JavaScript is disabled in your browser. Please enable JavaScript to view this website.
AB99359

Anti-Fatty Acid Synthase antibody

5

(1 Review)

|

(16 Publications)

Rabbit Polyclonal Fatty Acid Synthase antibody. Suitable for IP, WB, IHC-P and reacts with Human, Mouse samples. Cited in 16 publications. Immunogen corresponding to Synthetic Peptide within Human FASN aa 2450 to C-terminus.

View Alternative Names

FAS, FASN, Fatty acid synthase, Type I fatty acid synthase

4 Images
Immunohistochemistry (Formalin/PFA-fixed paraffin-embedded sections) - Anti-Fatty Acid Synthase antibody (AB99359)
  • IHC-P

Lab

Immunohistochemistry (Formalin/PFA-fixed paraffin-embedded sections) - Anti-Fatty Acid Synthase antibody (AB99359)

IHC image of Fatty Acid Synthase staining in human breast adenocarcinoma formalin fixed paraffin embedded tissue section, performed on a Leica Bond system using the standard protocol F. The section was pre-treated using heat mediated antigen retrieval with sodium citrate buffer (pH6, epitope retrieval solution 1) for 20 mins. The section was then incubated with ab99359, 1μg/ml, for 15 mins at room temperature and detected using an HRP conjugated compact polymer system. DAB was used as the chromogen. The section was then counterstained with haematoxylin and mounted with DPX.

For other IHC staining systems (automated and non-automated) customers should optimize variable parameters such as antigen retrieval conditions, primary antibody concentration and antibody incubation times.

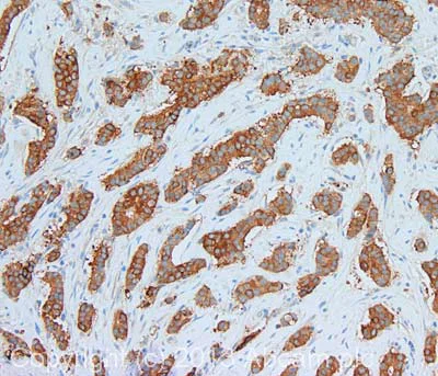
Immunohistochemistry (Formalin/PFA-fixed paraffin-embedded sections) - Anti-Fatty Acid Synthase antibody (AB99359)
  • IHC-P

Supplier Data

Immunohistochemistry (Formalin/PFA-fixed paraffin-embedded sections) - Anti-Fatty Acid Synthase antibody (AB99359)

Immunohistochemistry (Formalin/PFA-fixed paraffin-embedded sections) analysis of human prostate carcinoma (left) and mouse renal cell carcinoma (right) tissues labelling Fatty Acid Synthase with ab99359 at 1/200 (1µg/ml). Detection : DAB.

Immunoprecipitation - Anti-Fatty Acid Synthase antibody (AB99359)
  • IP

Unknown

Immunoprecipitation - Anti-Fatty Acid Synthase antibody (AB99359)

ab99359 at 0.1 μg/ml detecting Fatty Acid Synthase in HeLa whole cell lysate by western blot analysis following immunoprecipitation. Detection utilised ECL with a 30 second exposure.
For immunoprecipitation, ab99359 was used at at 3 μg/mg lysate; 1 mg of lysate was used for IP and 20% of IP was loaded.
Lane 1; IP using ab99358 (a rabbit anti-Fatty Acid Synthase antibody which recognizes a upstream epitope).
Lane 2; IP using ab99359.
Lane 3; IP using control IgG.

