to review this product! Submit a review

|

(2 Publications)

Rabbit Polyclonal FASTKD5 antibody. Suitable for WB, IHC-P and reacts with Human samples. Cited in 2 publications. Immunogen corresponding to Recombinant Fragment Protein within Human FASTKD5.

View Alternative Names

KIAA1792, FASTKD5

2 Images
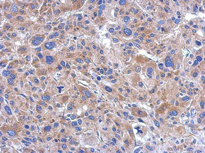
Immunohistochemistry (Formalin/PFA-fixed paraffin-embedded sections) - Anti-FASTKD5 antibody (AB111548)
  • IHC-P

Unknown

Immunohistochemistry (Formalin/PFA-fixed paraffin-embedded sections) - Anti-FASTKD5 antibody (AB111548)

ab111548 at 1 : 500 dilution staining FASTKD5 by IHC-P (hepatoma).

Western blot - Anti-FASTKD5 antibody (AB111548)
  • WB

Unknown

Western blot - Anti-FASTKD5 antibody (AB111548)

7.5% SDS PAGE

All lanes:

Western blot - Anti-FASTKD5 antibody (ab111548) at 1/1000 dilution

All lanes:

A431 whole cell lysate at 30 µg

Predicted band size: 87 kDa

false

Key facts

Host species

Rabbit

Clonality

Polyclonal

Isotype

IgG

Carrier free

No

Reacts with

Human

Applications

IHC-P, WB

applications

Immunogen

Recombinant Fragment Protein within Human FASTKD5. The exact immunogen used to generate this antibody is proprietary information.

Q7L8L6

Reactivity data

{ "title": "Reactivity Data", "filters": { "stats": ["", "Species", "Dilution Info", "Notes"], "tabs": { "all-applications": {"fullname" : "All Applications", "shortname": "All Applications"}, "WB" : {"fullname" : "Western blot", "shortname":"WB"}, "IHCP" : {"fullname" : "Immunohistochemistry (Formalin/PFA-fixed paraffin-embedded sections)", "shortname":"IHC-P"} }, "product-promise": { "all": "all", "testedAndGuaranteed": "tested", "guaranteed": "expected", "predicted": "predicted", "notRecommended": "not-recommended" } }, "values": { "Human": { "WB-species-checked": "testedAndGuaranteed", "WB-species-dilution-info": "1/500 - 1/3000", "WB-species-notes": "<p></p>", "IHCP-species-checked": "testedAndGuaranteed", "IHCP-species-dilution-info": "1/100 - 1/1000", "IHCP-species-notes": "<p>Perform heat mediated antigen retrieval with 10 mM citrate buffer pH 6 or Tris-EDTA buffer (pH 8.0) before commencing with IHC staining protocol.</p>" }, "Monkey": { "WB-species-checked": "predicted", "WB-species-dilution-info": "", "WB-species-notes": "", "IHCP-species-checked": "predicted", "IHCP-species-dilution-info": "", "IHCP-species-notes": "" } } }

Properties and storage information

Form
Liquid
Purification technique
Affinity purification Immunogen
Storage buffer
pH: 7 Preservative: 0.01% Thimerosal (merthiolate) Constituents: PBS, 20% Glycerol (glycerin, glycerine), 1% BSA
Shipped at conditions
Blue Ice
Appropriate short-term storage conditions
+4°C
Appropriate long-term storage conditions
-20°C
Aliquoting information
Upon delivery aliquot
Storage information
Avoid freeze / thaw cycle

Supplementary information

This supplementary information is collated from multiple sources and compiled automatically.

FASTKD5 also known as FAST kinase domain-containing protein 5 is a mitochondrial protein that plays a role in the processing and translation of mitochondrial mRNAs. It has a mass of approximately 87 kDa. This protein is highly expressed in tissues with high energy demands such as the heart skeletal muscle and brain. FASTKD5 contains a FAST kinase-like domain that is important for its function in the mitochondria.
Biological function summary

FASTKD5 is involved in maintaining mitochondrial homeostasis and function. It is part of the FASTKD family which consists of proteins that have similar domains and functions in the mitochondria. FASTKD5 is believed to interact with other proteins to form complexes that regulate mitochondrial RNA metabolism. This regulation is important for ensuring the correct expression of mitochondrial genes which are essential for energy production and cellular metabolism.

Pathways

FASTKD5 fits into mitochondrial RNA processing and oxidative phosphorylation pathways. It is key for processing of precursor RNAs in mitochondria which are vital for the assembly and function of the electron transport chain. FASTKD5 shows interactions with other mitochondrial proteins such as FASTKD2 which also participates in mitochondrial RNA processing. Disruptions in these pathways can lead to compromised cellular energy metabolism.

FASTKD5 links to conditions that involve mitochondrial dysfunction such as mitochondrial encephalomyopathy and cardiomyopathy. Mutations affecting FASTKD5 can contribute to insufficient energy production in cells leading to symptoms associated with these disorders. Additionally disturbances in FASTKD5 function can influence the expression and function of other mitochondrial proteins like FASTKD3 exacerbating energy production issues and disease symptoms.

Product protocols

For this product, it's our understanding that no specific protocols are required. You can visit:

Target data

Plays an important role in the processing of non-canonical mitochondrial mRNA precursors (PubMed : 25683715).
See full target information FASTKD5

Publications (2)

Recent publications for all applications. Explore the full list and refine your search

Oncology letters 28:378 PubMed38939621

2024

Gene expression profiling and the isocitrate dehydrogenase mutational landscape of temozolomide‑resistant glioblastoma.

Applications

Unspecified application

Species

Unspecified reactive species

Wu-Fu Chen,Jimmy Ming-Jung Chuang,San-Nan Yang,Nan-Fu Chen,Manojit Bhattacharya,Hsin-Tzu Liu,Kuldeep Dhama,Chiranjib Chakraborty,Zhi-Hong Wen

Nature immunology 22:423-433 PubMed33767427

2021

Multi-omics analyses reveal that HIV-1 alters CD4 T cell immunometabolism to fuel virus replication.

Applications

Unspecified application

Species

Unspecified reactive species

Haitao Guo,Qi Wang,Khader Ghneim,Li Wang,Elena Rampanelli,Elizabeth Holley-Guthrie,Liang Cheng,Carolina Garrido,David M Margolis,Leigh A Eller,Merlin L Robb,Rafick-Pierre Sekaly,Xian Chen,Lishan Su,Jenny P-Y Ting
View all publications

Product promise

We are committed to supporting your work with high-quality reagents, and we're here for you every step of the way. In the unlikely event that one of our products does not perform as expected, you're protected by our Product Promise.
For full details, please see our Terms & Conditions

Please note: All products are 'FOR RESEARCH USE ONLY. NOT FOR USE IN DIAGNOSTIC OR THERAPEUTIC PROCEDURES'.

For licensing inquiries, please contact partnerships@abcam.com