JavaScript is disabled in your browser. Please enable JavaScript to view this website.
AB247749

Anti-FBP1 + FBP2 antibody [EPR4619] - BSA and Azide free

Be the first to review this product! Submit a review

|

(1 Publication)

Rabbit Recombinant Monoclonal FBP1 antibody. Carrier free. Suitable for IHC-P, WB and reacts with Human, Mouse, Rat samples. Cited in 1 publication.

View Alternative Names

FBP, FBP1, FBPase 1, Liver FBPase

8 Images
Western blot - Anti-FBP1 + FBP2 antibody [EPR4619] - BSA and Azide free (AB247749)
  • WB

Unknown

Western blot - Anti-FBP1 + FBP2 antibody [EPR4619] - BSA and Azide free (AB247749)

This data was developed using ab109020, the same antibody clone in a different buffer formulation.

Blocking and dilution buffer : 5% NFDM/TBST.

All lanes:

Western blot - Anti-FBP1 + FBP2 antibody [EPR4619] (<a href='/en-us/products/primary-antibodies/fbp1-fbp2-antibody-epr4619-ab109020'>ab109020</a>) at 1/1000 dilution

Lane 1:

MCF7 cell lysate at 10 µg

Lane 2:

Human fetal liver tissue lysate at 10 µg

Lane 3:

HL60 cell lysate, treated with vitamin D3 at 10 µg

Predicted band size: 22 kDa,37 kDa

false

Western blot - Anti-FBP1 + FBP2 antibody [EPR4619] - BSA and Azide free (AB247749)
  • WB

Lab

Western blot - Anti-FBP1 + FBP2 antibody [EPR4619] - BSA and Azide free (AB247749)

This data was developed using ab109020, the same antibody clone in a different buffer formulation.

Blocking and dilution buffer : 5% NFDM/TBST.

All lanes:

Western blot - Anti-FBP1 + FBP2 antibody [EPR4619] (<a href='/en-us/products/primary-antibodies/fbp1-fbp2-antibody-epr4619-ab109020'>ab109020</a>) at 1/10000 dilution

Lane 1:

Mouse liver at 20 µg

Lane 2:

Rat liver at 20 µg

Secondary

All lanes:

HRP goat anti-rabbit (H+L) at 1/1000 dilution

Predicted band size: 37 kDa

Observed band size: 37 kDa

false

Immunohistochemistry (Formalin/PFA-fixed paraffin-embedded sections) - Anti-FBP1 + FBP2 antibody [EPR4619] - BSA and Azide free (AB247749)
  • IHC-P

Lab

Immunohistochemistry (Formalin/PFA-fixed paraffin-embedded sections) - Anti-FBP1 + FBP2 antibody [EPR4619] - BSA and Azide free (AB247749)

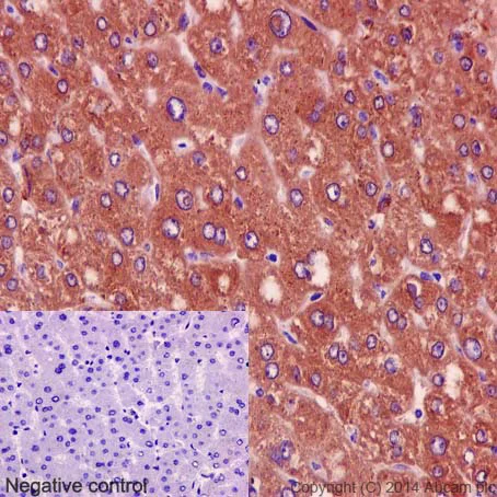
This data was developed using ab109020, the same antibody clone in a different buffer formulation.

ab109020 at 1 : 500 staining Anti-FBP1 antibody in mouse kidney tissue by immunohistochemistry (FFPE). Immunohistochemical analysis of paraffin-embedded mouse kidney tissue labeling FBP1 with ab109020 at 1/500 dilution followed by Goat Anti-Rabbit IgG H&L (HRP). Counter stained with hematoxylin.

Perform heat mediated antigen retrieval with citrate buffer pH 6 before commencing with IHC staining protocol.