All lanes:

Immunoprecipitation - Anti-Fatty Acid Synthase antibody (ab99359)

Predicted band size: 273 kDa

false

Western blot - Anti-Fatty Acid Synthase antibody (AB99359)
  • WB

Unknown

Western blot - Anti-Fatty Acid Synthase antibody (AB99359)

All lanes:

Western blot - Anti-Fatty Acid Synthase antibody (ab99359) at 0.04 µg/mL

Lane 1:

HeLa whole cell lysate at 50 µg

Lane 2:

HeLa whole cell lysate at 15 µg

Lane 3:

HeLa whole cell lysate at 5 µg

Lane 4:

293T whole cell lysate at 50 µg

Predicted band size: 273 kDa

true

Exposure time: 30s

Key facts

Host species

Rabbit

Clonality

Polyclonal

Isotype

IgG

Carrier free

No

Reacts with

Mouse, Human

Applications

IP, WB, IHC-P

applications

Immunogen

Synthetic Peptide within Human FASN aa 2450 to C-terminus. The exact immunogen used to generate this antibody is proprietary information.

P49327

Reactivity data

{ "title": "Reactivity Data", "filters": { "stats": ["", "Species", "Dilution Info", "Notes"], "tabs": { "all-applications": {"fullname" : "All Applications", "shortname": "All Applications"}, "IP" : {"fullname" : "Immunoprecipitation", "shortname":"IP"}, "WB" : {"fullname" : "Western blot", "shortname":"WB"}, "IHCP" : {"fullname" : "Immunohistochemistry (Formalin/PFA-fixed paraffin-embedded sections)", "shortname":"IHC-P"} }, "product-promise": { "all": "all", "testedAndGuaranteed": "tested", "guaranteed": "expected", "predicted": "predicted", "notRecommended": "not-recommended" } }, "values": { "Human": { "IP-species-checked": "testedAndGuaranteed", "IP-species-dilution-info": "2-5 µg/mg of lysate", "IP-species-notes": "<p></p>", "WB-species-checked": "testedAndGuaranteed", "WB-species-dilution-info": "1/2000 - 1/10000", "WB-species-notes": "<p></p>", "IHCP-species-checked": "testedAndGuaranteed", "IHCP-species-dilution-info": "", "IHCP-species-notes": "<p></p>" }, "Mouse": { "IP-species-checked": "guaranteed", "IP-species-dilution-info": "", "IP-species-notes": "", "WB-species-checked": "guaranteed", "WB-species-dilution-info": "", "WB-species-notes": "", "IHCP-species-checked": "testedAndGuaranteed", "IHCP-species-dilution-info": "", "IHCP-species-notes": "<p></p>" }, "Rat": { "IP-species-checked": "predicted", "IP-species-dilution-info": "", "IP-species-notes": "", "WB-species-checked": "predicted", "WB-species-dilution-info": "", "WB-species-notes": "", "IHCP-species-checked": "predicted", "IHCP-species-dilution-info": "", "IHCP-species-notes": "" }, "Chimpanzee": { "IP-species-checked": "predicted", "IP-species-dilution-info": "", "IP-species-notes": "", "WB-species-checked": "predicted", "WB-species-dilution-info": "", "WB-species-notes": "", "IHCP-species-checked": "predicted", "IHCP-species-dilution-info": "", "IHCP-species-notes": "" }, "Chinese hamster": { "IP-species-checked": "predicted", "IP-species-dilution-info": "", "IP-species-notes": "", "WB-species-checked": "predicted", "WB-species-dilution-info": "", "WB-species-notes": "", "IHCP-species-checked": "predicted", "IHCP-species-dilution-info": "", "IHCP-species-notes": "" }, "Cow": { "IP-species-checked": "predicted", "IP-species-dilution-info": "", "IP-species-notes": "", "WB-species-checked": "predicted", "WB-species-dilution-info": "", "WB-species-notes": "", "IHCP-species-checked": "predicted", "IHCP-species-dilution-info": "", "IHCP-species-notes": "" }, "Dog": { "IP-species-checked": "predicted", "IP-species-dilution-info": "", "IP-species-notes": "", "WB-species-checked": "predicted", "WB-species-dilution-info": "", "WB-species-notes": "", "IHCP-species-checked": "predicted", "IHCP-species-dilution-info": "", "IHCP-species-notes": "" }, "Goat": { "IP-species-checked": "predicted", "IP-species-dilution-info": "", "IP-species-notes": "", "WB-species-checked": "predicted", "WB-species-dilution-info": "", "WB-species-notes": "", "IHCP-species-checked": "predicted", "IHCP-species-dilution-info": "", "IHCP-species-notes": "" }, "Gorilla": { "IP-species-checked": "predicted", "IP-species-dilution-info": "", "IP-species-notes": "", "WB-species-checked": "predicted", "WB-species-dilution-info": "", "WB-species-notes": "", "IHCP-species-checked": "predicted", "IHCP-species-dilution-info": "", "IHCP-species-notes": "" }, "Guinea pig": { "IP-species-checked": "predicted", "IP-species-dilution-info": "", "IP-species-notes": "", "WB-species-checked": "predicted", "WB-species-dilution-info": "", "WB-species-notes": "", "IHCP-species-checked": "predicted", "IHCP-species-dilution-info": "", "IHCP-species-notes": "" }, "Horse": { "IP-species-checked": "predicted", "IP-species-dilution-info": "", "IP-species-notes": "", "WB-species-checked": "predicted", "WB-species-dilution-info": "", "WB-species-notes": "", "IHCP-species-checked": "predicted", "IHCP-species-dilution-info": "", "IHCP-species-notes": "" }, "Rabbit": { "IP-species-checked": "predicted", "IP-species-dilution-info": "", "IP-species-notes": "", "WB-species-checked": "predicted", "WB-species-dilution-info": "", "WB-species-notes": "", "IHCP-species-checked": "predicted", "IHCP-species-dilution-info": "", "IHCP-species-notes": "" }, "Rhesus monkey": { "IP-species-checked": "predicted", "IP-species-dilution-info": "", "IP-species-notes": "", "WB-species-checked": "predicted", "WB-species-dilution-info": "", "WB-species-notes": "", "IHCP-species-checked": "predicted", "IHCP-species-dilution-info": "", "IHCP-species-notes": "" } } }

