JavaScript is disabled in your browser. Please enable JavaScript to view this website.
AB190242

Anti-FAT/FAT1 antibody

Be the first to review this product! Submit a review

|

(10 Publications)

Rabbit Polyclonal FAT/FAT1 antibody. Suitable for WB and reacts with Human, Mouse samples. Cited in 10 publications. Immunogen corresponding to Synthetic Peptide within Human FAT1 aa 4450-4500.

View Alternative Names

CDHF7, FAT, FAT1, Protocadherin Fat 1, Cadherin family member 7, Cadherin-related tumor suppressor homolog, Protein fat homolog

1 Images
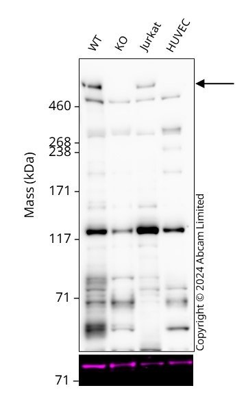
Western blot - Anti-FAT/FAT1 antibody (AB190242)
  • WB

Supplier Data

Western blot - Anti-FAT/FAT1 antibody (AB190242)

All lanes:

Western blot - Anti-FAT/FAT1 antibody (ab190242) at 0.1 µg/mL

Lane 1:

HeLa whole cell lysate at 50 µg

Lane 2:

293T whole cell lysate at 50 µg

Lane 3:

Jurkat whole cell lysate at 50 µg

Lane 4:

TCMK-1 whole cell lysate at 50 µg

Lane 5:

NIH 3T3 whole cell lysate at 50 µg

Predicted band size: 506 kDa

true

Exposure time: 3min

Key facts

Host species

Rabbit

Clonality

Polyclonal

Isotype

IgG

Carrier free

No

Reacts with

Mouse, Human

Applications

WB

applications

Immunogen

Synthetic Peptide within Human FAT1 aa 4450-4500. The exact immunogen used to generate this antibody is proprietary information.

Q14517

Reactivity data

{ "title": "Reactivity Data", "filters": { "stats": ["", "Species", "Dilution Info", "Notes"], "tabs": { "all-applications": {"fullname" : "All Applications", "shortname": "All Applications"}, "WB" : {"fullname" : "Western blot", "shortname":"WB"} }, "product-promise": { "all": "all", "testedAndGuaranteed": "tested", "guaranteed": "expected", "predicted": "predicted", "notRecommended": "not-recommended" } }, "values": { "Human": { "WB-species-checked": "testedAndGuaranteed", "WB-species-dilution-info": "1/2000 - 1/10000", "WB-species-notes": "<p></p>" }, "Mouse": { "WB-species-checked": "testedAndGuaranteed", "WB-species-dilution-info": "1/2000 - 1/10000", "WB-species-notes": "<p></p>" }, "Dog": { "WB-species-checked": "predicted", "WB-species-dilution-info": "", "WB-species-notes": "" } } }

Properties and storage information

Form
Liquid
Purification technique
Affinity purification Immunogen
Storage buffer
pH: 7 - 8 Preservative: 0.09% Sodium azide Constituents: 99% Tris citrate/phosphate
Shipped at conditions
Blue Ice
Appropriate short-term storage duration
1-2 weeks
Appropriate short-term storage conditions
+4°C
Appropriate long-term storage conditions
+4°C
Aliquoting information
Upon delivery aliquot
Storage information
Avoid freeze / thaw cycle|Do Not Freeze

Supplementary information

This supplementary information is collated from multiple sources and compiled automatically.

FAT/FAT1 also known as FAT1 cadherin is a large transmembrane protein encoded by the FAT1 gene. It has a molecular weight of roughly 506 kDa. This protein is characterized by its cadherin-like domains and is widely expressed in various tissues including the brain kidney and skin. FAT1 is involved in cell adhesion processes and plays a critical role in the maintenance of cell shape and polarity.
Biological function summary

This protein participates in development and morphogenesis. FAT1 functions as a part of the cell adhesion complex interacting with actin cytoskeleton components. It also influences cellular behavior such as migration and proliferation. Through its interactions FAT1 contributes to the mechanical stability and structural integrity of cells within tissues.

Pathways

FAT1 interacts with signaling cascades implicated in cytoskeletal reorganization and cellular communication. It is notably involved in the Wnt signaling pathway and the Hippo pathway which are key in cell proliferation and growth regulation. Other related proteins in these pathways include beta-catenin and YAP/TAZ which mediate the downstream effects of these signaling pathways.

Alterations in FAT1 expression or function have been associated with cancer and renal disorders. Mutations or dysregulation of FAT1 can lead to disrupted cellular processes contributing to tumorigenesis and kidney disease. It is closely connected to proteins such as p53 in the context of cancer where p53 plays a role in controlling cell cycle progression and apoptosis in response to genomic instability.

Product protocols

For this product, it's our understanding that no specific protocols are required. You can visit:

Target data

Protocadherin Fat 1. Plays an essential role for cellular polarization, directed cell migration and modulating cell-cell contact.
See full target information FAT1

Publications (10)

Recent publications for all applications. Explore the full list and refine your search

Zhongguo fei ai za zhi = Chinese journal of lung cancer 27:109-117 PubMed38453442

2024

[Expression of FAT1 in Lung Adenocarcinoma and Its Relationship 
with Immune Cell Infiltration].

Applications

Unspecified application

Species

Unspecified reactive species

Chen Ding,Wenhao Zhao,Hua Huang,Yongwen Li,Zhanrui Zhang,Ruihao Zhang,Yanan Wang,Di Wu,Chen Chen,Hongyu Liu,Jun Chen

Scientific reports 13:972 PubMed36653435

2023

FAT1 expression in T-cell acute lymphoblastic leukemia (T-ALL) modulates proliferation and WNT signaling.

