JavaScript is disabled in your browser. Please enable JavaScript to view this website.
AB221934

Anti-Fatty Acid Synthase antibody [EPR7466] - BSA and Azide free

  • BOND RX™ Validated
  • RabMAb
  • Recombinant
  • KO Validated
  • What is this?

5

(1 Review)

|

(2 Publications)

Rabbit Recombinant Monoclonal Fatty Acid Synthase antibody. Carrier free. Suitable for IHC-P, IP, WB, ICC/IF, Flow Cyt (Intra) and reacts with Human, Mouse, Rat samples. Cited in 2 publications.

View Alternative Names

FAS, FASN, Fatty acid synthase, Type I fatty acid synthase

10 Images
Immunocytochemistry/ Immunofluorescence - Anti-Fatty Acid Synthase antibody [EPR7466] - BSA and Azide free (AB221934)
  • ICC/IF

Lab

Immunocytochemistry/ Immunofluorescence - Anti-Fatty Acid Synthase antibody [EPR7466] - BSA and Azide free (AB221934)

Immunocytochemistry analysis of HeLa (Human cervix adenocarcinoma epithelial cell) cells labeling Fatty Acid Synthase with Purified ab128870 at 1 : 50 dilution (10 μg/ml). Cells were fixed in 4% Paraformaldehyde and permeabilized with 0.1% tritonX-100. Cells were counterstained with ab195889 Anti-alpha Tubulin antibody [DM1A] - Microtubule Marker (Alexa Fluor® 594) 1 : 200 (2.5 μg/ml). Goat anti rabbit IgG (Alexa Fluor® 488, ab150077) was used as the secondary antibody at 1 : 1000 (2 μg/ml) dilution. DAPI (blue) was used as nuclear counterstain. PBS instead of the primary antibody was used as the secondary antibody only control.

This data was developed using ab128870, the same antibody clone in a different buffer formulation.

Flow Cytometry (Intracellular) - Anti-Fatty Acid Synthase antibody [EPR7466] - BSA and Azide free (AB221934)
  • Flow Cyt (Intra)

Lab

Flow Cytometry (Intracellular) - Anti-Fatty Acid Synthase antibody [EPR7466] - BSA and Azide free (AB221934)

Flow Cytometry analysis of A549 (Human lung carcinoma epithelial cell) cells labelling Fatty Acid Synthase with Purified ab128870 at 1 : 50 dilution (10 μg/ml) (Red). Cells were fixed with 4% Paraformaldehyde and permeabilised with 90% Methanol. A Goat anti rabbit IgG (Alexa Fluor® 488, ab150077) secondary antibody was used at 1 : 2000. Isotype control - Rabbit monoclonal IgG (Black). Unlabelled control - Cell without incubation with primary antibody and secondary antibody (Blue).

This data was developed using ab128870, the same antibody clone in a different buffer formulation.

Immunohistochemistry (Formalin/PFA-fixed paraffin-embedded sections) - Anti-Fatty Acid Synthase antibody [EPR7466] - BSA and Azide free (AB221934)
  • IHC-P

Lab

Immunohistochemistry (Formalin/PFA-fixed paraffin-embedded sections) - Anti-Fatty Acid Synthase antibody [EPR7466] - BSA and Azide free (AB221934)

Immunohistochemistry (Formalin/PFA-fixed paraffin-embedded sections) analysis of human breast cancer tissue sections labeling Fatty Acid Synthase with Purified ab128870 at 1 : 450 dilution (1.09 μg/ml). Heat mediated antigen retrieval was performed using Heat mediated antigen retrieval using Bond™ Epitope Retrieval Solution 2 (pH 9.0) . Tissue was counterstained with Hematoxylin. Rabbit specific IHC polymer detection kit HRP/DAB (ab209101) secondary antibody was used. PBS instead of the primary antibody was used as the negative control.

This data was developed using ab128870, the same antibody clone in a different buffer formulation.

