JavaScript is disabled in your browser. Please enable JavaScript to view this website.
AB157596

Anti-Fbx32 antibody

Be the first to review this product! Submit a review

|

(5 Publications)

Rabbit Polyclonal FBX32 antibody. Suitable for WB, IHC-P and reacts with Mouse samples. Cited in 5 publications. Immunogen corresponding to Synthetic Peptide within Mouse F-box only protein 32 aa 1-50.

View Alternative Names

F-box only protein 32, Atrogin-1, Muscle atrophy F-box protein, MAFbx, Fbxo32

2 Images
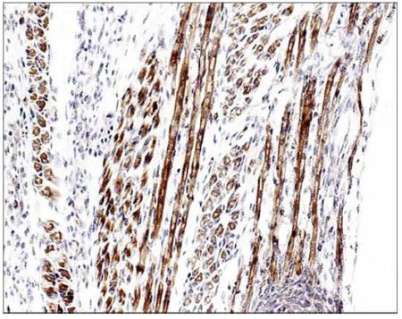
Immunohistochemistry (Formalin/PFA-fixed paraffin-embedded sections) - Anti-Fbx32 antibody (AB157596)
  • IHC-P

Unknown

Immunohistochemistry (Formalin/PFA-fixed paraffin-embedded sections) - Anti-Fbx32 antibody (AB157596)

Immunohistochemical analysis of Formalin-fixed, paraffin-embedded, citric acid treated E16 mouse skeletal muscle tissue, labeling Fbx32 with ab157596 at 1/100 dilution.

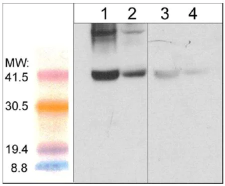
Western blot - Anti-Fbx32 antibody (AB157596)
  • WB

Unknown

Western blot - Anti-Fbx32 antibody (AB157596)

All lanes:

Western blot - Anti-Fbx32 antibody (ab157596) at 1/1000 dilution

Lane 1:

Mouse gastrocnemius tissue lysate

Lane 2:

Mouse diaphragm tissue lysate

Lane 3:

Mouse gastrocnemius tissue lysate with Fbx32 peptide

Lane 4:

Mouse diaphragm tissue lysate with Fbx32 peptide

Predicted band size: 42 kDa

false

Key facts

Host species

Rabbit

Clonality

Polyclonal

Isotype

IgG

Carrier free

No

Reacts with

Mouse

Applications

IHC-P, WB

applications

Immunogen

Synthetic Peptide within Mouse F-box only protein 32 aa 1-50. The exact immunogen used to generate this antibody is proprietary information.

Q9CPU7

Reactivity data

{ "title": "Reactivity Data", "filters": { "stats": ["", "Species", "Dilution Info", "Notes"], "tabs": { "all-applications": {"fullname" : "All Applications", "shortname": "All Applications"}, "WB" : {"fullname" : "Western blot", "shortname":"WB"}, "IHCP" : {"fullname" : "Immunohistochemistry (Formalin/PFA-fixed paraffin-embedded sections)", "shortname":"IHC-P"} }, "product-promise": { "all": "all", "testedAndGuaranteed": "tested", "guaranteed": "expected", "predicted": "predicted", "notRecommended": "not-recommended" } }, "values": { "Human": { "WB-species-checked": "predicted", "WB-species-dilution-info": "", "WB-species-notes": "", "IHCP-species-checked": "predicted", "IHCP-species-dilution-info": "", "IHCP-species-notes": "" }, "Mouse": { "WB-species-checked": "testedAndGuaranteed", "WB-species-dilution-info": "1/1000", "WB-species-notes": "<p></p>", "IHCP-species-checked": "testedAndGuaranteed", "IHCP-species-dilution-info": "1/100", "IHCP-species-notes": "<p>Citric acid treated sections.</p>" }, "Rat": { "WB-species-checked": "predicted", "WB-species-dilution-info": "", "WB-species-notes": "", "IHCP-species-checked": "predicted", "IHCP-species-dilution-info": "", "IHCP-species-notes": "" }, "Cow": { "WB-species-checked": "predicted", "WB-species-dilution-info": "", "WB-species-notes": "", "IHCP-species-checked": "predicted", "IHCP-species-dilution-info": "", "IHCP-species-notes": "" }, "Pig": { "WB-species-checked": "predicted", "WB-species-dilution-info": "", "WB-species-notes": "", "IHCP-species-checked": "predicted", "IHCP-species-dilution-info": "", "IHCP-species-notes": "" } } }