Immunohistochemistry (Formalin/PFA-fixed paraffin-embedded sections) - Anti-FBP1 + FBP2 antibody [EPR4619] - BSA and Azide free (AB247749)
  • IHC-P

Unknown

Immunohistochemistry (Formalin/PFA-fixed paraffin-embedded sections) - Anti-FBP1 + FBP2 antibody [EPR4619] - BSA and Azide free (AB247749)

This data was developed using ab109020, the same antibody clone in a different buffer formulation.

Unpurified ab109020 at 1/50 dilution staining FBP1 in Human liver by immunohistochemistry, paraffin-embedded tissue.

Perform heat mediated antigen retrieval with citrate buffer pH 6 before commencing with IHC staining protocol.

Immunohistochemistry (Formalin/PFA-fixed paraffin-embedded sections) - Anti-FBP1 + FBP2 antibody [EPR4619] - BSA and Azide free (AB247749)
  • IHC-P

Unknown

Immunohistochemistry (Formalin/PFA-fixed paraffin-embedded sections) - Anti-FBP1 + FBP2 antibody [EPR4619] - BSA and Azide free (AB247749)

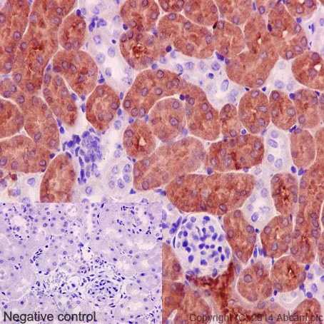
This data was developed using ab109020, the same antibody clone in a different buffer formulation.

Unpurified ab109020 at 1/50 dilution staining FBP1 in Human Kidney by immunohistochemistry, paraffin-embedded tissue.

Perform heat mediated antigen retrieval with citrate buffer pH 6 before commencing with IHC staining protocol.

Immunohistochemistry (Formalin/PFA-fixed paraffin-embedded sections) - Anti-FBP1 + FBP2 antibody [EPR4619] - BSA and Azide free (AB247749)
  • IHC-P

Lab

Immunohistochemistry (Formalin/PFA-fixed paraffin-embedded sections) - Anti-FBP1 + FBP2 antibody [EPR4619] - BSA and Azide free (AB247749)

This data was developed using ab109020, the same antibody clone in a different buffer formulation.

ab109020 at 1 : 500 staining Anti-FBP1 antibody in human liver tissue by immunohistochemistry (FFPE). Immunohistochemical analysis of paraffin-embedded human liver tissue labeling FBP1 with ab109020 at 1/500 dilution followed by Goat Anti-Rabbit IgG H&L (HRP). Counter stained with hematoxylin.

Perform heat mediated antigen retrieval with citrate buffer pH 6 before commencing with IHC staining protocol.

Western blot - Anti-FBP1 + FBP2 antibody [EPR4619] - BSA and Azide free (AB247749)
  • WB

Lab

Western blot - Anti-FBP1 + FBP2 antibody [EPR4619] - BSA and Azide free (AB247749)

This data was developed using ab109020, the same antibody clone in a different buffer formulation.

Blocking and dilution buffer : 5% NFDM/TBST.

All lanes:

Western blot - Anti-FBP1 + FBP2 antibody [EPR4619] (<a href='/en-us/products/primary-antibodies/fbp1-fbp2-antibody-epr4619-ab109020'>ab109020</a>) at 1/2000 dilution

Lane 1:

MCF7 cell lysate at 20 µg

Lane 2:

HL-60 cell lysate treated with vitamin D3 at 20 µg

Secondary

All lanes:

HRP goat anti-rabbit (H+L) at 1/2000 dilution

Predicted band size: 37 kDa

Observed band size: 37 kDa

false

Western blot - Anti-FBP1 + FBP2 antibody [EPR4619] - BSA and Azide free (AB247749)
  • WB

Lab

Western blot - Anti-FBP1 + FBP2 antibody [EPR4619] - BSA and Azide free (AB247749)

Blocking/Diluting buffer and concentration : 5% NFDM/TBST

Lanes 1 - 2:

Western blot - Anti-FBP1 + FBP2 antibody [EPR4619] (<a href='/en-us/products/primary-antibodies/fbp1-fbp2-antibody-epr4619-ab109020'>ab109020</a>) at 1/10000 dilution

Lanes 1 - 2:

Western blot - Anti-FBP1 + FBP2 antibody [EPR4619] - BSA and Azide free (ab247749)

Lane 1:

C-Myc/DDK-tagged human FBP1 full length recombinant protein at 10 ng

Lane 2:

C-Myc/DDK-tagged human FBP2 full length recombinant protein at 10 ng

Secondary

All lanes:

Western blot - Goat Anti-Rabbit IgG H&L (HRP) (<a href='/en-us/products/secondary-antibodies/goat-rabbit-igg-h-l-hrp-ab97051'>ab97051</a>) at 1/20000 dilution

Observed band size: 37 kDa

false

Exposure time: 180s

Key facts

Host species

Rabbit

Clonality

Monoclonal

Clone number

EPR4619

Isotype

IgG

Carrier free

Yes

Reacts with

Mouse, Rat, Human

Applications

WB, IHC-P

applications

Immunogen

The exact immunogen used to generate this antibody is proprietary information.

Reactivity data

{ "title": "Reactivity Data", "filters": { "stats": ["", "Species", "Dilution Info", "Notes"], "tabs": { "all-applications": {"fullname" : "All Applications", "shortname": "All Applications"}, "IHCP" : {"fullname" : "Immunohistochemistry (Formalin/PFA-fixed paraffin-embedded sections)", "shortname":"IHC-P"}, "WB" : {"fullname" : "Western blot", "shortname":"WB"}, "ICCIF" : {"fullname" : "Immunocytochemistry/ Immunofluorescence", "shortname":"ICC/IF"} }, "product-promise": { "all": "all", "testedAndGuaranteed": "tested", "guaranteed": "expected", "predicted": "predicted", "notRecommended": "not-recommended" } }, "values": { "Human": { "IHCP-species-checked": "testedAndGuaranteed", "IHCP-species-dilution-info": "", "IHCP-species-notes": "<p>For antigen retrieval, heat up to 98 degree C, below boiling, and then let cool for 10-20 minutes.</p>", "WB-species-checked": "testedAndGuaranteed", "WB-species-dilution-info": "", "WB-species-notes": "<p></p>", "ICCIF-species-checked": "notRecommended", "ICCIF-species-dilution-info": "", "ICCIF-species-notes": "<p></p>" }, "Mouse": { "IHCP-species-checked": "testedAndGuaranteed", "IHCP-species-dilution-info": "", "IHCP-species-notes": "<p>For antigen retrieval, heat up to 98 degree C, below boiling, and then let cool for 10-20 minutes.</p>", "WB-species-checked": "testedAndGuaranteed", "WB-species-dilution-info": "", "WB-species-notes": "<p></p>", "ICCIF-species-checked": "notRecommended", "ICCIF-species-dilution-info": "", "ICCIF-species-notes": "<p></p>" }, "Rat": { "IHCP-species-checked": "guaranteed", "IHCP-species-dilution-info": "", "IHCP-species-notes": "<p>For antigen retrieval, heat up to 98 degree C, below boiling, and then let cool for 10-20 minutes.</p>", "WB-species-checked": "testedAndGuaranteed", "WB-species-dilution-info": "", "WB-species-notes": "<p></p>", "ICCIF-species-checked": "notRecommended", "ICCIF-species-dilution-info": "", "ICCIF-species-notes": "<p></p>" } } }

Product details

ab247749 is the carrier-free version of ab109020.

Patented technology
Our RabMAb® technology is a patented hybridoma-based technology for making rabbit monoclonal antibodies. For details on our patents, please refer to RabMAb® patents.

What are the advantages of a recombinant monoclonal antibody?
This product is a recombinant monoclonal antibody, which offers several advantages including:

  • - High batch-to-batch consistency and reproducibility
  • - Improved sensitivity and specificity
  • - Long-term security of supply
  • - Animal-free batch production

For more information, read more on recombinant antibodies.

Conjugation ready
Our carrier-free antibodies are typically supplied in a PBS-only formulation, purified and free of BSA, sodium azide and glycerol. This conjugation-ready format is designed for use with fluorochromes, metal isotopes, oligonucleotides, and enzymes, which makes them ideal for antibody labelling, functional and cell-based assays, flow-based assays (e.g. mass cytometry) and Multiplex Imaging applications.

