JavaScript is disabled in your browser. Please enable JavaScript to view this website.
AB87729

Anti-FBXO38 antibody

Be the first to review this product! Submit a review

|

(0 Publication)

Rabbit Polyclonal FBXO38 antibody. Suitable for IHC-P, IP, WB and reacts with Human, Mouse samples. Immunogen corresponding to Synthetic Peptide within Human FBXO38 aa 850-900.

View Alternative Names

SP329, FBXO38, F-box only protein 38

3 Images
Western blot - Anti-FBXO38 antibody (AB87729)
  • WB

Unknown

Western blot - Anti-FBXO38 antibody (AB87729)

All lanes:

Western blot - Anti-FBXO38 antibody (ab87729) at 0.1 µg/mL

Lane 1:

Whole cell lysate from HeLa cells at 50 µg

Lane 2:

Whole cell lysate from HeLa cells at 15 µg

Lane 3:

Whole cell lysate from HeLa cells at 5 µg

Lane 4:

Whole cell lysate from NIH3T3 cells at 50 µg

Predicted band size: 134 kDa

Observed band size: 107 kDa,134 kDa

true

Exposure time: 3min

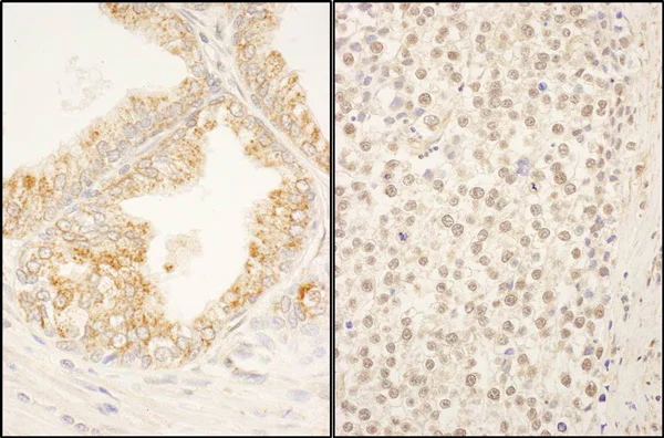
Immunohistochemistry (Formalin/PFA-fixed paraffin-embedded sections) - Anti-FBXO38 antibody (AB87729)
  • IHC-P

Unknown

Immunohistochemistry (Formalin/PFA-fixed paraffin-embedded sections) - Anti-FBXO38 antibody (AB87729)

Immunohistochemistry (Formalin/PFA-fixed paraffin-embedded sections) analysis of human prostate carcinoma (right) and human testicular seminoma (right) tissues labelling F box protein 38 with ab87729 at 1/1000 (1µg/ml). Detection : DAB.

Immunoprecipitation - Anti-FBXO38 antibody (AB87729)
  • IP

Unknown

Immunoprecipitation - Anti-FBXO38 antibody (AB87729)

Detection of FBXO38 in Immunoprecipitates of Whole cell lysate from HeLa cells (1 mg for IP, 20% of IP loaded) using ab87729 at 10 μg/mg lysate for IP (Lane 1) and at 1 μg/ml for subsequent Western blot detection. Lane 2 represents control IgG IP. Detection : Chemiluminescence with an exposure time of 30 seconds.

All lanes:

Immunoprecipitation - Anti-FBXO38 antibody (ab87729)

Predicted band size: 134 kDa

false

Key facts

Host species

Rabbit

Clonality

Polyclonal

Isotype

IgG

Carrier free

No

Reacts with

Mouse, Human

Applications

WB, IHC-P, IP

applications

Immunogen

Synthetic Peptide within Human FBXO38 aa 850-900. The exact immunogen used to generate this antibody is proprietary information.

