JavaScript is disabled in your browser. Please enable JavaScript to view this website.
AB198892

Anti-FAT/FAT1 antibody

4

(1 Review)

|

(3 Publications)

Rabbit Polyclonal FAT/FAT1 antibody. Suitable for IHC-P and reacts with Human samples. Cited in 3 publications. Immunogen corresponding to Synthetic Peptide within Human FAT1.

View Alternative Names

CDHF7, FAT, FAT1, Protocadherin Fat 1, Cadherin family member 7, Cadherin-related tumor suppressor homolog, Protein fat homolog

1 Images
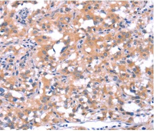
Immunohistochemistry (Formalin/PFA-fixed paraffin-embedded sections) - Anti-FAT/FAT1 antibody (AB198892)
  • IHC-P

Supplier Data

Immunohistochemistry (Formalin/PFA-fixed paraffin-embedded sections) - Anti-FAT/FAT1 antibody (AB198892)

Immunohistochemical analysis of paraffin-embedded Human thyroid cancer tissue labeling FAT/FAT1 with ab198892 at 1/40 dilution.

Key facts

Host species

Rabbit

Clonality

Polyclonal

Isotype

IgG

Carrier free

No

Reacts with

Human

Applications

IHC-P

applications

Immunogen

Synthetic Peptide within Human FAT1. The exact immunogen used to generate this antibody is proprietary information.

Q14517

Reactivity data

{ "title": "Reactivity Data", "filters": { "stats": ["", "Species", "Dilution Info", "Notes"], "tabs": { "all-applications": {"fullname" : "All Applications", "shortname": "All Applications"}, "IHCP" : {"fullname" : "Immunohistochemistry (Formalin/PFA-fixed paraffin-embedded sections)", "shortname":"IHC-P"} }, "product-promise": { "all": "all", "testedAndGuaranteed": "tested", "guaranteed": "expected", "predicted": "predicted", "notRecommended": "not-recommended" } }, "values": { "Human": { "IHCP-species-checked": "testedAndGuaranteed", "IHCP-species-dilution-info": "1/50 - 1/200", "IHCP-species-notes": "<p></p>" } } }

Properties and storage information

Form
Liquid
Purification technique
Affinity purification Immunogen
Storage buffer
pH: 7.4 Preservative: 0.05% Sodium azide Constituents: PBS, 50% Glycerol (glycerin, glycerine)
Shipped at conditions
Blue Ice
Appropriate short-term storage duration
1-2 weeks
Appropriate short-term storage conditions
+4°C
Appropriate long-term storage conditions
-20°C
Aliquoting information
Upon delivery aliquot
Storage information
Avoid freeze / thaw cycle

Supplementary information

This supplementary information is collated from multiple sources and compiled automatically.

FAT/FAT1 also known as FAT1 cadherin is a large transmembrane protein encoded by the FAT1 gene. It has a molecular weight of roughly 506 kDa. This protein is characterized by its cadherin-like domains and is widely expressed in various tissues including the brain kidney and skin. FAT1 is involved in cell adhesion processes and plays a critical role in the maintenance of cell shape and polarity.
Biological function summary

This protein participates in development and morphogenesis. FAT1 functions as a part of the cell adhesion complex interacting with actin cytoskeleton components. It also influences cellular behavior such as migration and proliferation. Through its interactions FAT1 contributes to the mechanical stability and structural integrity of cells within tissues.

Pathways

FAT1 interacts with signaling cascades implicated in cytoskeletal reorganization and cellular communication. It is notably involved in the Wnt signaling pathway and the Hippo pathway which are key in cell proliferation and growth regulation. Other related proteins in these pathways include beta-catenin and YAP/TAZ which mediate the downstream effects of these signaling pathways.

Alterations in FAT1 expression or function have been associated with cancer and renal disorders. Mutations or dysregulation of FAT1 can lead to disrupted cellular processes contributing to tumorigenesis and kidney disease. It is closely connected to proteins such as p53 in the context of cancer where p53 plays a role in controlling cell cycle progression and apoptosis in response to genomic instability.

Product protocols

For this product, it's our understanding that no specific protocols are required. You can visit:

Target data

Protocadherin Fat 1. Plays an essential role for cellular polarization, directed cell migration and modulating cell-cell contact.
See full target information FAT1

Publications (3)

Recent publications for all applications. Explore the full list and refine your search

Journal of the American Society of Nephrology : JASN 33:1033-1044 PubMed35321939

2022

Hematopoietic Stem Cell Transplant-Membranous Nephropathy Is Associated with Protocadherin FAT1.

Applications

Unspecified application

Species

Unspecified reactive species

Sanjeev Sethi,Benjamin Madden,Marta Casal Moura,Samih H Nasr,Nattawat Klomjit,LouAnn Gross,Vivian Negron,M Cristine Charlesworth,Mariam P Alexander,Nelson Leung,Ulrich Specks,Fernando C Fervenza,Mark Haas

Analytical cellular pathology (Amsterdam) 2021:9290372 PubMed34712552

2021

FAT1 and PTPN14 Regulate the Malignant Progression and Chemotherapy Resistance of Esophageal Cancer through the Hippo Signaling Pathway.

Applications

Unspecified application

Species

Unspecified reactive species

Yingzhi Lu,Zhenxin Wang,Ling Zhou,Zhaoming Ma,Jianguo Zhang,Yan Wu,Yan Shao,Yunyun Yang

Oncogene 40:2872-2883 PubMed33742124

2021

Liver x receptor alpha drives chemoresistance in response to side-chain hydroxycholesterols in triple negative breast cancer.

Applications

Unspecified application

Species

Unspecified reactive species

Samantha A Hutchinson,Alex Websdale,Giorgia Cioccoloni,Hanne Røberg-Larsen,Priscilia Lianto,Baek Kim,Ailsa Rose,Chrysa Soteriou,Arindam Pramanik,Laura M Wastall,Bethany J Williams,Madeline A Henn,Joy J Chen,Liqian Ma,J Bernadette Moore,Erik Nelson,Thomas A Hughes,James L Thorne
View all publications

Product promise

We are committed to supporting your work with high-quality reagents, and we're here for you every step of the way. In the unlikely event that one of our products does not perform as expected, you're protected by our Product Promise.
For full details, please see our Terms & Conditions

Please note: All products are 'FOR RESEARCH USE ONLY. NOT FOR USE IN DIAGNOSTIC OR THERAPEUTIC PROCEDURES'.

For licensing inquiries, please contact partnerships@abcam.com