Use our conjugation kits for antibody conjugates that are ready-to-use in as little as 20 minutes with 1 minute hands-on-time and 100% antibody recovery: available for fluorescent dyes, HRP, biotin and gold.

Compatibility
This product is compatible with the Maxpar® Antibody Labeling Kit from Fluidigm, without the need for antibody preparation. Maxpar® is a trademark of Fluidigm Canada Inc.

Properties and storage information

Form
Liquid
Purification technique
Affinity purification Protein A
Storage buffer
pH: 7.2 - 7.4 Constituents: PBS
Shipped at conditions
Blue Ice
Appropriate short-term storage conditions
+4°C
Appropriate long-term storage conditions
+4°C
Storage information
Do Not Freeze

Supplementary information

This supplementary information is collated from multiple sources and compiled automatically.

Fructose-16-bisphosphatase (FBP1) and fructose-16-bisphosphatase 2 (FBP2) are enzymes that play an important role in gluconeogenesis. They catalyze the conversion of fructose-16-bisphosphate to fructose-6-phosphate an important metabolic step in glucose production. FBP1 sometimes called liver FBPase is a protein of approximately 37 kDa and it is mainly expressed in the liver kidneys and adipose tissue. FBP2 also known as muscle FBPase is primarily found in muscle tissues. These enzymes share similar enzymatic functions but differ in their regulation and tissue distribution.
Biological function summary

These enzymes help regulate glucose levels in the body. They function as part of a larger enzyme complex involved in energy homeostasis. FBP1 plays a significant role in balancing blood sugar levels during fasting by promoting gluconeogenesis in the liver. FBP2 on the other hand contributes to muscle energy management. The activity of these enzymes is tightly regulated by allosteric inhibitors and activators and they interact with other metabolic enzymes to maintain homeostasis.

Pathways

Fructose-16-bisphosphatase is involved in the gluconeogenesis pathway and is closely linked with the glycolysis pathway. In gluconeogenesis FBP1 and FBP2 convert fructose-16-bisphosphate to fructose-6-phosphate with dihydroxyacetone phosphate as an important relay. They work in tandem with other enzymes like phosphoenolpyruvate carboxykinase to facilitate glucose production. This makes them integral to metabolic pathways that provide glucose during periods of low carbohydrate intake.

Dysregulation of FBP1 and FBP2 contributes to metabolic disorders such as type 2 diabetes and hypoglycemia. Overactivity of FBP1 can lead to increased glucose production complicating glucose management in diabetes mellitus. On the other hand FBP2 mutations may impair muscle function and energy utilization. The proteins' imbalances also relate to insulin resistance as their activity influences insulin signaling pathways within metabolic disorders.

Product protocols

For this product, it's our understanding that no specific protocols are required. You can visit:

Target data

Catalyzes the hydrolysis of fructose 1,6-bisphosphate to fructose 6-phosphate in the presence of divalent cations, acting as a rate-limiting enzyme in gluconeogenesis. Plays a role in regulating glucose sensing and insulin secretion of pancreatic beta-cells. Appears to modulate glycerol gluconeogenesis in liver. Important regulator of appetite and adiposity; increased expression of the protein in liver after nutrient excess increases circulating satiety hormones and reduces appetite-stimulating neuropeptides and thus seems to provide a feedback mechanism to limit weight gain.
See full target information FBP1

Additional targets

FBP2

Publications (1)

Recent publications for all applications. Explore the full list and refine your search

Oncology letters 26:409 PubMed37600337

2023

Renal epithelioid angiomyolipoma: A case report.

Applications

Unspecified application

Species

Unspecified reactive species

Hongyun Li,Xuebei Zhang,Qingli Zhao,Jin Wang,Xiaoqing Yang,Shengliang Huang
View all publications

Product promise

We are committed to supporting your work with high-quality reagents, and we're here for you every step of the way. In the unlikely event that one of our products does not perform as expected, you're protected by our Product Promise.
For full details, please see our Terms & Conditions

Please note: All products are 'FOR RESEARCH USE ONLY. NOT FOR USE IN DIAGNOSTIC OR THERAPEUTIC PROCEDURES'.

For licensing inquiries, please contact partnerships@abcam.com