JavaScript is disabled in your browser. Please enable JavaScript to view this website.
AB131333

Anti-FBP1 + FBP2 antibody [EPR7435]

Be the first to review this product! Submit a review

|

(1 Publication)

Rabbit Recombinant Monoclonal FBP2 antibody. Suitable for WB and reacts with Human, Mouse, Rat samples. Cited in 1 publication.

View Alternative Names

FBPase 2, Muscle FBPase, FBP2

5 Images
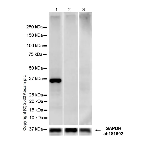
Western blot - Anti-FBP1 + FBP2 antibody [EPR7435] (AB131333)
  • WB

Unknown

Western blot - Anti-FBP1 + FBP2 antibody [EPR7435] (AB131333)

All lanes:

Western blot - Anti-FBP1 + FBP2 antibody [EPR7435] (ab131333) at 1/1000 dilution

Lane 1:

Fetal kidney lysates at 10 µg

Lane 2:

Human skeletal muscle lysates at 10 µg

Lane 3:

Fetal liver lysates at 10 µg

Secondary

All lanes:

Goat anti-rabbit HRP at 1/2000 dilution

Predicted band size: 37 kDa

false

Western blot - Anti-FBP1 + FBP2 antibody [EPR7435] (AB131333)
  • WB

Lab

Western blot - Anti-FBP1 + FBP2 antibody [EPR7435] (AB131333)

Blocking/Diluting buffer and concentration : 5% NFDM/TBST

All lanes:

Western blot - Anti-FBP1 + FBP2 antibody [EPR7435] (ab131333) at 1/1000 dilution

All lanes:

Human liver tissue lysate at 20 µg

Secondary

All lanes:

Western blot - Goat Anti-Rabbit IgG H&L (HRP) (<a href='/en-us/products/secondary-antibodies/goat-rabbit-igg-h-l-hrp-ab97051'>ab97051</a>) at 1/20000 dilution

Observed band size: 37 kDa

false

Exposure time: 3s

Western blot - Anti-FBP1 + FBP2 antibody [EPR7435] (AB131333)
  • WB

Lab

Western blot - Anti-FBP1 + FBP2 antibody [EPR7435] (AB131333)

Blocking/Diluting buffer and concentration : 5% NFDM/TBST Negative control : HL-60, U-937.

All lanes:

Western blot - Anti-FBP1 + FBP2 antibody [EPR7435] (ab131333) at 1/1000 dilution

Lane 1:

MCF7 (human breast adenocarcinoma epithelial cell) whole cell lysate at 20 µg

Lane 2:

HL-60 (human Acute Promyelocytic Leukemia promyeloblast) whole cell lysate at 20 µg

Lane 3:

U-937 (human histiocytic lymphoma monocyte) whole cell lysate at 20 µg

Secondary

All lanes:

Western blot - Goat Anti-Rabbit IgG H&L (HRP) (<a href='/en-us/products/secondary-antibodies/goat-rabbit-igg-h-l-hrp-ab97051'>ab97051</a>) at 1/20000 dilution

Observed band size: 37 kDa

false

Exposure time: 10s

Western blot - Anti-FBP1 + FBP2 antibody [EPR7435] (AB131333)
  • WB

Lab

Western blot - Anti-FBP1 + FBP2 antibody [EPR7435] (AB131333)

Blocking/Diluting buffer and concentration : 5% NFDM/TBST

Lanes 1 - 2:

Western blot - Anti-FBP1 + FBP2 antibody [EPR7435] (ab131333) at 1/10000 dilution

Lanes 1 - 2:

Western blot - Anti-FBP1 + FBP2 antibody [EPR7435] - BSA and Azide free (<a href='/en-us/products/primary-antibodies/fbp1-fbp2-antibody-epr7435-bsa-and-azide-free-ab248412'>ab248412</a>)

Lane 1:

C-Myc/DDK-tagged human FBP1 full length recombinant protein at 10 ng

Lane 2:

C-Myc/DDK-tagged human FBP2 full length recombinant protein at 10 ng

Secondary

All lanes:

Western blot - Goat Anti-Rabbit IgG H&L (HRP) (<a href='/en-us/products/secondary-antibodies/goat-rabbit-igg-h-l-hrp-ab97051'>ab97051</a>) at 1/20000 dilution

Observed band size: 37 kDa

false

Exposure time: 20s

OI-RD Scanning - Anti-FBP1 + FBP2 antibody [EPR7435] (AB131333)
  • OI-RD Scanning

Unknown

OI-RD Scanning - Anti-FBP1 + FBP2 antibody [EPR7435] (AB131333)

We have systematically measured KD (the equilibrium dissociation constant between the antibody and its antigen), of more than 840 recombinant antibodies to assess not only their individual KD values but also to see the average affinity of antibody. Based on the comparison with published literature values for mouse monoclonal antibodies, Recombinant antibodies appear to be on average 1-2 order of magnitude higher affinity.

Key facts

Host species

Rabbit

Clonality

Monoclonal

Clone number

EPR7435

Isotype

IgG

Carrier free

No

Reacts with

Human

Applications

WB

applications

Immunogen

The exact immunogen used to generate this antibody is proprietary information.

Specificity

The immunogen used for this product shares 93% homology with FBP1. Cross-reactivity with this protein has not been confirmed experimentally.