Q6PIJ6

Reactivity data

{ "title": "Reactivity Data", "filters": { "stats": ["", "Species", "Dilution Info", "Notes"], "tabs": { "all-applications": {"fullname" : "All Applications", "shortname": "All Applications"}, "IHCP" : {"fullname" : "Immunohistochemistry (Formalin/PFA-fixed paraffin-embedded sections)", "shortname":"IHC-P"}, "IP" : {"fullname" : "Immunoprecipitation", "shortname":"IP"}, "WB" : {"fullname" : "Western blot", "shortname":"WB"} }, "product-promise": { "all": "all", "testedAndGuaranteed": "tested", "guaranteed": "expected", "predicted": "predicted", "notRecommended": "not-recommended" } }, "values": { "Human": { "IHCP-species-checked": "testedAndGuaranteed", "IHCP-species-dilution-info": "1/500 - 1/2000", "IHCP-species-notes": "<p></p> Perform heat-mediated antigen retrieval with citrate buffer pH 6 before commencing with IHC staining protocol.", "IP-species-checked": "testedAndGuaranteed", "IP-species-dilution-info": "5-10 µg/mg of lysate", "IP-species-notes": "<p></p>", "WB-species-checked": "testedAndGuaranteed", "WB-species-dilution-info": "1/2000 - 1/10000", "WB-species-notes": "<p></p>" }, "Mouse": { "IHCP-species-checked": "guaranteed", "IHCP-species-dilution-info": "", "IHCP-species-notes": "", "IP-species-checked": "guaranteed", "IP-species-dilution-info": "", "IP-species-notes": "", "WB-species-checked": "testedAndGuaranteed", "WB-species-dilution-info": "1/2000 - 1/10000", "WB-species-notes": "<p></p>" }, "Rat": { "IHCP-species-checked": "predicted", "IHCP-species-dilution-info": "", "IHCP-species-notes": "", "IP-species-checked": "predicted", "IP-species-dilution-info": "", "IP-species-notes": "", "WB-species-checked": "predicted", "WB-species-dilution-info": "", "WB-species-notes": "" }, "Chimpanzee": { "IHCP-species-checked": "predicted", "IHCP-species-dilution-info": "", "IHCP-species-notes": "", "IP-species-checked": "predicted", "IP-species-dilution-info": "", "IP-species-notes": "", "WB-species-checked": "predicted", "WB-species-dilution-info": "", "WB-species-notes": "" }, "Cow": { "IHCP-species-checked": "predicted", "IHCP-species-dilution-info": "", "IHCP-species-notes": "", "IP-species-checked": "predicted", "IP-species-dilution-info": "", "IP-species-notes": "", "WB-species-checked": "predicted", "WB-species-dilution-info": "", "WB-species-notes": "" }, "Dog": { "IHCP-species-checked": "predicted", "IHCP-species-dilution-info": "", "IHCP-species-notes": "", "IP-species-checked": "predicted", "IP-species-dilution-info": "", "IP-species-notes": "", "WB-species-checked": "predicted", "WB-species-dilution-info": "", "WB-species-notes": "" }, "Elephant": { "IHCP-species-checked": "predicted", "IHCP-species-dilution-info": "", "IHCP-species-notes": "", "IP-species-checked": "predicted", "IP-species-dilution-info": "", "IP-species-notes": "", "WB-species-checked": "predicted", "WB-species-dilution-info": "", "WB-species-notes": "" }, "Gorilla": { "IHCP-species-checked": "predicted", "IHCP-species-dilution-info": "", "IHCP-species-notes": "", "IP-species-checked": "predicted", "IP-species-dilution-info": "", "IP-species-notes": "", "WB-species-checked": "predicted", "WB-species-dilution-info": "", "WB-species-notes": "" }, "Horse": { "IHCP-species-checked": "predicted", "IHCP-species-dilution-info": "", "IHCP-species-notes": "", "IP-species-checked": "predicted", "IP-species-dilution-info": "", "IP-species-notes": "", "WB-species-checked": "predicted", "WB-species-dilution-info": "", "WB-species-notes": "" }, "Opossum": { "IHCP-species-checked": "predicted", "IHCP-species-dilution-info": "", "IHCP-species-notes": "", "IP-species-checked": "predicted", "IP-species-dilution-info": "", "IP-species-notes": "", "WB-species-checked": "predicted", "WB-species-dilution-info": "", "WB-species-notes": "" }, "Orangutan": { "IHCP-species-checked": "predicted", "IHCP-species-dilution-info": "", "IHCP-species-notes": "", "IP-species-checked": "predicted", "IP-species-dilution-info": "", "IP-species-notes": "", "WB-species-checked": "predicted", "WB-species-dilution-info": "", "WB-species-notes": "" }, "Rhesus monkey": { "IHCP-species-checked": "predicted", "IHCP-species-dilution-info": "", "IHCP-species-notes": "", "IP-species-checked": "predicted", "IP-species-dilution-info": "", "IP-species-notes": "", "WB-species-checked": "predicted", "WB-species-dilution-info": "", "WB-species-notes": "" } } }

