JavaScript is disabled in your browser. Please enable JavaScript to view this website.
AB325271

Anti-FBXW7 antibody [EPR25306-266]

Be the first to review this product! Submit a review

|

(0 Publication)

Rabbit Recombinant Monoclonal Fbxw7 antibody. Suitable for IP and reacts with Human samples.

View Alternative Names

FBW7, FBX30, SEL10, FBXW7, F-box/WD repeat-containing protein 7, Archipelago homolog, F-box and WD-40 domain-containing protein 7, F-box protein FBX30, SEL-10, hCdc4, hAgo

2 Images
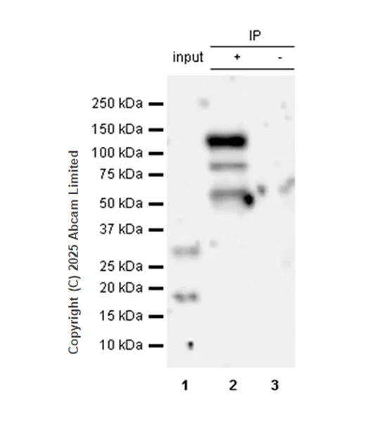
Immunoprecipitation - Anti-FBXW7 antibody [EPR25306-266] (AB325271)
  • IP

Supplier Data

Immunoprecipitation - Anti-FBXW7 antibody [EPR25306-266] (AB325271)

FBXW7 was immunoprecipitated from 0.35 mg DLD-1 (human colorectal adenocarcinoma epithelial cell) whole cell lysate with ab325271 at 1/1000 dilution (0.5ug in 4mg lysates). Western blot was performed on the immunoprecipitate using ab325271 at 1/1000 dilution.

Blocking and dilution buffer and concentration : 5% NFDM/TBST

To minimize protein degradation, cells were lysed immediately after harvest and then applied for Immunoprecipitation as soon as possible.

All lanes:

Immunoprecipitation - Anti-FBXW7 antibody [EPR25306-266] (ab325271) at 1/1000 dilution

Lane 1:

DLD-1 (human colorectal adenocarcinoma epithelial cell) whole cell lysate at 10 µg

Lane 2:

DLD-1 (human colorectal adenocarcinoma epithelial cell) whole cell lysate

Lane 3:

Rabbit monoclonal IgG (<a href='/en-us/products/primary-antibodies/rabbit-igg-monoclonal-epr25a-isotype-control-ab172730'>ab172730</a>) instead of ab325271 in DLD-1 whole cell lysate

Secondary

All lanes:

Immunoprecipitation - VeriBlot for IP Detection Reagent (HRP) (<a href='/en-us/products/reagents/veriblot-for-ip-detection-reagent-hrp-ab131366'>ab131366</a>) at 1/5000 dilution

Observed band size: 110 kDa

false

Exposure time: 180s

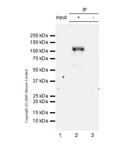
Immunoprecipitation - Anti-FBXW7 antibody [EPR25306-266] (AB325271)
  • IP

Supplier Data

Immunoprecipitation - Anti-FBXW7 antibody [EPR25306-266] (AB325271)

FBXW7 was immunoprecipitated from 0.35 mg HCT 116 (human colorectal carcinoma epithelial cell) whole cell lysate with ab325271 at 1/1000 dilution (0.5ug in 4mg lysates). Western blot was performed on the immunoprecipitate using ab325271 at 1/1000 dilution.

Blocking and dilution buffer and concentration : 5% NFDM/TBST

This blot was developed using a high-sensitivity ECL substrate, allowing for the detection of proteins in the mid-femtogram range.

To minimize protein degradation, cells were lysed immediately after harvest and then applied for Immunoprecipitation as soon as possible.

All lanes:

Immunoprecipitation - Anti-FBXW7 antibody [EPR25306-266] (ab325271) at 1/1000 dilution

Lane 1:

HCT 116 (human colorectal carcinoma epithelial cell) whole cell lysate at 10 µg

Lane 2:

HCT 116 (human colorectal carcinoma epithelial cell) whole cell lysate

Lane 3:

Rabbit monoclonal IgG (<a href='/en-us/products/primary-antibodies/rabbit-igg-monoclonal-epr25a-isotype-control-ab172730'>ab172730</a>) instead of ab325271 in HCT 116 whole cell lysate

Secondary

All lanes:

Immunoprecipitation - VeriBlot for IP Detection Reagent (HRP) (<a href='/en-us/products/reagents/veriblot-for-ip-detection-reagent-hrp-ab131366'>ab131366</a>) at 1/5000 dilution

Observed band size: 110 kDa

false

Exposure time: 180s

Key facts

Host species

Rabbit

Clonality

Monoclonal

Clone number

EPR25306-266

Isotype

IgG

Carrier free

No

Reacts with

Human

Applications

IP

applications

Immunogen

The exact immunogen used to generate this antibody is proprietary information.

Specificity

Unsuitable for human IHC-P.

The immunogen is designed to a region common in all three Fbxw7 isoforms α, β, γ. This antibody can detect endogenous levels of Fbxw7 only when enriched by immunoprecipitation. We do not advice to use this antibody in western blot on total lysate samples as non-specific bands have been observed.

