JavaScript is disabled in your browser. Please enable JavaScript to view this website.
AB167278

Anti-FBXO7 antibody

Be the first to review this product! Submit a review

|

(1 Publication)

Mouse Polyclonal FBXO7 antibody. Suitable for IHC-P, WB, ICC/IF and reacts with Human samples. Cited in 1 publication. Immunogen corresponding to Recombinant Full Length Protein corresponding to Human FBXO7.

View Alternative Names

FBX7, FBXO7, F-box only protein 7

4 Images
Immunocytochemistry/ Immunofluorescence - Anti-FBXO7 antibody (AB167278)
  • ICC/IF

Unknown

Immunocytochemistry/ Immunofluorescence - Anti-FBXO7 antibody (AB167278)

Immunofluorescence analysis of HeLa cells, labeling FBXO7 with ab167278 at 10 µg/ml.

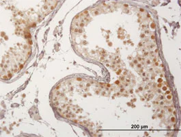
Immunohistochemistry (Formalin/PFA-fixed paraffin-embedded sections) - Anti-FBXO7 antibody (AB167278)
  • IHC-P

Unknown

Immunohistochemistry (Formalin/PFA-fixed paraffin-embedded sections) - Anti-FBXO7 antibody (AB167278)

Immunohistochemical analysis of formalin fixed, paraffin embedded Human testis tissue labeling FBXO7 with ab167278 at 3 µg/ml.

Western blot - Anti-FBXO7 antibody (AB167278)
  • WB

Unknown

Western blot - Anti-FBXO7 antibody (AB167278)

All lanes:

Western blot - Anti-FBXO7 antibody (ab167278) at 1/500 dilution

All lanes:

Human placenta lysate at 25 µg

false

Western blot - Anti-FBXO7 antibody (AB167278)
  • WB

Unknown

Western blot - Anti-FBXO7 antibody (AB167278)

All lanes:

Western blot - Anti-FBXO7 antibody (ab167278) at 1 µg/mL

Lane 1:

FBXO7 transfected 293T cell lysate at 15 µL

Lane 2:

Non-transfected lysate at 15 µL

Predicted band size: 198 kDa,57 kDa,59 kDa

true

Key facts

Host species

Mouse

Clonality

Polyclonal

Isotype

IgG

Carrier free

No

Reacts with

Human

Applications

IHC-P, WB, ICC/IF

applications

Immunogen

Recombinant Full Length Protein corresponding to Human FBXO7.

Q9Y3I1

Reactivity data

{ "title": "Reactivity Data", "filters": { "stats": ["", "Species", "Dilution Info", "Notes"], "tabs": { "all-applications": {"fullname" : "All Applications", "shortname": "All Applications"}, "IHCP" : {"fullname" : "Immunohistochemistry (Formalin/PFA-fixed paraffin-embedded sections)", "shortname":"IHC-P"}, "WB" : {"fullname" : "Western blot", "shortname":"WB"}, "ICCIF" : {"fullname" : "Immunocytochemistry/ Immunofluorescence", "shortname":"ICC/IF"} }, "product-promise": { "all": "all", "testedAndGuaranteed": "tested", "guaranteed": "expected", "predicted": "predicted", "notRecommended": "not-recommended" } }, "values": { "Human": { "IHCP-species-checked": "testedAndGuaranteed", "IHCP-species-dilution-info": "3 µg/mL", "IHCP-species-notes": "<p></p> Perform heat-mediated antigen retrieval with citrate buffer pH 6 before commencing with IHC staining protocol.", "WB-species-checked": "testedAndGuaranteed", "WB-species-dilution-info": "1 µg/mL", "WB-species-notes": "<p></p>", "ICCIF-species-checked": "testedAndGuaranteed", "ICCIF-species-dilution-info": "10 µg/mL", "ICCIF-species-notes": "<p></p>" } } }

Properties and storage information

Form
Liquid
Purification technique
Affinity purification Protein A
Storage buffer
pH: 7.4 Constituents: PBS
Shipped at conditions
Blue Ice
Appropriate short-term storage conditions
+4°C
Appropriate long-term storage conditions
-20°C
Aliquoting information
Upon delivery aliquot
Storage information
Avoid freeze / thaw cycle

Supplementary information

This supplementary information is collated from multiple sources and compiled automatically.