Properties and storage information

Form
Liquid
Purification technique
Affinity purification Immunogen
Storage buffer
pH: 7 - 8 Preservative: 0.09% Sodium azide Constituents: Tris citrate/phosphate
Shipped at conditions
Blue Ice
Appropriate short-term storage conditions
+4°C
Appropriate long-term storage conditions
-20°C
Aliquoting information
Upon delivery aliquot
Storage information
Avoid freeze / thaw cycle

Supplementary information

This supplementary information is collated from multiple sources and compiled automatically.

FBXO38 also known as FBX5 is a member of the F-box protein family which plays a significant role in protein ubiquitination. This process marks proteins for degradation by the ubiquitin-proteasome system an important step for maintaining cellular protein balance. FBXO38 weighs approximately 60 kDa and is part of the SCF (SKP1-CUL1-F-box) complex. This protein is expressed in various tissues with higher levels observed in muscle tissues and some parts of the central nervous system.
Biological function summary

FBXO38 participates in regulating protein stability and turnover as an integral component of the ubiquitin-proteasome system. As part of the SCF complex FBXO38 works in collaboration with SKP1 CUL1 and other F-box proteins to select target proteins for ubiquitination. Its role in this complex positions it as a critical regulator of cell cycle progression apoptosis and signal transduction pathways. By selecting specific proteins for degradation FBXO38 influences key cellular functions and ensures proper cellular responses to environmental changes.

Pathways

The function of FBXO38 aligns with the regulation of the MAPK/ERK pathway and the NF-kB pathway. These pathways are essential for cell proliferation survival and inflammation responses. In the MAPK/ERK pathway FBXO38 interacts with components to ensure timely degradation of key signaling proteins thereby modulating pathway activity. Furthermore FBXO38’s interaction with proteins like IκBα in the NF-kB pathway helps control the transcriptional activity of NF-kB influencing immunological and stress responses.

Altered FBXO38 function has connections to muscular atrophy and certain cancers. Variations or mutations in FBXO38 can lead to disruptions in muscle cell protein turnover contributing to muscle-wasting disorders. Additionally improper FBXO38 activity can affect proteins such as MDM2 in oncogenic pathways influencing cancer development and progression. These associations make FBXO38 a potential therapeutic target for addressing protein dysregulation-related diseases.

Product protocols

For this product, it's our understanding that no specific protocols are required. You can visit:

Target data

Substrate recognition component of a SCF (SKP1-CUL1-F-box protein) E3 ubiquitin-protein ligase complex which mediates the ubiquitination and subsequent proteasomal degradation of PDCD1/PD-1, thereby regulating T-cells-mediated immunity (PubMed : 30487606). Required for anti-tumor activity of T-cells by promoting the degradation of PDCD1/PD-1; the PDCD1-mediated inhibitory pathway being exploited by tumors to attenuate anti-tumor immunity and facilitate tumor survival (PubMed : 30487606). May indirectly stimulate the activity of transcription factor KLF7, a regulator of neuronal differentiation, without promoting KLF7 ubiquitination (By similarity).
See full target information FBXO38

Product promise

We are committed to supporting your work with high-quality reagents, and we're here for you every step of the way. In the unlikely event that one of our products does not perform as expected, you're protected by our Product Promise.
For full details, please see our Terms & Conditions

Please note: All products are 'FOR RESEARCH USE ONLY. NOT FOR USE IN DIAGNOSTIC OR THERAPEUTIC PROCEDURES'.

For licensing inquiries, please contact partnerships@abcam.com