Flow Cytometry (Intracellular) - Anti-Fatty Acid Synthase antibody [EPR7466] - BSA and Azide free (AB221934)
  • Flow Cyt (Intra)

Lab

Flow Cytometry (Intracellular) - Anti-Fatty Acid Synthase antibody [EPR7466] - BSA and Azide free (AB221934)

This data was developed using the same antibody clone in a different buffer formulation containing PBS, BSA, glycerol, and sodium azide (ab128870).

Flow cytometry overlay histogram showing wild-type HAP1 (green line) and FASN knockout HAP1 stained with ab128870 (magenta line). The cells were fixed with 80% methanol (5 min) and then permeabilised with 0.1% PBS-Triton X-100 for 15 min. The cells were then incubated in 1x PBS containing 10% normal goat serum to block non-specific protein-protein interaction followed by the antibody (ab128870) (1x 106 in 100μl at 0.008 μg/ml (1/69250 dilution)) for 30min at 22°C.

The secondary antibody Goat Anti-Rabbit IgG H&L (Alexa Fluor® 488) preadsorbed was incubated at 1/4000 dilution for 30min at 22°C.

Isotype control antibody was Recombinant Rabbit IgG, monoclonal [EPR25A] - Isotype Control in HAP1 WT cells (black line) and HAP1-FASN KO cells (grey line), used at the same concentration and conditions as the primary antibody.

Acquisition of >5000 events were collected using a 50 mW Blue laser (488nm) and 525/40 bandpass filter.

This antibody gave a positive signal in wild-type HAP1 fixed with 4% formaldehyde (10 min) and then permeabilised with 0.1% PBS-Triton X-100 for 15 min under the same conditions.

Immunoprecipitation - Anti-Fatty Acid Synthase antibody [EPR7466] - BSA and Azide free (AB221934)
  • IP

Lab

Immunoprecipitation - Anti-Fatty Acid Synthase antibody [EPR7466] - BSA and Azide free (AB221934)

Purified ab128870 at 1 : 30 dilution (2μg) immunoprecipitating Fatty Acid Synthase in HEK-293 whole cell lysate.
Lane 1 (input) : HEK-293 (Human embryonic kidney epithelial cell) whole cell lysate 10 μg
Lane 2 (+) : ab221934 + HEK-293 whole cell lysate.
Lane 3 (-) : Rabbit monoclonal IgG (ab172730) instead of ab128870 in HEK-293 whole cell lysate.
VeriBlot for IP Detection Reagent (HRP)(ab131366) (1 : 10,000 dilution) was used for Western blotting.
Blocking Buffer and concentration : 5% NFDM/TBST.
Diluting buffer and concentration : 5% NFDM/TBST.
Observed band size : kDa

This data was developed using ab128870, the same antibody clone in a different buffer formulation.

All lanes:

Immunoprecipitation - Anti-Fatty Acid Synthase antibody [EPR7466] (<a href='/en-us/products/primary-antibodies/fatty-acid-synthase-antibody-epr7466-ab128870'>ab128870</a>)

Predicted band size: 273 kDa

false

Immunocytochemistry/ Immunofluorescence - Anti-Fatty Acid Synthase antibody [EPR7466] - BSA and Azide free (AB221934)
  • ICC/IF

Lab

Immunocytochemistry/ Immunofluorescence - Anti-Fatty Acid Synthase antibody [EPR7466] - BSA and Azide free (AB221934)

This data was developed using ab128870, the same antibody clone in a different buffer formulation.

Immunofluorescent analysis of 4% Paraformaldehyde-fixed, 0.1% TritonX-100 permeabilized NIH/3T3 (mouse embryonic fibroblast) cells labelling with ab128870 at 1/50 dilution, followed by ab150081 antibody at 1/1000 dilution (Green). Confocal image showing cytoplasmic staining in NIH/3T3 cells is observed. ab195889 was used to counterstain tubulin at 1/200 dilution (Red). The Nuclear counterstain was DAPI (Blue).

Secondary antibody only control : Secondary antibody is ab150081 at 1/1000 dilution.