Applications

Unspecified application

Species

Unspecified reactive species

Sven Liebig,Martin Neumann,Patricia Silva,Jutta Ortiz-Tanchez,Veronika Schulze,Konstandina Isaakidis,Cornelia Schlee,Michael P Schroeder,Thomas Beder,Luc G T Morris,Timothy A Chan,Lorenz Bastian,Thomas Burmeister,Stefan Schwartz,Nicola Gökbuget,Liliana H Mochmann,Claudia D Baldus

Frontiers in oncology 12:870055 PubMed35646625

2022

FAT1 Upregulates in Oral Squamous Cell Carcinoma and Promotes Cell Proliferation Cell Cycle and DNA Repair.

Applications

Unspecified application

Species

Unspecified reactive species

Ting Lan,Qi Ge,Ke Zheng,Li Huang,Yuxiang Yan,Lixin Zheng,Youguang Lu,Dali Zheng

Analytical cellular pathology (Amsterdam) 2021:9290372 PubMed34712552

2021

FAT1 and PTPN14 Regulate the Malignant Progression and Chemotherapy Resistance of Esophageal Cancer through the Hippo Signaling Pathway.

Applications

Unspecified application

Species

Unspecified reactive species

Yingzhi Lu,Zhenxin Wang,Ling Zhou,Zhaoming Ma,Jianguo Zhang,Yan Wu,Yan Shao,Yunyun Yang

Journal of biomechanics 129:110774 PubMed34627073

2021

Effects of cyclic tensile strain and microgravity on the distribution of actin fiber and Fat1 cadherin in murine articular chondrocytes.

Applications

Unspecified application

Species

Unspecified reactive species

Junpei Hatakeyama,Masato Nomura,Yoshio Wakimoto,Shota Inoue,Changxin Li,Daisuke Takamura,Toshihiro Akisue,Hideki Moriyama

Cancer discovery 12:356-371 PubMed34544752

2021

INK4 Tumor Suppressor Proteins Mediate Resistance to CDK4/6 Kinase Inhibitors.

Applications

Unspecified application

Species

Unspecified reactive species

Qing Li,Baishan Jiang,Jiaye Guo,Hong Shao,Isabella S Del Priore,Qing Chang,Rei Kudo,Zhiqiang Li,Pedram Razavi,Bo Liu,Andrew S Boghossian,Matthew G Rees,Melissa M Ronan,Jennifer A Roth,Katherine A Donovan,Marta Palafox,Jorge S Reis-Filho,Elisa de Stanchina,Eric S Fischer,Neal Rosen,Violeta Serra,Andrew Koff,John D Chodera,Nathanael S Gray,Sarat Chandarlapaty

International journal of molecular medicine 46:1085-1095 PubMed32705150

2020

Sulforaphane suppresses the viability and metastasis, and promotes the apoptosis of bladder cancer cells by inhibiting the expression of FAT‑1.

Applications

Unspecified application

Species

Unspecified reactive species

Fei Wang,Penghua Liu,Hexiang An,Yu Zhang

Chinese journal of cancer research = Chung-kuo yen cheng yen chiu 31:609-619 PubMed31564804

2019

, a direct transcriptional target of E2F1, suppresses cell proliferation, migration and invasion in esophageal squamous cell carcinoma.

Applications

Unspecified application

Species

Unspecified reactive species

Yu Wang,Guangchao Wang,Yunping Ma,Jinglei Teng,Yan Wang,Yongping Cui,Yan Dong,Shujuan Shao,Qimin Zhan,Xuefeng Liu

Nature communications 10:1180 PubMed30862798

2019

Homozygous frameshift mutations in FAT1 cause a syndrome characterized by colobomatous-microphthalmia, ptosis, nephropathy and syndactyly.

Applications

Unspecified application

Species

Unspecified reactive species

Najim Lahrouchi,Aman George,Ilham Ratbi,Ronen Schneider,Siham C Elalaoui,Shahida Moosa,Sanita Bharti,Ruchi Sharma,Mones Abu-Asab,Felix Onojafe,Najlae Adadi,Elisabeth M Lodder,Fatima-Zahra Laarabi,Yassine Lamsyah,Hamza Elorch,Imane Chebbar,Alex V Postma,Vassilios Lougaris,Alessandro Plebani,Janine Altmueller,Henriette Kyrieleis,Vardiella Meiner,Helen McNeill,Kapil Bharti,Stanislas Lyonnet,Bernd Wollnik,Alexandra Henrion-Caude,Amina Berraho,Friedhelm Hildebrandt,Connie R Bezzina,Brian P Brooks,Abdelaziz Sefiani

Oncology reports 39:2136-2146 PubMed29565465

2018

FAT1 inhibits cell migration and invasion by affecting cellular mechanical properties in esophageal squamous cell carcinoma.

Applications

Unspecified application

Species

Unspecified reactive species

Xiaoling Hu,Yuanfang Zhai,Ruyi Shi,Yu Qian,Heyang Cui,Jie Yang,Yanghui Bi,Ting Yan,Jian Yang,Yanchun Ma,Ling Zhang,Yiqian Liu,Guodong Li,Mingsheng Zhang,Yongping Cui,Pengzhou Kong,Xiaolong Cheng
View all publications

Product promise

We are committed to supporting your work with high-quality reagents, and we're here for you every step of the way. In the unlikely event that one of our products does not perform as expected, you're protected by our Product Promise.
For full details, please see our Terms & Conditions

Please note: All products are 'FOR RESEARCH USE ONLY. NOT FOR USE IN DIAGNOSTIC OR THERAPEUTIC PROCEDURES'.

For licensing inquiries, please contact partnerships@abcam.com