FBXO7 also known as F-box only protein 7 is part of the F-box protein family. This protein plays a role in the ubiquitin-proteasome pathway where it functions as a part of the SCF (Skp Cullin F-box containing) complex. Its molecular mass is roughly 74 kDa. FBXO7 expression is found in various tissues with significant expression in the brain. The SCF complex is important for regulating protein degradation where FBXO7 acts to recruit substrates for ubiquitination and subsequent proteasomal degradation.
Biological function summary

FBXO7 is involved in regulating cell cycle and mitosis by tagging specific proteins for degradation. It forms a part of cellular complexes that impact pathways controlling apoptosis and cellular proliferation. FBXO7 interacts with proteins such as CDK6 important for cell cycle regulation allowing it to influence the progression of the cell cycle phases. Its role in balancing cell survival and death connects it to broader cellular functions essential for maintaining homeostasis.

Pathways

FBXO7 integrates into the ubiquitin-proteasome degradation and cell cycle regulation pathways. It affects the ubiquitination and degradation of cyclin D through its interaction with CDK6. Moreover FBXO7 involves itself in the mitochondrial quality control pathway interacting with PINK1 a protein integral to this process. These interactions highlight FBXO7’s significance in modulating cellular function and response to stress.

FBXO7 has links to Parkinson's disease and certain cancers. Mutations in the FBXO7 gene lead to disruptions in its function which correlates with early-onset Parkinsonism. Interactions with PARKIN through the PINK1 pathway emphasize its role in neuronal maintenance and survival. In cancer FBXO7 can affect tumor progression where its dysregulation impacts cell cycle and apoptotic pathways. Understanding FBXO7 interactions can assist in developing therapeutic strategies for these conditions.

Product protocols

For this product, it's our understanding that no specific protocols are required. You can visit:

Target data

Substrate recognition component of a SCF (SKP1-CUL1-F-box protein) E3 ubiquitin-protein ligase complex which mediates the ubiquitination and subsequent proteasomal degradation of target proteins and plays a role in several biological processes such as cell cycle, cell proliferation, or maintenance of chromosome stability (PubMed : 15145941, PubMed : 34791250). Recognizes and ubiquitinates BIRC2 and the cell cycle regulator DLGAP5 (PubMed : 15145941, PubMed : 16510124, PubMed : 22212761). Plays a role downstream of PINK1 in the clearance of damaged mitochondria via selective autophagy (mitophagy) by targeting PRKN to dysfunctional depolarized mitochondria. Promotes MFN1 ubiquitination. Mediates the ubiquitination and proteasomal degradation of UXT isoform 2, thereby impairing the NF-kappa-B signaling pathway (PubMed : 33010352). Inhibits NF-kappa-B pathway also by promoting the ubiquitination of TRAF2 (PubMed : 22212761). Affects the assembly state and activity of the proteasome in the cells including neurons by ubiquitinating the proteasomal subunit PSMA2 via 'Lys-63'-linked polyubiquitin chains (By similarity). Promotes 'Lys-48'-linked polyubiquitination SIRT7, leading to the hydrogen peroxide-induced cell death (PubMed : 36646384).
See full target information FBXO7

Publications (1)

Recent publications for all applications. Explore the full list and refine your search

Actas espanolas de psiquiatria 52:693-704 PubMed39403905

2024

Mechanism of Treadmill Exercise Combined with Rich Environmental Stimulation to Improve Depression in Post-stroke Depression Model Rats.

Applications

Unspecified application

Species

Unspecified reactive species

Lina Lu,Wenting Xu,Lin Feng,Xiuying Teng,Weigu Ban,Yuman Xue,Xueliang Xing,Wen Zeng,Baolong Li
View all publications

Product promise

We are committed to supporting your work with high-quality reagents, and we're here for you every step of the way. In the unlikely event that one of our products does not perform as expected, you're protected by our Product Promise.
For full details, please see our Terms & Conditions

Please note: All products are 'FOR RESEARCH USE ONLY. NOT FOR USE IN DIAGNOSTIC OR THERAPEUTIC PROCEDURES'.

For licensing inquiries, please contact partnerships@abcam.com