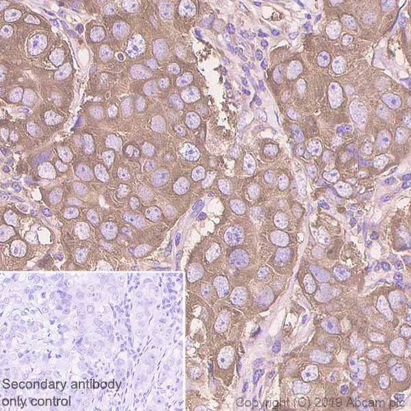
Immunohistochemistry (Formalin/PFA-fixed paraffin-embedded sections) - Anti-Fatty Acid Synthase antibody [EPR7466] - BSA and Azide free (AB221934)
  • IHC-P

Lab

Immunohistochemistry (Formalin/PFA-fixed paraffin-embedded sections) - Anti-Fatty Acid Synthase antibody [EPR7466] - BSA and Azide free (AB221934)

Immunohistochemistry (Formalin/PFA-fixed paraffin-embedded sections) analysis of rat liver tissue sections labeling Fatty Acid Synthase with Purified ab128870 at 1 : 450 dilution (1.09 μg/ml). Heat mediated antigen retrieval was performed using Heat mediated antigen retrieval using Bond™ Epitope Retrieval Solution 2 (pH 9.0) . Tissue was counterstained with Hematoxylin. Rabbit specific IHC polymer detection kit HRP/DAB (ab209101) secondary antibody was used. PBS instead of the primary antibody was used as the negative control.

This data was developed using ab128870, the same antibody clone in a different buffer formulation.

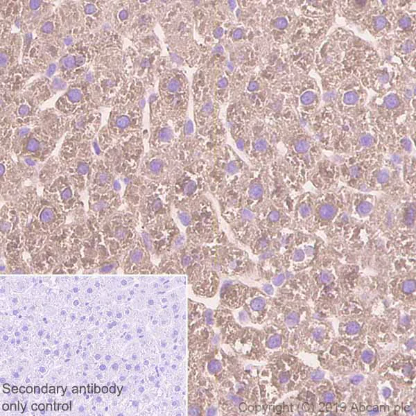
Immunohistochemistry (Formalin/PFA-fixed paraffin-embedded sections) - Anti-Fatty Acid Synthase antibody [EPR7466] - BSA and Azide free (AB221934)
  • IHC-P

Lab

Immunohistochemistry (Formalin/PFA-fixed paraffin-embedded sections) - Anti-Fatty Acid Synthase antibody [EPR7466] - BSA and Azide free (AB221934)

Immunohistochemistry (Formalin/PFA-fixed paraffin-embedded sections) analysis of mouse liver tissue sections labeling Fatty Acid Synthase with Purified ab128870 at 1 : 450 dilution (1.09 μg/ml). Heat mediated antigen retrieval was performed using Heat mediated antigen retrieval using Bond™ Epitope Retrieval Solution 2 (pH 9.0) . Tissue was counterstained with Hematoxylin. Rabbit specific IHC polymer detection kit HRP/DAB (ab209101) secondary antibody was used. PBS instead of the primary antibody was used as the negative control.

This data was developed using ab128870, the same antibody clone in a different buffer formulation.

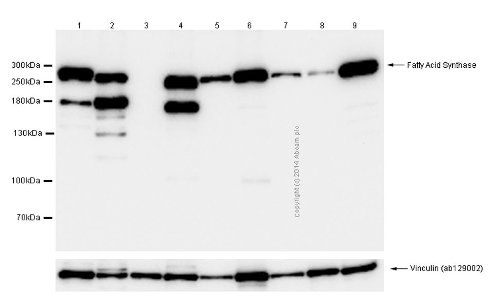
Western blot - Anti-Fatty Acid Synthase antibody [EPR7466] - BSA and Azide free (AB221934)
  • WB

Supplier Data

Western blot - Anti-Fatty Acid Synthase antibody [EPR7466] - BSA and Azide free (AB221934)

Lane 1 : Wild-type HAP1 cell lysate (20 μg)
Lane 2 : Fatty Acid Synthase knockout HAP1 cell lysate (20 μg)
Lane 3 : A549 cell lysate (20 μg)
Lane 4 : Hu liver tissue lysate (20 μg)
Lanes 1 - 4 : Merged signal (red and green). Green - ab128870 observed at 250 kDa. Red - loading control, ab18058, observed at 124 kDa.

