JavaScript is disabled in your browser. Please enable JavaScript to view this website.
AB122497

Anti-FATS antibody

Be the first to review this product! Submit a review

|

(1 Publication)

Rabbit Polyclonal FATS antibody. Suitable for IHC-P, WB, ICC/IF and reacts with Human samples. Cited in 1 publication. Immunogen corresponding to Recombinant Fragment Protein within Human C10orf90 aa 150-300.

View Alternative Names

FATS, C10orf90, (E2-independent) E3 ubiquitin-conjugating enzyme FATS, Centrosomal protein C10orf90, E2/E3 hybrid ubiquitin-protein ligase FATS, Fragile-site associated tumor suppressor homolog

3 Images
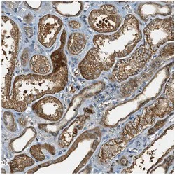
Immunohistochemistry (Formalin/PFA-fixed paraffin-embedded sections) - Anti-FATS antibody (AB122497)
  • IHC-P

Unknown

Immunohistochemistry (Formalin/PFA-fixed paraffin-embedded sections) - Anti-FATS antibody (AB122497)

ab122497 at 1/425 staining FATS in Paraffin Embedded Human kidney tissue.

Immunocytochemistry/ Immunofluorescence - Anti-FATS antibody (AB122497)
  • ICC/IF

Unknown

Immunocytochemistry/ Immunofluorescence - Anti-FATS antibody (AB122497)

Immunofluorescent staining of Human cell line A-431 shows positivity in nucleus but not nucleoli, plasma membrane and cytoplasm. Recommended concentration of ab122497 1-4 µg/ml. Cells treated with PFA/Triton X-100.

Western blot - Anti-FATS antibody (AB122497)
  • WB

Unknown

Western blot - Anti-FATS antibody (AB122497)

All lanes:

Western blot - Anti-FATS antibody (ab122497) at 1/250 dilution

Lane 1:

RT-4 lysate

Lane 2:

U-251 MG lysate

Lane 3:

Human Plasma

Lane 4:

Human Liver lysate

Lane 5:

Human Tonsil lysate

Predicted band size: 78 kDa

true

Key facts

Host species

Rabbit

Clonality

Polyclonal

Isotype

IgG

Carrier free

No

Reacts with

Human

Applications

IHC-P, WB, ICC/IF

applications

Immunogen

Recombinant Fragment Protein within Human C10orf90 aa 150-300. The exact immunogen used to generate this antibody is proprietary information.

Q96M02

Reactivity data

{ "title": "Reactivity Data", "filters": { "stats": ["", "Species", "Dilution Info", "Notes"], "tabs": { "all-applications": {"fullname" : "All Applications", "shortname": "All Applications"}, "IHCP" : {"fullname" : "Immunohistochemistry (Formalin/PFA-fixed paraffin-embedded sections)", "shortname":"IHC-P"}, "WB" : {"fullname" : "Western blot", "shortname":"WB"}, "ICCIF" : {"fullname" : "Immunocytochemistry/ Immunofluorescence", "shortname":"ICC/IF"} }, "product-promise": { "all": "all", "testedAndGuaranteed": "tested", "guaranteed": "expected", "predicted": "predicted", "notRecommended": "not-recommended" } }, "values": { "Human": { "IHCP-species-checked": "testedAndGuaranteed", "IHCP-species-dilution-info": "1/200 - 1/500", "IHCP-species-notes": "<p></p> Perform heat-mediated antigen retrieval with citrate buffer pH 6 before commencing with IHC staining protocol.", "WB-species-checked": "testedAndGuaranteed", "WB-species-dilution-info": "1/250 - 1/500", "WB-species-notes": "<p></p>", "ICCIF-species-checked": "testedAndGuaranteed", "ICCIF-species-dilution-info": "1-4 µg/mL", "ICCIF-species-notes": "<p>Recommend PFA Fixation and Triton X-100 treatment</p>" } } }

Properties and storage information

Form
Liquid
Purification technique
Affinity purification Immunogen
Storage buffer
pH: 7.2 Preservative: 0.02% Sodium azide Constituents: PBS, 40% Glycerol (glycerin, glycerine)
Shipped at conditions
Blue Ice
Appropriate short-term storage conditions
+4°C
Appropriate long-term storage conditions
-20°C
Aliquoting information
Upon delivery aliquot
Storage information
Avoid freeze / thaw cycle

Supplementary information

This supplementary information is collated from multiple sources and compiled automatically.