Properties and storage information

Form
Liquid
Purification technique
Affinity purification Immunogen
Purification notes
ab99359 was affinity purified using an epitope specific to Fatty Acid Synthase immobilized on solid support.
Storage buffer
pH: 6.8 - 7.4 Preservative: 0.09% Sodium azide Constituents: Tris buffered saline, 0.1% BSA
Shipped at conditions
Blue Ice
Appropriate short-term storage conditions
+4°C
Appropriate long-term storage conditions
+4°C
Aliquoting information
Upon delivery aliquot
Storage information
Avoid freeze / thaw cycle

Product protocols

For this product, it's our understanding that no specific protocols are required. You can visit:

Target data

Fatty acid synthetase is a multifunctional enzyme that catalyzes the de novo biosynthesis of long-chain saturated fatty acids starting from acetyl-CoA and malonyl-CoA in the presence of NADPH. This multifunctional protein contains 7 catalytic activities and a site for the binding of the prosthetic group 4'-phosphopantetheine of the acyl carrier protein ([ACP]) domain.. (Microbial infection) Fatty acid synthetase activity is required for SARS coronavirus-2/SARS-CoV-2 replication.
See full target information FASN

Publications (16)

Recent publications for all applications. Explore the full list and refine your search

Heliyon 10:e36897 PubMed39281564

2024

The role of ESM1 in the lipids metabolic reprogramming and angiogenesis of lung adenocarcinoma cells.

Applications

Unspecified application

Species

Unspecified reactive species

Wenchang Feng,Yi Ting,Xing Tang,Dan Liu,Wen-Chao Zhou,Yukun Li,Zhenyu Shen

Journal of diabetes investigation 14:1160-1171 PubMed37415301

2023

LINC01705 derived from adipocyte exosomes regulates hepatocyte lipid accumulation via an miR-552-3p/LXR axis.

Applications

Unspecified application

Species

Unspecified reactive species

Anhua Lin,Wenjing He

Frontiers in nutrition 10:1098715 PubMed36969813

2023

Sodium acetate regulates milk fat synthesis through the activation of GPR41/GPR43 signaling pathway.