ab128870 was shown to react with Fatty Acid Synthase in wild-type HAP1 cells along with additional cross reactive bands. No band was observed when Fatty Acid Synthase knockout samples were examined. Wild-type and Fatty Acid Synthase knockout samples were subjected to SDS-PAGE. ab128870 and ab18058 (loading control to Vinculin) were both diluted at 1/10,000 and incubated overnight at 4°C. Blots were developed with Goat anti-Rabbit IgG H&L (IRDye® 800CW) preadsorbed (ab216773) and Goat anti-Mouse IgG H&L (IRDye® 680RD) preadsorbed (ab216776) secondary antibodies at 1/10,000 dilution for 1 hour at room temperature before imaging.

This image was produced using ab128870, the same clone but in a different formulation.

All lanes:

Western blot - Anti-Fatty Acid Synthase antibody [EPR7466] - BSA and Azide free (ab221934)

Predicted band size: 273 kDa

false

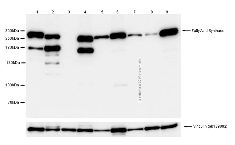
Western blot - Anti-Fatty Acid Synthase antibody [EPR7466] - BSA and Azide free (AB221934)
  • WB

Unknown

Western blot - Anti-Fatty Acid Synthase antibody [EPR7466] - BSA and Azide free (AB221934)

This data was developed using ab128870, the same antibody clone in a different buffer formulation.

All lanes:

Western blot - Anti-Fatty Acid Synthase antibody [EPR7466] (<a href='/en-us/products/primary-antibodies/fatty-acid-synthase-antibody-epr7466-ab128870'>ab128870</a>) at 1/1000 dilution

Lane 1:

HeLa (Human cervix adenocarcinoma epithelial cell) whole cell lysate at 20 µg

Lane 2:

A549 (Human lung carcinoma epithelial cell) whole cell lysate at 20 µg

Lane 3:

Mouse liver lysate at 20 µg

Lane 4:

NIH/3T3 (Mouse embryonic fibroblast) whole cell lysate at 20 µg

Lane 5:

Mouse brain lysate at 20 µg

Lane 6:

L6 (Rat skeletal muscle myoblast) whole cell lysate at 20 µg

Lane 7:

Rat brain lysate at 20 µg

Lane 8:

Rat liver lysate at 20 µg

Lane 9:

HEK-293 (Human embryonic kidney epithelial cell) whole cell lysate at 20 µg

Secondary

All lanes:

Western blot - Goat Anti-Rabbit IgG H&L (HRP) (<a href='/en-us/products/secondary-antibodies/goat-rabbit-igg-h-l-hrp-ab97051'>ab97051</a>) at 1/20000 dilution

Predicted band size: 273 kDa

false

  • Unconjugated

    Anti-Fatty Acid Synthase antibody [EPR7466]

  • 565 Alexa Fluor® 555

    Alexa Fluor® 555 Anti-Fatty Acid Synthase antibody [EPR7466]

  • 617 Alexa Fluor® 594

    Alexa Fluor® 594 Anti-Fatty Acid Synthase antibody [EPR7466]

  • 665 Alexa Fluor® 647

    Alexa Fluor® 647 Anti-Fatty Acid Synthase antibody [EPR7466]

  • 578 PE

    PE Anti-Fatty Acid Synthase antibody [EPR7466]

  • 660 APC

    APC Anti-Fatty Acid Synthase antibody [EPR7466]

  • 775 Alexa Fluor® 750

    Alexa Fluor® 750 Anti-Fatty Acid Synthase antibody [EPR7466]

  • HRP

    HRP Anti-Fatty Acid Synthase antibody [EPR7466]

Key facts

Host species

Rabbit

Clonality

Monoclonal

Clone number

EPR7466

Isotype

IgG

Carrier free

Yes

Reacts with

Human, Rat, Mouse

Applications

ICC/IF, WB, IHC-P, Flow Cyt (Intra), IP

applications

Immunogen

The exact immunogen used to generate this antibody is proprietary information.