Reactivity data

{ "title": "Reactivity Data", "filters": { "stats": ["", "Species", "Dilution Info", "Notes"], "tabs": { "all-applications": {"fullname" : "All Applications", "shortname": "All Applications"}, "IP" : {"fullname" : "Immunoprecipitation", "shortname":"IP"}, "WB" : {"fullname" : "Western blot", "shortname":"WB"}, "IHCP" : {"fullname" : "Immunohistochemistry (Formalin/PFA-fixed paraffin-embedded sections)", "shortname":"IHC-P"} }, "product-promise": { "all": "all", "testedAndGuaranteed": "tested", "guaranteed": "expected", "predicted": "predicted", "notRecommended": "not-recommended" } }, "values": { "Human": { "IP-species-checked": "notRecommended", "IP-species-dilution-info": "", "IP-species-notes": "<p></p>", "WB-species-checked": "testedAndGuaranteed", "WB-species-dilution-info": "1/1000 - 1/10000", "WB-species-notes": "<p></p>", "IHCP-species-checked": "notRecommended", "IHCP-species-dilution-info": "", "IHCP-species-notes": "<p></p>" }, "Mouse": { "IP-species-checked": "notRecommended", "IP-species-dilution-info": "", "IP-species-notes": "", "WB-species-checked": "guaranteed", "WB-species-dilution-info": "", "WB-species-notes": "<p></p>", "IHCP-species-checked": "notRecommended", "IHCP-species-dilution-info": "", "IHCP-species-notes": "" }, "Rat": { "IP-species-checked": "notRecommended", "IP-species-dilution-info": "", "IP-species-notes": "", "WB-species-checked": "guaranteed", "WB-species-dilution-info": "", "WB-species-notes": "<p></p>", "IHCP-species-checked": "notRecommended", "IHCP-species-dilution-info": "", "IHCP-species-notes": "" } } }

Product details

Patented technology
Our RabMAb® technology is a patented hybridoma-based technology for making rabbit monoclonal antibodies. For details on our patents, please refer to RabMAb® patents.

What are the advantages of a recombinant monoclonal antibody?
This product is a recombinant monoclonal antibody, which offers several advantages including:

  • - High batch-to-batch consistency and reproducibility
  • - Improved sensitivity and specificity
  • - Long-term security of supply
  • - Animal-free batch production

For more information, read more on recombinant antibodies.

Properties and storage information

Form
Liquid
Purification technique
Affinity purification Protein A
Storage buffer
pH: 7.2 - 7.4 Preservative: 0.01% Sodium azide Constituents: PBS, 50% Tissue culture supernatant, 40% Glycerol (glycerin, glycerine), 0.05% BSA
Shipped at conditions
Blue Ice
Appropriate short-term storage conditions
+4°C
Appropriate long-term storage conditions
-20°C
Storage information
Stable for 12 months at -20°C

Supplementary information

This supplementary information is collated from multiple sources and compiled automatically.

Fructose-16-bisphosphatase (FBP1) and fructose-16-bisphosphatase 2 (FBP2) are enzymes that play an important role in gluconeogenesis. They catalyze the conversion of fructose-16-bisphosphate to fructose-6-phosphate an important metabolic step in glucose production. FBP1 sometimes called liver FBPase is a protein of approximately 37 kDa and it is mainly expressed in the liver kidneys and adipose tissue. FBP2 also known as muscle FBPase is primarily found in muscle tissues. These enzymes share similar enzymatic functions but differ in their regulation and tissue distribution.
Biological function summary

These enzymes help regulate glucose levels in the body. They function as part of a larger enzyme complex involved in energy homeostasis. FBP1 plays a significant role in balancing blood sugar levels during fasting by promoting gluconeogenesis in the liver. FBP2 on the other hand contributes to muscle energy management. The activity of these enzymes is tightly regulated by allosteric inhibitors and activators and they interact with other metabolic enzymes to maintain homeostasis.

Pathways

Fructose-16-bisphosphatase is involved in the gluconeogenesis pathway and is closely linked with the glycolysis pathway. In gluconeogenesis FBP1 and FBP2 convert fructose-16-bisphosphate to fructose-6-phosphate with dihydroxyacetone phosphate as an important relay. They work in tandem with other enzymes like phosphoenolpyruvate carboxykinase to facilitate glucose production. This makes them integral to metabolic pathways that provide glucose during periods of low carbohydrate intake.

Dysregulation of FBP1 and FBP2 contributes to metabolic disorders such as type 2 diabetes and hypoglycemia. Overactivity of FBP1 can lead to increased glucose production complicating glucose management in diabetes mellitus. On the other hand FBP2 mutations may impair muscle function and energy utilization. The proteins' imbalances also relate to insulin resistance as their activity influences insulin signaling pathways within metabolic disorders.

Product protocols

For this product, it's our understanding that no specific protocols are required. You can visit:

Target data

Catalyzes the hydrolysis of fructose 1,6-bisphosphate to fructose 6-phosphate in the presence of divalent cations and probably participates in glycogen synthesis from carbohydrate precursors, such as lactate.
See full target information FBP2

Additional targets

FBP1

Publications (1)

Recent publications for all applications. Explore the full list and refine your search

BMC cancer 25:758 PubMed40264098

2025

Identification of USP39 as a prognostic and predictive biomarker for determining the response to immunotherapy in pancreatic cancer.

Applications

Unspecified application

Species

Unspecified reactive species

Jiahui Yuan,Beibei Xu,Yongcheng Su,Pingping Zhang,Xianbin Zhang,Peng Gong
View all publications

Product promise

We are committed to supporting your work with high-quality reagents, and we're here for you every step of the way. In the unlikely event that one of our products does not perform as expected, you're protected by our Product Promise.
For full details, please see our Terms & Conditions

Please note: All products are 'FOR RESEARCH USE ONLY. NOT FOR USE IN DIAGNOSTIC OR THERAPEUTIC PROCEDURES'.

For licensing inquiries, please contact partnerships@abcam.com