Properties and storage information

Form
Liquid
Purification technique
Affinity purification Protein A
Storage buffer
Preservative: 0.05% Sodium azide Constituents: PBS, 50% Glycerol (glycerin, glycerine), 0.1% BSA
Shipped at conditions
Blue Ice
Appropriate short-term storage conditions
+4°C
Appropriate long-term storage conditions
-20°C
Aliquoting information
Upon delivery aliquot
Storage information
Avoid freeze / thaw cycle

Product protocols

For this product, it's our understanding that no specific protocols are required. You can visit:

Target data

Substrate recognition component of a SCF (SKP1-CUL1-F-box protein) E3 ubiquitin-protein ligase complex which mediates the ubiquitination and subsequent proteasomal degradation of target proteins. Probably recognizes and binds to phosphorylated target proteins during skeletal muscle atrophy. Recognizes TERF1 (By similarity).
See full target information F-box only protein 32

Publications (5)

Recent publications for all applications. Explore the full list and refine your search

Histology and histopathology :18991 PubMed40985203

2025

Asiatic acid alleviates dexamethasone-induced muscle atrophy through regulating the Sirt1/PGC-1α/FOXO3 pathway.

Applications

Unspecified application

Species

Unspecified reactive species

Dongfang Ji,Mingxin Cui,Chao Tian,Kaili Chen,Jing Shao

Journal of cellular and molecular medicine 29:e70659 PubMed40673642

2025

P-Coumaric Acid Improves Skeletal Muscle Atrophy in Chronic Kidney Disease by Modulating TLR4/MyD88/NF-κB-Mediated Inflammation and Oxidative Stress.

Applications

Unspecified application

Species

Unspecified reactive species

Hao Wang,Chi Zhang,Jinyue He,Zhuoen He,Shihua Yan,Yuan Zhang,Shiyin Huang,Yangtian Yan,Yuchi Chen,Zhiqiang Xian,Rong Hu,Yanjing Wang,Wei Xiao,Mingqing Wang

JBMR plus 8:ziae084 PubMed39070237

2024

The role of osteopontin and osteocyte-derived factors in secondary hyperparathyroidism-induced myopathy.

Applications

Unspecified application

Species

Unspecified reactive species

Eduardo J Duque,Shirley F Crispilho,Ivone B Oliveira,Wagner V Dominguez,Cleonice Silva,Luzia Furukawa,André K Teng,Carla M Avesani,Samuel K Shinjo,Rosilene M Elias,Vanda Jorgetti,Rosa M A Moysés

Saudi medical journal 44:355-362 PubMed37062544

2023

The histopathological effects of sleep disorders on striated muscle in rats.

Applications

Unspecified application

Species

Unspecified reactive species

İlkay Çinar,Muhammed Bozoğlan,Kürşad Aytekin,Deniz Esenyel,Cem Zeki Esenyel

Glia 70:1971-1991 PubMed35762396

2022

EphA4 regulates white matter remyelination after ischemic stroke through Ephexin-1/RhoA/ROCK signaling pathway.

Applications

Unspecified application

Species

Unspecified reactive species

Cui Liu,Song Han,Jiayin Zheng,Hongyu Wang,Shujuan Li,Junfa Li
View all publications

Product promise

We are committed to supporting your work with high-quality reagents, and we're here for you every step of the way. In the unlikely event that one of our products does not perform as expected, you're protected by our Product Promise.
For full details, please see our Terms & Conditions

Please note: All products are 'FOR RESEARCH USE ONLY. NOT FOR USE IN DIAGNOSTIC OR THERAPEUTIC PROCEDURES'.

For licensing inquiries, please contact partnerships@abcam.com