Reactivity data

{ "title": "Reactivity Data", "filters": { "stats": ["", "Species", "Dilution Info", "Notes"], "tabs": { "all-applications": {"fullname" : "All Applications", "shortname": "All Applications"}, "IHCP" : {"fullname" : "Immunohistochemistry (Formalin/PFA-fixed paraffin-embedded sections)", "shortname":"IHC-P"}, "IP" : {"fullname" : "Immunoprecipitation", "shortname":"IP"}, "WB" : {"fullname" : "Western blot", "shortname":"WB"}, "ICCIF" : {"fullname" : "Immunocytochemistry/ Immunofluorescence", "shortname":"ICC/IF"}, "FlowCytIntra" : {"fullname" : "Flow Cytometry (Intracellular)", "shortname":"Flow Cyt (Intra)"} }, "product-promise": { "all": "all", "testedAndGuaranteed": "tested", "guaranteed": "expected", "predicted": "predicted", "notRecommended": "not-recommended" } }, "values": { "Human": { "IHCP-species-checked": "testedAndGuaranteed", "IHCP-species-dilution-info": "", "IHCP-species-notes": "<p></p> Perform heat-mediated antigen retrieval with citrate buffer pH 6 before commencing with IHC staining protocol.", "IP-species-checked": "testedAndGuaranteed", "IP-species-dilution-info": "", "IP-species-notes": "<p></p>", "WB-species-checked": "testedAndGuaranteed", "WB-species-dilution-info": "", "WB-species-notes": "<p>This antibody does not work well in liver tissue in WB application. We suggest <a href='/en-us/products/primary-antibodies/fatty-acid-synthase-antibody-epr7465-ab128856'>ab128856</a> as an alternative.</p>", "ICCIF-species-checked": "testedAndGuaranteed", "ICCIF-species-dilution-info": "", "ICCIF-species-notes": "<p></p>", "FlowCytIntra-species-checked": "testedAndGuaranteed", "FlowCytIntra-species-dilution-info": "", "FlowCytIntra-species-notes": "<p><a href='/en-us/products/primary-antibodies/rabbit-igg-monoclonal-epr25a-isotype-control-low-endotoxin-azide-free-ab199376'>ab199376</a> - Rabbit monoclonal IgG, is suitable for use as an isotype control with this antibody.</p>" }, "Mouse": { "IHCP-species-checked": "guaranteed", "IHCP-species-dilution-info": "", "IHCP-species-notes": "", "IP-species-checked": "guaranteed", "IP-species-dilution-info": "", "IP-species-notes": "", "WB-species-checked": "testedAndGuaranteed", "WB-species-dilution-info": "", "WB-species-notes": "<p>This antibody does not work well in liver tissue in WB application. We suggest <a href='/en-us/products/primary-antibodies/fatty-acid-synthase-antibody-epr7465-ab128856'>ab128856</a> as an alternative.</p>", "ICCIF-species-checked": "guaranteed", "ICCIF-species-dilution-info": "", "ICCIF-species-notes": "", "FlowCytIntra-species-checked": "guaranteed", "FlowCytIntra-species-dilution-info": "", "FlowCytIntra-species-notes": "" }, "Rat": { "IHCP-species-checked": "guaranteed", "IHCP-species-dilution-info": "", "IHCP-species-notes": "", "IP-species-checked": "guaranteed", "IP-species-dilution-info": "", "IP-species-notes": "", "WB-species-checked": "testedAndGuaranteed", "WB-species-dilution-info": "", "WB-species-notes": "<p>This antibody does not work well in liver tissue in WB application. We suggest <a href='/en-us/products/primary-antibodies/fatty-acid-synthase-antibody-epr7465-ab128856'>ab128856</a> as an alternative.</p>", "ICCIF-species-checked": "guaranteed", "ICCIF-species-dilution-info": "", "ICCIF-species-notes": "", "FlowCytIntra-species-checked": "guaranteed", "FlowCytIntra-species-dilution-info": "", "FlowCytIntra-species-notes": "" } } }

Product details

ab221934 is the carrier-free version of ab128870.