Applications

Unspecified application

Species

Unspecified reactive species

Yingao Qi,Tenghui Zheng,Xinghong Liu,Siwang Yang,Qihui Li,Jiayuan Shao,Xiangfang Zeng,Wutai Guan,Shihai Zhang

Metabolites 12: PubMed36355136

2022

Altered Liver Metabolism, Mitochondrial Function, Oxidative Status, and Inflammatory Response in Intrauterine Growth Restriction Piglets with Different Growth Patterns before Weaning.

Applications

Unspecified application

Species

Unspecified reactive species

Jun Wang,Pengwei Zhu,Xiaoyu Zheng,Ziwei Ma,Chang Cui,Caichi Wu,Xiangfang Zeng,Wutai Guan,Fang Chen

FEBS open bio 12:937-958 PubMed35243817

2022

Epigallocatechin gallate triggers apoptosis by suppressing de novo lipogenesis in colorectal carcinoma cells.

Applications

Unspecified application

Species

Unspecified reactive species

Phuriwat Khiewkamrop,Damratsamon Surangkul,Metawee Srikummool,Lysiane Richert,Dumrongsak Pekthong,Supawadee Parhira,Julintorn Somran,Piyarat Srisawang

Nutrients 14: PubMed35267929

2022

Mechanism of Alleviating Acquired Hyperlipidemia Induced by High-Fat Diet through Regulating Lipid Metabolism.

Applications

Unspecified application

Species

Unspecified reactive species

Ling Wang,Wenya Zheng,Jinxin Yang,Anwar Ali,Hong Qin

Oncology letters 23:105 PubMed35242233

2022

Evaluation of the expression of fatty acid synthase and -GlcNAc transferase in patients with liver cancer by exploration of transcriptome databases and experimental approaches.

Applications

Unspecified application

Species

Unspecified reactive species

Sadia Raab,Ninon Very,Belinda Duchêne,Pierre Rybarczyk,Nicolas Jonckheere,Ikram El Yazidi-Belkoura,Tony Lefebvre

Frontiers in cell and developmental biology 9:772436 PubMed34957104

2021

Integrative 5-Methylcytosine Modification Immunologically Reprograms Tumor Microenvironment Characterizations and Phenotypes of Clear Cell Renal Cell Carcinoma.

Applications

Unspecified application

Species

Unspecified reactive species

Wenhao Xu,Wenkai Zhu,Xi Tian,Wangrui Liu,Yuanyuan Wu,Aihetaimujiang Anwaier,Jiaqi Su,Shiyin Wei,Yuanyuan Qu,Hailiang Zhang,Dingwei Ye

Journal of animal science and biotechnology 12:83 PubMed34275467

2021

Bta-miR-34b controls milk fat biosynthesis via the Akt/mTOR signaling pathway by targeting RAI14 in bovine mammary epithelial cells.

Applications

Unspecified application

Species

Unspecified reactive species

Yujuan Wang,Xiaoyu Wang,Meng Wang,Li Zhang,Linsen Zan,Wucai Yang

Antioxidants (Basel, Switzerland) 10: PubMed34205039

2021

Antioxidant Resveratrol Increases Lipolytic and Reduces Lipogenic Gene Expression under In Vitro Heat Stress Conditions in Dedifferentiated Adipocyte-Derived Progeny Cells from Dairy Cows.

Applications

Unspecified application

Species

Unspecified reactive species

Gitit Kra,Jayasimha Rayalu Daddam,Hadar Gabay,Sara Yosefi,Maya Zachut
View all publications

Product promise

We are committed to supporting your work with high-quality reagents, and we're here for you every step of the way. In the unlikely event that one of our products does not perform as expected, you're protected by our Product Promise.
For full details, please see our Terms & Conditions

Please note: All products are 'FOR RESEARCH USE ONLY. NOT FOR USE IN DIAGNOSTIC OR THERAPEUTIC PROCEDURES'.

For licensing inquiries, please contact partnerships@abcam.com