FATS also known as FATS tumor suppressor homolog is a protein involved in regulating cellular processes. It is a relatively large protein with a mass of approximately 305 kDa. FATS ubiquitously expresses in various tissues indicating its broad cellular functions. Functionally it participates in maintaining the genomic stability and ensuring proper cell cycle progression by interacting with several cellular components and modulating their activity.
Biological function summary

FATS plays a significant role in cell cycle regulation and genomic integrity. As part of its biological role FATS has been identified as an important player in tumor suppression. It helps prevent aberrant cell proliferation by enhancing the checkpoint mechanisms of the cell cycle. Although FATS does not belong to a known complex it closely interacts with other proteins involved in checkpoint control contributing to its overall function in cellular homeostasis.

Pathways

In the cell cycle management FATS interacts with important pathways such as the DNA damage response pathway and the p53 pathway. In the DNA damage response it coordinates with proteins like ATM and Chk2 facilitating effective repair mechanisms. FATS also influences the p53 pathway acting in concert with p53 to mediate cell cycle arrest thereby preventing the propagation of genetic damage.

FATS plays a role in cancer when its function is impaired. Reduced or absent FATS function has been observed in various cancers including breast and ovarian cancer where it leads to compromised genomic stability. In these cases FATS displays a connection with proteins like BRCA1 and RAD51 both of which are vital for maintaining DNA repair processes. The interactions between FATS and these proteins underline its preventive role against the onset of tumorigenesis in affected patients.

Product protocols

For this product, it's our understanding that no specific protocols are required. You can visit:

Target data

Tumor suppressor that is required to sustain G2/M checkpoint after DNA damage. Acts as a p53/TP53 activator by inhibiting MDM2 binding to p53/TP53 and stimulating non-proteolytic polyubiquitination of p53/TP53. Exhibits ubiquitin ligase (E3) activity and assemble ubiquitin polymers through 'Lys-11'- (K11-), 'Lys-29'- (K29-) and 'Lys-63'- (K63)-linkages, independently of the ubiquitin-conjugating enzyme (E2). Promotes p53/TP53-dependent transcription of CDKN1A/p21, leading to robust checkpoint response. Mediates CDKN1A/p21 protein stability in a ubiquitin-independent manner. Interacts with HDAC1 and prevents binding of HDAC1 to CDKN1A/p21 and facilitates the acetylation and stabilization of CDKN1A/p21 (By similarity). May have a role in the assembly of primary cilia (Probable).
See full target information C10orf90

Publications (1)

Recent publications for all applications. Explore the full list and refine your search

BMC cancer 15:559 PubMed26223354

2015

A functional genetic variant in fragile-site gene FATS modulates the risk of breast cancer in triparous women.

Applications

IHC

Species

Unspecified reactive species

Fangfang Song,Jun Zhang,Li Qiu,Yawen Zhao,Pan Xing,Jiachun Lu,Kexin Chen,Zheng Li
View all publications

Product promise

We are committed to supporting your work with high-quality reagents, and we're here for you every step of the way. In the unlikely event that one of our products does not perform as expected, you're protected by our Product Promise.
For full details, please see our Terms & Conditions

Please note: All products are 'FOR RESEARCH USE ONLY. NOT FOR USE IN DIAGNOSTIC OR THERAPEUTIC PROCEDURES'.

For licensing inquiries, please contact partnerships@abcam.com