Patented technology
Our RabMAb® technology is a patented hybridoma-based technology for making rabbit monoclonal antibodies. For details on our patents, please refer to RabMAb® patents.

What are the advantages of a recombinant monoclonal antibody?
This product is a recombinant monoclonal antibody, which offers several advantages including:

  • - High batch-to-batch consistency and reproducibility
  • - Improved sensitivity and specificity
  • - Long-term security of supply
  • - Animal-free batch production

For more information, read more on recombinant antibodies.

Conjugation ready
Our carrier-free antibodies are typically supplied in a PBS-only formulation, purified and free of BSA, sodium azide and glycerol. This conjugation-ready format is designed for use with fluorochromes, metal isotopes, oligonucleotides, and enzymes, which makes them ideal for antibody labelling, functional and cell-based assays, flow-based assays (e.g. mass cytometry) and Multiplex Imaging applications.

Use our conjugation kits for antibody conjugates that are ready-to-use in as little as 20 minutes with 1 minute hands-on-time and 100% antibody recovery: available for fluorescent dyes, HRP, biotin and gold.

Compatibility
This product is compatible with the Maxpar® Antibody Labeling Kit from Fluidigm, without the need for antibody preparation. Maxpar® is a trademark of Fluidigm Canada Inc.

Properties and storage information

Form
Liquid
Purification technique
Affinity purification Protein A
Storage buffer
pH: 7.2 - 7.4 Constituents: PBS
Shipped at conditions
Blue Ice
Appropriate short-term storage conditions
+4°C
Appropriate long-term storage conditions
+4°C
Storage information
Do Not Freeze

Product protocols

For this product, it's our understanding that no specific protocols are required. You can visit:

Target data

Fatty acid synthetase is a multifunctional enzyme that catalyzes the de novo biosynthesis of long-chain saturated fatty acids starting from acetyl-CoA and malonyl-CoA in the presence of NADPH. This multifunctional protein contains 7 catalytic activities and a site for the binding of the prosthetic group 4'-phosphopantetheine of the acyl carrier protein ([ACP]) domain.. (Microbial infection) Fatty acid synthetase activity is required for SARS coronavirus-2/SARS-CoV-2 replication.
See full target information FASN

Publications (2)

Recent publications for all applications. Explore the full list and refine your search

The Journal of clinical investigation 134: PubMed38954588

2024

Inhibiting the NADase CD38 improves cytomegalovirus-specific CD8+ T cell functionality and metabolism.

Applications

Unspecified application

Species

Unspecified reactive species

Nils Mülling,Felix M Behr,Graham A Heieis,Kristina Boss,Suzanne van Duikeren,Floortje J van Haften,Iris N Pardieck,Esmé Ti van der Gracht,Ward Vleeshouwers,Tetje C van der Sluis,J Fréderique de Graaf,Dominique Mb Veerkamp,Kees Lmc Franken,Xin Lei,Lukas van de Sand,Sjoerd H van der Burg,Marij Jp Welters,Sebastiaan Heidt,Wesley Huisman,Simon P Jochems,Martin Giera,Oliver Witzke,Aiko Pj de Vries,Andreas Kribben,Bart Everts,Benjamin Wilde,Ramon Arens

Frontiers in immunology 12:672415 PubMed34093573

2021

Human Microglia Extensively Reconstitute in Humanized-BLT Mice With Human Interleukin-34 Transgene and Support HIV-1 Brain Infection.

Applications

Unspecified application

Species

Unspecified reactive species

Jianshui Zhang,Saroj Chandra Lohani,Yilun Cheng,Tao Wang,Lili Guo,Woong-Ki Kim,Santhi Gorantla,Qingsheng Li
View all publications

Product promise

We are committed to supporting your work with high-quality reagents, and we're here for you every step of the way. In the unlikely event that one of our products does not perform as expected, you're protected by our Product Promise.
For full details, please see our Terms & Conditions

Please note: All products are 'FOR RESEARCH USE ONLY. NOT FOR USE IN DIAGNOSTIC OR THERAPEUTIC PROCEDURES'.

For licensing inquiries, please contact partnerships@abcam.com