Reactivity data

{ "title": "Reactivity Data", "filters": { "stats": ["", "Species", "Dilution Info", "Notes"], "tabs": { "all-applications": {"fullname" : "All Applications", "shortname": "All Applications"}, "IP" : {"fullname" : "Immunoprecipitation", "shortname":"IP"}, "ICCIF" : {"fullname" : "Immunocytochemistry/ Immunofluorescence", "shortname":"ICC/IF"}, "IHCP" : {"fullname" : "Immunohistochemistry (Formalin/PFA-fixed paraffin-embedded sections)", "shortname":"IHC-P"}, "WB" : {"fullname" : "Western blot", "shortname":"WB"} }, "product-promise": { "all": "all", "testedAndGuaranteed": "tested", "guaranteed": "expected", "predicted": "predicted", "notRecommended": "not-recommended" } }, "values": { "Human": { "IP-species-checked": "testedAndGuaranteed", "IP-species-dilution-info": "1/1000", "IP-species-notes": "<p></p>", "ICCIF-species-checked": "notRecommended", "ICCIF-species-dilution-info": "", "ICCIF-species-notes": "<p></p>", "IHCP-species-checked": "notRecommended", "IHCP-species-dilution-info": "", "IHCP-species-notes": "<p></p>", "WB-species-checked": "notRecommended", "WB-species-dilution-info": "", "WB-species-notes": "<p></p>" }, "Mouse": { "IP-species-checked": "notRecommended", "IP-species-dilution-info": "", "IP-species-notes": "", "ICCIF-species-checked": "notRecommended", "ICCIF-species-dilution-info": "", "ICCIF-species-notes": "<p></p>", "IHCP-species-checked": "notRecommended", "IHCP-species-dilution-info": "", "IHCP-species-notes": "<p></p>", "WB-species-checked": "notRecommended", "WB-species-dilution-info": "", "WB-species-notes": "<p></p>" } } }

Product details

Patented technology
Our RabMAb® technology is a patented hybridoma-based technology for making rabbit monoclonal antibodies. For details on our patents, please refer to RabMAb® patents.

What are the advantages of a recombinant monoclonal antibody?
This product is a recombinant monoclonal antibody, which offers several advantages including:

  • - High batch-to-batch consistency and reproducibility
  • - Improved sensitivity and specificity
  • - Long-term security of supply
  • - Animal-free batch production

For more information, read more on recombinant antibodies.

Properties and storage information

Form
Liquid
Purification technique
Affinity purification Protein A
Storage buffer
pH: 7.2 - 7.4 Preservative: 0.01% Sodium azide Constituents: PBS, 40% Glycerol (glycerin, glycerine), 0.05% BSA
Shipped at conditions
Blue Ice
Appropriate short-term storage duration
1-2 weeks
Appropriate short-term storage conditions
+4°C
Appropriate long-term storage conditions
-20°C
Aliquoting information
Upon delivery aliquot
Storage information
Avoid freeze / thaw cycle

Product protocols

For this product, it's our understanding that no specific protocols are required. You can visit:

Target data

Substrate recognition component of a SCF (SKP1-CUL1-F-box protein) E3 ubiquitin-protein ligase complex which mediates the ubiquitination and subsequent proteasomal degradation of target proteins (PubMed : 17434132, PubMed : 22748924, PubMed : 26976582, PubMed : 28727686, PubMed : 34741373, PubMed : 35395208). Recognizes and binds phosphorylated sites/phosphodegrons within target proteins and thereafter brings them to the SCF complex for ubiquitination (PubMed : 17434132, PubMed : 22748924, PubMed : 26774286, PubMed : 26976582, PubMed : 28727686, PubMed : 34741373). Identified substrates include cyclin-E (CCNE1 or CCNE2), DISC1, JUN, MYC, NOTCH1 released notch intracellular domain (NICD), NFE2L1, NOTCH2, MCL1, MLST8, RICTOR, and probably PSEN1 (PubMed : 11565034, PubMed : 11585921, PubMed : 12354302, PubMed : 14739463, PubMed : 15103331, PubMed : 17558397, PubMed : 17873522, PubMed : 22608923, PubMed : 22748924, PubMed : 25775507, PubMed : 25897075, PubMed : 26976582, PubMed : 28007894, PubMed : 28727686, PubMed : 29149593, PubMed : 34102342). Acts as a negative regulator of JNK signaling by binding to phosphorylated JUN and promoting its ubiquitination and subsequent degradation (PubMed : 14739463). Involved in bone homeostasis and negative regulation of osteoclast differentiation (PubMed : 29149593). Regulates the amplitude of the cyclic expression of hepatic core clock genes and genes involved in lipid and glucose metabolism via ubiquitination and proteasomal degradation of their transcriptional repressor NR1D1; CDK1-dependent phosphorylation of NR1D1 is necessary for SCF(FBXW7)-mediated ubiquitination (PubMed : 27238018). Also able to promote 'Lys-63'-linked ubiquitination in response to DNA damage (PubMed : 26774286). The SCF(FBXW7) complex facilitates double-strand break repair following phosphorylation by ATM : phosphorylation promotes localization to sites of double-strand breaks and 'Lys-63'-linked ubiquitination of phosphorylated XRCC4, enhancing DNA non-homologous end joining (PubMed : 26774286).
See full target information FBXW7

Product promise

We are committed to supporting your work with high-quality reagents, and we're here for you every step of the way. In the unlikely event that one of our products does not perform as expected, you're protected by our Product Promise.
For full details, please see our Terms & Conditions

Please note: All products are 'FOR RESEARCH USE ONLY. NOT FOR USE IN DIAGNOSTIC OR THERAPEUTIC PROCEDURES'.

For licensing inquiries, please contact partnerships@abcam.com